先天性急性髓性白血病1例报告。

IF 0.7 Q3 MEDICINE, GENERAL & INTERNAL
International Medical Case Reports Journal Pub Date : 2025-05-20 eCollection Date: 2025-01-01 DOI:10.2147/IMCRJ.S499579
Sondus Alsharidah, Eman Almatar
{"title":"先天性急性髓性白血病1例报告。","authors":"Sondus Alsharidah, Eman Almatar","doi":"10.2147/IMCRJ.S499579","DOIUrl":null,"url":null,"abstract":"<p><strong>Background: </strong>Congenital acute myeloid leukemia (AML) is a rare but critical hematologic malignancy diagnosed in neonates and associated with a high mortality rate.</p><p><strong>Case presentation: </strong>This report describes a 3-month-old female diagnosed with congenital AML, characterized by mixed lineage leukemia (MLL) gene rearrangement. The patient presented with severe complications, including typhlitis, abscess, seizures, and pericardial effusion.</p><p><strong>Management and outcomes: </strong>Despite the challenges posed by the patient's age and the severity of her condition, she responded well to initial treatment. However, her long-term prognosis remains uncertain. Hematopoietic stem cell transplantation (HSCT) is being considered as part of her ongoing management.</p><p><strong>Conclusion: </strong>Early diagnosis and tailored treatment strategies for congenital AML are crucial. This case underscores the need for continued research to refine treatment protocols aimed at improving survival rates in this vulnerable population.</p>","PeriodicalId":14337,"journal":{"name":"International Medical Case Reports Journal","volume":"18 ","pages":"585-590"},"PeriodicalIF":0.7000,"publicationDate":"2025-05-20","publicationTypes":"Journal Article","fieldsOfStudy":null,"isOpenAccess":false,"openAccessPdf":"https://www.ncbi.nlm.nih.gov/pmc/articles/PMC12104308/pdf/","citationCount":"0","resultStr":"{\"title\":\"Congenital Acute Myeloid Leukemia (AML): A Case Report.\",\"authors\":\"Sondus Alsharidah, Eman Almatar\",\"doi\":\"10.2147/IMCRJ.S499579\",\"DOIUrl\":null,\"url\":null,\"abstract\":\"<p><strong>Background: </strong>Congenital acute myeloid leukemia (AML) is a rare but critical hematologic malignancy diagnosed in neonates and associated with a high mortality rate.</p><p><strong>Case presentation: </strong>This report describes a 3-month-old female diagnosed with congenital AML, characterized by mixed lineage leukemia (MLL) gene rearrangement. The patient presented with severe complications, including typhlitis, abscess, seizures, and pericardial effusion.</p><p><strong>Management and outcomes: </strong>Despite the challenges posed by the patient's age and the severity of her condition, she responded well to initial treatment. However, her long-term prognosis remains uncertain. Hematopoietic stem cell transplantation (HSCT) is being considered as part of her ongoing management.</p><p><strong>Conclusion: </strong>Early diagnosis and tailored treatment strategies for congenital AML are crucial. This case underscores the need for continued research to refine treatment protocols aimed at improving survival rates in this vulnerable population.</p>\",\"PeriodicalId\":14337,\"journal\":{\"name\":\"International Medical Case Reports Journal\",\"volume\":\"18 \",\"pages\":\"585-590\"},\"PeriodicalIF\":0.7000,\"publicationDate\":\"2025-05-20\",\"publicationTypes\":\"Journal Article\",\"fieldsOfStudy\":null,\"isOpenAccess\":false,\"openAccessPdf\":\"https://www.ncbi.nlm.nih.gov/pmc/articles/PMC12104308/pdf/\",\"citationCount\":\"0\",\"resultStr\":null,\"platform\":\"Semanticscholar\",\"paperid\":null,\"PeriodicalName\":\"International Medical Case Reports Journal\",\"FirstCategoryId\":\"1085\",\"ListUrlMain\":\"https://doi.org/10.2147/IMCRJ.S499579\",\"RegionNum\":0,\"RegionCategory\":null,\"ArticlePicture\":[],\"TitleCN\":null,\"AbstractTextCN\":null,\"PMCID\":null,\"EPubDate\":\"2025/1/1 0:00:00\",\"PubModel\":\"eCollection\",\"JCR\":\"Q3\",\"JCRName\":\"MEDICINE, GENERAL & INTERNAL\",\"Score\":null,\"Total\":0}","platform":"Semanticscholar","paperid":null,"PeriodicalName":"International Medical Case Reports Journal","FirstCategoryId":"1085","ListUrlMain":"https://doi.org/10.2147/IMCRJ.S499579","RegionNum":0,"RegionCategory":null,"ArticlePicture":[],"TitleCN":null,"AbstractTextCN":null,"PMCID":null,"EPubDate":"2025/1/1 0:00:00","PubModel":"eCollection","JCR":"Q3","JCRName":"MEDICINE, GENERAL & INTERNAL","Score":null,"Total":0}
引用次数: 0

摘要

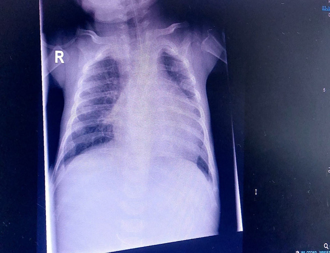
背景:先天性急性髓系白血病(AML)是一种罕见但严重的新生儿血液恶性肿瘤,死亡率高。病例介绍:本报告描述了一个3个月大的女性诊断为先天性AML,其特征是混合谱系白血病(MLL)基因重排。患者出现严重并发症,包括伤寒、脓肿、癫痫发作和心包积液。管理和结果:尽管患者的年龄和病情的严重程度带来了挑战,但她对最初的治疗反应良好。然而,她的长期预后仍不确定。造血干细胞移植(HSCT)被认为是她持续治疗的一部分。结论:先天性AML的早期诊断和治疗策略至关重要。该病例强调需要继续研究以改进治疗方案,以提高这一弱势群体的存活率。
本文章由计算机程序翻译,如有差异,请以英文原文为准。

Congenital Acute Myeloid Leukemia (AML): A Case Report.

Congenital Acute Myeloid Leukemia (AML): A Case Report.

Congenital Acute Myeloid Leukemia (AML): A Case Report.

Background: Congenital acute myeloid leukemia (AML) is a rare but critical hematologic malignancy diagnosed in neonates and associated with a high mortality rate.

Case presentation: This report describes a 3-month-old female diagnosed with congenital AML, characterized by mixed lineage leukemia (MLL) gene rearrangement. The patient presented with severe complications, including typhlitis, abscess, seizures, and pericardial effusion.

Management and outcomes: Despite the challenges posed by the patient's age and the severity of her condition, she responded well to initial treatment. However, her long-term prognosis remains uncertain. Hematopoietic stem cell transplantation (HSCT) is being considered as part of her ongoing management.

Conclusion: Early diagnosis and tailored treatment strategies for congenital AML are crucial. This case underscores the need for continued research to refine treatment protocols aimed at improving survival rates in this vulnerable population.

求助全文
通过发布文献求助,成功后即可免费获取论文全文。 去求助
来源期刊
International Medical Case Reports Journal
International Medical Case Reports Journal MEDICINE, GENERAL & INTERNAL-
CiteScore
1.40
自引率
0.00%
发文量
135
审稿时长
16 weeks
期刊介绍: International Medical Case Reports Journal is an international, peer-reviewed, open access, online journal publishing original case reports from all medical specialties. Submissions should not normally exceed 3,000 words or 4 published pages including figures, diagrams and references. As of 1st April 2019, the International Medical Case Reports Journal will no longer consider meta-analyses for publication.
×
引用
GB/T 7714-2015
复制
MLA
复制
APA
复制
导出至
BibTeX EndNote RefMan NoteFirst NoteExpress
×
提示
您的信息不完整,为了账户安全,请先补充。
现在去补充
×
提示
您因"违规操作"
具体请查看互助需知
我知道了
×
提示
确定
请完成安全验证×
copy
已复制链接
快去分享给好友吧!
我知道了
右上角分享
点击右上角分享
0
联系我们:info@booksci.cn Book学术提供免费学术资源搜索服务,方便国内外学者检索中英文文献。致力于提供最便捷和优质的服务体验。 Copyright © 2023 布克学术 All rights reserved.
京ICP备2023020795号-1
ghs 京公网安备 11010802042870号
Book学术文献互助
Book学术文献互助群
群 号:604180095
Book学术官方微信