早产三胞胎与母乳相关的晚发型B组链球菌脓毒症:1例报告和文献复习。

Q3 Medicine
Qatar Medical Journal Pub Date : 2025-01-27 eCollection Date: 2025-01-01 DOI:10.5339/qmj.2025.25
Manar Saleh, Wesam Abuqura, Fouad Abounahia, Ashraf Gad
{"title":"早产三胞胎与母乳相关的晚发型B组链球菌脓毒症:1例报告和文献复习。","authors":"Manar Saleh, Wesam Abuqura, Fouad Abounahia, Ashraf Gad","doi":"10.5339/qmj.2025.25","DOIUrl":null,"url":null,"abstract":"<p><strong>Background: </strong>Late-onset group B <i>streptococcus</i> (LOGBS) sepsis is a notable cause of morbidity and mortality in preterm neonates. While the vertical transmission of group B <i>streptococcus</i> (GBS) during delivery is well established, the potential role of breast milk in the transmission of LOGBS is not as clearly understood. This case report examines a unique instance of preterm triplets developing LOGBS sepsis following maternal GBS mastitis, with the aim of investigating the possible association between breast milk and LOGBS infection in preterm infants.</p><p><strong>Case presentation: </strong>A set of preterm male triplets born at 30 weeks of gestation were admitted to the neonatal intensive care unit. At two weeks of age, the infants showed clinical manifestations of LOGBS sepsis, including septicemia. Additionally, one of the triplets developed meningitis complicated by hydrocephalus, while another developed necrotizing enterocolitis (NEC). Concurrently, their mother was diagnosed with mastitis and her breast milk cultures tested positive for GBS. The triplets were treated with systemic antibiotics. However, triplet B subsequently required a ventriculoperitoneal shunt for hydrocephalus management, and triplet C underwent laparotomy for NEC treatment.</p><p><strong>Conclusion: </strong>The occurrence of LOGBS sepsis in these preterm triplets, coupled with maternal GBS mastitis and positive breast milk cultures, raises critical questions regarding breast milk as a possible route of transmission for LOGBS. Understanding this relationship is vital for improving clinical practice, particularly in the management of recurrent infections in this vulnerable population.</p>","PeriodicalId":53667,"journal":{"name":"Qatar Medical Journal","volume":"2025 1","pages":"25"},"PeriodicalIF":0.0000,"publicationDate":"2025-01-27","publicationTypes":"Journal Article","fieldsOfStudy":null,"isOpenAccess":false,"openAccessPdf":"https://www.ncbi.nlm.nih.gov/pmc/articles/PMC12109676/pdf/","citationCount":"0","resultStr":"{\"title\":\"Breast milk-associated late-onset group B streptococcus sepsis in preterm triplets: A case report and literature review.\",\"authors\":\"Manar Saleh, Wesam Abuqura, Fouad Abounahia, Ashraf Gad\",\"doi\":\"10.5339/qmj.2025.25\",\"DOIUrl\":null,\"url\":null,\"abstract\":\"<p><strong>Background: </strong>Late-onset group B <i>streptococcus</i> (LOGBS) sepsis is a notable cause of morbidity and mortality in preterm neonates. While the vertical transmission of group B <i>streptococcus</i> (GBS) during delivery is well established, the potential role of breast milk in the transmission of LOGBS is not as clearly understood. This case report examines a unique instance of preterm triplets developing LOGBS sepsis following maternal GBS mastitis, with the aim of investigating the possible association between breast milk and LOGBS infection in preterm infants.</p><p><strong>Case presentation: </strong>A set of preterm male triplets born at 30 weeks of gestation were admitted to the neonatal intensive care unit. At two weeks of age, the infants showed clinical manifestations of LOGBS sepsis, including septicemia. Additionally, one of the triplets developed meningitis complicated by hydrocephalus, while another developed necrotizing enterocolitis (NEC). Concurrently, their mother was diagnosed with mastitis and her breast milk cultures tested positive for GBS. The triplets were treated with systemic antibiotics. However, triplet B subsequently required a ventriculoperitoneal shunt for hydrocephalus management, and triplet C underwent laparotomy for NEC treatment.</p><p><strong>Conclusion: </strong>The occurrence of LOGBS sepsis in these preterm triplets, coupled with maternal GBS mastitis and positive breast milk cultures, raises critical questions regarding breast milk as a possible route of transmission for LOGBS. Understanding this relationship is vital for improving clinical practice, particularly in the management of recurrent infections in this vulnerable population.</p>\",\"PeriodicalId\":53667,\"journal\":{\"name\":\"Qatar Medical Journal\",\"volume\":\"2025 1\",\"pages\":\"25\"},\"PeriodicalIF\":0.0000,\"publicationDate\":\"2025-01-27\",\"publicationTypes\":\"Journal Article\",\"fieldsOfStudy\":null,\"isOpenAccess\":false,\"openAccessPdf\":\"https://www.ncbi.nlm.nih.gov/pmc/articles/PMC12109676/pdf/\",\"citationCount\":\"0\",\"resultStr\":null,\"platform\":\"Semanticscholar\",\"paperid\":null,\"PeriodicalName\":\"Qatar Medical Journal\",\"FirstCategoryId\":\"1085\",\"ListUrlMain\":\"https://doi.org/10.5339/qmj.2025.25\",\"RegionNum\":0,\"RegionCategory\":null,\"ArticlePicture\":[],\"TitleCN\":null,\"AbstractTextCN\":null,\"PMCID\":null,\"EPubDate\":\"2025/1/1 0:00:00\",\"PubModel\":\"eCollection\",\"JCR\":\"Q3\",\"JCRName\":\"Medicine\",\"Score\":null,\"Total\":0}","platform":"Semanticscholar","paperid":null,"PeriodicalName":"Qatar Medical Journal","FirstCategoryId":"1085","ListUrlMain":"https://doi.org/10.5339/qmj.2025.25","RegionNum":0,"RegionCategory":null,"ArticlePicture":[],"TitleCN":null,"AbstractTextCN":null,"PMCID":null,"EPubDate":"2025/1/1 0:00:00","PubModel":"eCollection","JCR":"Q3","JCRName":"Medicine","Score":null,"Total":0}
引用次数: 0

摘要

背景:迟发性B群链球菌(LOGBS)败血症是早产婴儿发病和死亡的重要原因。虽然B族链球菌(GBS)在分娩过程中的垂直传播已经确定,但母乳在LOGBS传播中的潜在作用尚不清楚。本病例报告研究了一个独特的早产三胞胎在母体GBS乳腺炎后发生LOGBS败血症的病例,目的是调查母乳与早产儿LOGBS感染之间可能的联系。病例介绍:一组在妊娠30周出生的早产男性三胞胎被送入新生儿重症监护病房。在两周龄时,婴儿表现出LOGBS败血症的临床表现,包括败血症。此外,三胞胎中的一个发展为脑膜炎并发脑积水,而另一个发展为坏死性小肠结肠炎(NEC)。同时,他们的母亲被诊断出患有乳腺炎,她的母乳培养检测出GBS阳性。三胞胎接受全身抗生素治疗。然而,三胞胎B随后需要脑室-腹膜分流术治疗脑积水,三胞胎C接受剖腹手术治疗NEC。结论:这些早产三胞胎中LOGBS败血症的发生,加上母体GBS乳腺炎和母乳培养阳性,提出了母乳是否可能是LOGBS传播途径的关键问题。了解这种关系对于改善临床实践至关重要,特别是在易感人群中反复感染的管理方面。
本文章由计算机程序翻译,如有差异,请以英文原文为准。

Breast milk-associated late-onset group B streptococcus sepsis in preterm triplets: A case report and literature review.

Breast milk-associated late-onset group B streptococcus sepsis in preterm triplets: A case report and literature review.

Breast milk-associated late-onset group B streptococcus sepsis in preterm triplets: A case report and literature review.

Background: Late-onset group B streptococcus (LOGBS) sepsis is a notable cause of morbidity and mortality in preterm neonates. While the vertical transmission of group B streptococcus (GBS) during delivery is well established, the potential role of breast milk in the transmission of LOGBS is not as clearly understood. This case report examines a unique instance of preterm triplets developing LOGBS sepsis following maternal GBS mastitis, with the aim of investigating the possible association between breast milk and LOGBS infection in preterm infants.

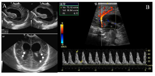
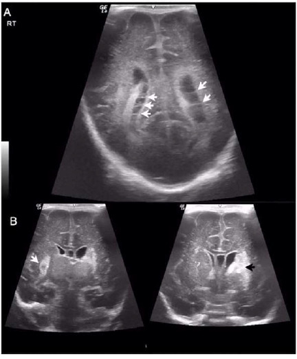
Case presentation: A set of preterm male triplets born at 30 weeks of gestation were admitted to the neonatal intensive care unit. At two weeks of age, the infants showed clinical manifestations of LOGBS sepsis, including septicemia. Additionally, one of the triplets developed meningitis complicated by hydrocephalus, while another developed necrotizing enterocolitis (NEC). Concurrently, their mother was diagnosed with mastitis and her breast milk cultures tested positive for GBS. The triplets were treated with systemic antibiotics. However, triplet B subsequently required a ventriculoperitoneal shunt for hydrocephalus management, and triplet C underwent laparotomy for NEC treatment.

Conclusion: The occurrence of LOGBS sepsis in these preterm triplets, coupled with maternal GBS mastitis and positive breast milk cultures, raises critical questions regarding breast milk as a possible route of transmission for LOGBS. Understanding this relationship is vital for improving clinical practice, particularly in the management of recurrent infections in this vulnerable population.

求助全文
通过发布文献求助,成功后即可免费获取论文全文。 去求助
来源期刊
Qatar Medical Journal
Qatar Medical Journal Medicine-Medicine (all)
CiteScore
1.80
自引率
0.00%
发文量
77
审稿时长
6 weeks
×
引用
GB/T 7714-2015
复制
MLA
复制
APA
复制
导出至
BibTeX EndNote RefMan NoteFirst NoteExpress
×
提示
您的信息不完整,为了账户安全,请先补充。
现在去补充
×
提示
您因"违规操作"
具体请查看互助需知
我知道了
×
提示
确定
请完成安全验证×
copy
已复制链接
快去分享给好友吧!
我知道了
右上角分享
点击右上角分享
0
联系我们:info@booksci.cn Book学术提供免费学术资源搜索服务,方便国内外学者检索中英文文献。致力于提供最便捷和优质的服务体验。 Copyright © 2023 布克学术 All rights reserved.
京ICP备2023020795号-1
ghs 京公网安备 11010802042870号
Book学术文献互助
Book学术文献互助群
群 号:604180095
Book学术官方微信