日本细针活检和抽吸在恶性淋巴瘤诊断和分类中的比较回顾性研究。

IF 2.3 Q3 GASTROENTEROLOGY & HEPATOLOGY
Clinical Endoscopy Pub Date : 2025-09-01 Epub Date: 2025-05-27 DOI:10.5946/ce.2024.320
Fumitaka Niiya, Akihiro Nakamura, Yasuo Ueda, Takafumi Ogawa, Naoki Tamai, Masataka Yamawaki, Jun Noda, Tetsushi Azami, Yuichi Takano, Masatsugu Nagahama
{"title":"日本细针活检和抽吸在恶性淋巴瘤诊断和分类中的比较回顾性研究。","authors":"Fumitaka Niiya, Akihiro Nakamura, Yasuo Ueda, Takafumi Ogawa, Naoki Tamai, Masataka Yamawaki, Jun Noda, Tetsushi Azami, Yuichi Takano, Masatsugu Nagahama","doi":"10.5946/ce.2024.320","DOIUrl":null,"url":null,"abstract":"<p><strong>Background: </strong>Endoscopic ultrasound-guided tissue acquisition (EUS-TA) is essential for diagnosing malignant lymphoma (ML). However, the optimal needle type for maximizing the diagnostic yield and tissue quality remains unclear. We compared the diagnostic performance and histological tissue quality between fine-needle biopsy (FNB) and fine-needle aspiration (FNA) needles in EUS-TA for ML.</p><p><strong>Methods: </strong>This retrospective study included patients who underwent EUS-TA for suspected ML. The diagnostic accuracy, histological sample quality assessed by scoring, and adverse events were compared between the FNB and FNA groups. A subgroup analysis was performed for 22-gauge needles.</p><p><strong>Results: </strong>FNB demonstrated higher diagnostic accuracy (75%) than FNA (50%) for cytology, with 100% sensitivity for histological diagnosis compared with 78.9% for FNA. The FNB group had significantly higher diagnostic rates for the World Health Organization subclassification of ML (71.4% vs. 31.6%, p=0.037). Additionally, FNB obtained superior histological quality, with 71.4% of samples scoring 5 compared with 41.2% in the FNA group. Adverse events were minimal in both groups.</p><p><strong>Conclusions: </strong>EUS-FNB showed better diagnostic performance and histological tissue quality than EUS-FNA for ML, particularly in obtaining adequate samples for histological evaluation and subclassification. Therefore, EUS-FNB can be safely performed. Future research with larger sample sizes and genetic testing is warranted.</p>","PeriodicalId":10351,"journal":{"name":"Clinical Endoscopy","volume":" ","pages":"757-765"},"PeriodicalIF":2.3000,"publicationDate":"2025-09-01","publicationTypes":"Journal Article","fieldsOfStudy":null,"isOpenAccess":false,"openAccessPdf":"https://www.ncbi.nlm.nih.gov/pmc/articles/PMC12489558/pdf/","citationCount":"0","resultStr":"{\"title\":\"A retrospective study on the comparative use of fine-needle biopsy and aspiration for the diagnosis and classification of malignant lymphoma in Japan.\",\"authors\":\"Fumitaka Niiya, Akihiro Nakamura, Yasuo Ueda, Takafumi Ogawa, Naoki Tamai, Masataka Yamawaki, Jun Noda, Tetsushi Azami, Yuichi Takano, Masatsugu Nagahama\",\"doi\":\"10.5946/ce.2024.320\",\"DOIUrl\":null,\"url\":null,\"abstract\":\"<p><strong>Background: </strong>Endoscopic ultrasound-guided tissue acquisition (EUS-TA) is essential for diagnosing malignant lymphoma (ML). However, the optimal needle type for maximizing the diagnostic yield and tissue quality remains unclear. We compared the diagnostic performance and histological tissue quality between fine-needle biopsy (FNB) and fine-needle aspiration (FNA) needles in EUS-TA for ML.</p><p><strong>Methods: </strong>This retrospective study included patients who underwent EUS-TA for suspected ML. The diagnostic accuracy, histological sample quality assessed by scoring, and adverse events were compared between the FNB and FNA groups. A subgroup analysis was performed for 22-gauge needles.</p><p><strong>Results: </strong>FNB demonstrated higher diagnostic accuracy (75%) than FNA (50%) for cytology, with 100% sensitivity for histological diagnosis compared with 78.9% for FNA. The FNB group had significantly higher diagnostic rates for the World Health Organization subclassification of ML (71.4% vs. 31.6%, p=0.037). Additionally, FNB obtained superior histological quality, with 71.4% of samples scoring 5 compared with 41.2% in the FNA group. Adverse events were minimal in both groups.</p><p><strong>Conclusions: </strong>EUS-FNB showed better diagnostic performance and histological tissue quality than EUS-FNA for ML, particularly in obtaining adequate samples for histological evaluation and subclassification. Therefore, EUS-FNB can be safely performed. Future research with larger sample sizes and genetic testing is warranted.</p>\",\"PeriodicalId\":10351,\"journal\":{\"name\":\"Clinical Endoscopy\",\"volume\":\" \",\"pages\":\"757-765\"},\"PeriodicalIF\":2.3000,\"publicationDate\":\"2025-09-01\",\"publicationTypes\":\"Journal Article\",\"fieldsOfStudy\":null,\"isOpenAccess\":false,\"openAccessPdf\":\"https://www.ncbi.nlm.nih.gov/pmc/articles/PMC12489558/pdf/\",\"citationCount\":\"0\",\"resultStr\":null,\"platform\":\"Semanticscholar\",\"paperid\":null,\"PeriodicalName\":\"Clinical Endoscopy\",\"FirstCategoryId\":\"1085\",\"ListUrlMain\":\"https://doi.org/10.5946/ce.2024.320\",\"RegionNum\":0,\"RegionCategory\":null,\"ArticlePicture\":[],\"TitleCN\":null,\"AbstractTextCN\":null,\"PMCID\":null,\"EPubDate\":\"2025/5/27 0:00:00\",\"PubModel\":\"Epub\",\"JCR\":\"Q3\",\"JCRName\":\"GASTROENTEROLOGY & HEPATOLOGY\",\"Score\":null,\"Total\":0}","platform":"Semanticscholar","paperid":null,"PeriodicalName":"Clinical Endoscopy","FirstCategoryId":"1085","ListUrlMain":"https://doi.org/10.5946/ce.2024.320","RegionNum":0,"RegionCategory":null,"ArticlePicture":[],"TitleCN":null,"AbstractTextCN":null,"PMCID":null,"EPubDate":"2025/5/27 0:00:00","PubModel":"Epub","JCR":"Q3","JCRName":"GASTROENTEROLOGY & HEPATOLOGY","Score":null,"Total":0}
引用次数: 0

摘要

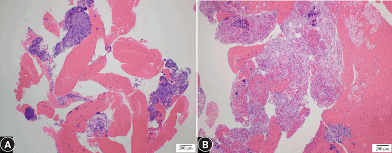
背景/目的:超声内镜引导下组织采集(EUS-TA)是诊断恶性淋巴瘤(ML)的必要手段。然而,最大限度地提高诊断率和组织质量的最佳针型仍不清楚。我们比较细针活检(FNB)和细针抽吸(FNA)针在EUS-TA中对ML的诊断性能和组织学组织质量。方法:本回顾性研究纳入了因疑似ML而行EUS-TA的患者,比较FNB组和FNA组的诊断准确性、以评分评估的组织学样本质量和不良事件。对22号针头进行亚组分析。结果:FNB在细胞学上的诊断准确率(75%)高于FNA(50%),在组织学诊断上的灵敏度为100%,而FNA为78.9%。FNB组对世界卫生组织ML亚分类的诊断率明显更高(71.4%比31.6%,p=0.037)。此外,FNB获得了更好的组织学质量,71.4%的样本得分为5分,而FNA组为41.2%。两组的不良事件均最小。结论:EUS-FNB对ML的诊断性能和组织学组织质量优于EUS-FNA,特别是在获得足够的样本进行组织学评估和亚分类方面。因此,EUS-FNB可以安全地进行。未来的研究需要更大的样本量和基因检测。
本文章由计算机程序翻译,如有差异,请以英文原文为准。

A retrospective study on the comparative use of fine-needle biopsy and aspiration for the diagnosis and classification of malignant lymphoma in Japan.

A retrospective study on the comparative use of fine-needle biopsy and aspiration for the diagnosis and classification of malignant lymphoma in Japan.

A retrospective study on the comparative use of fine-needle biopsy and aspiration for the diagnosis and classification of malignant lymphoma in Japan.

A retrospective study on the comparative use of fine-needle biopsy and aspiration for the diagnosis and classification of malignant lymphoma in Japan.

Background: Endoscopic ultrasound-guided tissue acquisition (EUS-TA) is essential for diagnosing malignant lymphoma (ML). However, the optimal needle type for maximizing the diagnostic yield and tissue quality remains unclear. We compared the diagnostic performance and histological tissue quality between fine-needle biopsy (FNB) and fine-needle aspiration (FNA) needles in EUS-TA for ML.

Methods: This retrospective study included patients who underwent EUS-TA for suspected ML. The diagnostic accuracy, histological sample quality assessed by scoring, and adverse events were compared between the FNB and FNA groups. A subgroup analysis was performed for 22-gauge needles.

Results: FNB demonstrated higher diagnostic accuracy (75%) than FNA (50%) for cytology, with 100% sensitivity for histological diagnosis compared with 78.9% for FNA. The FNB group had significantly higher diagnostic rates for the World Health Organization subclassification of ML (71.4% vs. 31.6%, p=0.037). Additionally, FNB obtained superior histological quality, with 71.4% of samples scoring 5 compared with 41.2% in the FNA group. Adverse events were minimal in both groups.

Conclusions: EUS-FNB showed better diagnostic performance and histological tissue quality than EUS-FNA for ML, particularly in obtaining adequate samples for histological evaluation and subclassification. Therefore, EUS-FNB can be safely performed. Future research with larger sample sizes and genetic testing is warranted.

求助全文
通过发布文献求助,成功后即可免费获取论文全文。 去求助
来源期刊
Clinical Endoscopy
Clinical Endoscopy GASTROENTEROLOGY & HEPATOLOGY-
CiteScore
4.40
自引率
8.00%
发文量
95
审稿时长
26 weeks
×
引用
GB/T 7714-2015
复制
MLA
复制
APA
复制
导出至
BibTeX EndNote RefMan NoteFirst NoteExpress
×
提示
您的信息不完整,为了账户安全,请先补充。
现在去补充
×
提示
您因"违规操作"
具体请查看互助需知
我知道了
×
提示
确定
请完成安全验证×
copy
已复制链接
快去分享给好友吧!
我知道了
右上角分享
点击右上角分享
0
联系我们:info@booksci.cn Book学术提供免费学术资源搜索服务,方便国内外学者检索中英文文献。致力于提供最便捷和优质的服务体验。 Copyright © 2023 布克学术 All rights reserved.
京ICP备2023020795号-1
ghs 京公网安备 11010802042870号
Book学术文献互助
Book学术文献互助群
群 号:604180095
Book学术官方微信