长期暴露在恒定的光下会通过交感神经兴奋诱导的Wnt5a信号抑制破坏肠道干细胞。

IF 4.2 3区 医学 Q2 GASTROENTEROLOGY & HEPATOLOGY
Gastroenterology Report Pub Date : 2025-05-10 eCollection Date: 2025-01-01 DOI:10.1093/gastro/goaf031
Yu-Wan Wang, Qin-Yao Li, Ling-Feng Liu, Xing Tan, Wen Wang, Jia-Cen Sun, Wei-Zhong Wang
{"title":"长期暴露在恒定的光下会通过交感神经兴奋诱导的Wnt5a信号抑制破坏肠道干细胞。","authors":"Yu-Wan Wang, Qin-Yao Li, Ling-Feng Liu, Xing Tan, Wen Wang, Jia-Cen Sun, Wei-Zhong Wang","doi":"10.1093/gastro/goaf031","DOIUrl":null,"url":null,"abstract":"<p><strong>Background: </strong>Long-term exposure to constant light is becoming a prevalent lifestyle that is associated with irritable bowel syndrome (IBS), a chronic functional gastrointestinal disorder. Intestinal stem cells (ISCs) are an important population of cells that maintain homeostasis and function of intestinal tissues. The purpose of this study was to identify the effects of long-term constant light exposure on gastrointestinal function and the potential mechanisms of sympathetic activity on ISC.</p><p><strong>Methods: </strong>Rats housed in a 24 h constant light chamber for 4 weeks were used as the constant light exposure animal model. Hematoxylin-eosin staining and immunohistochemical examination were used to determine the pathological changes of the intestine. Propranolol (<i>ARs</i> inhibitor; 40 mg/kg/day), metoprolol (<i>ADRβ1</i> inhibitor; 50 mg/kg/day), and Box5 (<i>Wnt5a</i> inhibitor; 2 μg/day) were used to examine the effect of sympathoexcitation and Wnt signaling pathway on constant light-induced gastrointestinal disorders.</p><p><strong>Results: </strong>We found that 4 weeks of constant light exposure in rats resulted in a decrease in the number of ISC and an increase in sympathetic activity. Intestinal β1-adrenoceptor expression and reactive oxygen species (ROS) were significantly increased, but <i>Wnt5a</i> expression decreased in the continuous light-exposed rats. Similarly, we found that administration of the β1-adrenoceptor antagonist metoprolol for 4 weeks attenuated the effects of continuous light exposure on the intestine, which was rescued by the reintroduction of <i>Wnt5a</i>.</p><p><strong>Conclusion: </strong>Taken together, these data indicate that sympathoexcitation is critical for disruption of ISC under constant light exposure, suggesting that targeting β1-adrenoceptor/oxidative stress/<i>Wnt5a</i> axis may be a potential strategy for ISC disruption induced by prolonged sustained light exposure, providing a new direction for IBS treatment.</p>","PeriodicalId":54275,"journal":{"name":"Gastroenterology Report","volume":"13 ","pages":"goaf031"},"PeriodicalIF":4.2000,"publicationDate":"2025-05-10","publicationTypes":"Journal Article","fieldsOfStudy":null,"isOpenAccess":false,"openAccessPdf":"https://www.ncbi.nlm.nih.gov/pmc/articles/PMC12116419/pdf/","citationCount":"0","resultStr":"{\"title\":\"Long-term exposure to constant light disrupts intestinal stem cells through sympathoexcitation-induced Wnt5a signaling inhibition.\",\"authors\":\"Yu-Wan Wang, Qin-Yao Li, Ling-Feng Liu, Xing Tan, Wen Wang, Jia-Cen Sun, Wei-Zhong Wang\",\"doi\":\"10.1093/gastro/goaf031\",\"DOIUrl\":null,\"url\":null,\"abstract\":\"<p><strong>Background: </strong>Long-term exposure to constant light is becoming a prevalent lifestyle that is associated with irritable bowel syndrome (IBS), a chronic functional gastrointestinal disorder. Intestinal stem cells (ISCs) are an important population of cells that maintain homeostasis and function of intestinal tissues. The purpose of this study was to identify the effects of long-term constant light exposure on gastrointestinal function and the potential mechanisms of sympathetic activity on ISC.</p><p><strong>Methods: </strong>Rats housed in a 24 h constant light chamber for 4 weeks were used as the constant light exposure animal model. Hematoxylin-eosin staining and immunohistochemical examination were used to determine the pathological changes of the intestine. Propranolol (<i>ARs</i> inhibitor; 40 mg/kg/day), metoprolol (<i>ADRβ1</i> inhibitor; 50 mg/kg/day), and Box5 (<i>Wnt5a</i> inhibitor; 2 μg/day) were used to examine the effect of sympathoexcitation and Wnt signaling pathway on constant light-induced gastrointestinal disorders.</p><p><strong>Results: </strong>We found that 4 weeks of constant light exposure in rats resulted in a decrease in the number of ISC and an increase in sympathetic activity. Intestinal β1-adrenoceptor expression and reactive oxygen species (ROS) were significantly increased, but <i>Wnt5a</i> expression decreased in the continuous light-exposed rats. Similarly, we found that administration of the β1-adrenoceptor antagonist metoprolol for 4 weeks attenuated the effects of continuous light exposure on the intestine, which was rescued by the reintroduction of <i>Wnt5a</i>.</p><p><strong>Conclusion: </strong>Taken together, these data indicate that sympathoexcitation is critical for disruption of ISC under constant light exposure, suggesting that targeting β1-adrenoceptor/oxidative stress/<i>Wnt5a</i> axis may be a potential strategy for ISC disruption induced by prolonged sustained light exposure, providing a new direction for IBS treatment.</p>\",\"PeriodicalId\":54275,\"journal\":{\"name\":\"Gastroenterology Report\",\"volume\":\"13 \",\"pages\":\"goaf031\"},\"PeriodicalIF\":4.2000,\"publicationDate\":\"2025-05-10\",\"publicationTypes\":\"Journal Article\",\"fieldsOfStudy\":null,\"isOpenAccess\":false,\"openAccessPdf\":\"https://www.ncbi.nlm.nih.gov/pmc/articles/PMC12116419/pdf/\",\"citationCount\":\"0\",\"resultStr\":null,\"platform\":\"Semanticscholar\",\"paperid\":null,\"PeriodicalName\":\"Gastroenterology Report\",\"FirstCategoryId\":\"3\",\"ListUrlMain\":\"https://doi.org/10.1093/gastro/goaf031\",\"RegionNum\":3,\"RegionCategory\":\"医学\",\"ArticlePicture\":[],\"TitleCN\":null,\"AbstractTextCN\":null,\"PMCID\":null,\"EPubDate\":\"2025/1/1 0:00:00\",\"PubModel\":\"eCollection\",\"JCR\":\"Q2\",\"JCRName\":\"GASTROENTEROLOGY & HEPATOLOGY\",\"Score\":null,\"Total\":0}","platform":"Semanticscholar","paperid":null,"PeriodicalName":"Gastroenterology Report","FirstCategoryId":"3","ListUrlMain":"https://doi.org/10.1093/gastro/goaf031","RegionNum":3,"RegionCategory":"医学","ArticlePicture":[],"TitleCN":null,"AbstractTextCN":null,"PMCID":null,"EPubDate":"2025/1/1 0:00:00","PubModel":"eCollection","JCR":"Q2","JCRName":"GASTROENTEROLOGY & HEPATOLOGY","Score":null,"Total":0}
引用次数: 0

摘要

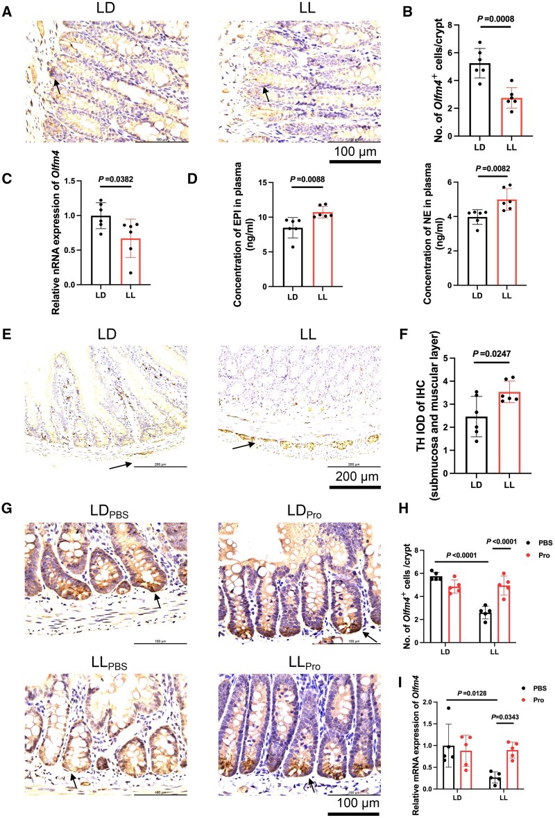
背景:长期暴露在恒定光线下正成为一种普遍的生活方式,与肠易激综合征(IBS)有关,这是一种慢性功能性胃肠道疾病。肠干细胞(Intestinal stem cells, ISCs)是维持肠道组织稳态和功能的重要细胞群。本研究的目的是确定长期持续光照射对胃肠功能的影响以及交感神经活动对ISC的潜在机制。方法:采用24 h恒光室饲养4周的大鼠作为恒光暴露动物模型。采用苏木精-伊红染色及免疫组化检查观察小肠病理变化。心得安(ARs抑制剂;40 mg/kg/天),美托洛尔(adr - β1抑制剂;50mg /kg/天),Box5 (Wnt5a抑制剂;2 μg/d),观察交感神经兴奋和Wnt信号通路对持续光致胃肠道疾病的影响。结果:我们发现持续光照4周的大鼠ISC数量减少,交感神经活动增加。连续光照大鼠肠道β1-肾上腺素能受体表达和活性氧(ROS)显著升高,而Wnt5a表达降低。同样,我们发现β1-肾上腺素能受体拮抗剂美托洛尔连续使用4周可以减弱持续光暴露对肠道的影响,而这种影响可以通过重新引入Wnt5a来恢复。结论:综上所述,这些数据表明,交感神经兴奋是持续光照射下ISC破坏的关键,提示靶向β1-肾上腺素能受体/氧化应激/Wnt5a轴可能是长期持续光照射诱导ISC破坏的潜在策略,为IBS治疗提供了新的方向。
本文章由计算机程序翻译,如有差异,请以英文原文为准。

Long-term exposure to constant light disrupts intestinal stem cells through sympathoexcitation-induced Wnt5a signaling inhibition.

Long-term exposure to constant light disrupts intestinal stem cells through sympathoexcitation-induced Wnt5a signaling inhibition.

Long-term exposure to constant light disrupts intestinal stem cells through sympathoexcitation-induced Wnt5a signaling inhibition.

Long-term exposure to constant light disrupts intestinal stem cells through sympathoexcitation-induced Wnt5a signaling inhibition.

Background: Long-term exposure to constant light is becoming a prevalent lifestyle that is associated with irritable bowel syndrome (IBS), a chronic functional gastrointestinal disorder. Intestinal stem cells (ISCs) are an important population of cells that maintain homeostasis and function of intestinal tissues. The purpose of this study was to identify the effects of long-term constant light exposure on gastrointestinal function and the potential mechanisms of sympathetic activity on ISC.

Methods: Rats housed in a 24 h constant light chamber for 4 weeks were used as the constant light exposure animal model. Hematoxylin-eosin staining and immunohistochemical examination were used to determine the pathological changes of the intestine. Propranolol (ARs inhibitor; 40 mg/kg/day), metoprolol (ADRβ1 inhibitor; 50 mg/kg/day), and Box5 (Wnt5a inhibitor; 2 μg/day) were used to examine the effect of sympathoexcitation and Wnt signaling pathway on constant light-induced gastrointestinal disorders.

Results: We found that 4 weeks of constant light exposure in rats resulted in a decrease in the number of ISC and an increase in sympathetic activity. Intestinal β1-adrenoceptor expression and reactive oxygen species (ROS) were significantly increased, but Wnt5a expression decreased in the continuous light-exposed rats. Similarly, we found that administration of the β1-adrenoceptor antagonist metoprolol for 4 weeks attenuated the effects of continuous light exposure on the intestine, which was rescued by the reintroduction of Wnt5a.

Conclusion: Taken together, these data indicate that sympathoexcitation is critical for disruption of ISC under constant light exposure, suggesting that targeting β1-adrenoceptor/oxidative stress/Wnt5a axis may be a potential strategy for ISC disruption induced by prolonged sustained light exposure, providing a new direction for IBS treatment.

求助全文
通过发布文献求助,成功后即可免费获取论文全文。 去求助
来源期刊
Gastroenterology Report
Gastroenterology Report Medicine-Gastroenterology
CiteScore
4.60
自引率
2.80%
发文量
63
审稿时长
8 weeks
期刊介绍: Gastroenterology Report is an international fully open access (OA) online only journal, covering all areas related to gastrointestinal sciences, including studies of the alimentary tract, liver, biliary, pancreas, enteral nutrition and related fields. The journal aims to publish high quality research articles on both basic and clinical gastroenterology, authoritative reviews that bring together new advances in the field, as well as commentaries and highlight pieces that provide expert analysis of topical issues.
×
引用
GB/T 7714-2015
复制
MLA
复制
APA
复制
导出至
BibTeX EndNote RefMan NoteFirst NoteExpress
×
提示
您的信息不完整,为了账户安全,请先补充。
现在去补充
×
提示
您因"违规操作"
具体请查看互助需知
我知道了
×
提示
确定
请完成安全验证×
copy
已复制链接
快去分享给好友吧!
我知道了
右上角分享
点击右上角分享
0
联系我们:info@booksci.cn Book学术提供免费学术资源搜索服务,方便国内外学者检索中英文文献。致力于提供最便捷和优质的服务体验。 Copyright © 2023 布克学术 All rights reserved.
京ICP备2023020795号-1
ghs 京公网安备 11010802042870号
Book学术文献互助
Book学术文献互助群
群 号:604180095
Book学术官方微信