可逆性严重脑炎伴腋窝淋巴结病患者检出人培吉病毒1例。

IF 2.3 3区 医学 Q2 PATHOLOGY
Jianfeng He, Linwei Yang, Chen Niu
{"title":"可逆性严重脑炎伴腋窝淋巴结病患者检出人培吉病毒1例。","authors":"Jianfeng He, Linwei Yang, Chen Niu","doi":"10.1186/s13000-025-01664-9","DOIUrl":null,"url":null,"abstract":"<p><p>Human pegivirus (HPgV) has been postulated as a potential etiological factor in encephalomyelitis and exhibits lymphotropic characteristics. However, the co-occurrence of encephalitis and lymphadenopathy with HPgV detected has never been reported. Herein, we report a case of a 48-year-old woman admitted with fever followed by sudden loss of consciousness. Radiological imaging demonstrated encephalitis and lymphadenopathy. Initial analysis of blood and cerebrospinal fluid (CSF) failed to reveal specific etiology. The only pathogen found in CSF was later determined to be HPgV using metagenomic next-generation sequencing (mNGS). After receiving treatment with acyclovir, meropenem, and ceftriaxone sodium, the patient fully recovered. This case contributes additional evidence in support of the hypothesis regarding the pathogenic potential of HPgV and highlights the diagnostic utility of mNGS in detecting rare pathogens.</p>","PeriodicalId":11237,"journal":{"name":"Diagnostic Pathology","volume":"20 1","pages":"66"},"PeriodicalIF":2.3000,"publicationDate":"2025-05-27","publicationTypes":"Journal Article","fieldsOfStudy":null,"isOpenAccess":false,"openAccessPdf":"https://www.ncbi.nlm.nih.gov/pmc/articles/PMC12107937/pdf/","citationCount":"0","resultStr":"{\"title\":\"Human pegivirus detected in patient with reversible severe encephalitis and axillary lymphadenopathy: a case report.\",\"authors\":\"Jianfeng He, Linwei Yang, Chen Niu\",\"doi\":\"10.1186/s13000-025-01664-9\",\"DOIUrl\":null,\"url\":null,\"abstract\":\"<p><p>Human pegivirus (HPgV) has been postulated as a potential etiological factor in encephalomyelitis and exhibits lymphotropic characteristics. However, the co-occurrence of encephalitis and lymphadenopathy with HPgV detected has never been reported. Herein, we report a case of a 48-year-old woman admitted with fever followed by sudden loss of consciousness. Radiological imaging demonstrated encephalitis and lymphadenopathy. Initial analysis of blood and cerebrospinal fluid (CSF) failed to reveal specific etiology. The only pathogen found in CSF was later determined to be HPgV using metagenomic next-generation sequencing (mNGS). After receiving treatment with acyclovir, meropenem, and ceftriaxone sodium, the patient fully recovered. This case contributes additional evidence in support of the hypothesis regarding the pathogenic potential of HPgV and highlights the diagnostic utility of mNGS in detecting rare pathogens.</p>\",\"PeriodicalId\":11237,\"journal\":{\"name\":\"Diagnostic Pathology\",\"volume\":\"20 1\",\"pages\":\"66\"},\"PeriodicalIF\":2.3000,\"publicationDate\":\"2025-05-27\",\"publicationTypes\":\"Journal Article\",\"fieldsOfStudy\":null,\"isOpenAccess\":false,\"openAccessPdf\":\"https://www.ncbi.nlm.nih.gov/pmc/articles/PMC12107937/pdf/\",\"citationCount\":\"0\",\"resultStr\":null,\"platform\":\"Semanticscholar\",\"paperid\":null,\"PeriodicalName\":\"Diagnostic Pathology\",\"FirstCategoryId\":\"3\",\"ListUrlMain\":\"https://doi.org/10.1186/s13000-025-01664-9\",\"RegionNum\":3,\"RegionCategory\":\"医学\",\"ArticlePicture\":[],\"TitleCN\":null,\"AbstractTextCN\":null,\"PMCID\":null,\"EPubDate\":\"\",\"PubModel\":\"\",\"JCR\":\"Q2\",\"JCRName\":\"PATHOLOGY\",\"Score\":null,\"Total\":0}","platform":"Semanticscholar","paperid":null,"PeriodicalName":"Diagnostic Pathology","FirstCategoryId":"3","ListUrlMain":"https://doi.org/10.1186/s13000-025-01664-9","RegionNum":3,"RegionCategory":"医学","ArticlePicture":[],"TitleCN":null,"AbstractTextCN":null,"PMCID":null,"EPubDate":"","PubModel":"","JCR":"Q2","JCRName":"PATHOLOGY","Score":null,"Total":0}
引用次数: 0

摘要

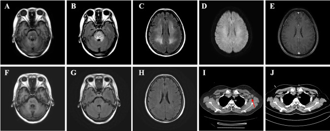
人培吉病毒(hpv)被认为是脑脊髓炎的潜在病因,并表现出嗜淋巴性特征。然而,脑炎和淋巴结病与hpv共发尚未见报道。在此,我们报告一例48岁的妇女入院发烧,随后突然失去意识。影像学表现为脑炎和淋巴结病。血液和脑脊液(CSF)的初步分析未能揭示具体的病因。在脑脊液中发现的唯一病原体后来通过宏基因组新一代测序(mNGS)确定为hpv。经阿昔洛韦、美罗培南和头孢曲松钠治疗后,患者完全康复。该病例为支持hpv致病潜力的假设提供了额外的证据,并突出了mNGS在检测罕见病原体方面的诊断效用。
本文章由计算机程序翻译,如有差异,请以英文原文为准。

Human pegivirus detected in patient with reversible severe encephalitis and axillary lymphadenopathy: a case report.

Human pegivirus detected in patient with reversible severe encephalitis and axillary lymphadenopathy: a case report.

Human pegivirus (HPgV) has been postulated as a potential etiological factor in encephalomyelitis and exhibits lymphotropic characteristics. However, the co-occurrence of encephalitis and lymphadenopathy with HPgV detected has never been reported. Herein, we report a case of a 48-year-old woman admitted with fever followed by sudden loss of consciousness. Radiological imaging demonstrated encephalitis and lymphadenopathy. Initial analysis of blood and cerebrospinal fluid (CSF) failed to reveal specific etiology. The only pathogen found in CSF was later determined to be HPgV using metagenomic next-generation sequencing (mNGS). After receiving treatment with acyclovir, meropenem, and ceftriaxone sodium, the patient fully recovered. This case contributes additional evidence in support of the hypothesis regarding the pathogenic potential of HPgV and highlights the diagnostic utility of mNGS in detecting rare pathogens.

求助全文
通过发布文献求助,成功后即可免费获取论文全文。 去求助
来源期刊
Diagnostic Pathology
Diagnostic Pathology 医学-病理学
CiteScore
4.60
自引率
0.00%
发文量
93
审稿时长
1 months
期刊介绍: Diagnostic Pathology is an open access, peer-reviewed, online journal that considers research in surgical and clinical pathology, immunology, and biology, with a special focus on cutting-edge approaches in diagnostic pathology and tissue-based therapy. The journal covers all aspects of surgical pathology, including classic diagnostic pathology, prognosis-related diagnosis (tumor stages, prognosis markers, such as MIB-percentage, hormone receptors, etc.), and therapy-related findings. The journal also focuses on the technological aspects of pathology, including molecular biology techniques, morphometry aspects (stereology, DNA analysis, syntactic structure analysis), communication aspects (telecommunication, virtual microscopy, virtual pathology institutions, etc.), and electronic education and quality assurance (for example interactive publication, on-line references with automated updating, etc.).
×
引用
GB/T 7714-2015
复制
MLA
复制
APA
复制
导出至
BibTeX EndNote RefMan NoteFirst NoteExpress
×
提示
您的信息不完整,为了账户安全,请先补充。
现在去补充
×
提示
您因"违规操作"
具体请查看互助需知
我知道了
×
提示
确定
请完成安全验证×
copy
已复制链接
快去分享给好友吧!
我知道了
右上角分享
点击右上角分享
0
联系我们:info@booksci.cn Book学术提供免费学术资源搜索服务,方便国内外学者检索中英文文献。致力于提供最便捷和优质的服务体验。 Copyright © 2023 布克学术 All rights reserved.
京ICP备2023020795号-1
ghs 京公网安备 11010802042870号
Book学术文献互助
Book学术文献互助群
群 号:604180095
Book学术官方微信