马尔堡变异型多发性硬化症患者对环磷酰胺反应良好。

IF 0.7 Q3 MEDICINE, GENERAL & INTERNAL
Annals of African Medicine Pub Date : 2025-07-01 Epub Date: 2025-05-30 DOI:10.4103/aam.aam_30_24
Foziah Jabbar Alshamrani, Rawan Salim Alyami
{"title":"马尔堡变异型多发性硬化症患者对环磷酰胺反应良好。","authors":"Foziah Jabbar Alshamrani, Rawan Salim Alyami","doi":"10.4103/aam.aam_30_24","DOIUrl":null,"url":null,"abstract":"<p><p>Marburg's disease is a fatal variant of multiple sclerosis (MS), distinguished by its fulminant, rapidly progressive monophasic course that often leads to patients' mortality within weeks of onset. Owing to its rarity, there are no established treatment guidelines. We present a 34 year-old male who was diagnosed with MS, and magnetic resonance imaging revealed numerous supra- and infratentorial white matter plaques. Steroid pulse therapy, intravenous immunoglobulin, and plasma exchange were ineffective. After excluding other differential diagnoses, Marburg's variant MS was considered, and intravenous cyclophosphamide with methylprednisolone was administered. The patient showed significant and fast clinical improvement adding to the evidence that cyclophosphamide is an effective therapeutic modality for treating this MS variant.</p>","PeriodicalId":7938,"journal":{"name":"Annals of African Medicine","volume":" ","pages":"686-690"},"PeriodicalIF":0.7000,"publicationDate":"2025-07-01","publicationTypes":"Journal Article","fieldsOfStudy":null,"isOpenAccess":false,"openAccessPdf":"https://www.ncbi.nlm.nih.gov/pmc/articles/PMC12380151/pdf/","citationCount":"0","resultStr":"{\"title\":\"A Patient with Marburg's Variant of Multiple Sclerosis Responded Well to Cyclophosphamide.\",\"authors\":\"Foziah Jabbar Alshamrani, Rawan Salim Alyami\",\"doi\":\"10.4103/aam.aam_30_24\",\"DOIUrl\":null,\"url\":null,\"abstract\":\"<p><p>Marburg's disease is a fatal variant of multiple sclerosis (MS), distinguished by its fulminant, rapidly progressive monophasic course that often leads to patients' mortality within weeks of onset. Owing to its rarity, there are no established treatment guidelines. We present a 34 year-old male who was diagnosed with MS, and magnetic resonance imaging revealed numerous supra- and infratentorial white matter plaques. Steroid pulse therapy, intravenous immunoglobulin, and plasma exchange were ineffective. After excluding other differential diagnoses, Marburg's variant MS was considered, and intravenous cyclophosphamide with methylprednisolone was administered. The patient showed significant and fast clinical improvement adding to the evidence that cyclophosphamide is an effective therapeutic modality for treating this MS variant.</p>\",\"PeriodicalId\":7938,\"journal\":{\"name\":\"Annals of African Medicine\",\"volume\":\" \",\"pages\":\"686-690\"},\"PeriodicalIF\":0.7000,\"publicationDate\":\"2025-07-01\",\"publicationTypes\":\"Journal Article\",\"fieldsOfStudy\":null,\"isOpenAccess\":false,\"openAccessPdf\":\"https://www.ncbi.nlm.nih.gov/pmc/articles/PMC12380151/pdf/\",\"citationCount\":\"0\",\"resultStr\":null,\"platform\":\"Semanticscholar\",\"paperid\":null,\"PeriodicalName\":\"Annals of African Medicine\",\"FirstCategoryId\":\"1085\",\"ListUrlMain\":\"https://doi.org/10.4103/aam.aam_30_24\",\"RegionNum\":0,\"RegionCategory\":null,\"ArticlePicture\":[],\"TitleCN\":null,\"AbstractTextCN\":null,\"PMCID\":null,\"EPubDate\":\"2025/5/30 0:00:00\",\"PubModel\":\"Epub\",\"JCR\":\"Q3\",\"JCRName\":\"MEDICINE, GENERAL & INTERNAL\",\"Score\":null,\"Total\":0}","platform":"Semanticscholar","paperid":null,"PeriodicalName":"Annals of African Medicine","FirstCategoryId":"1085","ListUrlMain":"https://doi.org/10.4103/aam.aam_30_24","RegionNum":0,"RegionCategory":null,"ArticlePicture":[],"TitleCN":null,"AbstractTextCN":null,"PMCID":null,"EPubDate":"2025/5/30 0:00:00","PubModel":"Epub","JCR":"Q3","JCRName":"MEDICINE, GENERAL & INTERNAL","Score":null,"Total":0}
引用次数: 0

摘要

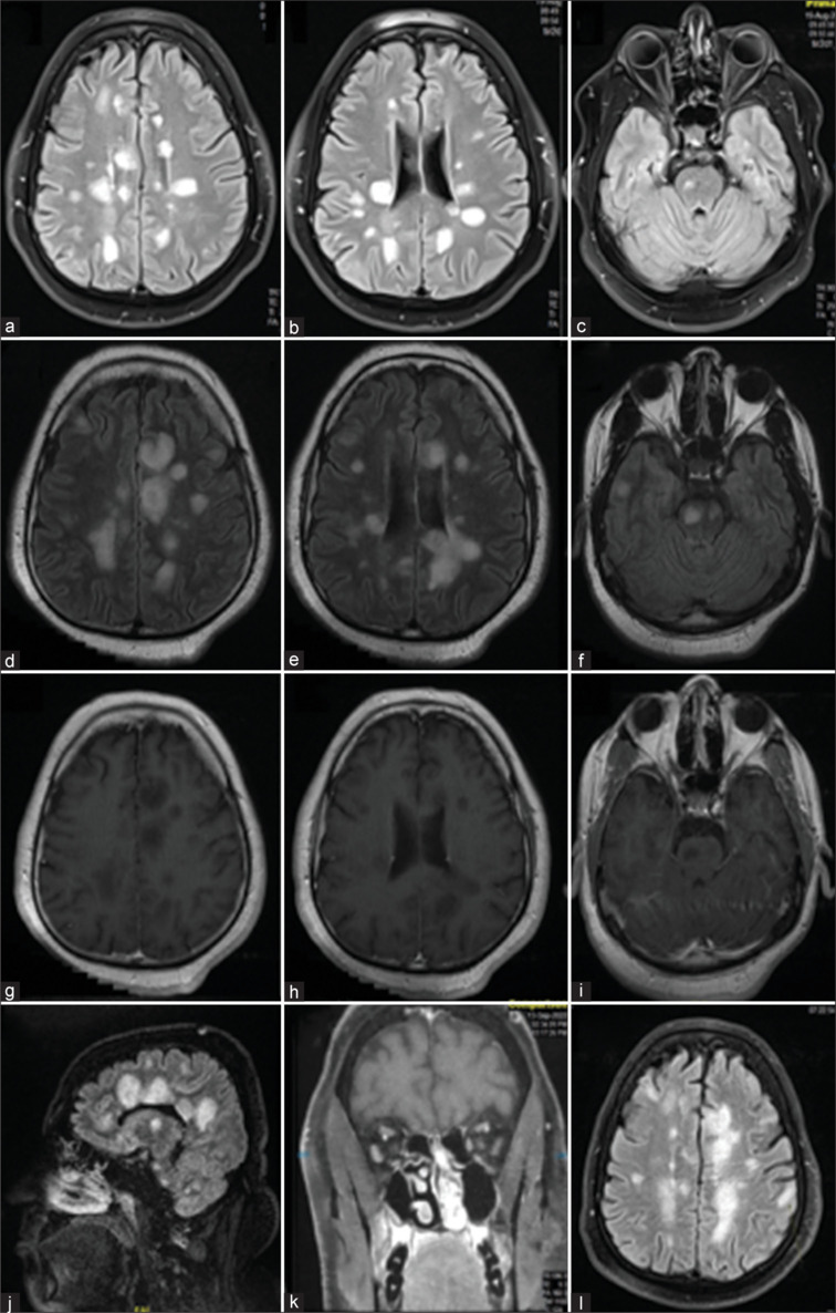
马尔堡病是多发性硬化症(MS)的一种致死性变异,其特点是病程暴发性、快速进展的单相病程,通常导致患者在发病数周内死亡。由于其罕见性,没有确定的治疗指南。我们报告一位34岁的男性,他被诊断为多发性硬化症,磁共振成像显示大量的幕上和幕下白质斑块。类固醇脉冲治疗、静脉注射免疫球蛋白和血浆置换无效。在排除其他鉴别诊断后,考虑马尔堡变异型多发性硬化症,并静脉注射环磷酰胺和甲基强的松龙。患者表现出显著和快速的临床改善,进一步证明环磷酰胺是治疗这种MS变体的有效治疗方式。
本文章由计算机程序翻译,如有差异,请以英文原文为准。

A Patient with Marburg's Variant of Multiple Sclerosis Responded Well to Cyclophosphamide.

A Patient with Marburg's Variant of Multiple Sclerosis Responded Well to Cyclophosphamide.

Marburg's disease is a fatal variant of multiple sclerosis (MS), distinguished by its fulminant, rapidly progressive monophasic course that often leads to patients' mortality within weeks of onset. Owing to its rarity, there are no established treatment guidelines. We present a 34 year-old male who was diagnosed with MS, and magnetic resonance imaging revealed numerous supra- and infratentorial white matter plaques. Steroid pulse therapy, intravenous immunoglobulin, and plasma exchange were ineffective. After excluding other differential diagnoses, Marburg's variant MS was considered, and intravenous cyclophosphamide with methylprednisolone was administered. The patient showed significant and fast clinical improvement adding to the evidence that cyclophosphamide is an effective therapeutic modality for treating this MS variant.

求助全文
通过发布文献求助,成功后即可免费获取论文全文。 去求助
来源期刊
Annals of African Medicine
Annals of African Medicine MEDICINE, GENERAL & INTERNAL-
CiteScore
0.90
自引率
0.00%
发文量
31
期刊介绍: The Annals of African Medicine is published by the Usmanu Danfodiyo University Teaching Hospital, Sokoto, Nigeria and the Annals of African Medicine Society. The Journal is intended to serve as a medium for the publication of research findings in the broad field of Medicine in Africa and other developing countries, and elsewhere which have relevance to Africa. It will serve as a source of information on the state of the art of Medicine in Africa, for continuing education for doctors in Africa and other developing countries, and also for the publication of meetings and conferences. The journal will publish articles I any field of Medicine and other fields which have relevance or implications for Medicine.
×
引用
GB/T 7714-2015
复制
MLA
复制
APA
复制
导出至
BibTeX EndNote RefMan NoteFirst NoteExpress
×
提示
您的信息不完整,为了账户安全,请先补充。
现在去补充
×
提示
您因"违规操作"
具体请查看互助需知
我知道了
×
提示
确定
请完成安全验证×
copy
已复制链接
快去分享给好友吧!
我知道了
右上角分享
点击右上角分享
0
联系我们:info@booksci.cn Book学术提供免费学术资源搜索服务,方便国内外学者检索中英文文献。致力于提供最便捷和优质的服务体验。 Copyright © 2023 布克学术 All rights reserved.
京ICP备2023020795号-1
ghs 京公网安备 11010802042870号
Book学术文献互助
Book学术文献互助群
群 号:604180095
Book学术官方微信