严重贫血食蟹猴中枢神经系统的环状出血。

IF 1.7 2区 农林科学 Q2 PATHOLOGY
Barbara Lenz, Martina Stirn, Elke-Astrid Atzpodien, Annamaria Braendli-Baiocco, Anna Maria Giusti, Kerstin Hahn, Vanessa Schumacher
{"title":"严重贫血食蟹猴中枢神经系统的环状出血。","authors":"Barbara Lenz, Martina Stirn, Elke-Astrid Atzpodien, Annamaria Braendli-Baiocco, Anna Maria Giusti, Kerstin Hahn, Vanessa Schumacher","doi":"10.1177/03009858251343012","DOIUrl":null,"url":null,"abstract":"<p><p>Ring hemorrhages are characteristic ring-shaped lesions in the parenchyma of the central nervous system (CNS) surrounding small blood vessels and are typically reported to occur in white matter of the brain. In humans, they are seen in various diseases, including pernicious anemia, cerebral fat embolism, and cerebral malaria. Ring hemorrhages are also sporadically seen in the CNS of animals and have been previously reported in 4 nonhuman primate (NHP) species with various forms of anemia. Here we present the results of 4 preclinical toxicity studies testing 4 drug candidates of different modalities, targets, mechanisms of action, and indications in NHPs (cynomolgus monkeys). Within each study, ring hemorrhages were observed associated with severe anemia in affected animals and were in line with those previously reported. They occurred in gray matter and occasionally white matter of the brain and spinal cord; in the brain, the thalamus, basal ganglia, and cerebellum were particularly affected. Lesions comprised a central eosinophilic core, sometimes with small blood vessels or eosinophilic to slightly basophilic amorphous material in the center, surrounded by red blood cells and/or microglial cells or microglia aggregates. Fibrin staining confirmed the presence of fibrin in the central core. No commonality in type/cause of anemia was noted; in one study, the anemia was considered a spontaneous (non-treatment-related) finding. A thorough examination of the brain is therefore recommended in the presence of anemic conditions in animals. Pathologists should be aware of this finding and its relationship with anemia when assessing associations with diseases or drug candidates.</p>","PeriodicalId":23513,"journal":{"name":"Veterinary Pathology","volume":" ","pages":"3009858251343012"},"PeriodicalIF":1.7000,"publicationDate":"2025-05-30","publicationTypes":"Journal Article","fieldsOfStudy":null,"isOpenAccess":false,"openAccessPdf":"https://www.ncbi.nlm.nih.gov/pmc/articles/PMC12185903/pdf/","citationCount":"0","resultStr":"{\"title\":\"Ring hemorrhages in the central nervous system of severely anemic cynomolgus monkeys.\",\"authors\":\"Barbara Lenz, Martina Stirn, Elke-Astrid Atzpodien, Annamaria Braendli-Baiocco, Anna Maria Giusti, Kerstin Hahn, Vanessa Schumacher\",\"doi\":\"10.1177/03009858251343012\",\"DOIUrl\":null,\"url\":null,\"abstract\":\"<p><p>Ring hemorrhages are characteristic ring-shaped lesions in the parenchyma of the central nervous system (CNS) surrounding small blood vessels and are typically reported to occur in white matter of the brain. In humans, they are seen in various diseases, including pernicious anemia, cerebral fat embolism, and cerebral malaria. Ring hemorrhages are also sporadically seen in the CNS of animals and have been previously reported in 4 nonhuman primate (NHP) species with various forms of anemia. Here we present the results of 4 preclinical toxicity studies testing 4 drug candidates of different modalities, targets, mechanisms of action, and indications in NHPs (cynomolgus monkeys). Within each study, ring hemorrhages were observed associated with severe anemia in affected animals and were in line with those previously reported. They occurred in gray matter and occasionally white matter of the brain and spinal cord; in the brain, the thalamus, basal ganglia, and cerebellum were particularly affected. Lesions comprised a central eosinophilic core, sometimes with small blood vessels or eosinophilic to slightly basophilic amorphous material in the center, surrounded by red blood cells and/or microglial cells or microglia aggregates. Fibrin staining confirmed the presence of fibrin in the central core. No commonality in type/cause of anemia was noted; in one study, the anemia was considered a spontaneous (non-treatment-related) finding. A thorough examination of the brain is therefore recommended in the presence of anemic conditions in animals. Pathologists should be aware of this finding and its relationship with anemia when assessing associations with diseases or drug candidates.</p>\",\"PeriodicalId\":23513,\"journal\":{\"name\":\"Veterinary Pathology\",\"volume\":\" \",\"pages\":\"3009858251343012\"},\"PeriodicalIF\":1.7000,\"publicationDate\":\"2025-05-30\",\"publicationTypes\":\"Journal Article\",\"fieldsOfStudy\":null,\"isOpenAccess\":false,\"openAccessPdf\":\"https://www.ncbi.nlm.nih.gov/pmc/articles/PMC12185903/pdf/\",\"citationCount\":\"0\",\"resultStr\":null,\"platform\":\"Semanticscholar\",\"paperid\":null,\"PeriodicalName\":\"Veterinary Pathology\",\"FirstCategoryId\":\"97\",\"ListUrlMain\":\"https://doi.org/10.1177/03009858251343012\",\"RegionNum\":2,\"RegionCategory\":\"农林科学\",\"ArticlePicture\":[],\"TitleCN\":null,\"AbstractTextCN\":null,\"PMCID\":null,\"EPubDate\":\"\",\"PubModel\":\"\",\"JCR\":\"Q2\",\"JCRName\":\"PATHOLOGY\",\"Score\":null,\"Total\":0}","platform":"Semanticscholar","paperid":null,"PeriodicalName":"Veterinary Pathology","FirstCategoryId":"97","ListUrlMain":"https://doi.org/10.1177/03009858251343012","RegionNum":2,"RegionCategory":"农林科学","ArticlePicture":[],"TitleCN":null,"AbstractTextCN":null,"PMCID":null,"EPubDate":"","PubModel":"","JCR":"Q2","JCRName":"PATHOLOGY","Score":null,"Total":0}
引用次数: 0

摘要

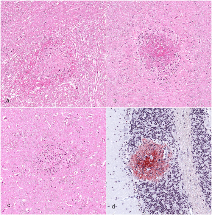
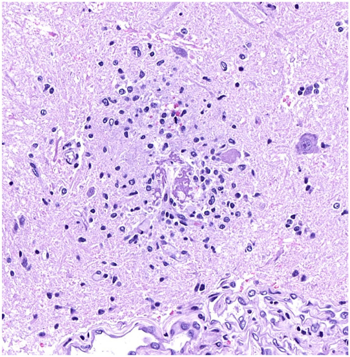
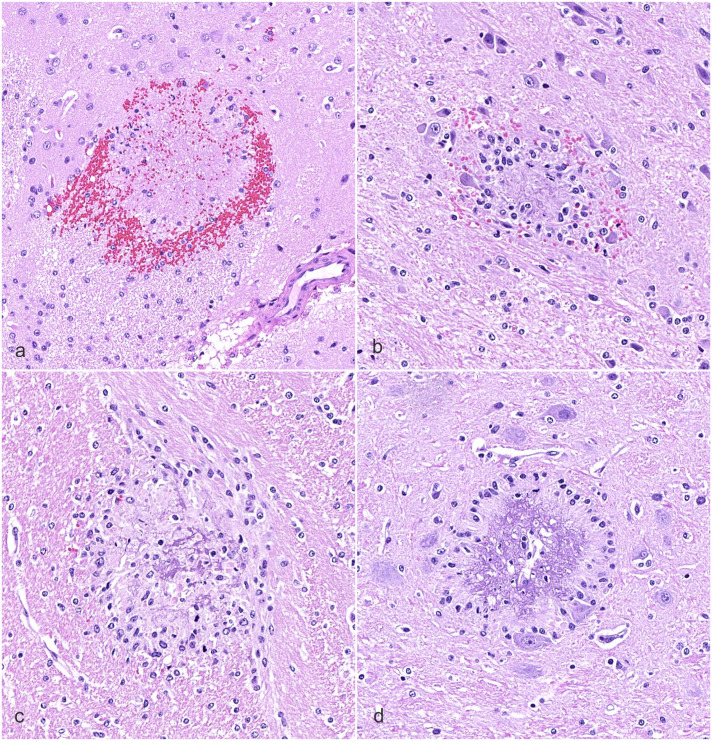
环状出血是中枢神经系统(CNS)周围小血管实质的特征性环状病变,通常发生在脑白质。在人类中,它们出现在各种疾病中,包括恶性贫血、脑脂肪栓塞和脑疟疾。在动物的中枢神经系统中也偶见环状出血,以前在4种患有各种形式贫血的非人灵长类动物(NHP)中有过报道。在这里,我们介绍了4项临床前毒性研究的结果,这些研究测试了4种候选药物在NHPs(食蟹猴)中不同的模式、靶点、作用机制和适应症。在每项研究中,在受影响的动物中观察到环状出血与严重贫血有关,并且与先前报道的一致。它们发生在大脑和脊髓的灰质,偶尔也发生在白质;在大脑中,丘脑、基底神经节和小脑受到的影响尤为严重。病变包括一个中央嗜酸性核心,有时在中心有小血管或嗜酸性到轻微嗜碱性的无定形物质,周围有红细胞和/或小胶质细胞或小胶质细胞聚集体。纤维蛋白染色证实纤维蛋白存在于中心核。在贫血类型/原因上没有发现共性;在一项研究中,贫血被认为是自发的(与治疗无关的)发现。因此,建议在动物出现贫血情况时对大脑进行彻底检查。病理学家在评估与疾病或候选药物的关联时,应该意识到这一发现及其与贫血的关系。
本文章由计算机程序翻译,如有差异,请以英文原文为准。

Ring hemorrhages in the central nervous system of severely anemic cynomolgus monkeys.

Ring hemorrhages in the central nervous system of severely anemic cynomolgus monkeys.

Ring hemorrhages in the central nervous system of severely anemic cynomolgus monkeys.

Ring hemorrhages in the central nervous system of severely anemic cynomolgus monkeys.

Ring hemorrhages are characteristic ring-shaped lesions in the parenchyma of the central nervous system (CNS) surrounding small blood vessels and are typically reported to occur in white matter of the brain. In humans, they are seen in various diseases, including pernicious anemia, cerebral fat embolism, and cerebral malaria. Ring hemorrhages are also sporadically seen in the CNS of animals and have been previously reported in 4 nonhuman primate (NHP) species with various forms of anemia. Here we present the results of 4 preclinical toxicity studies testing 4 drug candidates of different modalities, targets, mechanisms of action, and indications in NHPs (cynomolgus monkeys). Within each study, ring hemorrhages were observed associated with severe anemia in affected animals and were in line with those previously reported. They occurred in gray matter and occasionally white matter of the brain and spinal cord; in the brain, the thalamus, basal ganglia, and cerebellum were particularly affected. Lesions comprised a central eosinophilic core, sometimes with small blood vessels or eosinophilic to slightly basophilic amorphous material in the center, surrounded by red blood cells and/or microglial cells or microglia aggregates. Fibrin staining confirmed the presence of fibrin in the central core. No commonality in type/cause of anemia was noted; in one study, the anemia was considered a spontaneous (non-treatment-related) finding. A thorough examination of the brain is therefore recommended in the presence of anemic conditions in animals. Pathologists should be aware of this finding and its relationship with anemia when assessing associations with diseases or drug candidates.

求助全文
通过发布文献求助,成功后即可免费获取论文全文。 去求助
来源期刊
Veterinary Pathology
Veterinary Pathology 农林科学-病理学
CiteScore
4.70
自引率
8.30%
发文量
99
审稿时长
2 months
期刊介绍: Veterinary Pathology (VET) is the premier international publication of basic and applied research involving domestic, laboratory, wildlife, marine and zoo animals, and poultry. Bridging the divide between natural and experimental diseases, the journal details the diagnostic investigations of diseases of animals; reports experimental studies on mechanisms of specific processes; provides unique insights into animal models of human disease; and presents studies on environmental and pharmaceutical hazards.
×
引用
GB/T 7714-2015
复制
MLA
复制
APA
复制
导出至
BibTeX EndNote RefMan NoteFirst NoteExpress
×
提示
您的信息不完整,为了账户安全,请先补充。
现在去补充
×
提示
您因"违规操作"
具体请查看互助需知
我知道了
×
提示
确定
请完成安全验证×
copy
已复制链接
快去分享给好友吧!
我知道了
右上角分享
点击右上角分享
0
联系我们:info@booksci.cn Book学术提供免费学术资源搜索服务,方便国内外学者检索中英文文献。致力于提供最便捷和优质的服务体验。 Copyright © 2023 布克学术 All rights reserved.
京ICP备2023020795号-1
ghs 京公网安备 11010802042870号
Book学术文献互助
Book学术文献互助群
群 号:604180095
Book学术官方微信