乳腺癌患者组织中HMBG1蛋白表达的评价

IF 1.7 Q4 ONCOLOGY
Gülden Diniz, İsmail Güzeliş, Dudu Solakoğlu Kahraman, Duygu Ayaz, Umut Varol, Mustafa Değirmenci
{"title":"乳腺癌患者组织中HMBG1蛋白表达的评价","authors":"Gülden Diniz, İsmail Güzeliş, Dudu Solakoğlu Kahraman, Duygu Ayaz, Umut Varol, Mustafa Değirmenci","doi":"10.4274/ejbh.galenos.2025.2025-4-2","DOIUrl":null,"url":null,"abstract":"<p><strong>Objective: </strong>High mobility group box 1 (HMGB1) is a nonhistone chromatin-associated protein involved in chromatin remodeling, transcription, DNA replication, and repair. The purpose of this study was to assess the relationship between tissue expression of HMGB1, clinical outcomes, and histopathological characteristics in patients with breast cancer.</p><p><strong>Materials and methods: </strong>The study included 282 patients with breast cancer. An <i>in vitro</i> diagnostic HMGB1 antibody was applied to the slides of tumor specimens.</p><p><strong>Results: </strong>Overexpression of HMGB1 was found in tumor cells of 123 (43.6%) patients. HMGB1 was only expressed in the nucleus in most tumors (88.7%), while in 32 (11.3%) tumors HMBG1 expression was cytoplasmic and/or extracellular. Severe inflammatory infiltration of the peritumoral stroma was observed in 76 (27%) patients. There was a correlation between remarkable inflammatory cell infiltration in the tumor microenvironment and HMGB1 overexpression, regardless of the molecular subtype, as well as the extranuclear location of HMGB1 expression (<i>p</i> = 0.023). HMGB1 expression was not found to be associated with overall or disease-free survival. However, axillary lymph node metastasis was significantly more common in tumors with intense inflammation (<i>p</i> = 0.024).</p><p><strong>Conclusion: </strong>The proportion of breast cancer patients with HMGB1 expression was lower in the present study than that reported previously. Furthermore, we did not detect a relationship between HMGB1 expression and prognosis. However, the relationship between HMGB1 expression and prognosis had been previously reported only in aggressive breast cancers. It is suggested that understanding the significance of HMGB1 expression in breast cancer may open new treatment opportunities, especially in aggressive and/or triple negative tumors.</p>","PeriodicalId":93996,"journal":{"name":"European journal of breast health","volume":" ","pages":"290-294"},"PeriodicalIF":1.7000,"publicationDate":"2025-09-25","publicationTypes":"Journal Article","fieldsOfStudy":null,"isOpenAccess":false,"openAccessPdf":"https://www.ncbi.nlm.nih.gov/pmc/articles/PMC12462726/pdf/","citationCount":"0","resultStr":"{\"title\":\"Evaluation of Tissue Expression of HMBG1 Protein in Patients With Breast Cancer.\",\"authors\":\"Gülden Diniz, İsmail Güzeliş, Dudu Solakoğlu Kahraman, Duygu Ayaz, Umut Varol, Mustafa Değirmenci\",\"doi\":\"10.4274/ejbh.galenos.2025.2025-4-2\",\"DOIUrl\":null,\"url\":null,\"abstract\":\"<p><strong>Objective: </strong>High mobility group box 1 (HMGB1) is a nonhistone chromatin-associated protein involved in chromatin remodeling, transcription, DNA replication, and repair. The purpose of this study was to assess the relationship between tissue expression of HMGB1, clinical outcomes, and histopathological characteristics in patients with breast cancer.</p><p><strong>Materials and methods: </strong>The study included 282 patients with breast cancer. An <i>in vitro</i> diagnostic HMGB1 antibody was applied to the slides of tumor specimens.</p><p><strong>Results: </strong>Overexpression of HMGB1 was found in tumor cells of 123 (43.6%) patients. HMGB1 was only expressed in the nucleus in most tumors (88.7%), while in 32 (11.3%) tumors HMBG1 expression was cytoplasmic and/or extracellular. Severe inflammatory infiltration of the peritumoral stroma was observed in 76 (27%) patients. There was a correlation between remarkable inflammatory cell infiltration in the tumor microenvironment and HMGB1 overexpression, regardless of the molecular subtype, as well as the extranuclear location of HMGB1 expression (<i>p</i> = 0.023). HMGB1 expression was not found to be associated with overall or disease-free survival. However, axillary lymph node metastasis was significantly more common in tumors with intense inflammation (<i>p</i> = 0.024).</p><p><strong>Conclusion: </strong>The proportion of breast cancer patients with HMGB1 expression was lower in the present study than that reported previously. Furthermore, we did not detect a relationship between HMGB1 expression and prognosis. However, the relationship between HMGB1 expression and prognosis had been previously reported only in aggressive breast cancers. It is suggested that understanding the significance of HMGB1 expression in breast cancer may open new treatment opportunities, especially in aggressive and/or triple negative tumors.</p>\",\"PeriodicalId\":93996,\"journal\":{\"name\":\"European journal of breast health\",\"volume\":\" \",\"pages\":\"290-294\"},\"PeriodicalIF\":1.7000,\"publicationDate\":\"2025-09-25\",\"publicationTypes\":\"Journal Article\",\"fieldsOfStudy\":null,\"isOpenAccess\":false,\"openAccessPdf\":\"https://www.ncbi.nlm.nih.gov/pmc/articles/PMC12462726/pdf/\",\"citationCount\":\"0\",\"resultStr\":null,\"platform\":\"Semanticscholar\",\"paperid\":null,\"PeriodicalName\":\"European journal of breast health\",\"FirstCategoryId\":\"1085\",\"ListUrlMain\":\"https://doi.org/10.4274/ejbh.galenos.2025.2025-4-2\",\"RegionNum\":0,\"RegionCategory\":null,\"ArticlePicture\":[],\"TitleCN\":null,\"AbstractTextCN\":null,\"PMCID\":null,\"EPubDate\":\"2025/5/29 0:00:00\",\"PubModel\":\"Epub\",\"JCR\":\"Q4\",\"JCRName\":\"ONCOLOGY\",\"Score\":null,\"Total\":0}","platform":"Semanticscholar","paperid":null,"PeriodicalName":"European journal of breast health","FirstCategoryId":"1085","ListUrlMain":"https://doi.org/10.4274/ejbh.galenos.2025.2025-4-2","RegionNum":0,"RegionCategory":null,"ArticlePicture":[],"TitleCN":null,"AbstractTextCN":null,"PMCID":null,"EPubDate":"2025/5/29 0:00:00","PubModel":"Epub","JCR":"Q4","JCRName":"ONCOLOGY","Score":null,"Total":0}
引用次数: 0

摘要

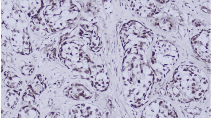
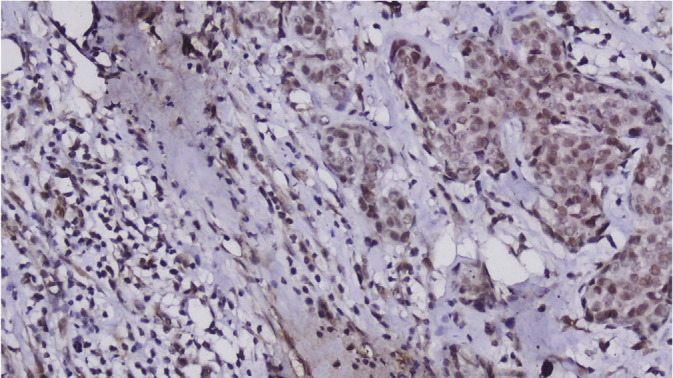
目的:高迁移率组框1 (HMGB1)是非组蛋白染色质相关蛋白,参与染色质重塑、转录、DNA复制和修复。本研究的目的是评估HMGB1在乳腺癌患者组织表达、临床结局和组织病理学特征之间的关系。材料与方法:纳入282例乳腺癌患者。将体外诊断性HMGB1抗体应用于肿瘤标本的载玻片。结果:123例(43.6%)患者肿瘤细胞中发现HMGB1过表达。HMGB1在大多数肿瘤(88.7%)中仅在细胞核中表达,而在32例(11.3%)肿瘤中,HMBG1在细胞质和/或细胞外表达。76例(27%)患者存在严重的瘤周间质炎症浸润。无论HMGB1分子亚型如何,肿瘤微环境中显著的炎症细胞浸润与HMGB1过表达以及HMGB1表达的核外位置均存在相关性(p = 0.023)。未发现HMGB1表达与总生存率或无病生存率相关。然而,腋窝淋巴结转移在炎症强烈的肿瘤中更为常见(p = 0.024)。结论:本研究HMGB1表达在乳腺癌患者中的比例低于文献报道。此外,我们没有发现HMGB1表达与预后之间的关系。然而,HMGB1表达与预后之间的关系此前仅在侵袭性乳腺癌中报道过。这表明,了解HMGB1表达在乳腺癌中的意义可能会开辟新的治疗机会,特别是在侵袭性和/或三阴性肿瘤中。
本文章由计算机程序翻译,如有差异,请以英文原文为准。

Evaluation of Tissue Expression of HMBG1 Protein in Patients With Breast Cancer.

Evaluation of Tissue Expression of HMBG1 Protein in Patients With Breast Cancer.

Evaluation of Tissue Expression of HMBG1 Protein in Patients With Breast Cancer.

Objective: High mobility group box 1 (HMGB1) is a nonhistone chromatin-associated protein involved in chromatin remodeling, transcription, DNA replication, and repair. The purpose of this study was to assess the relationship between tissue expression of HMGB1, clinical outcomes, and histopathological characteristics in patients with breast cancer.

Materials and methods: The study included 282 patients with breast cancer. An in vitro diagnostic HMGB1 antibody was applied to the slides of tumor specimens.

Results: Overexpression of HMGB1 was found in tumor cells of 123 (43.6%) patients. HMGB1 was only expressed in the nucleus in most tumors (88.7%), while in 32 (11.3%) tumors HMBG1 expression was cytoplasmic and/or extracellular. Severe inflammatory infiltration of the peritumoral stroma was observed in 76 (27%) patients. There was a correlation between remarkable inflammatory cell infiltration in the tumor microenvironment and HMGB1 overexpression, regardless of the molecular subtype, as well as the extranuclear location of HMGB1 expression (p = 0.023). HMGB1 expression was not found to be associated with overall or disease-free survival. However, axillary lymph node metastasis was significantly more common in tumors with intense inflammation (p = 0.024).

Conclusion: The proportion of breast cancer patients with HMGB1 expression was lower in the present study than that reported previously. Furthermore, we did not detect a relationship between HMGB1 expression and prognosis. However, the relationship between HMGB1 expression and prognosis had been previously reported only in aggressive breast cancers. It is suggested that understanding the significance of HMGB1 expression in breast cancer may open new treatment opportunities, especially in aggressive and/or triple negative tumors.

求助全文
通过发布文献求助,成功后即可免费获取论文全文。 去求助
来源期刊
CiteScore
2.60
自引率
0.00%
发文量
0
×
引用
GB/T 7714-2015
复制
MLA
复制
APA
复制
导出至
BibTeX EndNote RefMan NoteFirst NoteExpress
×
提示
您的信息不完整,为了账户安全,请先补充。
现在去补充
×
提示
您因"违规操作"
具体请查看互助需知
我知道了
×
提示
确定
请完成安全验证×
copy
已复制链接
快去分享给好友吧!
我知道了
右上角分享
点击右上角分享
0
联系我们:info@booksci.cn Book学术提供免费学术资源搜索服务,方便国内外学者检索中英文文献。致力于提供最便捷和优质的服务体验。 Copyright © 2023 布克学术 All rights reserved.
京ICP备2023020795号-1
ghs 京公网安备 11010802042870号
Book学术文献互助
Book学术文献互助群
群 号:604180095
Book学术官方微信