皮肤肥大细胞增多症:诊断挑战和饮食影响。

IF 1.3 Q2 DERMATOLOGY
Dermatology Reports Pub Date : 2025-05-23 Epub Date: 2024-10-23 DOI:10.4081/dr.2024.10143
Lina Al-Soufi, Aya Marashli, Rahaf Chukri HajBakri, Zuheir Al-Shehabi
{"title":"皮肤肥大细胞增多症:诊断挑战和饮食影响。","authors":"Lina Al-Soufi, Aya Marashli, Rahaf Chukri HajBakri, Zuheir Al-Shehabi","doi":"10.4081/dr.2024.10143","DOIUrl":null,"url":null,"abstract":"<p><p>Cutaneous mastocytosis (CM) is a rare condition characterized by abnormal mast cell proliferation in the skin. We present the case of a 65-year-old man with recurrent urticaria-like rashes persisting for more than eight years. Despite multiple misdiagnoses as insect bites, examination and biopsy revealed mast cell infiltration. The patient's unique lifestyle, particularly his frequent seafood consumption, adds an intriguing dimension to the case. Treatment with systemic antihistamines and corticosteroids provided symptomatic relief, but long-term follow-up showed the persistence of clinical lesions, indicating that the treatment did not adequately address the underlying cause of the disease. A notable improvement in disease control was observed when the patient's diet was adjusted, suggesting a potential link between food and cutaneous mastocytosis. To our knowledge, this is the first documented case of maculopapular cutaneous mastocytosis in Syria.</p>","PeriodicalId":11049,"journal":{"name":"Dermatology Reports","volume":"17 2","pages":""},"PeriodicalIF":1.3000,"publicationDate":"2025-05-23","publicationTypes":"Journal Article","fieldsOfStudy":null,"isOpenAccess":false,"openAccessPdf":"https://www.ncbi.nlm.nih.gov/pmc/articles/PMC12172424/pdf/","citationCount":"0","resultStr":"{\"title\":\"Cutaneous mastocytosis: diagnostic challenges and dietary influences.\",\"authors\":\"Lina Al-Soufi, Aya Marashli, Rahaf Chukri HajBakri, Zuheir Al-Shehabi\",\"doi\":\"10.4081/dr.2024.10143\",\"DOIUrl\":null,\"url\":null,\"abstract\":\"<p><p>Cutaneous mastocytosis (CM) is a rare condition characterized by abnormal mast cell proliferation in the skin. We present the case of a 65-year-old man with recurrent urticaria-like rashes persisting for more than eight years. Despite multiple misdiagnoses as insect bites, examination and biopsy revealed mast cell infiltration. The patient's unique lifestyle, particularly his frequent seafood consumption, adds an intriguing dimension to the case. Treatment with systemic antihistamines and corticosteroids provided symptomatic relief, but long-term follow-up showed the persistence of clinical lesions, indicating that the treatment did not adequately address the underlying cause of the disease. A notable improvement in disease control was observed when the patient's diet was adjusted, suggesting a potential link between food and cutaneous mastocytosis. To our knowledge, this is the first documented case of maculopapular cutaneous mastocytosis in Syria.</p>\",\"PeriodicalId\":11049,\"journal\":{\"name\":\"Dermatology Reports\",\"volume\":\"17 2\",\"pages\":\"\"},\"PeriodicalIF\":1.3000,\"publicationDate\":\"2025-05-23\",\"publicationTypes\":\"Journal Article\",\"fieldsOfStudy\":null,\"isOpenAccess\":false,\"openAccessPdf\":\"https://www.ncbi.nlm.nih.gov/pmc/articles/PMC12172424/pdf/\",\"citationCount\":\"0\",\"resultStr\":null,\"platform\":\"Semanticscholar\",\"paperid\":null,\"PeriodicalName\":\"Dermatology Reports\",\"FirstCategoryId\":\"1085\",\"ListUrlMain\":\"https://doi.org/10.4081/dr.2024.10143\",\"RegionNum\":0,\"RegionCategory\":null,\"ArticlePicture\":[],\"TitleCN\":null,\"AbstractTextCN\":null,\"PMCID\":null,\"EPubDate\":\"2024/10/23 0:00:00\",\"PubModel\":\"Epub\",\"JCR\":\"Q2\",\"JCRName\":\"DERMATOLOGY\",\"Score\":null,\"Total\":0}","platform":"Semanticscholar","paperid":null,"PeriodicalName":"Dermatology Reports","FirstCategoryId":"1085","ListUrlMain":"https://doi.org/10.4081/dr.2024.10143","RegionNum":0,"RegionCategory":null,"ArticlePicture":[],"TitleCN":null,"AbstractTextCN":null,"PMCID":null,"EPubDate":"2024/10/23 0:00:00","PubModel":"Epub","JCR":"Q2","JCRName":"DERMATOLOGY","Score":null,"Total":0}
引用次数: 0

摘要

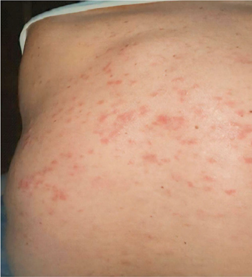
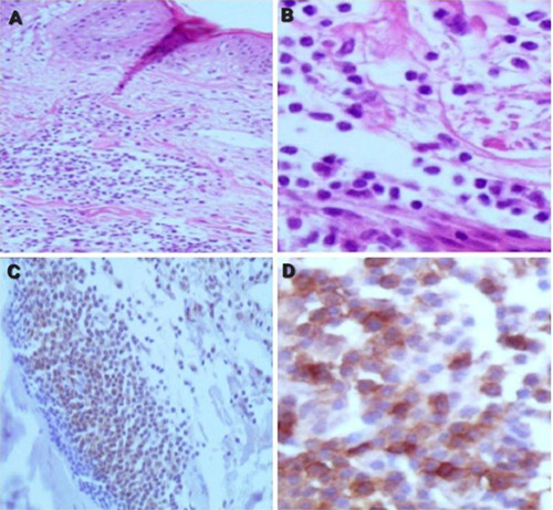
皮肤肥大细胞增多症(CM)是一种罕见的疾病,其特征是皮肤肥大细胞增生异常。我们提出的情况下,65岁的男子复发荨麻疹样皮疹持续超过8年。尽管多次误诊为昆虫叮咬,检查和活检显示肥大细胞浸润。病人独特的生活方式,特别是他经常吃海鲜,为这个病例增加了一个有趣的维度。全身性抗组胺药和皮质类固醇治疗可以缓解症状,但长期随访显示临床病变持续存在,表明治疗不能充分解决疾病的根本原因。当患者调整饮食时,疾病控制有显著改善,提示食物与皮肤肥大细胞增多症之间存在潜在联系。据我们所知,这是叙利亚首例记录在案的黄斑丘疹性皮肤肥大细胞增多症。
本文章由计算机程序翻译,如有差异,请以英文原文为准。

Cutaneous mastocytosis: diagnostic challenges and dietary influences.

Cutaneous mastocytosis: diagnostic challenges and dietary influences.

Cutaneous mastocytosis: diagnostic challenges and dietary influences.

Cutaneous mastocytosis: diagnostic challenges and dietary influences.

Cutaneous mastocytosis (CM) is a rare condition characterized by abnormal mast cell proliferation in the skin. We present the case of a 65-year-old man with recurrent urticaria-like rashes persisting for more than eight years. Despite multiple misdiagnoses as insect bites, examination and biopsy revealed mast cell infiltration. The patient's unique lifestyle, particularly his frequent seafood consumption, adds an intriguing dimension to the case. Treatment with systemic antihistamines and corticosteroids provided symptomatic relief, but long-term follow-up showed the persistence of clinical lesions, indicating that the treatment did not adequately address the underlying cause of the disease. A notable improvement in disease control was observed when the patient's diet was adjusted, suggesting a potential link between food and cutaneous mastocytosis. To our knowledge, this is the first documented case of maculopapular cutaneous mastocytosis in Syria.

求助全文
通过发布文献求助,成功后即可免费获取论文全文。 去求助
来源期刊
Dermatology Reports
Dermatology Reports DERMATOLOGY-
CiteScore
1.40
自引率
0.00%
发文量
74
审稿时长
10 weeks
×
引用
GB/T 7714-2015
复制
MLA
复制
APA
复制
导出至
BibTeX EndNote RefMan NoteFirst NoteExpress
×
提示
您的信息不完整,为了账户安全,请先补充。
现在去补充
×
提示
您因"违规操作"
具体请查看互助需知
我知道了
×
提示
确定
请完成安全验证×
copy
已复制链接
快去分享给好友吧!
我知道了
右上角分享
点击右上角分享
0
联系我们:info@booksci.cn Book学术提供免费学术资源搜索服务,方便国内外学者检索中英文文献。致力于提供最便捷和优质的服务体验。 Copyright © 2023 布克学术 All rights reserved.
京ICP备2023020795号-1
ghs 京公网安备 11010802042870号
Book学术文献互助
Book学术文献互助群
群 号:604180095
Book学术官方微信