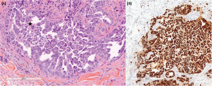
卵巢癌患者耻骨上的合并丘疹:一个小测验。

IF 3.7 4区 医学 Q1 DERMATOLOGY
Pauline Hirtz, Fanny Belzung, Eurydice Angeli, Marie Beylot-Barry
{"title":"卵巢癌患者耻骨上的合并丘疹:一个小测验。","authors":"Pauline Hirtz, Fanny Belzung, Eurydice Angeli, Marie Beylot-Barry","doi":"10.2340/actadv.v105.43554","DOIUrl":null,"url":null,"abstract":"","PeriodicalId":6944,"journal":{"name":"Acta dermato-venereologica","volume":"105 ","pages":"adv43554"},"PeriodicalIF":3.7000,"publicationDate":"2025-05-21","publicationTypes":"Journal Article","fieldsOfStudy":null,"isOpenAccess":false,"openAccessPdf":"https://www.ncbi.nlm.nih.gov/pmc/articles/PMC12128621/pdf/","citationCount":"0","resultStr":"{\"title\":\"Coalescing Papules on the Pubis in an Ovarian Carcinoma: A Quiz.\",\"authors\":\"Pauline Hirtz, Fanny Belzung, Eurydice Angeli, Marie Beylot-Barry\",\"doi\":\"10.2340/actadv.v105.43554\",\"DOIUrl\":null,\"url\":null,\"abstract\":\"\",\"PeriodicalId\":6944,\"journal\":{\"name\":\"Acta dermato-venereologica\",\"volume\":\"105 \",\"pages\":\"adv43554\"},\"PeriodicalIF\":3.7000,\"publicationDate\":\"2025-05-21\",\"publicationTypes\":\"Journal Article\",\"fieldsOfStudy\":null,\"isOpenAccess\":false,\"openAccessPdf\":\"https://www.ncbi.nlm.nih.gov/pmc/articles/PMC12128621/pdf/\",\"citationCount\":\"0\",\"resultStr\":null,\"platform\":\"Semanticscholar\",\"paperid\":null,\"PeriodicalName\":\"Acta dermato-venereologica\",\"FirstCategoryId\":\"3\",\"ListUrlMain\":\"https://doi.org/10.2340/actadv.v105.43554\",\"RegionNum\":4,\"RegionCategory\":\"医学\",\"ArticlePicture\":[],\"TitleCN\":null,\"AbstractTextCN\":null,\"PMCID\":null,\"EPubDate\":\"\",\"PubModel\":\"\",\"JCR\":\"Q1\",\"JCRName\":\"DERMATOLOGY\",\"Score\":null,\"Total\":0}","platform":"Semanticscholar","paperid":null,"PeriodicalName":"Acta dermato-venereologica","FirstCategoryId":"3","ListUrlMain":"https://doi.org/10.2340/actadv.v105.43554","RegionNum":4,"RegionCategory":"医学","ArticlePicture":[],"TitleCN":null,"AbstractTextCN":null,"PMCID":null,"EPubDate":"","PubModel":"","JCR":"Q1","JCRName":"DERMATOLOGY","Score":null,"Total":0}
引用次数: 0

摘要

本文章由计算机程序翻译,如有差异,请以英文原文为准。

Coalescing Papules on the Pubis in an Ovarian Carcinoma: A Quiz.

Coalescing Papules on the Pubis in an Ovarian Carcinoma: A Quiz.

Coalescing Papules on the Pubis in an Ovarian Carcinoma: A Quiz.
求助全文
通过发布文献求助,成功后即可免费获取论文全文。 去求助
来源期刊
Acta dermato-venereologica
Acta dermato-venereologica 医学-皮肤病学
CiteScore
4.90
自引率
2.80%
发文量
210
审稿时长
6-12 weeks
期刊介绍: Acta Dermato-Venereologica publishes high-quality manuscripts in English in the field of Dermatology and Venereology, dealing with new observations on basic dermatological and venereological research, as well as clinical investigations. Each volume also features a number of Review articles in special areas, as well as short Letters to the Editor to stimulate debate and to disseminate important clinical observations. Acta Dermato-Venereologica has rapid publication times and is amply illustrated with a large number of colour photographs.
×
引用
GB/T 7714-2015
复制
MLA
复制
APA
复制
导出至
BibTeX EndNote RefMan NoteFirst NoteExpress
×
提示
您的信息不完整,为了账户安全,请先补充。
现在去补充
×
提示
您因"违规操作"
具体请查看互助需知
我知道了
×
提示
确定
请完成安全验证×
copy
已复制链接
快去分享给好友吧!
我知道了
右上角分享
点击右上角分享
0
联系我们:info@booksci.cn Book学术提供免费学术资源搜索服务,方便国内外学者检索中英文文献。致力于提供最便捷和优质的服务体验。 Copyright © 2023 布克学术 All rights reserved.
京ICP备2023020795号-1
ghs 京公网安备 11010802042870号
Book学术文献互助
Book学术文献互助群
群 号:604180095
Book学术官方微信