突尼斯Chediak-Higashi综合征患者新型LYST突变的综合分析

IF 2 4区 医学 Q3 GENETICS & HEREDITY
Yessine Amri, Saoussen Chouchene, Hajer Foddha, Amani Abderahmene, Ikbel Kooli, Adnen Toumi, Kawthar Hadj Khalifa, Rihem Mezrigui, Taieb Messaoud, Mohsen Hassine, Rym Dabboubi
{"title":"突尼斯Chediak-Higashi综合征患者新型LYST突变的综合分析","authors":"Yessine Amri, Saoussen Chouchene, Hajer Foddha, Amani Abderahmene, Ikbel Kooli, Adnen Toumi, Kawthar Hadj Khalifa, Rihem Mezrigui, Taieb Messaoud, Mohsen Hassine, Rym Dabboubi","doi":"10.1186/s12920-025-02145-0","DOIUrl":null,"url":null,"abstract":"<p><strong>Background: </strong>Chediak-Higashi Syndrome (CHS) is a rare autosomal recessive disorder characterized by oculocutaneous albinism, recurrent infections, bleeding tendencies, and progressive neurological impairment. The syndrome is caused by mutations in the LYST gene, which plays a crucial role in lysosomal trafficking.</p><p><strong>Objective: </strong>This study aims to characterize the molecular basis of CHS in a Tunisian patient by identifying mutations in the LYST gene and analyzing their impact on the protein function, correlating these findings with the patient's clinical presentation.</p><p><strong>Methods: </strong>A comprehensive clinical assessment was conducted on the patient, followed by biochemical, hematological, and microbiological analyses. Additionally, LYST protein levels were quantified in the patient and their parents using an ELISA assay. Genomic DNA was extracted from the patient's blood, and Whole Exome Sequencing (WES) was performed to identify mutations in the LYST gene. The findings were confirmed through Sanger sequencing, and bioinformatic tools were employed to predict the functional consequences of the detected mutations.</p><p><strong>Results: </strong>The patient presented with classical symptoms of CHS, including silver hair, hypopigmented skin, recurrent infections, and neurological decline, with an unusually late onset at 18 years. ELISA results demonstrated significantly reduced LYST levels in the patient (1.8 ng/ml) compared to heterozygous parents (7.8 ng/ml and 8.1 ng/ml) and controls (9.2 ng/ml). Genetic analysis revealed a novel homozygous deletion, c.10269_10275del (p.Gly3424SerfsTer15), in the LYST gene, leading to a frameshift mutation and premature termination of the protein. Bioinformatic analysis demonstrated that this mutation leads to the deletion of five out of sven WD40 repeats in the protein's C-terminal region, which are critical for protein-protein interactions and lysosomal trafficking.</p><p><strong>Conclusion: </strong>The study identifies a novel LYST mutation in a Tunisian patient with CHS, expanding the spectrum of known genetic variants associated with the disease. The findings highlight the importance of genetic screening in populations with high consanguinity and underscore the need for targeted therapies to address the molecular defects in CHS.</p>","PeriodicalId":8915,"journal":{"name":"BMC Medical Genomics","volume":"18 1","pages":"95"},"PeriodicalIF":2.0000,"publicationDate":"2025-05-27","publicationTypes":"Journal Article","fieldsOfStudy":null,"isOpenAccess":false,"openAccessPdf":"https://www.ncbi.nlm.nih.gov/pmc/articles/PMC12117754/pdf/","citationCount":"0","resultStr":"{\"title\":\"Comprehensive analysis of a novel LYST mutation in a Tunisian patient with Chediak-Higashi syndrome.\",\"authors\":\"Yessine Amri, Saoussen Chouchene, Hajer Foddha, Amani Abderahmene, Ikbel Kooli, Adnen Toumi, Kawthar Hadj Khalifa, Rihem Mezrigui, Taieb Messaoud, Mohsen Hassine, Rym Dabboubi\",\"doi\":\"10.1186/s12920-025-02145-0\",\"DOIUrl\":null,\"url\":null,\"abstract\":\"<p><strong>Background: </strong>Chediak-Higashi Syndrome (CHS) is a rare autosomal recessive disorder characterized by oculocutaneous albinism, recurrent infections, bleeding tendencies, and progressive neurological impairment. The syndrome is caused by mutations in the LYST gene, which plays a crucial role in lysosomal trafficking.</p><p><strong>Objective: </strong>This study aims to characterize the molecular basis of CHS in a Tunisian patient by identifying mutations in the LYST gene and analyzing their impact on the protein function, correlating these findings with the patient's clinical presentation.</p><p><strong>Methods: </strong>A comprehensive clinical assessment was conducted on the patient, followed by biochemical, hematological, and microbiological analyses. Additionally, LYST protein levels were quantified in the patient and their parents using an ELISA assay. Genomic DNA was extracted from the patient's blood, and Whole Exome Sequencing (WES) was performed to identify mutations in the LYST gene. The findings were confirmed through Sanger sequencing, and bioinformatic tools were employed to predict the functional consequences of the detected mutations.</p><p><strong>Results: </strong>The patient presented with classical symptoms of CHS, including silver hair, hypopigmented skin, recurrent infections, and neurological decline, with an unusually late onset at 18 years. ELISA results demonstrated significantly reduced LYST levels in the patient (1.8 ng/ml) compared to heterozygous parents (7.8 ng/ml and 8.1 ng/ml) and controls (9.2 ng/ml). Genetic analysis revealed a novel homozygous deletion, c.10269_10275del (p.Gly3424SerfsTer15), in the LYST gene, leading to a frameshift mutation and premature termination of the protein. Bioinformatic analysis demonstrated that this mutation leads to the deletion of five out of sven WD40 repeats in the protein's C-terminal region, which are critical for protein-protein interactions and lysosomal trafficking.</p><p><strong>Conclusion: </strong>The study identifies a novel LYST mutation in a Tunisian patient with CHS, expanding the spectrum of known genetic variants associated with the disease. The findings highlight the importance of genetic screening in populations with high consanguinity and underscore the need for targeted therapies to address the molecular defects in CHS.</p>\",\"PeriodicalId\":8915,\"journal\":{\"name\":\"BMC Medical Genomics\",\"volume\":\"18 1\",\"pages\":\"95\"},\"PeriodicalIF\":2.0000,\"publicationDate\":\"2025-05-27\",\"publicationTypes\":\"Journal Article\",\"fieldsOfStudy\":null,\"isOpenAccess\":false,\"openAccessPdf\":\"https://www.ncbi.nlm.nih.gov/pmc/articles/PMC12117754/pdf/\",\"citationCount\":\"0\",\"resultStr\":null,\"platform\":\"Semanticscholar\",\"paperid\":null,\"PeriodicalName\":\"BMC Medical Genomics\",\"FirstCategoryId\":\"3\",\"ListUrlMain\":\"https://doi.org/10.1186/s12920-025-02145-0\",\"RegionNum\":4,\"RegionCategory\":\"医学\",\"ArticlePicture\":[],\"TitleCN\":null,\"AbstractTextCN\":null,\"PMCID\":null,\"EPubDate\":\"\",\"PubModel\":\"\",\"JCR\":\"Q3\",\"JCRName\":\"GENETICS & HEREDITY\",\"Score\":null,\"Total\":0}","platform":"Semanticscholar","paperid":null,"PeriodicalName":"BMC Medical Genomics","FirstCategoryId":"3","ListUrlMain":"https://doi.org/10.1186/s12920-025-02145-0","RegionNum":4,"RegionCategory":"医学","ArticlePicture":[],"TitleCN":null,"AbstractTextCN":null,"PMCID":null,"EPubDate":"","PubModel":"","JCR":"Q3","JCRName":"GENETICS & HEREDITY","Score":null,"Total":0}
引用次数: 0

摘要

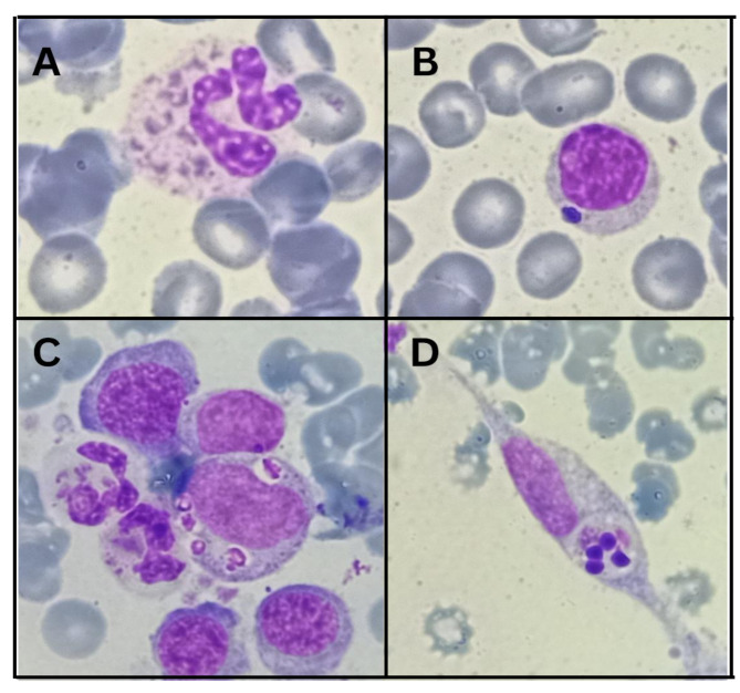
背景:Chediak-Higashi综合征(CHS)是一种罕见的常染色体隐性遗传病,其特征为皮肤白化病、复发性感染、出血倾向和进行性神经功能障碍。该综合征是由LYST基因突变引起的,该基因在溶酶体运输中起着至关重要的作用。目的:本研究旨在通过鉴定LYST基因突变并分析其对蛋白质功能的影响来表征突尼斯患者CHS的分子基础,并将这些发现与患者的临床表现联系起来。方法:对患者进行综合临床评估,并进行生化、血液学、微生物学分析。此外,使用ELISA测定患者及其父母体内的LYST蛋白水平。从患者血液中提取基因组DNA,并进行全外显子组测序(WES)以鉴定LYST基因的突变。这些发现通过Sanger测序得到了证实,并使用生物信息学工具来预测检测到的突变的功能后果。结果:患者表现出CHS的典型症状,包括银发、皮肤色素沉着、反复感染和神经功能减退,发病异常晚于18岁。ELISA结果显示,与杂合亲本(7.8 ng/ml和8.1 ng/ml)和对照组(9.2 ng/ml)相比,患者体内的LYST水平显著降低(1.8 ng/ml)。遗传分析显示,LYST基因中存在一种新的纯合缺失,即c.10269_10275del (p.Gly3424SerfsTer15),导致该蛋白发生移码突变并过早终止。生物信息学分析表明,该突变导致蛋白质c端区域7个WD40重复序列中的5个缺失,这对于蛋白质-蛋白质相互作用和溶酶体运输至关重要。结论:该研究在突尼斯CHS患者中发现了一种新的LYST突变,扩大了与该疾病相关的已知遗传变异的范围。研究结果强调了在高血缘人群中进行遗传筛查的重要性,并强调了针对CHS分子缺陷进行靶向治疗的必要性。
本文章由计算机程序翻译,如有差异,请以英文原文为准。

Comprehensive analysis of a novel LYST mutation in a Tunisian patient with Chediak-Higashi syndrome.

Comprehensive analysis of a novel LYST mutation in a Tunisian patient with Chediak-Higashi syndrome.

Comprehensive analysis of a novel LYST mutation in a Tunisian patient with Chediak-Higashi syndrome.

Comprehensive analysis of a novel LYST mutation in a Tunisian patient with Chediak-Higashi syndrome.

Background: Chediak-Higashi Syndrome (CHS) is a rare autosomal recessive disorder characterized by oculocutaneous albinism, recurrent infections, bleeding tendencies, and progressive neurological impairment. The syndrome is caused by mutations in the LYST gene, which plays a crucial role in lysosomal trafficking.

Objective: This study aims to characterize the molecular basis of CHS in a Tunisian patient by identifying mutations in the LYST gene and analyzing their impact on the protein function, correlating these findings with the patient's clinical presentation.

Methods: A comprehensive clinical assessment was conducted on the patient, followed by biochemical, hematological, and microbiological analyses. Additionally, LYST protein levels were quantified in the patient and their parents using an ELISA assay. Genomic DNA was extracted from the patient's blood, and Whole Exome Sequencing (WES) was performed to identify mutations in the LYST gene. The findings were confirmed through Sanger sequencing, and bioinformatic tools were employed to predict the functional consequences of the detected mutations.

Results: The patient presented with classical symptoms of CHS, including silver hair, hypopigmented skin, recurrent infections, and neurological decline, with an unusually late onset at 18 years. ELISA results demonstrated significantly reduced LYST levels in the patient (1.8 ng/ml) compared to heterozygous parents (7.8 ng/ml and 8.1 ng/ml) and controls (9.2 ng/ml). Genetic analysis revealed a novel homozygous deletion, c.10269_10275del (p.Gly3424SerfsTer15), in the LYST gene, leading to a frameshift mutation and premature termination of the protein. Bioinformatic analysis demonstrated that this mutation leads to the deletion of five out of sven WD40 repeats in the protein's C-terminal region, which are critical for protein-protein interactions and lysosomal trafficking.

Conclusion: The study identifies a novel LYST mutation in a Tunisian patient with CHS, expanding the spectrum of known genetic variants associated with the disease. The findings highlight the importance of genetic screening in populations with high consanguinity and underscore the need for targeted therapies to address the molecular defects in CHS.

求助全文
通过发布文献求助,成功后即可免费获取论文全文。 去求助
来源期刊
BMC Medical Genomics
BMC Medical Genomics 医学-遗传学
CiteScore
3.90
自引率
0.00%
发文量
243
审稿时长
3.5 months
期刊介绍: BMC Medical Genomics is an open access journal publishing original peer-reviewed research articles in all aspects of functional genomics, genome structure, genome-scale population genetics, epigenomics, proteomics, systems analysis, and pharmacogenomics in relation to human health and disease.
×
引用
GB/T 7714-2015
复制
MLA
复制
APA
复制
导出至
BibTeX EndNote RefMan NoteFirst NoteExpress
×
提示
您的信息不完整,为了账户安全,请先补充。
现在去补充
×
提示
您因"违规操作"
具体请查看互助需知
我知道了
×
提示
确定
请完成安全验证×
copy
已复制链接
快去分享给好友吧!
我知道了
右上角分享
点击右上角分享
0
联系我们:info@booksci.cn Book学术提供免费学术资源搜索服务,方便国内外学者检索中英文文献。致力于提供最便捷和优质的服务体验。 Copyright © 2023 布克学术 All rights reserved.
京ICP备2023020795号-1
ghs 京公网安备 11010802042870号
Book学术文献互助
Book学术文献互助群
群 号:604180095
Book学术官方微信