尿道下裂远端内、外包皮微血管密度及生长因子水平的比较。

IF 1.1 0 UROLOGY & NEPHROLOGY
Gaurav Prasad, Himanshu H, Anjan Kumar Dhua, Seema Kaushal, Aswini Prabakaran, Shahnaz Ahmad Lone, Prabudh Goel, Sandeep Agarwala, Devendra Kumar Yadav, Hem Chandra Sati
{"title":"尿道下裂远端内、外包皮微血管密度及生长因子水平的比较。","authors":"Gaurav Prasad, Himanshu H, Anjan Kumar Dhua, Seema Kaushal, Aswini Prabakaran, Shahnaz Ahmad Lone, Prabudh Goel, Sandeep Agarwala, Devendra Kumar Yadav, Hem Chandra Sati","doi":"10.5152/tud.2025.24132","DOIUrl":null,"url":null,"abstract":"<p><p>Objective: Preputial flaps are frequently used in hypospadias repair, but the healing potential of preputial tissue remains a concern. This study aimed to evaluate the microvessel density (MVD) and growth factor receptor levels (VEGFR and TGF-!R) in the prepuce of patients with hypospadias compared to controls and to compare these parameters between the inner and outer preputial layers to determine their relative suitability for hypospadias repair. Methods: The study included children under 14 years of age undergoing primary distal hypospadias surgery as cases and individuals undergoing elective circumcision as controls. Specimens from the inner and outer prepuce were collected, and immunohistochemical staining was performed using CD31 antibodies to assess MVD and VEGFR and TGF-!R antibodies to evaluate growth factor levels. The staining intensity was semi- quantitatively analyzed using a histological scoring system. Results: Microvessel density was significantly higher in the inner prepuce than the outer prepuce in both cases and controls (P < .05), suggesting a potential advantage of inner prepuce tissue in hypospadias repair. Conversely, VEGFR levels were significantly higher in the outer prepuce in cases (P < .05), indicating different healing potentials between these layers. Transforming growth factor ! receptor levels were significantly lower in both the inner and outer prepuce of controls compared to cases (P < .05). Other findings did not reach statistical significance. Conclusion: The higher MVD in the inner prepuce suggests it may be preferable for hypospadias repair. However, the differential VEGFR levels between the inner and outer prepuce highlight complex healing dynamics, emphasizing the need for further research to draw definitive conclusions.</p>","PeriodicalId":101337,"journal":{"name":"Urology research & practice","volume":"51 1","pages":"1-6"},"PeriodicalIF":1.1000,"publicationDate":"2025-05-21","publicationTypes":"Journal Article","fieldsOfStudy":null,"isOpenAccess":false,"openAccessPdf":"https://www.ncbi.nlm.nih.gov/pmc/articles/PMC12128352/pdf/","citationCount":"0","resultStr":"{\"title\":\"Comparison of Microvessel Density and Growth Factor Levels Between Inner and Outer Prepuce in Distal Hypospadias.\",\"authors\":\"Gaurav Prasad, Himanshu H, Anjan Kumar Dhua, Seema Kaushal, Aswini Prabakaran, Shahnaz Ahmad Lone, Prabudh Goel, Sandeep Agarwala, Devendra Kumar Yadav, Hem Chandra Sati\",\"doi\":\"10.5152/tud.2025.24132\",\"DOIUrl\":null,\"url\":null,\"abstract\":\"<p><p>Objective: Preputial flaps are frequently used in hypospadias repair, but the healing potential of preputial tissue remains a concern. This study aimed to evaluate the microvessel density (MVD) and growth factor receptor levels (VEGFR and TGF-!R) in the prepuce of patients with hypospadias compared to controls and to compare these parameters between the inner and outer preputial layers to determine their relative suitability for hypospadias repair. Methods: The study included children under 14 years of age undergoing primary distal hypospadias surgery as cases and individuals undergoing elective circumcision as controls. Specimens from the inner and outer prepuce were collected, and immunohistochemical staining was performed using CD31 antibodies to assess MVD and VEGFR and TGF-!R antibodies to evaluate growth factor levels. The staining intensity was semi- quantitatively analyzed using a histological scoring system. Results: Microvessel density was significantly higher in the inner prepuce than the outer prepuce in both cases and controls (P < .05), suggesting a potential advantage of inner prepuce tissue in hypospadias repair. Conversely, VEGFR levels were significantly higher in the outer prepuce in cases (P < .05), indicating different healing potentials between these layers. Transforming growth factor ! receptor levels were significantly lower in both the inner and outer prepuce of controls compared to cases (P < .05). Other findings did not reach statistical significance. Conclusion: The higher MVD in the inner prepuce suggests it may be preferable for hypospadias repair. However, the differential VEGFR levels between the inner and outer prepuce highlight complex healing dynamics, emphasizing the need for further research to draw definitive conclusions.</p>\",\"PeriodicalId\":101337,\"journal\":{\"name\":\"Urology research & practice\",\"volume\":\"51 1\",\"pages\":\"1-6\"},\"PeriodicalIF\":1.1000,\"publicationDate\":\"2025-05-21\",\"publicationTypes\":\"Journal Article\",\"fieldsOfStudy\":null,\"isOpenAccess\":false,\"openAccessPdf\":\"https://www.ncbi.nlm.nih.gov/pmc/articles/PMC12128352/pdf/\",\"citationCount\":\"0\",\"resultStr\":null,\"platform\":\"Semanticscholar\",\"paperid\":null,\"PeriodicalName\":\"Urology research & practice\",\"FirstCategoryId\":\"1085\",\"ListUrlMain\":\"https://doi.org/10.5152/tud.2025.24132\",\"RegionNum\":0,\"RegionCategory\":null,\"ArticlePicture\":[],\"TitleCN\":null,\"AbstractTextCN\":null,\"PMCID\":null,\"EPubDate\":\"\",\"PubModel\":\"\",\"JCR\":\"0\",\"JCRName\":\"UROLOGY & NEPHROLOGY\",\"Score\":null,\"Total\":0}","platform":"Semanticscholar","paperid":null,"PeriodicalName":"Urology research & practice","FirstCategoryId":"1085","ListUrlMain":"https://doi.org/10.5152/tud.2025.24132","RegionNum":0,"RegionCategory":null,"ArticlePicture":[],"TitleCN":null,"AbstractTextCN":null,"PMCID":null,"EPubDate":"","PubModel":"","JCR":"0","JCRName":"UROLOGY & NEPHROLOGY","Score":null,"Total":0}
引用次数: 0

摘要

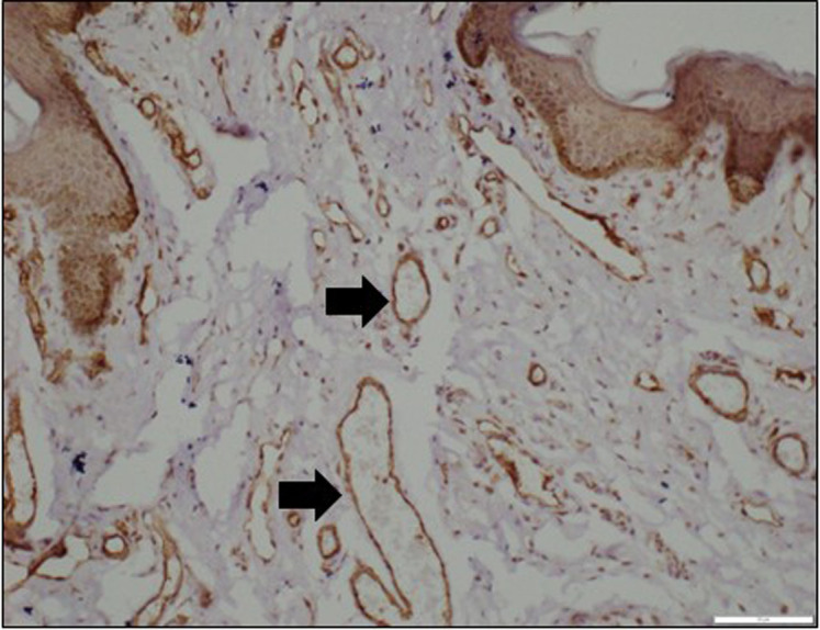
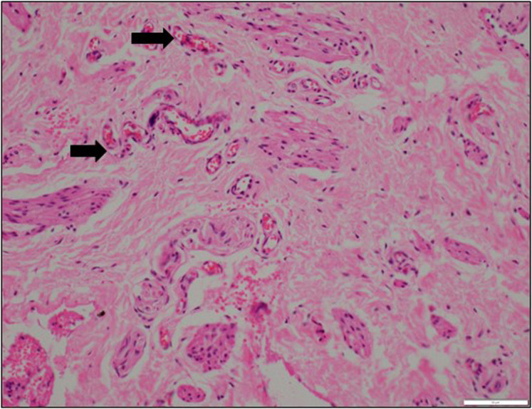
目的:包皮皮瓣在尿道下裂修复中应用广泛,但包皮组织的愈合潜力仍然是一个值得关注的问题。本研究旨在评估尿道下裂患者包皮与对照组相比的微血管密度(MVD)和生长因子受体(VEGFR和TGF-!R)水平,并比较包皮内外层的这些参数,以确定其在尿道下裂修复中的相对适宜性。方法:该研究包括14岁以下接受原发性尿道下裂手术的儿童和接受选择性包皮环切术的个体作为对照。取内包皮和外包皮标本,用CD31抗体进行免疫组化染色,评估MVD、VEGFR和TGF-!R抗体评估生长因子水平。用组织学评分系统半定量分析染色强度。结果:内包皮微血管密度显著高于外包皮(P < 0.05),提示内包皮组织在尿道下裂修复中具有潜在优势。相反,在病例中,外包皮的VEGFR水平显著高于外包皮(P < 0.05),表明这两层之间的愈合潜力不同。转化生长因子!对照组内包皮和外包皮的受体水平均显著低于对照组(P < 0.05)。其他研究结果均无统计学意义。结论:内包皮较高的MVD可能是尿道下裂修复的首选方法。然而,内包皮和外包皮之间VEGFR水平的差异突出了复杂的愈合动力学,强调需要进一步研究以得出明确的结论。
本文章由计算机程序翻译,如有差异,请以英文原文为准。

Comparison of Microvessel Density and Growth Factor Levels Between Inner and Outer Prepuce in Distal Hypospadias.

Comparison of Microvessel Density and Growth Factor Levels Between Inner and Outer Prepuce in Distal Hypospadias.

Comparison of Microvessel Density and Growth Factor Levels Between Inner and Outer Prepuce in Distal Hypospadias.

Comparison of Microvessel Density and Growth Factor Levels Between Inner and Outer Prepuce in Distal Hypospadias.

Objective: Preputial flaps are frequently used in hypospadias repair, but the healing potential of preputial tissue remains a concern. This study aimed to evaluate the microvessel density (MVD) and growth factor receptor levels (VEGFR and TGF-!R) in the prepuce of patients with hypospadias compared to controls and to compare these parameters between the inner and outer preputial layers to determine their relative suitability for hypospadias repair. Methods: The study included children under 14 years of age undergoing primary distal hypospadias surgery as cases and individuals undergoing elective circumcision as controls. Specimens from the inner and outer prepuce were collected, and immunohistochemical staining was performed using CD31 antibodies to assess MVD and VEGFR and TGF-!R antibodies to evaluate growth factor levels. The staining intensity was semi- quantitatively analyzed using a histological scoring system. Results: Microvessel density was significantly higher in the inner prepuce than the outer prepuce in both cases and controls (P < .05), suggesting a potential advantage of inner prepuce tissue in hypospadias repair. Conversely, VEGFR levels were significantly higher in the outer prepuce in cases (P < .05), indicating different healing potentials between these layers. Transforming growth factor ! receptor levels were significantly lower in both the inner and outer prepuce of controls compared to cases (P < .05). Other findings did not reach statistical significance. Conclusion: The higher MVD in the inner prepuce suggests it may be preferable for hypospadias repair. However, the differential VEGFR levels between the inner and outer prepuce highlight complex healing dynamics, emphasizing the need for further research to draw definitive conclusions.

求助全文
通过发布文献求助,成功后即可免费获取论文全文。 去求助
来源期刊
CiteScore
2.60
自引率
0.00%
发文量
0
×
引用
GB/T 7714-2015
复制
MLA
复制
APA
复制
导出至
BibTeX EndNote RefMan NoteFirst NoteExpress
×
提示
您的信息不完整,为了账户安全,请先补充。
现在去补充
×
提示
您因"违规操作"
具体请查看互助需知
我知道了
×
提示
确定
请完成安全验证×
copy
已复制链接
快去分享给好友吧!
我知道了
右上角分享
点击右上角分享
0
联系我们:info@booksci.cn Book学术提供免费学术资源搜索服务,方便国内外学者检索中英文文献。致力于提供最便捷和优质的服务体验。 Copyright © 2023 布克学术 All rights reserved.
京ICP备2023020795号-1
ghs 京公网安备 11010802042870号
Book学术文献互助
Book学术文献互助群
群 号:604180095
Book学术官方微信