基于图像的深度学习模型预测CT≤2 cm肺腺癌淋巴结转移。

IF 2.3 3区 医学 Q3 ONCOLOGY
Shang Liu, Zhen Gao, Li-Feng Shi, Han Xiao, Su Li, Meng Li, Zhong-Min Peng
{"title":"基于图像的深度学习模型预测CT≤2 cm肺腺癌淋巴结转移。","authors":"Shang Liu, Zhen Gao, Li-Feng Shi, Han Xiao, Su Li, Meng Li, Zhong-Min Peng","doi":"10.1111/1759-7714.70048","DOIUrl":null,"url":null,"abstract":"<p><strong>Background: </strong>Lymph node metastasis (LNM) poses a considerable threat to survival in lung adenocarcinoma. Currently, minor resection is the recommended surgical approach for small-diameter lung cancer. The accurate preoperative identification of LNM in patients with small-diameter lung cancer is important for improving patient survival and outcomes.</p><p><strong>Methods: </strong>A total of 1740 patients with clinical early-stage lung adenocarcinoma who underwent surgical resection were enrolled in this study. The Lasso model was used to screen clinical and imaging features, and multivariate logistic regression analysis was used to analyze the relevant diagnostic factors to establish a diagnostic model for predicting LNM. Receiver operating characteristic (ROC) curve analysis, decision curve analysis (DCA) and calibration curve analysis were used to verify the clinical efficacy of the model, which was further validated with an internal validation set.</p><p><strong>Results: </strong>The proportion of solid components (PSC), sphericity, nodule margin, entropy, and edge blur were identified as diagnostic factors that were strongly correlated with LNM in lung adenocarcinoma patients. The area under the ROC curve (AUC) in the internal training set was 0.91. Decision curve analysis revealed that the model could achieve greater benefits for patients. The calibration curve was used to further verify the applicability of the prediction model.</p><p><strong>Conclusions: </strong>Patients with early-stage lung adenocarcinoma with LNM can be identified by typical imaging features. The diagnostic model can help to optimize surgical planning among thoracic surgeons.</p>","PeriodicalId":23338,"journal":{"name":"Thoracic Cancer","volume":"16 10","pages":"e70048"},"PeriodicalIF":2.3000,"publicationDate":"2025-05-01","publicationTypes":"Journal Article","fieldsOfStudy":null,"isOpenAccess":false,"openAccessPdf":"https://www.ncbi.nlm.nih.gov/pmc/articles/PMC12116230/pdf/","citationCount":"0","resultStr":"{\"title\":\"Image-Based Deep Learning Model for Predicting Lymph Node Metastasis in Lung Adenocarcinoma With CT ≤ 2 cm.\",\"authors\":\"Shang Liu, Zhen Gao, Li-Feng Shi, Han Xiao, Su Li, Meng Li, Zhong-Min Peng\",\"doi\":\"10.1111/1759-7714.70048\",\"DOIUrl\":null,\"url\":null,\"abstract\":\"<p><strong>Background: </strong>Lymph node metastasis (LNM) poses a considerable threat to survival in lung adenocarcinoma. Currently, minor resection is the recommended surgical approach for small-diameter lung cancer. The accurate preoperative identification of LNM in patients with small-diameter lung cancer is important for improving patient survival and outcomes.</p><p><strong>Methods: </strong>A total of 1740 patients with clinical early-stage lung adenocarcinoma who underwent surgical resection were enrolled in this study. The Lasso model was used to screen clinical and imaging features, and multivariate logistic regression analysis was used to analyze the relevant diagnostic factors to establish a diagnostic model for predicting LNM. Receiver operating characteristic (ROC) curve analysis, decision curve analysis (DCA) and calibration curve analysis were used to verify the clinical efficacy of the model, which was further validated with an internal validation set.</p><p><strong>Results: </strong>The proportion of solid components (PSC), sphericity, nodule margin, entropy, and edge blur were identified as diagnostic factors that were strongly correlated with LNM in lung adenocarcinoma patients. The area under the ROC curve (AUC) in the internal training set was 0.91. Decision curve analysis revealed that the model could achieve greater benefits for patients. The calibration curve was used to further verify the applicability of the prediction model.</p><p><strong>Conclusions: </strong>Patients with early-stage lung adenocarcinoma with LNM can be identified by typical imaging features. The diagnostic model can help to optimize surgical planning among thoracic surgeons.</p>\",\"PeriodicalId\":23338,\"journal\":{\"name\":\"Thoracic Cancer\",\"volume\":\"16 10\",\"pages\":\"e70048\"},\"PeriodicalIF\":2.3000,\"publicationDate\":\"2025-05-01\",\"publicationTypes\":\"Journal Article\",\"fieldsOfStudy\":null,\"isOpenAccess\":false,\"openAccessPdf\":\"https://www.ncbi.nlm.nih.gov/pmc/articles/PMC12116230/pdf/\",\"citationCount\":\"0\",\"resultStr\":null,\"platform\":\"Semanticscholar\",\"paperid\":null,\"PeriodicalName\":\"Thoracic Cancer\",\"FirstCategoryId\":\"3\",\"ListUrlMain\":\"https://doi.org/10.1111/1759-7714.70048\",\"RegionNum\":3,\"RegionCategory\":\"医学\",\"ArticlePicture\":[],\"TitleCN\":null,\"AbstractTextCN\":null,\"PMCID\":null,\"EPubDate\":\"\",\"PubModel\":\"\",\"JCR\":\"Q3\",\"JCRName\":\"ONCOLOGY\",\"Score\":null,\"Total\":0}","platform":"Semanticscholar","paperid":null,"PeriodicalName":"Thoracic Cancer","FirstCategoryId":"3","ListUrlMain":"https://doi.org/10.1111/1759-7714.70048","RegionNum":3,"RegionCategory":"医学","ArticlePicture":[],"TitleCN":null,"AbstractTextCN":null,"PMCID":null,"EPubDate":"","PubModel":"","JCR":"Q3","JCRName":"ONCOLOGY","Score":null,"Total":0}
引用次数: 0

摘要

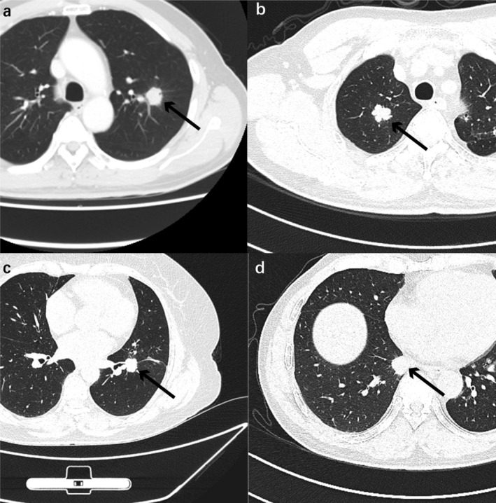
背景:淋巴结转移(LNM)对肺腺癌患者的生存造成了相当大的威胁。目前,对于小直径肺癌,小切除是推荐的手术方法。小直径肺癌患者术前准确识别LNM对提高患者生存率和预后具有重要意义。方法:本研究共纳入1740例临床早期肺腺癌手术切除患者。采用Lasso模型筛选临床及影像学特征,采用多因素logistic回归分析分析相关诊断因素,建立预测LNM的诊断模型。采用受试者工作特征(ROC)曲线分析、决策曲线分析(DCA)和校准曲线分析验证模型的临床疗效,并通过内部验证集进一步验证模型的有效性。结果:固体成分比例(PSC)、球形度、结节边缘、熵和边缘模糊是肺腺癌患者LNM的诊断因素。内部训练集的ROC曲线下面积(AUC)为0.91。决策曲线分析表明,该模型可以为患者带来更大的收益。利用标定曲线进一步验证了预测模型的适用性。结论:早期肺腺癌合并LNM可通过典型影像学特征进行鉴别。该诊断模型可以帮助胸外科医生优化手术计划。
本文章由计算机程序翻译,如有差异,请以英文原文为准。

Image-Based Deep Learning Model for Predicting Lymph Node Metastasis in Lung Adenocarcinoma With CT ≤ 2 cm.

Image-Based Deep Learning Model for Predicting Lymph Node Metastasis in Lung Adenocarcinoma With CT ≤ 2 cm.

Image-Based Deep Learning Model for Predicting Lymph Node Metastasis in Lung Adenocarcinoma With CT ≤ 2 cm.

Image-Based Deep Learning Model for Predicting Lymph Node Metastasis in Lung Adenocarcinoma With CT ≤ 2 cm.

Background: Lymph node metastasis (LNM) poses a considerable threat to survival in lung adenocarcinoma. Currently, minor resection is the recommended surgical approach for small-diameter lung cancer. The accurate preoperative identification of LNM in patients with small-diameter lung cancer is important for improving patient survival and outcomes.

Methods: A total of 1740 patients with clinical early-stage lung adenocarcinoma who underwent surgical resection were enrolled in this study. The Lasso model was used to screen clinical and imaging features, and multivariate logistic regression analysis was used to analyze the relevant diagnostic factors to establish a diagnostic model for predicting LNM. Receiver operating characteristic (ROC) curve analysis, decision curve analysis (DCA) and calibration curve analysis were used to verify the clinical efficacy of the model, which was further validated with an internal validation set.

Results: The proportion of solid components (PSC), sphericity, nodule margin, entropy, and edge blur were identified as diagnostic factors that were strongly correlated with LNM in lung adenocarcinoma patients. The area under the ROC curve (AUC) in the internal training set was 0.91. Decision curve analysis revealed that the model could achieve greater benefits for patients. The calibration curve was used to further verify the applicability of the prediction model.

Conclusions: Patients with early-stage lung adenocarcinoma with LNM can be identified by typical imaging features. The diagnostic model can help to optimize surgical planning among thoracic surgeons.

求助全文
通过发布文献求助,成功后即可免费获取论文全文。 去求助
来源期刊
Thoracic Cancer
Thoracic Cancer ONCOLOGY-RESPIRATORY SYSTEM
CiteScore
5.20
自引率
3.40%
发文量
439
审稿时长
2 months
期刊介绍: Thoracic Cancer aims to facilitate international collaboration and exchange of comprehensive and cutting-edge information on basic, translational, and applied clinical research in lung cancer, esophageal cancer, mediastinal cancer, breast cancer and other thoracic malignancies. Prevention, treatment and research relevant to Asia-Pacific is a focus area, but submissions from all regions are welcomed. The editors encourage contributions relevant to prevention, general thoracic surgery, medical oncology, radiology, radiation medicine, pathology, basic cancer research, as well as epidemiological and translational studies in thoracic cancer. Thoracic Cancer is the official publication of the Chinese Society of Lung Cancer, International Chinese Society of Thoracic Surgery and is endorsed by the Korean Association for the Study of Lung Cancer and the Hong Kong Cancer Therapy Society. The Journal publishes a range of article types including: Editorials, Invited Reviews, Mini Reviews, Original Articles, Clinical Guidelines, Technological Notes, Imaging in thoracic cancer, Meeting Reports, Case Reports, Letters to the Editor, Commentaries, and Brief Reports.
×
引用
GB/T 7714-2015
复制
MLA
复制
APA
复制
导出至
BibTeX EndNote RefMan NoteFirst NoteExpress
×
提示
您的信息不完整,为了账户安全,请先补充。
现在去补充
×
提示
您因"违规操作"
具体请查看互助需知
我知道了
×
提示
确定
请完成安全验证×
copy
已复制链接
快去分享给好友吧!
我知道了
右上角分享
点击右上角分享
0
联系我们:info@booksci.cn Book学术提供免费学术资源搜索服务,方便国内外学者检索中英文文献。致力于提供最便捷和优质的服务体验。 Copyright © 2023 布克学术 All rights reserved.
京ICP备2023020795号-1
ghs 京公网安备 11010802042870号
Book学术文献互助
Book学术文献互助群
群 号:604180095
Book学术官方微信