儿童期眼粘膜类天疱疮表现为周围性溃疡性角膜炎:1例报告及文献复习。

IF 2.3 Q1 OPHTHALMOLOGY
Eugenia M Ramos-Dávila, Raul E Ruiz-Lozano, Alejandro Rodríguez-García, Carlos Álvarez-Guzmán
{"title":"儿童期眼粘膜类天疱疮表现为周围性溃疡性角膜炎:1例报告及文献复习。","authors":"Eugenia M Ramos-Dávila, Raul E Ruiz-Lozano, Alejandro Rodríguez-García, Carlos Álvarez-Guzmán","doi":"10.1186/s12348-025-00480-y","DOIUrl":null,"url":null,"abstract":"<p><strong>Purpose: </strong>The purpose of this study was to describe the case of a pediatric patient diagnosed with mucous membrane pemphigoid (MMP) with exclusive ocular involvement presenting at diagnosis with peripheral ulcerative keratitis and provide a review of the literature.</p><p><strong>Methods: </strong>A 12-year-old girl presented with cicatricial conjunctivitis and peripheral ulcerative keratitis (PUK). A conjunctival biopsy and direct immunofluorescence revealed linear deposits of IgG, IgM, and C3 at the basement membrane zone, confirming a diagnosis of ocular MMP.</p><p><strong>Results: </strong>The patient was initially treated with dapsone 25 mg/day and prednisone 40 mg/day along with topical treatment including cyclosporine 0.05%, loteprednol etabonate 0.05%, and sodium hyaluronate 0.15% and trehalose 3%. Inflammation persisted as an increase in the extension of symblepharon was documented. Subsequently, dapsone was switched to oral methotrexate 15 mg/week and prednisone was successfully tapered to 5 mg/day. After three years of follow-up, disease activity remained quiescent.</p><p><strong>Conclusions: </strong>Pediatric mucous membrane pemphigoid with ocular involvement is a rare condition of which few reports have been published, resulting in scarce information regarding its clinical course and response to treatment. We report the first case observed in a Hispanic patient, opening with peripheral ulcerative keratitis, and responding successfully to methotrexate.</p>","PeriodicalId":16600,"journal":{"name":"Journal of Ophthalmic Inflammation and Infection","volume":"15 1","pages":"47"},"PeriodicalIF":2.3000,"publicationDate":"2025-05-29","publicationTypes":"Journal Article","fieldsOfStudy":null,"isOpenAccess":false,"openAccessPdf":"https://www.ncbi.nlm.nih.gov/pmc/articles/PMC12123039/pdf/","citationCount":"0","resultStr":"{\"title\":\"Childhood-onset ocular mucous membrane pemphigoid presenting with peripheral ulcerative keratitis: a case report and review of the literature.\",\"authors\":\"Eugenia M Ramos-Dávila, Raul E Ruiz-Lozano, Alejandro Rodríguez-García, Carlos Álvarez-Guzmán\",\"doi\":\"10.1186/s12348-025-00480-y\",\"DOIUrl\":null,\"url\":null,\"abstract\":\"<p><strong>Purpose: </strong>The purpose of this study was to describe the case of a pediatric patient diagnosed with mucous membrane pemphigoid (MMP) with exclusive ocular involvement presenting at diagnosis with peripheral ulcerative keratitis and provide a review of the literature.</p><p><strong>Methods: </strong>A 12-year-old girl presented with cicatricial conjunctivitis and peripheral ulcerative keratitis (PUK). A conjunctival biopsy and direct immunofluorescence revealed linear deposits of IgG, IgM, and C3 at the basement membrane zone, confirming a diagnosis of ocular MMP.</p><p><strong>Results: </strong>The patient was initially treated with dapsone 25 mg/day and prednisone 40 mg/day along with topical treatment including cyclosporine 0.05%, loteprednol etabonate 0.05%, and sodium hyaluronate 0.15% and trehalose 3%. Inflammation persisted as an increase in the extension of symblepharon was documented. Subsequently, dapsone was switched to oral methotrexate 15 mg/week and prednisone was successfully tapered to 5 mg/day. After three years of follow-up, disease activity remained quiescent.</p><p><strong>Conclusions: </strong>Pediatric mucous membrane pemphigoid with ocular involvement is a rare condition of which few reports have been published, resulting in scarce information regarding its clinical course and response to treatment. We report the first case observed in a Hispanic patient, opening with peripheral ulcerative keratitis, and responding successfully to methotrexate.</p>\",\"PeriodicalId\":16600,\"journal\":{\"name\":\"Journal of Ophthalmic Inflammation and Infection\",\"volume\":\"15 1\",\"pages\":\"47\"},\"PeriodicalIF\":2.3000,\"publicationDate\":\"2025-05-29\",\"publicationTypes\":\"Journal Article\",\"fieldsOfStudy\":null,\"isOpenAccess\":false,\"openAccessPdf\":\"https://www.ncbi.nlm.nih.gov/pmc/articles/PMC12123039/pdf/\",\"citationCount\":\"0\",\"resultStr\":null,\"platform\":\"Semanticscholar\",\"paperid\":null,\"PeriodicalName\":\"Journal of Ophthalmic Inflammation and Infection\",\"FirstCategoryId\":\"1085\",\"ListUrlMain\":\"https://doi.org/10.1186/s12348-025-00480-y\",\"RegionNum\":0,\"RegionCategory\":null,\"ArticlePicture\":[],\"TitleCN\":null,\"AbstractTextCN\":null,\"PMCID\":null,\"EPubDate\":\"\",\"PubModel\":\"\",\"JCR\":\"Q1\",\"JCRName\":\"OPHTHALMOLOGY\",\"Score\":null,\"Total\":0}","platform":"Semanticscholar","paperid":null,"PeriodicalName":"Journal of Ophthalmic Inflammation and Infection","FirstCategoryId":"1085","ListUrlMain":"https://doi.org/10.1186/s12348-025-00480-y","RegionNum":0,"RegionCategory":null,"ArticlePicture":[],"TitleCN":null,"AbstractTextCN":null,"PMCID":null,"EPubDate":"","PubModel":"","JCR":"Q1","JCRName":"OPHTHALMOLOGY","Score":null,"Total":0}
引用次数: 0

摘要

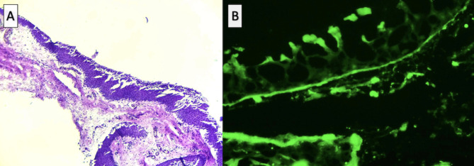
目的:本研究的目的是描述一个被诊断为粘膜类天疱疮(MMP)的儿童患者,在诊断为周围性溃疡性角膜炎时表现为排他眼部受累,并提供文献回顾。方法:1例12岁女童以瘢痕性结膜炎和周围性溃疡性角膜炎(PUK)表现。结膜活检和直接免疫荧光显示基底膜区IgG、IgM和C3呈线性沉积,确认眼部MMP的诊断。结果:患者初始治疗为氨苯砜25 mg/d、强的松40 mg/d,局部治疗包括0.05%环孢素、0.05%羟戊酸乙酯、0.15%透明质酸钠、3%海藻糖。炎症持续的增加,在睑粘连的延伸被记录。随后,氨苯砜改为口服甲氨蝶呤15毫克/周,强的松成功减少至5毫克/天。经过三年的随访,疾病活动保持静止。结论:儿童粘膜类天疱疮伴眼部受累是一种罕见的疾病,很少有报道,导致其临床病程和治疗反应缺乏信息。我们报告第一例观察到的西班牙患者,开与周围溃疡性角膜炎,并成功响应甲氨蝶呤。
本文章由计算机程序翻译,如有差异,请以英文原文为准。

Childhood-onset ocular mucous membrane pemphigoid presenting with peripheral ulcerative keratitis: a case report and review of the literature.

Childhood-onset ocular mucous membrane pemphigoid presenting with peripheral ulcerative keratitis: a case report and review of the literature.

Childhood-onset ocular mucous membrane pemphigoid presenting with peripheral ulcerative keratitis: a case report and review of the literature.

Purpose: The purpose of this study was to describe the case of a pediatric patient diagnosed with mucous membrane pemphigoid (MMP) with exclusive ocular involvement presenting at diagnosis with peripheral ulcerative keratitis and provide a review of the literature.

Methods: A 12-year-old girl presented with cicatricial conjunctivitis and peripheral ulcerative keratitis (PUK). A conjunctival biopsy and direct immunofluorescence revealed linear deposits of IgG, IgM, and C3 at the basement membrane zone, confirming a diagnosis of ocular MMP.

Results: The patient was initially treated with dapsone 25 mg/day and prednisone 40 mg/day along with topical treatment including cyclosporine 0.05%, loteprednol etabonate 0.05%, and sodium hyaluronate 0.15% and trehalose 3%. Inflammation persisted as an increase in the extension of symblepharon was documented. Subsequently, dapsone was switched to oral methotrexate 15 mg/week and prednisone was successfully tapered to 5 mg/day. After three years of follow-up, disease activity remained quiescent.

Conclusions: Pediatric mucous membrane pemphigoid with ocular involvement is a rare condition of which few reports have been published, resulting in scarce information regarding its clinical course and response to treatment. We report the first case observed in a Hispanic patient, opening with peripheral ulcerative keratitis, and responding successfully to methotrexate.

求助全文
通过发布文献求助,成功后即可免费获取论文全文。 去求助
来源期刊
CiteScore
3.80
自引率
3.40%
发文量
39
审稿时长
13 weeks
×
引用
GB/T 7714-2015
复制
MLA
复制
APA
复制
导出至
BibTeX EndNote RefMan NoteFirst NoteExpress
×
提示
您的信息不完整,为了账户安全,请先补充。
现在去补充
×
提示
您因"违规操作"
具体请查看互助需知
我知道了
×
提示
确定
请完成安全验证×
copy
已复制链接
快去分享给好友吧!
我知道了
右上角分享
点击右上角分享
0
联系我们:info@booksci.cn Book学术提供免费学术资源搜索服务,方便国内外学者检索中英文文献。致力于提供最便捷和优质的服务体验。 Copyright © 2023 布克学术 All rights reserved.
京ICP备2023020795号-1
ghs 京公网安备 11010802042870号
Book学术文献互助
Book学术文献互助群
群 号:604180095
Book学术官方微信