具有乳头状核特征(NIFTP)的非侵袭性滤泡性甲状腺肿瘤与其他甲状腺滤泡性病变的免疫组织化学特征

IF 2.3 3区 医学 Q2 PATHOLOGY
Rehab Monir Samaka, Aiat Shaban Hemida, Hagar Alfouly, Mona A Kora
{"title":"具有乳头状核特征(NIFTP)的非侵袭性滤泡性甲状腺肿瘤与其他甲状腺滤泡性病变的免疫组织化学特征","authors":"Rehab Monir Samaka, Aiat Shaban Hemida, Hagar Alfouly, Mona A Kora","doi":"10.1186/s13000-025-01660-z","DOIUrl":null,"url":null,"abstract":"<p><strong>Background: </strong>A follicular thyroid tumour called Non-invasive follicular thyroid neoplasm with papillary-like nuclear features (NIFTP) poses crossing-over morphologic characteristics with more thyroid follicular lesions whether benign or cancerous nodules. This study focuses on analysing the expression of CD56, HBME-1, RRM2 and APLP2 IHC markers in NIFTP versus other thyroid follicular lesions and their diagnostic validity was also evaluated.</p><p><strong>Methods: </strong>one hundred and nine thyroidectomy specimens including 31 NIFTP, 34 non-neoplastic, 34 papillary thyroid carcinoma (PTC) and 10 invasive encapsulated follicular variant papillary thyroid carcinoma (IEFVPTC) cases, were acquired between 2019 and 2022 from the Menoufia University's Faculty of Medicine's Pathology Department. Tissue microarray construction (TMA) blocks were prepared and CD56, HBME-1, RRM2 and APLP2 immunostaining were performed.</p><p><strong>Results: </strong>For CD56, 64.5% of NIFTP, 97.1% of the non-neoplastic group and 0% of both PTC and IEFVPTC were positive. For HBME-1, 61.3% of NIFTP, 0% of non-neoplastic, 100% of PTC and 100% of IEFVPTC were positive. For RRM2, all cases of NIFTP and the non-neoplastic group were negative, 88.2% of PTC and 100.0% of IEFVPTC were positive. For APLP2, 90.3% of NIFTP, 100% of the non-neoplastic group, 100% of PTC and 100% of IEFVPTC were positive. In differentiating NIFTP from non-neoplastic cases, the most sensitive marker was CD56 at H-score < 225 (sensitivity 95%) and the most specific was HBME-1 (specificity 100%). In various combinations, the panel of combined HBME-1 with either CD56 or APLP-2 improves their specificity (96.67% and 100% respectively) and the diagnostic accuracy (86.79 and 83.87, respectively) and therefore, combined HBME-1 and CD56 seems to be the most significant than using a single marker. In differentiation between NIFTP and PTC/IEFVPTC, the most sensitive marker was RRM2 (100% sensitivity for both groups) with the highest diagnostic accuracy (93.85% and 100%, respectively) and the most specific was CD56 (specificity 100% for both groups).</p><p><strong>Conclusions: </strong>Immunohistochemical markers such as CD56, HBME-1, RRM2, and APLP2 may aid in the diagnosis of NIFTP and its distinction from other follicular lesions.</p>","PeriodicalId":11237,"journal":{"name":"Diagnostic Pathology","volume":"20 1","pages":"64"},"PeriodicalIF":2.3000,"publicationDate":"2025-05-26","publicationTypes":"Journal Article","fieldsOfStudy":null,"isOpenAccess":false,"openAccessPdf":"https://www.ncbi.nlm.nih.gov/pmc/articles/PMC12105278/pdf/","citationCount":"0","resultStr":"{\"title\":\"Immunohistochemical profile of non-invasive follicular thyroid neoplasm with papillary-like nuclear features (NIFTP) versus other thyroid follicular lesions.\",\"authors\":\"Rehab Monir Samaka, Aiat Shaban Hemida, Hagar Alfouly, Mona A Kora\",\"doi\":\"10.1186/s13000-025-01660-z\",\"DOIUrl\":null,\"url\":null,\"abstract\":\"<p><strong>Background: </strong>A follicular thyroid tumour called Non-invasive follicular thyroid neoplasm with papillary-like nuclear features (NIFTP) poses crossing-over morphologic characteristics with more thyroid follicular lesions whether benign or cancerous nodules. This study focuses on analysing the expression of CD56, HBME-1, RRM2 and APLP2 IHC markers in NIFTP versus other thyroid follicular lesions and their diagnostic validity was also evaluated.</p><p><strong>Methods: </strong>one hundred and nine thyroidectomy specimens including 31 NIFTP, 34 non-neoplastic, 34 papillary thyroid carcinoma (PTC) and 10 invasive encapsulated follicular variant papillary thyroid carcinoma (IEFVPTC) cases, were acquired between 2019 and 2022 from the Menoufia University's Faculty of Medicine's Pathology Department. Tissue microarray construction (TMA) blocks were prepared and CD56, HBME-1, RRM2 and APLP2 immunostaining were performed.</p><p><strong>Results: </strong>For CD56, 64.5% of NIFTP, 97.1% of the non-neoplastic group and 0% of both PTC and IEFVPTC were positive. For HBME-1, 61.3% of NIFTP, 0% of non-neoplastic, 100% of PTC and 100% of IEFVPTC were positive. For RRM2, all cases of NIFTP and the non-neoplastic group were negative, 88.2% of PTC and 100.0% of IEFVPTC were positive. For APLP2, 90.3% of NIFTP, 100% of the non-neoplastic group, 100% of PTC and 100% of IEFVPTC were positive. In differentiating NIFTP from non-neoplastic cases, the most sensitive marker was CD56 at H-score < 225 (sensitivity 95%) and the most specific was HBME-1 (specificity 100%). In various combinations, the panel of combined HBME-1 with either CD56 or APLP-2 improves their specificity (96.67% and 100% respectively) and the diagnostic accuracy (86.79 and 83.87, respectively) and therefore, combined HBME-1 and CD56 seems to be the most significant than using a single marker. In differentiation between NIFTP and PTC/IEFVPTC, the most sensitive marker was RRM2 (100% sensitivity for both groups) with the highest diagnostic accuracy (93.85% and 100%, respectively) and the most specific was CD56 (specificity 100% for both groups).</p><p><strong>Conclusions: </strong>Immunohistochemical markers such as CD56, HBME-1, RRM2, and APLP2 may aid in the diagnosis of NIFTP and its distinction from other follicular lesions.</p>\",\"PeriodicalId\":11237,\"journal\":{\"name\":\"Diagnostic Pathology\",\"volume\":\"20 1\",\"pages\":\"64\"},\"PeriodicalIF\":2.3000,\"publicationDate\":\"2025-05-26\",\"publicationTypes\":\"Journal Article\",\"fieldsOfStudy\":null,\"isOpenAccess\":false,\"openAccessPdf\":\"https://www.ncbi.nlm.nih.gov/pmc/articles/PMC12105278/pdf/\",\"citationCount\":\"0\",\"resultStr\":null,\"platform\":\"Semanticscholar\",\"paperid\":null,\"PeriodicalName\":\"Diagnostic Pathology\",\"FirstCategoryId\":\"3\",\"ListUrlMain\":\"https://doi.org/10.1186/s13000-025-01660-z\",\"RegionNum\":3,\"RegionCategory\":\"医学\",\"ArticlePicture\":[],\"TitleCN\":null,\"AbstractTextCN\":null,\"PMCID\":null,\"EPubDate\":\"\",\"PubModel\":\"\",\"JCR\":\"Q2\",\"JCRName\":\"PATHOLOGY\",\"Score\":null,\"Total\":0}","platform":"Semanticscholar","paperid":null,"PeriodicalName":"Diagnostic Pathology","FirstCategoryId":"3","ListUrlMain":"https://doi.org/10.1186/s13000-025-01660-z","RegionNum":3,"RegionCategory":"医学","ArticlePicture":[],"TitleCN":null,"AbstractTextCN":null,"PMCID":null,"EPubDate":"","PubModel":"","JCR":"Q2","JCRName":"PATHOLOGY","Score":null,"Total":0}
引用次数: 0

摘要

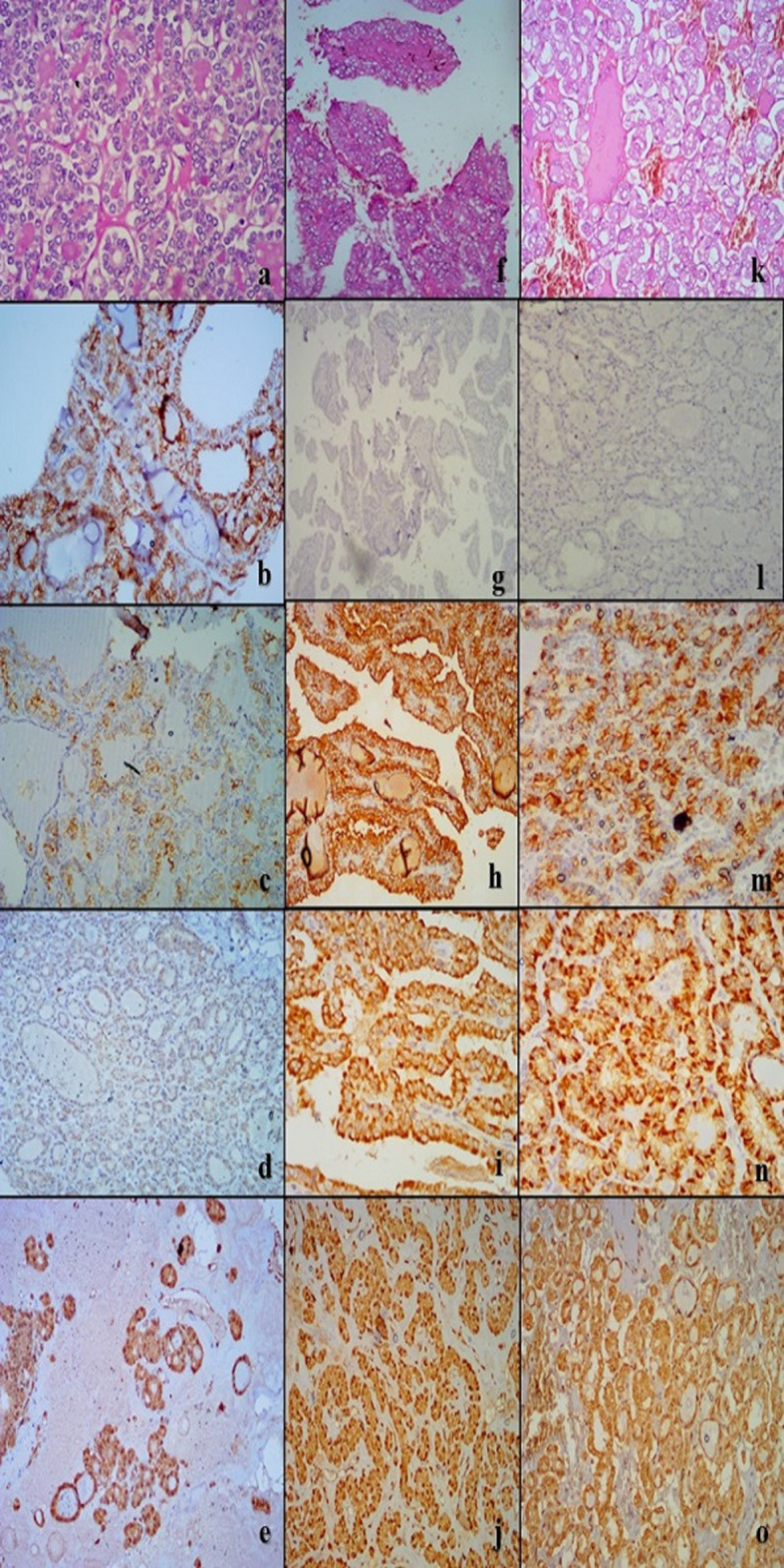
背景:一种具有乳头状核特征的非侵袭性滤泡性甲状腺肿瘤(NIFTP)具有交叉形态特征,无论是良性结节还是癌性结节,都有更多的甲状腺滤泡病变。本研究的重点是分析CD56、HBME-1、RRM2和APLP2 IHC标志物在NIFTP和其他甲状腺滤泡病变中的表达,并评估其诊断有效性。方法:选取2019 - 2022年在梅努菲亚大学医学院病理学系获得的109例甲状腺切除术标本,其中NIFTP 31例,非肿瘤性34例,甲状腺乳头状癌(PTC) 34例,浸润性囊泡变异型甲状腺乳头状癌(IEFVPTC) 10例。制备组织微阵列构建(TMA)块,进行CD56、HBME-1、RRM2和APLP2免疫染色。结果:CD56中NIFTP阳性率为64.5%,非肿瘤组阳性率为97.1%,PTC和IEFVPTC阳性率均为0%。HBME-1的NIFTP阳性率为61.3%,非肿瘤阳性率为0%,PTC阳性率为100%,IEFVPTC阳性率为100%。对于RRM2, NIFTP和非肿瘤组均为阴性,88.2%的PTC和100.0%的IEFVPTC为阳性。对于APLP2, 90.3%的NIFTP、100%的非肿瘤组、100%的PTC和100%的IEFVPTC阳性。结论:CD56、HBME-1、RRM2、APLP2等免疫组化标志物可能有助于NIFTP的诊断和与其他滤泡性病变的区分。
本文章由计算机程序翻译,如有差异,请以英文原文为准。

Immunohistochemical profile of non-invasive follicular thyroid neoplasm with papillary-like nuclear features (NIFTP) versus other thyroid follicular lesions.

Immunohistochemical profile of non-invasive follicular thyroid neoplasm with papillary-like nuclear features (NIFTP) versus other thyroid follicular lesions.

Immunohistochemical profile of non-invasive follicular thyroid neoplasm with papillary-like nuclear features (NIFTP) versus other thyroid follicular lesions.

Immunohistochemical profile of non-invasive follicular thyroid neoplasm with papillary-like nuclear features (NIFTP) versus other thyroid follicular lesions.

Background: A follicular thyroid tumour called Non-invasive follicular thyroid neoplasm with papillary-like nuclear features (NIFTP) poses crossing-over morphologic characteristics with more thyroid follicular lesions whether benign or cancerous nodules. This study focuses on analysing the expression of CD56, HBME-1, RRM2 and APLP2 IHC markers in NIFTP versus other thyroid follicular lesions and their diagnostic validity was also evaluated.

Methods: one hundred and nine thyroidectomy specimens including 31 NIFTP, 34 non-neoplastic, 34 papillary thyroid carcinoma (PTC) and 10 invasive encapsulated follicular variant papillary thyroid carcinoma (IEFVPTC) cases, were acquired between 2019 and 2022 from the Menoufia University's Faculty of Medicine's Pathology Department. Tissue microarray construction (TMA) blocks were prepared and CD56, HBME-1, RRM2 and APLP2 immunostaining were performed.

Results: For CD56, 64.5% of NIFTP, 97.1% of the non-neoplastic group and 0% of both PTC and IEFVPTC were positive. For HBME-1, 61.3% of NIFTP, 0% of non-neoplastic, 100% of PTC and 100% of IEFVPTC were positive. For RRM2, all cases of NIFTP and the non-neoplastic group were negative, 88.2% of PTC and 100.0% of IEFVPTC were positive. For APLP2, 90.3% of NIFTP, 100% of the non-neoplastic group, 100% of PTC and 100% of IEFVPTC were positive. In differentiating NIFTP from non-neoplastic cases, the most sensitive marker was CD56 at H-score < 225 (sensitivity 95%) and the most specific was HBME-1 (specificity 100%). In various combinations, the panel of combined HBME-1 with either CD56 or APLP-2 improves their specificity (96.67% and 100% respectively) and the diagnostic accuracy (86.79 and 83.87, respectively) and therefore, combined HBME-1 and CD56 seems to be the most significant than using a single marker. In differentiation between NIFTP and PTC/IEFVPTC, the most sensitive marker was RRM2 (100% sensitivity for both groups) with the highest diagnostic accuracy (93.85% and 100%, respectively) and the most specific was CD56 (specificity 100% for both groups).

Conclusions: Immunohistochemical markers such as CD56, HBME-1, RRM2, and APLP2 may aid in the diagnosis of NIFTP and its distinction from other follicular lesions.

求助全文
通过发布文献求助,成功后即可免费获取论文全文。 去求助
来源期刊
Diagnostic Pathology
Diagnostic Pathology 医学-病理学
CiteScore
4.60
自引率
0.00%
发文量
93
审稿时长
1 months
期刊介绍: Diagnostic Pathology is an open access, peer-reviewed, online journal that considers research in surgical and clinical pathology, immunology, and biology, with a special focus on cutting-edge approaches in diagnostic pathology and tissue-based therapy. The journal covers all aspects of surgical pathology, including classic diagnostic pathology, prognosis-related diagnosis (tumor stages, prognosis markers, such as MIB-percentage, hormone receptors, etc.), and therapy-related findings. The journal also focuses on the technological aspects of pathology, including molecular biology techniques, morphometry aspects (stereology, DNA analysis, syntactic structure analysis), communication aspects (telecommunication, virtual microscopy, virtual pathology institutions, etc.), and electronic education and quality assurance (for example interactive publication, on-line references with automated updating, etc.).
×
引用
GB/T 7714-2015
复制
MLA
复制
APA
复制
导出至
BibTeX EndNote RefMan NoteFirst NoteExpress
×
提示
您的信息不完整,为了账户安全,请先补充。
现在去补充
×
提示
您因"违规操作"
具体请查看互助需知
我知道了
×
提示
确定
请完成安全验证×
copy
已复制链接
快去分享给好友吧!
我知道了
右上角分享
点击右上角分享
0
联系我们:info@booksci.cn Book学术提供免费学术资源搜索服务,方便国内外学者检索中英文文献。致力于提供最便捷和优质的服务体验。 Copyright © 2023 布克学术 All rights reserved.
京ICP备2023020795号-1
ghs 京公网安备 11010802042870号
Book学术文献互助
Book学术文献互助群
群 号:604180095
Book学术官方微信