妊娠期间垂体神经内分泌肿瘤的多学科管理:机构报告。

IF 2.3 4区 医学 Q3 ENDOCRINOLOGY & METABOLISM
International Journal of Endocrinology Pub Date : 2025-05-20 eCollection Date: 2025-01-01 DOI:10.1155/ije/1854208
Zhiyuan Xiao, Xiaopeng Guo, Yong Yao, Jifang Liu, Wei Lian, Kan Deng, Yu Zhang, Xia Zhang, Yuanli Zhao, Yi Zhang, Bing Xing, Huijuan Zhu
{"title":"妊娠期间垂体神经内分泌肿瘤的多学科管理:机构报告。","authors":"Zhiyuan Xiao, Xiaopeng Guo, Yong Yao, Jifang Liu, Wei Lian, Kan Deng, Yu Zhang, Xia Zhang, Yuanli Zhao, Yi Zhang, Bing Xing, Huijuan Zhu","doi":"10.1155/ije/1854208","DOIUrl":null,"url":null,"abstract":"<p><p><b>Background:</b> Management of pituitary neuroendocrine tumors (pitNETs) during pregnancy is challenging. Involvement of the multidisciplinary team (MDT) may benefit the collaborative decision-making. However, this aspect has not been well documented. We provided cases with pitNETs during pregnancy and summarized our experience on the MDT-guided management. <b>Methods:</b> We performed a retrospective study enrolling all pregnant patients with pitNETs treated at our institute between March 1995 and July 2024. <b>Results:</b> During the indexed period, 121 patients with pitNETs consulted our institute during pregnancy, with 111 of them being treated conservatively and 10 undergoing surgery due to progressive visual defect and other symptoms. The age of the included surgical cases was 33 years, and the gestational session at surgery ranged from 13 to 36 weeks (1 in the first trimester, 4 in the second, and 5 in the third). Of the resected tumors, six were nonfunctioning and the other four were functioning (1 lactotroph, 1 somatotroph, and 1 thyrotroph). All surgical cases received MDT-guided management by physicians from neurosurgery, endocrinology, ophthalmology, obstetrics, pediatrics, and anesthesiology, leading to gross total tumor resection, improved visual acuity, and successful delivery in all patients. <b>Conclusion:</b> MDT guided management is essential for pitNETs during pregnancy. Surgical tumor resection is necessary for patients whose symptoms deteriorate rapidly. Transsphenoidal operation under general anesthesia is safe for pregnant patients with pitNETs.</p>","PeriodicalId":13966,"journal":{"name":"International Journal of Endocrinology","volume":"2025 ","pages":"1854208"},"PeriodicalIF":2.3000,"publicationDate":"2025-05-20","publicationTypes":"Journal Article","fieldsOfStudy":null,"isOpenAccess":false,"openAccessPdf":"https://www.ncbi.nlm.nih.gov/pmc/articles/PMC12116089/pdf/","citationCount":"0","resultStr":"{\"title\":\"Multidisciplinary Management of Pituitary Neuroendocrine Tumors During Pregnancy: Institutional Report.\",\"authors\":\"Zhiyuan Xiao, Xiaopeng Guo, Yong Yao, Jifang Liu, Wei Lian, Kan Deng, Yu Zhang, Xia Zhang, Yuanli Zhao, Yi Zhang, Bing Xing, Huijuan Zhu\",\"doi\":\"10.1155/ije/1854208\",\"DOIUrl\":null,\"url\":null,\"abstract\":\"<p><p><b>Background:</b> Management of pituitary neuroendocrine tumors (pitNETs) during pregnancy is challenging. Involvement of the multidisciplinary team (MDT) may benefit the collaborative decision-making. However, this aspect has not been well documented. We provided cases with pitNETs during pregnancy and summarized our experience on the MDT-guided management. <b>Methods:</b> We performed a retrospective study enrolling all pregnant patients with pitNETs treated at our institute between March 1995 and July 2024. <b>Results:</b> During the indexed period, 121 patients with pitNETs consulted our institute during pregnancy, with 111 of them being treated conservatively and 10 undergoing surgery due to progressive visual defect and other symptoms. The age of the included surgical cases was 33 years, and the gestational session at surgery ranged from 13 to 36 weeks (1 in the first trimester, 4 in the second, and 5 in the third). Of the resected tumors, six were nonfunctioning and the other four were functioning (1 lactotroph, 1 somatotroph, and 1 thyrotroph). All surgical cases received MDT-guided management by physicians from neurosurgery, endocrinology, ophthalmology, obstetrics, pediatrics, and anesthesiology, leading to gross total tumor resection, improved visual acuity, and successful delivery in all patients. <b>Conclusion:</b> MDT guided management is essential for pitNETs during pregnancy. Surgical tumor resection is necessary for patients whose symptoms deteriorate rapidly. Transsphenoidal operation under general anesthesia is safe for pregnant patients with pitNETs.</p>\",\"PeriodicalId\":13966,\"journal\":{\"name\":\"International Journal of Endocrinology\",\"volume\":\"2025 \",\"pages\":\"1854208\"},\"PeriodicalIF\":2.3000,\"publicationDate\":\"2025-05-20\",\"publicationTypes\":\"Journal Article\",\"fieldsOfStudy\":null,\"isOpenAccess\":false,\"openAccessPdf\":\"https://www.ncbi.nlm.nih.gov/pmc/articles/PMC12116089/pdf/\",\"citationCount\":\"0\",\"resultStr\":null,\"platform\":\"Semanticscholar\",\"paperid\":null,\"PeriodicalName\":\"International Journal of Endocrinology\",\"FirstCategoryId\":\"3\",\"ListUrlMain\":\"https://doi.org/10.1155/ije/1854208\",\"RegionNum\":4,\"RegionCategory\":\"医学\",\"ArticlePicture\":[],\"TitleCN\":null,\"AbstractTextCN\":null,\"PMCID\":null,\"EPubDate\":\"2025/1/1 0:00:00\",\"PubModel\":\"eCollection\",\"JCR\":\"Q3\",\"JCRName\":\"ENDOCRINOLOGY & METABOLISM\",\"Score\":null,\"Total\":0}","platform":"Semanticscholar","paperid":null,"PeriodicalName":"International Journal of Endocrinology","FirstCategoryId":"3","ListUrlMain":"https://doi.org/10.1155/ije/1854208","RegionNum":4,"RegionCategory":"医学","ArticlePicture":[],"TitleCN":null,"AbstractTextCN":null,"PMCID":null,"EPubDate":"2025/1/1 0:00:00","PubModel":"eCollection","JCR":"Q3","JCRName":"ENDOCRINOLOGY & METABOLISM","Score":null,"Total":0}
引用次数: 0

摘要

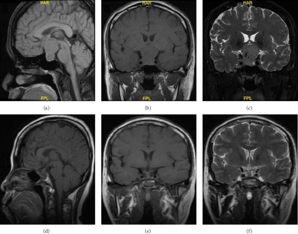
背景:妊娠期垂体神经内分泌肿瘤(pitNETs)的治疗具有挑战性。多学科团队(MDT)的参与有利于协同决策。然而,这方面还没有得到很好的记录。我们提供了妊娠期pitNETs的病例,并总结了我们在mdt指导下的治疗经验。方法:我们进行了一项回顾性研究,纳入了1995年3月至2024年7月期间在我们研究所治疗的所有妊娠pitNETs患者。结果:索引期间,121例pitNETs患者在妊娠期间来我院就诊,其中111例接受保守治疗,10例因进行性视力缺损等症状行手术治疗。纳入手术病例的年龄为33岁,手术时的妊娠期为13至36周(妊娠早期1周,妊娠中期4周,妊娠晚期5周)。在切除的肿瘤中,6例无功能,另外4例有功能(1例乳营养型,1例生长营养型,1例甲状腺功能)。所有手术病例均在神经外科、内分泌科、眼科、产科、儿科和麻醉科医生的指导下接受mdt治疗,所有患者的肿瘤全部切除,视力改善,分娩成功。结论:MDT指导下的妊娠期pitNETs治疗是必要的。对于症状迅速恶化的患者,手术切除肿瘤是必要的。全身麻醉下经蝶窦手术对妊娠期pitNETs患者是安全的。
本文章由计算机程序翻译,如有差异,请以英文原文为准。

Multidisciplinary Management of Pituitary Neuroendocrine Tumors During Pregnancy: Institutional Report.

Multidisciplinary Management of Pituitary Neuroendocrine Tumors During Pregnancy: Institutional Report.

Multidisciplinary Management of Pituitary Neuroendocrine Tumors During Pregnancy: Institutional Report.

Multidisciplinary Management of Pituitary Neuroendocrine Tumors During Pregnancy: Institutional Report.

Background: Management of pituitary neuroendocrine tumors (pitNETs) during pregnancy is challenging. Involvement of the multidisciplinary team (MDT) may benefit the collaborative decision-making. However, this aspect has not been well documented. We provided cases with pitNETs during pregnancy and summarized our experience on the MDT-guided management. Methods: We performed a retrospective study enrolling all pregnant patients with pitNETs treated at our institute between March 1995 and July 2024. Results: During the indexed period, 121 patients with pitNETs consulted our institute during pregnancy, with 111 of them being treated conservatively and 10 undergoing surgery due to progressive visual defect and other symptoms. The age of the included surgical cases was 33 years, and the gestational session at surgery ranged from 13 to 36 weeks (1 in the first trimester, 4 in the second, and 5 in the third). Of the resected tumors, six were nonfunctioning and the other four were functioning (1 lactotroph, 1 somatotroph, and 1 thyrotroph). All surgical cases received MDT-guided management by physicians from neurosurgery, endocrinology, ophthalmology, obstetrics, pediatrics, and anesthesiology, leading to gross total tumor resection, improved visual acuity, and successful delivery in all patients. Conclusion: MDT guided management is essential for pitNETs during pregnancy. Surgical tumor resection is necessary for patients whose symptoms deteriorate rapidly. Transsphenoidal operation under general anesthesia is safe for pregnant patients with pitNETs.

求助全文
通过发布文献求助,成功后即可免费获取论文全文。 去求助
来源期刊
International Journal of Endocrinology
International Journal of Endocrinology ENDOCRINOLOGY & METABOLISM-
CiteScore
5.20
自引率
0.00%
发文量
147
审稿时长
1 months
期刊介绍: International Journal of Endocrinology is a peer-reviewed, Open Access journal that provides a forum for scientists and clinicians working in basic and translational research. The journal publishes original research articles, review articles, and clinical studies that provide insights into the endocrine system and its associated diseases at a genomic, molecular, biochemical and cellular level.
×
引用
GB/T 7714-2015
复制
MLA
复制
APA
复制
导出至
BibTeX EndNote RefMan NoteFirst NoteExpress
×
提示
您的信息不完整,为了账户安全,请先补充。
现在去补充
×
提示
您因"违规操作"
具体请查看互助需知
我知道了
×
提示
确定
请完成安全验证×
copy
已复制链接
快去分享给好友吧!
我知道了
右上角分享
点击右上角分享
0
联系我们:info@booksci.cn Book学术提供免费学术资源搜索服务,方便国内外学者检索中英文文献。致力于提供最便捷和优质的服务体验。 Copyright © 2023 布克学术 All rights reserved.
京ICP备2023020795号-1
ghs 京公网安备 11010802042870号
Book学术文献互助
Book学术文献互助群
群 号:604180095
Book学术官方微信