子宫内膜的复杂乳头状增生:一个罕见的病例报告与细胞病理学特征和诊断意义。

IF 2.3 3区 医学 Q2 PATHOLOGY
Renjie Wang, Yinghong Wu, Zhihong Jia
{"title":"子宫内膜的复杂乳头状增生:一个罕见的病例报告与细胞病理学特征和诊断意义。","authors":"Renjie Wang, Yinghong Wu, Zhihong Jia","doi":"10.1186/s13000-025-01667-6","DOIUrl":null,"url":null,"abstract":"<p><strong>Background: </strong>Complex papillary hyperplasia of the endometrium (CPHE) is a rare benign lesion with overlapping features of malignancy, posing significant diagnostic challenges. This case highlights the importance of multidisciplinary evaluation to avoid misdiagnosis and overtreatment.</p><p><strong>Case presentation: </strong>A 49-year-old premenopausal woman presented with irregular vaginal bleeding. Histopathological examination revealed multifocal lesions confined within and on the surface of endometrial polyps, exhibiting complex papillary structures with bland cytology. Immunohistochemistry showed strong ER/PR positivity and retained PTEN expression, while molecular analysis confirmed the absence of high-risk mutations (PTEN, PIK3CA, TP53, CTNNB1).</p><p><strong>Conclusions: </strong>CPHE requires integration of histopathology, immunohistochemistry, and molecular diagnostics to distinguish it from malignancies. Conservative management is justified in molecularly confirmed cases.</p>","PeriodicalId":11237,"journal":{"name":"Diagnostic Pathology","volume":"20 1","pages":"63"},"PeriodicalIF":2.3000,"publicationDate":"2025-05-26","publicationTypes":"Journal Article","fieldsOfStudy":null,"isOpenAccess":false,"openAccessPdf":"https://www.ncbi.nlm.nih.gov/pmc/articles/PMC12105174/pdf/","citationCount":"0","resultStr":"{\"title\":\"Complex papillary hyperplasia of the endometrium: an uncommon case report with cytopathological features and diagnostic implications.\",\"authors\":\"Renjie Wang, Yinghong Wu, Zhihong Jia\",\"doi\":\"10.1186/s13000-025-01667-6\",\"DOIUrl\":null,\"url\":null,\"abstract\":\"<p><strong>Background: </strong>Complex papillary hyperplasia of the endometrium (CPHE) is a rare benign lesion with overlapping features of malignancy, posing significant diagnostic challenges. This case highlights the importance of multidisciplinary evaluation to avoid misdiagnosis and overtreatment.</p><p><strong>Case presentation: </strong>A 49-year-old premenopausal woman presented with irregular vaginal bleeding. Histopathological examination revealed multifocal lesions confined within and on the surface of endometrial polyps, exhibiting complex papillary structures with bland cytology. Immunohistochemistry showed strong ER/PR positivity and retained PTEN expression, while molecular analysis confirmed the absence of high-risk mutations (PTEN, PIK3CA, TP53, CTNNB1).</p><p><strong>Conclusions: </strong>CPHE requires integration of histopathology, immunohistochemistry, and molecular diagnostics to distinguish it from malignancies. Conservative management is justified in molecularly confirmed cases.</p>\",\"PeriodicalId\":11237,\"journal\":{\"name\":\"Diagnostic Pathology\",\"volume\":\"20 1\",\"pages\":\"63\"},\"PeriodicalIF\":2.3000,\"publicationDate\":\"2025-05-26\",\"publicationTypes\":\"Journal Article\",\"fieldsOfStudy\":null,\"isOpenAccess\":false,\"openAccessPdf\":\"https://www.ncbi.nlm.nih.gov/pmc/articles/PMC12105174/pdf/\",\"citationCount\":\"0\",\"resultStr\":null,\"platform\":\"Semanticscholar\",\"paperid\":null,\"PeriodicalName\":\"Diagnostic Pathology\",\"FirstCategoryId\":\"3\",\"ListUrlMain\":\"https://doi.org/10.1186/s13000-025-01667-6\",\"RegionNum\":3,\"RegionCategory\":\"医学\",\"ArticlePicture\":[],\"TitleCN\":null,\"AbstractTextCN\":null,\"PMCID\":null,\"EPubDate\":\"\",\"PubModel\":\"\",\"JCR\":\"Q2\",\"JCRName\":\"PATHOLOGY\",\"Score\":null,\"Total\":0}","platform":"Semanticscholar","paperid":null,"PeriodicalName":"Diagnostic Pathology","FirstCategoryId":"3","ListUrlMain":"https://doi.org/10.1186/s13000-025-01667-6","RegionNum":3,"RegionCategory":"医学","ArticlePicture":[],"TitleCN":null,"AbstractTextCN":null,"PMCID":null,"EPubDate":"","PubModel":"","JCR":"Q2","JCRName":"PATHOLOGY","Score":null,"Total":0}
引用次数: 0

摘要

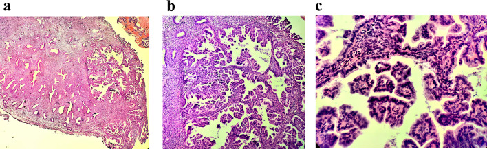
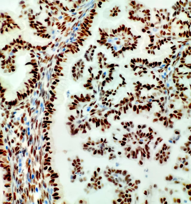
背景:子宫内膜复杂乳头状增生(CPHE)是一种罕见的良性病变,具有恶性肿瘤的重叠特征,提出了重大的诊断挑战。这个病例强调了多学科评估的重要性,以避免误诊和过度治疗。病例介绍:一名49岁绝经前妇女,阴道不规则出血。组织病理学检查显示子宫内膜息肉内和表面多灶性病变,表现出复杂的乳头状结构,细胞学平淡。免疫组化显示强ER/PR阳性,保留PTEN表达,而分子分析证实无高危突变(PTEN、PIK3CA、TP53、CTNNB1)。结论:CPHE需要结合组织病理学、免疫组织化学和分子诊断来区分其与恶性肿瘤。保守治疗在分子确诊病例中是合理的。
本文章由计算机程序翻译,如有差异,请以英文原文为准。

Complex papillary hyperplasia of the endometrium: an uncommon case report with cytopathological features and diagnostic implications.

Complex papillary hyperplasia of the endometrium: an uncommon case report with cytopathological features and diagnostic implications.

Complex papillary hyperplasia of the endometrium: an uncommon case report with cytopathological features and diagnostic implications.

Background: Complex papillary hyperplasia of the endometrium (CPHE) is a rare benign lesion with overlapping features of malignancy, posing significant diagnostic challenges. This case highlights the importance of multidisciplinary evaluation to avoid misdiagnosis and overtreatment.

Case presentation: A 49-year-old premenopausal woman presented with irregular vaginal bleeding. Histopathological examination revealed multifocal lesions confined within and on the surface of endometrial polyps, exhibiting complex papillary structures with bland cytology. Immunohistochemistry showed strong ER/PR positivity and retained PTEN expression, while molecular analysis confirmed the absence of high-risk mutations (PTEN, PIK3CA, TP53, CTNNB1).

Conclusions: CPHE requires integration of histopathology, immunohistochemistry, and molecular diagnostics to distinguish it from malignancies. Conservative management is justified in molecularly confirmed cases.

求助全文
通过发布文献求助,成功后即可免费获取论文全文。 去求助
来源期刊
Diagnostic Pathology
Diagnostic Pathology 医学-病理学
CiteScore
4.60
自引率
0.00%
发文量
93
审稿时长
1 months
期刊介绍: Diagnostic Pathology is an open access, peer-reviewed, online journal that considers research in surgical and clinical pathology, immunology, and biology, with a special focus on cutting-edge approaches in diagnostic pathology and tissue-based therapy. The journal covers all aspects of surgical pathology, including classic diagnostic pathology, prognosis-related diagnosis (tumor stages, prognosis markers, such as MIB-percentage, hormone receptors, etc.), and therapy-related findings. The journal also focuses on the technological aspects of pathology, including molecular biology techniques, morphometry aspects (stereology, DNA analysis, syntactic structure analysis), communication aspects (telecommunication, virtual microscopy, virtual pathology institutions, etc.), and electronic education and quality assurance (for example interactive publication, on-line references with automated updating, etc.).
×
引用
GB/T 7714-2015
复制
MLA
复制
APA
复制
导出至
BibTeX EndNote RefMan NoteFirst NoteExpress
×
提示
您的信息不完整,为了账户安全,请先补充。
现在去补充
×
提示
您因"违规操作"
具体请查看互助需知
我知道了
×
提示
确定
请完成安全验证×
copy
已复制链接
快去分享给好友吧!
我知道了
右上角分享
点击右上角分享
0
联系我们:info@booksci.cn Book学术提供免费学术资源搜索服务,方便国内外学者检索中英文文献。致力于提供最便捷和优质的服务体验。 Copyright © 2023 布克学术 All rights reserved.
京ICP备2023020795号-1
ghs 京公网安备 11010802042870号
Book学术文献互助
Book学术文献互助群
群 号:604180095
Book学术官方微信