年轻女性口腔内骨性脉络瘤牙龈病变1例。

IF 0.9 Q4 DENTISTRY, ORAL SURGERY & MEDICINE
Case Reports in Dentistry Pub Date : 2025-05-21 eCollection Date: 2025-01-01 DOI:10.1155/crid/7706892
Ahmad Khaled Alhakim, Shady Ahmed Moussa, Esam Halboub
{"title":"年轻女性口腔内骨性脉络瘤牙龈病变1例。","authors":"Ahmad Khaled Alhakim, Shady Ahmed Moussa, Esam Halboub","doi":"10.1155/crid/7706892","DOIUrl":null,"url":null,"abstract":"<p><p>Choristoma is a mass of tissue with normal histology similar to a part of the body that is different from the one in which it is located. It differs from the hamartomatous group of pathology which is normal tissue, but disorganized, found in an abnormal location. Documentation of the occurrence of osseous choristoma lesions in the oral cavity has been scarce, and most of the cases have been reported in the tongue. It is very seldom to arise from the interdental gingiva. Indeed, choristoma is considered a developmental anomaly, involving younger individuals, although many cases among older adults have been reported. The differential diagnoses include cartilaginous metaplasia, pleomorphic adenoma, salivary gland tissue, and the lesions of inflammatory or traumatic origin that may give rise to hamartomas in the oral cavity. In this case report, we present a case of osseous choristoma arising from the mandibular, posterior buccal gingiva in a young female patient.</p>","PeriodicalId":46841,"journal":{"name":"Case Reports in Dentistry","volume":"2025 ","pages":"7706892"},"PeriodicalIF":0.9000,"publicationDate":"2025-05-21","publicationTypes":"Journal Article","fieldsOfStudy":null,"isOpenAccess":false,"openAccessPdf":"https://www.ncbi.nlm.nih.gov/pmc/articles/PMC12119154/pdf/","citationCount":"0","resultStr":"{\"title\":\"Young Female With Gingival Lesion of Intraoral Osseous Choristoma: A Rare Case Report.\",\"authors\":\"Ahmad Khaled Alhakim, Shady Ahmed Moussa, Esam Halboub\",\"doi\":\"10.1155/crid/7706892\",\"DOIUrl\":null,\"url\":null,\"abstract\":\"<p><p>Choristoma is a mass of tissue with normal histology similar to a part of the body that is different from the one in which it is located. It differs from the hamartomatous group of pathology which is normal tissue, but disorganized, found in an abnormal location. Documentation of the occurrence of osseous choristoma lesions in the oral cavity has been scarce, and most of the cases have been reported in the tongue. It is very seldom to arise from the interdental gingiva. Indeed, choristoma is considered a developmental anomaly, involving younger individuals, although many cases among older adults have been reported. The differential diagnoses include cartilaginous metaplasia, pleomorphic adenoma, salivary gland tissue, and the lesions of inflammatory or traumatic origin that may give rise to hamartomas in the oral cavity. In this case report, we present a case of osseous choristoma arising from the mandibular, posterior buccal gingiva in a young female patient.</p>\",\"PeriodicalId\":46841,\"journal\":{\"name\":\"Case Reports in Dentistry\",\"volume\":\"2025 \",\"pages\":\"7706892\"},\"PeriodicalIF\":0.9000,\"publicationDate\":\"2025-05-21\",\"publicationTypes\":\"Journal Article\",\"fieldsOfStudy\":null,\"isOpenAccess\":false,\"openAccessPdf\":\"https://www.ncbi.nlm.nih.gov/pmc/articles/PMC12119154/pdf/\",\"citationCount\":\"0\",\"resultStr\":null,\"platform\":\"Semanticscholar\",\"paperid\":null,\"PeriodicalName\":\"Case Reports in Dentistry\",\"FirstCategoryId\":\"1085\",\"ListUrlMain\":\"https://doi.org/10.1155/crid/7706892\",\"RegionNum\":0,\"RegionCategory\":null,\"ArticlePicture\":[],\"TitleCN\":null,\"AbstractTextCN\":null,\"PMCID\":null,\"EPubDate\":\"2025/1/1 0:00:00\",\"PubModel\":\"eCollection\",\"JCR\":\"Q4\",\"JCRName\":\"DENTISTRY, ORAL SURGERY & MEDICINE\",\"Score\":null,\"Total\":0}","platform":"Semanticscholar","paperid":null,"PeriodicalName":"Case Reports in Dentistry","FirstCategoryId":"1085","ListUrlMain":"https://doi.org/10.1155/crid/7706892","RegionNum":0,"RegionCategory":null,"ArticlePicture":[],"TitleCN":null,"AbstractTextCN":null,"PMCID":null,"EPubDate":"2025/1/1 0:00:00","PubModel":"eCollection","JCR":"Q4","JCRName":"DENTISTRY, ORAL SURGERY & MEDICINE","Score":null,"Total":0}
引用次数: 0

摘要

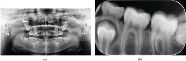
绒毛瘤是一种具有正常组织学的组织块,类似于身体的一部分,但与它所在的部分不同。它不同于错构瘤组的病理是正常组织,但杂乱无章,发现在一个异常的位置。在口腔发生骨性脉络瘤病变的文献很少,大多数病例已报道在舌头。很少发生在牙间龈。事实上,虽然有许多老年人的病例报道,但脉络膜瘤被认为是一种发育异常,涉及年轻人。鉴别诊断包括软骨化生、多形性腺瘤、唾液腺组织,以及可能导致口腔错构瘤的炎症或创伤性病变。在这个病例报告中,我们提出了一个病例骨性脉络瘤起源于下颌,后颊龈在一个年轻的女性患者。
本文章由计算机程序翻译,如有差异,请以英文原文为准。

Young Female With Gingival Lesion of Intraoral Osseous Choristoma: A Rare Case Report.

Young Female With Gingival Lesion of Intraoral Osseous Choristoma: A Rare Case Report.

Young Female With Gingival Lesion of Intraoral Osseous Choristoma: A Rare Case Report.

Young Female With Gingival Lesion of Intraoral Osseous Choristoma: A Rare Case Report.

Choristoma is a mass of tissue with normal histology similar to a part of the body that is different from the one in which it is located. It differs from the hamartomatous group of pathology which is normal tissue, but disorganized, found in an abnormal location. Documentation of the occurrence of osseous choristoma lesions in the oral cavity has been scarce, and most of the cases have been reported in the tongue. It is very seldom to arise from the interdental gingiva. Indeed, choristoma is considered a developmental anomaly, involving younger individuals, although many cases among older adults have been reported. The differential diagnoses include cartilaginous metaplasia, pleomorphic adenoma, salivary gland tissue, and the lesions of inflammatory or traumatic origin that may give rise to hamartomas in the oral cavity. In this case report, we present a case of osseous choristoma arising from the mandibular, posterior buccal gingiva in a young female patient.

求助全文
通过发布文献求助,成功后即可免费获取论文全文。 去求助
来源期刊
Case Reports in Dentistry
Case Reports in Dentistry DENTISTRY, ORAL SURGERY & MEDICINE-
CiteScore
1.40
自引率
12.50%
发文量
107
审稿时长
14 weeks
期刊介绍: Case Reports in Dentistry is a peer-reviewed, Open Access journal that publishes case reports and case series in all areas of dentistry, including periodontal diseases, dental implants, oral pathology, as well as oral and maxillofacial surgery.
×
引用
GB/T 7714-2015
复制
MLA
复制
APA
复制
导出至
BibTeX EndNote RefMan NoteFirst NoteExpress
×
提示
您的信息不完整,为了账户安全,请先补充。
现在去补充
×
提示
您因"违规操作"
具体请查看互助需知
我知道了
×
提示
确定
请完成安全验证×
copy
已复制链接
快去分享给好友吧!
我知道了
右上角分享
点击右上角分享
0
联系我们:info@booksci.cn Book学术提供免费学术资源搜索服务,方便国内外学者检索中英文文献。致力于提供最便捷和优质的服务体验。 Copyright © 2023 布克学术 All rights reserved.
京ICP备2023020795号-1
ghs 京公网安备 11010802042870号
Book学术文献互助
Book学术文献互助群
群 号:604180095
Book学术官方微信