菲律宾青少年男性肝脾血吸虫病表现为黑黑病:1例报告及文献回顾。

Q4 Medicine
Acta Medica Philippina Pub Date : 2025-04-30 eCollection Date: 2025-01-01 DOI:10.47895/amp.vi0.9817
Jeremiah C Torrico, Germana Emerita V Gregorio
{"title":"菲律宾青少年男性肝脾血吸虫病表现为黑黑病:1例报告及文献回顾。","authors":"Jeremiah C Torrico, Germana Emerita V Gregorio","doi":"10.47895/amp.vi0.9817","DOIUrl":null,"url":null,"abstract":"<p><p>Schistosomiasis, a snail-borne disease caused by infection with a trematode parasite of the genus Schistosoma, is one of the most neglected tropical diseases in the world. One of its rare complications is hepatosplenic schistosomiasis which ultimately leads to fibrosis and presinusoidal portal hypertension. We report a case of a 13-year-old Filipino male from Quezon City with previous one year residence in the endemic island of Leyte, presenting with melena. Diagnostic work-up revealed hepatosplenomegaly and periportal fibrosis with multiple hepatic nodules on ultrasound, positive <i>Schistosoma japonicum</i> eggs on Kato-Katz stool examination technique, and findings of esophageal varices on upper endoscopy. The patient was managed with praziquantel, propranolol, and endoscopic rubber band ligation of the esophageal varices, with note of resolution of bleeding, and improvement on sonographic liver findings. The degree of liver fibrosis from schistosomiasis is affected by poorly understood mechanisms which affect its severity, progression, and complications, regardless of biosocial factors including egg burden and duration of parasite exposure. This is the first case report on a Filipino adolescent to document significant interval improvement, within four weeks of treatment, of the characteristic fibrotic pattern in hepatosplenic schistosomiasis. Hepatosplenic schistosomiasis is still often missed out as the diagnosis in patients who consult with common symptoms, and high index of suspicion is recommended for those with history of residence in endemic areas. Likewise, treatment focusing on parasite eradication can aid in promptly addressing the resulting fibrosis and its complications.</p>","PeriodicalId":6994,"journal":{"name":"Acta Medica Philippina","volume":"59 5","pages":"92-98"},"PeriodicalIF":0.0000,"publicationDate":"2025-04-30","publicationTypes":"Journal Article","fieldsOfStudy":null,"isOpenAccess":false,"openAccessPdf":"https://www.ncbi.nlm.nih.gov/pmc/articles/PMC12106095/pdf/","citationCount":"0","resultStr":"{\"title\":\"Hepatosplenic Schistosomiasis Presenting as Melena in an Adolescent Filipino Male: A Case Report and Literature Review.\",\"authors\":\"Jeremiah C Torrico, Germana Emerita V Gregorio\",\"doi\":\"10.47895/amp.vi0.9817\",\"DOIUrl\":null,\"url\":null,\"abstract\":\"<p><p>Schistosomiasis, a snail-borne disease caused by infection with a trematode parasite of the genus Schistosoma, is one of the most neglected tropical diseases in the world. One of its rare complications is hepatosplenic schistosomiasis which ultimately leads to fibrosis and presinusoidal portal hypertension. We report a case of a 13-year-old Filipino male from Quezon City with previous one year residence in the endemic island of Leyte, presenting with melena. Diagnostic work-up revealed hepatosplenomegaly and periportal fibrosis with multiple hepatic nodules on ultrasound, positive <i>Schistosoma japonicum</i> eggs on Kato-Katz stool examination technique, and findings of esophageal varices on upper endoscopy. The patient was managed with praziquantel, propranolol, and endoscopic rubber band ligation of the esophageal varices, with note of resolution of bleeding, and improvement on sonographic liver findings. The degree of liver fibrosis from schistosomiasis is affected by poorly understood mechanisms which affect its severity, progression, and complications, regardless of biosocial factors including egg burden and duration of parasite exposure. This is the first case report on a Filipino adolescent to document significant interval improvement, within four weeks of treatment, of the characteristic fibrotic pattern in hepatosplenic schistosomiasis. Hepatosplenic schistosomiasis is still often missed out as the diagnosis in patients who consult with common symptoms, and high index of suspicion is recommended for those with history of residence in endemic areas. Likewise, treatment focusing on parasite eradication can aid in promptly addressing the resulting fibrosis and its complications.</p>\",\"PeriodicalId\":6994,\"journal\":{\"name\":\"Acta Medica Philippina\",\"volume\":\"59 5\",\"pages\":\"92-98\"},\"PeriodicalIF\":0.0000,\"publicationDate\":\"2025-04-30\",\"publicationTypes\":\"Journal Article\",\"fieldsOfStudy\":null,\"isOpenAccess\":false,\"openAccessPdf\":\"https://www.ncbi.nlm.nih.gov/pmc/articles/PMC12106095/pdf/\",\"citationCount\":\"0\",\"resultStr\":null,\"platform\":\"Semanticscholar\",\"paperid\":null,\"PeriodicalName\":\"Acta Medica Philippina\",\"FirstCategoryId\":\"1085\",\"ListUrlMain\":\"https://doi.org/10.47895/amp.vi0.9817\",\"RegionNum\":0,\"RegionCategory\":null,\"ArticlePicture\":[],\"TitleCN\":null,\"AbstractTextCN\":null,\"PMCID\":null,\"EPubDate\":\"2025/1/1 0:00:00\",\"PubModel\":\"eCollection\",\"JCR\":\"Q4\",\"JCRName\":\"Medicine\",\"Score\":null,\"Total\":0}","platform":"Semanticscholar","paperid":null,"PeriodicalName":"Acta Medica Philippina","FirstCategoryId":"1085","ListUrlMain":"https://doi.org/10.47895/amp.vi0.9817","RegionNum":0,"RegionCategory":null,"ArticlePicture":[],"TitleCN":null,"AbstractTextCN":null,"PMCID":null,"EPubDate":"2025/1/1 0:00:00","PubModel":"eCollection","JCR":"Q4","JCRName":"Medicine","Score":null,"Total":0}
引用次数: 0

摘要

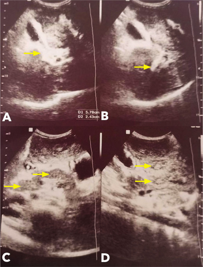
血吸虫病是由血吸虫属吸虫感染引起的一种由蜗牛传播的疾病,是世界上最被忽视的热带病之一。其罕见的并发症之一是肝脾血吸虫病,最终导致纤维化和静脉窦前门静脉高压症。我们报告一例来自奎松市的13岁菲律宾男性,曾在莱特岛居住一年,现患有黑黑病。诊断检查显示肝脾肿大及门静脉周围纤维化伴多肝结节,加藤-卡茨大便检查日本血吸虫卵阳性,上内镜检查食管静脉曲张。患者接受吡喹酮、心得安和内镜下食道静脉曲张橡皮筋结扎治疗,出血消退,超声检查肝脏表现改善。血吸虫病引起的肝纤维化程度受到影响其严重程度、进展和并发症的机制的影响,而与包括虫卵负荷和寄生虫暴露时间在内的生物社会因素无关。这是第一个菲律宾青少年的病例报告,在治疗四周内,肝脾血吸虫病的特征性纤维化模式有显著的间歇改善。肝脾型血吸虫病在就诊时有常见症状的患者中仍常被漏诊,对有疫区居住史的患者建议高度怀疑。同样,以寄生虫根除为重点的治疗可以帮助及时解决由此产生的纤维化及其并发症。
本文章由计算机程序翻译,如有差异,请以英文原文为准。

Hepatosplenic Schistosomiasis Presenting as Melena in an Adolescent Filipino Male: A Case Report and Literature Review.

Hepatosplenic Schistosomiasis Presenting as Melena in an Adolescent Filipino Male: A Case Report and Literature Review.

Hepatosplenic Schistosomiasis Presenting as Melena in an Adolescent Filipino Male: A Case Report and Literature Review.

Hepatosplenic Schistosomiasis Presenting as Melena in an Adolescent Filipino Male: A Case Report and Literature Review.

Schistosomiasis, a snail-borne disease caused by infection with a trematode parasite of the genus Schistosoma, is one of the most neglected tropical diseases in the world. One of its rare complications is hepatosplenic schistosomiasis which ultimately leads to fibrosis and presinusoidal portal hypertension. We report a case of a 13-year-old Filipino male from Quezon City with previous one year residence in the endemic island of Leyte, presenting with melena. Diagnostic work-up revealed hepatosplenomegaly and periportal fibrosis with multiple hepatic nodules on ultrasound, positive Schistosoma japonicum eggs on Kato-Katz stool examination technique, and findings of esophageal varices on upper endoscopy. The patient was managed with praziquantel, propranolol, and endoscopic rubber band ligation of the esophageal varices, with note of resolution of bleeding, and improvement on sonographic liver findings. The degree of liver fibrosis from schistosomiasis is affected by poorly understood mechanisms which affect its severity, progression, and complications, regardless of biosocial factors including egg burden and duration of parasite exposure. This is the first case report on a Filipino adolescent to document significant interval improvement, within four weeks of treatment, of the characteristic fibrotic pattern in hepatosplenic schistosomiasis. Hepatosplenic schistosomiasis is still often missed out as the diagnosis in patients who consult with common symptoms, and high index of suspicion is recommended for those with history of residence in endemic areas. Likewise, treatment focusing on parasite eradication can aid in promptly addressing the resulting fibrosis and its complications.

求助全文
通过发布文献求助,成功后即可免费获取论文全文。 去求助
来源期刊
Acta Medica Philippina
Acta Medica Philippina Medicine-Medicine (all)
CiteScore
0.40
自引率
0.00%
发文量
199
×
引用
GB/T 7714-2015
复制
MLA
复制
APA
复制
导出至
BibTeX EndNote RefMan NoteFirst NoteExpress
×
提示
您的信息不完整,为了账户安全,请先补充。
现在去补充
×
提示
您因"违规操作"
具体请查看互助需知
我知道了
×
提示
确定
请完成安全验证×
copy
已复制链接
快去分享给好友吧!
我知道了
右上角分享
点击右上角分享
0
联系我们:info@booksci.cn Book学术提供免费学术资源搜索服务,方便国内外学者检索中英文文献。致力于提供最便捷和优质的服务体验。 Copyright © 2023 布克学术 All rights reserved.
京ICP备2023020795号-1
ghs 京公网安备 11010802042870号
Book学术文献互助
Book学术文献互助群
群 号:604180095
Book学术官方微信