儿童白血病伴阴道出血的罕见表现:1例报告。

IF 0.7 Q4 HEMATOLOGY
Case Reports in Hematology Pub Date : 2025-05-20 eCollection Date: 2025-01-01 DOI:10.1155/crh/9949125
Şule Çalışkan Kamış
{"title":"儿童白血病伴阴道出血的罕见表现:1例报告。","authors":"Şule Çalışkan Kamış","doi":"10.1155/crh/9949125","DOIUrl":null,"url":null,"abstract":"<p><p><b>Introduction:</b> This case report describes a 17-year-old female patient who initially presented with vaginal bleeding, weight loss, and nonspecific symptoms, which led to the diagnosis of B-cell acute lymphoblastic leukemia (B-ALL). This unusual presentation highlights the importance of considering hematological malignancies in patients with atypical symptoms. <b>Case Presentation:</b> The patient, married for 2 weeks, experienced vaginal bleeding following her first sexual intercourse, which did not resolve spontaneously. She also reported a 6 kg weight loss over the past 3-4 months, hair loss, and a history of dysmenorrhea and an ovarian cyst detected 2 years prior. Laboratory investigations revealed leukocytosis (WBC: 16,500/μL), anemia (Hb: 11.4 g/dL), and thrombocytopenia (Plt: 44,000/μL). Bone marrow aspiration (BMA) and flow cytometry confirmed the diagnosis of B-ALL, revealing a high percentage of atypical lymphoid cells. <b>Discussion:</b> This case underscores the rarity of diagnosing hematological malignancies in patients with vaginal bleeding. The patient's symptoms, including weight loss and thrombocytopenia, should have prompted a more comprehensive evaluation. Early recognition of B-ALL is crucial as prompt treatment significantly improves outcomes. The patient was started on prednisolone and alkalinized fluids, and her condition was closely monitored. <b>Conclusion:</b> Vaginal bleeding in young patients should not be dismissed as a minor issue, especially when accompanied by other systemic symptoms like weight loss and thrombocytopenia. Early diagnosis of B-ALL in such cases can lead to better management and prognosis.</p>","PeriodicalId":46307,"journal":{"name":"Case Reports in Hematology","volume":"2025 ","pages":"9949125"},"PeriodicalIF":0.7000,"publicationDate":"2025-05-20","publicationTypes":"Journal Article","fieldsOfStudy":null,"isOpenAccess":false,"openAccessPdf":"https://www.ncbi.nlm.nih.gov/pmc/articles/PMC12116196/pdf/","citationCount":"0","resultStr":"{\"title\":\"Unusual Presentation of Childhood Leukemia With Vaginal Bleeding: A Case Report.\",\"authors\":\"Şule Çalışkan Kamış\",\"doi\":\"10.1155/crh/9949125\",\"DOIUrl\":null,\"url\":null,\"abstract\":\"<p><p><b>Introduction:</b> This case report describes a 17-year-old female patient who initially presented with vaginal bleeding, weight loss, and nonspecific symptoms, which led to the diagnosis of B-cell acute lymphoblastic leukemia (B-ALL). This unusual presentation highlights the importance of considering hematological malignancies in patients with atypical symptoms. <b>Case Presentation:</b> The patient, married for 2 weeks, experienced vaginal bleeding following her first sexual intercourse, which did not resolve spontaneously. She also reported a 6 kg weight loss over the past 3-4 months, hair loss, and a history of dysmenorrhea and an ovarian cyst detected 2 years prior. Laboratory investigations revealed leukocytosis (WBC: 16,500/μL), anemia (Hb: 11.4 g/dL), and thrombocytopenia (Plt: 44,000/μL). Bone marrow aspiration (BMA) and flow cytometry confirmed the diagnosis of B-ALL, revealing a high percentage of atypical lymphoid cells. <b>Discussion:</b> This case underscores the rarity of diagnosing hematological malignancies in patients with vaginal bleeding. The patient's symptoms, including weight loss and thrombocytopenia, should have prompted a more comprehensive evaluation. Early recognition of B-ALL is crucial as prompt treatment significantly improves outcomes. The patient was started on prednisolone and alkalinized fluids, and her condition was closely monitored. <b>Conclusion:</b> Vaginal bleeding in young patients should not be dismissed as a minor issue, especially when accompanied by other systemic symptoms like weight loss and thrombocytopenia. Early diagnosis of B-ALL in such cases can lead to better management and prognosis.</p>\",\"PeriodicalId\":46307,\"journal\":{\"name\":\"Case Reports in Hematology\",\"volume\":\"2025 \",\"pages\":\"9949125\"},\"PeriodicalIF\":0.7000,\"publicationDate\":\"2025-05-20\",\"publicationTypes\":\"Journal Article\",\"fieldsOfStudy\":null,\"isOpenAccess\":false,\"openAccessPdf\":\"https://www.ncbi.nlm.nih.gov/pmc/articles/PMC12116196/pdf/\",\"citationCount\":\"0\",\"resultStr\":null,\"platform\":\"Semanticscholar\",\"paperid\":null,\"PeriodicalName\":\"Case Reports in Hematology\",\"FirstCategoryId\":\"1085\",\"ListUrlMain\":\"https://doi.org/10.1155/crh/9949125\",\"RegionNum\":0,\"RegionCategory\":null,\"ArticlePicture\":[],\"TitleCN\":null,\"AbstractTextCN\":null,\"PMCID\":null,\"EPubDate\":\"2025/1/1 0:00:00\",\"PubModel\":\"eCollection\",\"JCR\":\"Q4\",\"JCRName\":\"HEMATOLOGY\",\"Score\":null,\"Total\":0}","platform":"Semanticscholar","paperid":null,"PeriodicalName":"Case Reports in Hematology","FirstCategoryId":"1085","ListUrlMain":"https://doi.org/10.1155/crh/9949125","RegionNum":0,"RegionCategory":null,"ArticlePicture":[],"TitleCN":null,"AbstractTextCN":null,"PMCID":null,"EPubDate":"2025/1/1 0:00:00","PubModel":"eCollection","JCR":"Q4","JCRName":"HEMATOLOGY","Score":null,"Total":0}
引用次数: 0

摘要

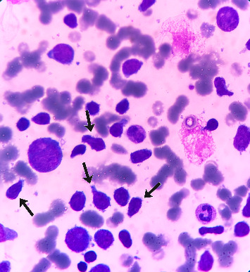
本病例报告描述了一位17岁的女性患者,她最初表现为阴道出血、体重减轻和非特异性症状,最终被诊断为b细胞急性淋巴细胞白血病(B-ALL)。这种不寻常的表现强调了在非典型症状患者中考虑血液恶性肿瘤的重要性。病例介绍:患者结婚2周,第一次性交后阴道出血,未自行消退。她还报告在过去3-4个月体重减轻6公斤,脱发,有痛经史,2年前发现卵巢囊肿。实验室检查显示白细胞增多(WBC: 16500 /μL),贫血(Hb: 11.4 g/dL)和血小板减少(Plt: 44000 /μL)。骨髓穿刺(BMA)和流式细胞术证实B-ALL的诊断,显示非典型淋巴样细胞的高比例。讨论:本病例强调了在阴道出血患者中诊断血液恶性肿瘤的罕见性。患者的症状,包括体重减轻和血小板减少,本应进行更全面的评估。早期发现B-ALL至关重要,因为及时治疗可显著改善预后。患者开始使用强的松龙和碱化液体,并密切监测其病情。结论:年轻患者阴道出血不应被视为一个小问题,特别是当伴有体重减轻和血小板减少等其他全身性症状时。在这些病例中,B-ALL的早期诊断可导致更好的治疗和预后。
本文章由计算机程序翻译,如有差异,请以英文原文为准。

Unusual Presentation of Childhood Leukemia With Vaginal Bleeding: A Case Report.

Unusual Presentation of Childhood Leukemia With Vaginal Bleeding: A Case Report.

Unusual Presentation of Childhood Leukemia With Vaginal Bleeding: A Case Report.

Introduction: This case report describes a 17-year-old female patient who initially presented with vaginal bleeding, weight loss, and nonspecific symptoms, which led to the diagnosis of B-cell acute lymphoblastic leukemia (B-ALL). This unusual presentation highlights the importance of considering hematological malignancies in patients with atypical symptoms. Case Presentation: The patient, married for 2 weeks, experienced vaginal bleeding following her first sexual intercourse, which did not resolve spontaneously. She also reported a 6 kg weight loss over the past 3-4 months, hair loss, and a history of dysmenorrhea and an ovarian cyst detected 2 years prior. Laboratory investigations revealed leukocytosis (WBC: 16,500/μL), anemia (Hb: 11.4 g/dL), and thrombocytopenia (Plt: 44,000/μL). Bone marrow aspiration (BMA) and flow cytometry confirmed the diagnosis of B-ALL, revealing a high percentage of atypical lymphoid cells. Discussion: This case underscores the rarity of diagnosing hematological malignancies in patients with vaginal bleeding. The patient's symptoms, including weight loss and thrombocytopenia, should have prompted a more comprehensive evaluation. Early recognition of B-ALL is crucial as prompt treatment significantly improves outcomes. The patient was started on prednisolone and alkalinized fluids, and her condition was closely monitored. Conclusion: Vaginal bleeding in young patients should not be dismissed as a minor issue, especially when accompanied by other systemic symptoms like weight loss and thrombocytopenia. Early diagnosis of B-ALL in such cases can lead to better management and prognosis.

求助全文
通过发布文献求助,成功后即可免费获取论文全文。 去求助
来源期刊
自引率
0.00%
发文量
51
审稿时长
13 weeks
×
引用
GB/T 7714-2015
复制
MLA
复制
APA
复制
导出至
BibTeX EndNote RefMan NoteFirst NoteExpress
×
提示
您的信息不完整,为了账户安全,请先补充。
现在去补充
×
提示
您因"违规操作"
具体请查看互助需知
我知道了
×
提示
确定
请完成安全验证×
copy
已复制链接
快去分享给好友吧!
我知道了
右上角分享
点击右上角分享
0
联系我们:info@booksci.cn Book学术提供免费学术资源搜索服务,方便国内外学者检索中英文文献。致力于提供最便捷和优质的服务体验。 Copyright © 2023 布克学术 All rights reserved.
京ICP备2023020795号-1
ghs 京公网安备 11010802042870号
Book学术文献互助
Book学术文献互助群
群 号:604180095
Book学术官方微信