杠铃技术联合鼻窦提升用于水平和垂直引导骨再生1例报告。

IF 0.9 Q4 DENTISTRY, ORAL SURGERY & MEDICINE
Case Reports in Dentistry Pub Date : 2025-05-22 eCollection Date: 2025-01-01 DOI:10.1155/crid/3253904
Fernanda Calvo Costa, Thaís Cachuté Paradella, Fernando Vagner Raldi, Michelle Bianchi-de Moraes, Rodrigo Dias Nascimento
{"title":"杠铃技术联合鼻窦提升用于水平和垂直引导骨再生1例报告。","authors":"Fernanda Calvo Costa, Thaís Cachuté Paradella, Fernando Vagner Raldi, Michelle Bianchi-de Moraes, Rodrigo Dias Nascimento","doi":"10.1155/crid/3253904","DOIUrl":null,"url":null,"abstract":"<p><p><b>Background:</b> Dental absences are a worldwide issue, affecting patients both socially and functionally. Implant rehabilitation is the gold standard treatment; however, prior bone reconstructions may be necessary. The Barbell Technique is a guided bone regeneration technique recommended for defects of various morphologies, allowing for vertical and horizontal unidirectional or bidirectional regeneration, that is, both on the buccal and palatal/lingual sides. The objective of this paper is to report a case of bone reconstruction in the posterior maxilla prior to implant rehabilitation, where the Barbell Technique was performed together with a sinus lift. <b>Methods:</b> This study consists of a case report of a 77-year-old male patient with the absence of first and second right bicuspids and a history of implant losses in the area. The initial CT scan showed horizontal and vertical alveolar atrophy, making implant placement impossible. Regeneration was performed using a sinus lift for vertical recovery and the Barbell Technique for horizontal regeneration, using xenogeneic bone covered by a collagen membrane. After 6 months, a new CT scan suggested sufficient bone volume, and two implants were guidedly placed based on digital planning. <b>Results:</b> Comparison of CT scans before and after the grafts showed a horizontal bone gain of 70% and a vertical gain of 33%. Six months after the reconstructive surgery, dental implants were placed, followed by the installation of individual crowns after 45 days. At the 24-month follow-up, no complications related to the implants or prostheses were observed. <b>Conclusion:</b> In this clinical case, for the first time in the literature, the association of the techniques allowed the regeneration of the defect, with the subsequent placement of implants in the ideal position and prosthetic rehabilitation.</p>","PeriodicalId":46841,"journal":{"name":"Case Reports in Dentistry","volume":"2025 ","pages":"3253904"},"PeriodicalIF":0.9000,"publicationDate":"2025-05-22","publicationTypes":"Journal Article","fieldsOfStudy":null,"isOpenAccess":false,"openAccessPdf":"https://www.ncbi.nlm.nih.gov/pmc/articles/PMC12122148/pdf/","citationCount":"0","resultStr":"{\"title\":\"<i>Barbell Technique</i> Associated With <i>Sinus Lift</i> for Horizontal and Vertical Guided Bone Regeneration-Case Report.\",\"authors\":\"Fernanda Calvo Costa, Thaís Cachuté Paradella, Fernando Vagner Raldi, Michelle Bianchi-de Moraes, Rodrigo Dias Nascimento\",\"doi\":\"10.1155/crid/3253904\",\"DOIUrl\":null,\"url\":null,\"abstract\":\"<p><p><b>Background:</b> Dental absences are a worldwide issue, affecting patients both socially and functionally. Implant rehabilitation is the gold standard treatment; however, prior bone reconstructions may be necessary. The Barbell Technique is a guided bone regeneration technique recommended for defects of various morphologies, allowing for vertical and horizontal unidirectional or bidirectional regeneration, that is, both on the buccal and palatal/lingual sides. The objective of this paper is to report a case of bone reconstruction in the posterior maxilla prior to implant rehabilitation, where the Barbell Technique was performed together with a sinus lift. <b>Methods:</b> This study consists of a case report of a 77-year-old male patient with the absence of first and second right bicuspids and a history of implant losses in the area. The initial CT scan showed horizontal and vertical alveolar atrophy, making implant placement impossible. Regeneration was performed using a sinus lift for vertical recovery and the Barbell Technique for horizontal regeneration, using xenogeneic bone covered by a collagen membrane. After 6 months, a new CT scan suggested sufficient bone volume, and two implants were guidedly placed based on digital planning. <b>Results:</b> Comparison of CT scans before and after the grafts showed a horizontal bone gain of 70% and a vertical gain of 33%. Six months after the reconstructive surgery, dental implants were placed, followed by the installation of individual crowns after 45 days. At the 24-month follow-up, no complications related to the implants or prostheses were observed. <b>Conclusion:</b> In this clinical case, for the first time in the literature, the association of the techniques allowed the regeneration of the defect, with the subsequent placement of implants in the ideal position and prosthetic rehabilitation.</p>\",\"PeriodicalId\":46841,\"journal\":{\"name\":\"Case Reports in Dentistry\",\"volume\":\"2025 \",\"pages\":\"3253904\"},\"PeriodicalIF\":0.9000,\"publicationDate\":\"2025-05-22\",\"publicationTypes\":\"Journal Article\",\"fieldsOfStudy\":null,\"isOpenAccess\":false,\"openAccessPdf\":\"https://www.ncbi.nlm.nih.gov/pmc/articles/PMC12122148/pdf/\",\"citationCount\":\"0\",\"resultStr\":null,\"platform\":\"Semanticscholar\",\"paperid\":null,\"PeriodicalName\":\"Case Reports in Dentistry\",\"FirstCategoryId\":\"1085\",\"ListUrlMain\":\"https://doi.org/10.1155/crid/3253904\",\"RegionNum\":0,\"RegionCategory\":null,\"ArticlePicture\":[],\"TitleCN\":null,\"AbstractTextCN\":null,\"PMCID\":null,\"EPubDate\":\"2025/1/1 0:00:00\",\"PubModel\":\"eCollection\",\"JCR\":\"Q4\",\"JCRName\":\"DENTISTRY, ORAL SURGERY & MEDICINE\",\"Score\":null,\"Total\":0}","platform":"Semanticscholar","paperid":null,"PeriodicalName":"Case Reports in Dentistry","FirstCategoryId":"1085","ListUrlMain":"https://doi.org/10.1155/crid/3253904","RegionNum":0,"RegionCategory":null,"ArticlePicture":[],"TitleCN":null,"AbstractTextCN":null,"PMCID":null,"EPubDate":"2025/1/1 0:00:00","PubModel":"eCollection","JCR":"Q4","JCRName":"DENTISTRY, ORAL SURGERY & MEDICINE","Score":null,"Total":0}
引用次数: 0

摘要

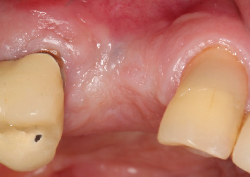
背景:缺牙是一个世界性的问题,影响患者的社会和功能。种植体康复是金标准治疗;然而,可能需要先进行骨重建。杠铃技术是一种引导骨再生技术,推荐用于各种形态的缺陷,允许垂直和水平单向或双向再生,即在颊侧和腭侧/舌侧。本文的目的是报告一例在种植体康复之前的后上颌骨重建,其中杠铃技术与窦提升一起进行。方法:本研究报告了一名77岁男性患者,其右侧第一和第二双尖缺失,并有种植体丢失的历史。最初的CT扫描显示水平和垂直牙槽萎缩,使种植体无法放置。采用鼻窦提升术进行垂直恢复,Barbell技术进行水平再生,使用胶原膜覆盖的异种骨。6个月后,新的CT扫描显示骨容量足够,并根据数字计划引导放置两个植入物。结果:植骨前后的CT扫描显示水平骨增重70%,垂直骨增重33%。重建手术6个月后,植入牙种植体,45天后安装单个冠。在24个月的随访中,未观察到与种植体或假体相关的并发症。结论:在这个临床病例中,这是文献中第一次,这些技术的结合使缺损再生,随后将植入物放置在理想位置并进行假肢康复。
本文章由计算机程序翻译,如有差异,请以英文原文为准。

<i>Barbell Technique</i> Associated With <i>Sinus Lift</i> for Horizontal and Vertical Guided Bone Regeneration-Case Report.

<i>Barbell Technique</i> Associated With <i>Sinus Lift</i> for Horizontal and Vertical Guided Bone Regeneration-Case Report.

<i>Barbell Technique</i> Associated With <i>Sinus Lift</i> for Horizontal and Vertical Guided Bone Regeneration-Case Report.

Barbell Technique Associated With Sinus Lift for Horizontal and Vertical Guided Bone Regeneration-Case Report.

Background: Dental absences are a worldwide issue, affecting patients both socially and functionally. Implant rehabilitation is the gold standard treatment; however, prior bone reconstructions may be necessary. The Barbell Technique is a guided bone regeneration technique recommended for defects of various morphologies, allowing for vertical and horizontal unidirectional or bidirectional regeneration, that is, both on the buccal and palatal/lingual sides. The objective of this paper is to report a case of bone reconstruction in the posterior maxilla prior to implant rehabilitation, where the Barbell Technique was performed together with a sinus lift. Methods: This study consists of a case report of a 77-year-old male patient with the absence of first and second right bicuspids and a history of implant losses in the area. The initial CT scan showed horizontal and vertical alveolar atrophy, making implant placement impossible. Regeneration was performed using a sinus lift for vertical recovery and the Barbell Technique for horizontal regeneration, using xenogeneic bone covered by a collagen membrane. After 6 months, a new CT scan suggested sufficient bone volume, and two implants were guidedly placed based on digital planning. Results: Comparison of CT scans before and after the grafts showed a horizontal bone gain of 70% and a vertical gain of 33%. Six months after the reconstructive surgery, dental implants were placed, followed by the installation of individual crowns after 45 days. At the 24-month follow-up, no complications related to the implants or prostheses were observed. Conclusion: In this clinical case, for the first time in the literature, the association of the techniques allowed the regeneration of the defect, with the subsequent placement of implants in the ideal position and prosthetic rehabilitation.

求助全文
通过发布文献求助,成功后即可免费获取论文全文。 去求助
来源期刊
Case Reports in Dentistry
Case Reports in Dentistry DENTISTRY, ORAL SURGERY & MEDICINE-
CiteScore
1.40
自引率
12.50%
发文量
107
审稿时长
14 weeks
期刊介绍: Case Reports in Dentistry is a peer-reviewed, Open Access journal that publishes case reports and case series in all areas of dentistry, including periodontal diseases, dental implants, oral pathology, as well as oral and maxillofacial surgery.
×
引用
GB/T 7714-2015
复制
MLA
复制
APA
复制
导出至
BibTeX EndNote RefMan NoteFirst NoteExpress
×
提示
您的信息不完整,为了账户安全,请先补充。
现在去补充
×
提示
您因"违规操作"
具体请查看互助需知
我知道了
×
提示
确定
请完成安全验证×
copy
已复制链接
快去分享给好友吧!
我知道了
右上角分享
点击右上角分享
0
联系我们:info@booksci.cn Book学术提供免费学术资源搜索服务,方便国内外学者检索中英文文献。致力于提供最便捷和优质的服务体验。 Copyright © 2023 布克学术 All rights reserved.
京ICP备2023020795号-1
ghs 京公网安备 11010802042870号
Book学术文献互助
Book学术文献互助群
群 号:604180095
Book学术官方微信