羊心脏的功能解剖作为测试心血管装置的模型。

Sovremennye tekhnologii v meditsine Pub Date : 2025-01-01 Epub Date: 2025-04-30 DOI:10.17691/stm2025.17.2.02
Y L Rusakova, I Yu Zhuravleva
{"title":"羊心脏的功能解剖作为测试心血管装置的模型。","authors":"Y L Rusakova, I Yu Zhuravleva","doi":"10.17691/stm2025.17.2.02","DOIUrl":null,"url":null,"abstract":"<p><p><b>The aim of the study</b> is to assess the availability of this animal model for preclinical testing of implantable cardiovascular devices by studying numerical anatomical and functional characteristics of the ovine heart and to establish their differences from those of the human heart.</p><p><strong>Materials and methods: </strong>The study was performed on 17 healthy crossbred Romanov sheep weighing 20-29 kg in group 1 (n=7) and 30-43 kg in group 2 (n=10). All animals underwent echocardiography examination on the Philips CX-50 apparatus (revision 3.1.2; Philips, Netherlands) with a sector-phased S5-1 sensor from the right parasternal projection (long and short axis) to determine the heart rate, right ventricular wall thickness in diastole, right and left ventricular end-diastolic dimensions (RV EDD and LV EDD), left ventricular end-systolic dimension (LV ESD), interventricular septum (IVS) thickness in systole and diastole, left ventricular posterior wall thickness in systole and diastole.Functional parameters of the left ventricle (left ventricle end-systolic and end-diastolic volumes (LV ESV and LV EDV), ejection fraction and shortening fraction) were calculated using the modified Simpson method built into the echocardiography software. The diameter of the mitral annulus and the characteristics of the aortic root were also measured: the diameters of the aortic valve, Valsalva sinuses, and sinotubular junction, as well as the height of the aortic root from the fibrous ring to the line of the sinotubular junction. Direct measurements of the ascending aorta and pulmonary artery diameters, intercommissural distances, and the height of the aortic valve leaflets were performed after autopsy.</p><p><strong>Results: </strong>A number of anatomical and functional parameters of the sheep heart such as ejection fraction, myocardium thickness, LV EDD and LV ESD, aorta, and pulmonary artery diameters, have been established to be close to those of the human heart. At the same time, LV EDV and LV ESV of the sheep are significantly lower than in humans, even in relation to the body surface area, and the average mitral valve diameter is larger. Despite the same diameters of the aortic valve, Valsalva sinuses, and sinotubular junction, the structures of the ovine and human aortic roots are different: the sheep root features a smaller height and intercommissural distances of the cusps. In addition, some differences were found in the arrangement of the cusps in relation to the valve axis: the intercommissural distance of the right coronary leaflet was almost 2 times greater than the similar indicator of the left coronary leaflet.Most anatomical and functional parameters have not shown any correlation with the animals' body weight. Only in group 2, a significant positive correlation between body weight and the height of the aortic valve leaflets was found.</p><p><strong>Conclusion: </strong>The anatomical and functional characteristics of the sheep heart are close but not identical to human hearts. The sheep is a valid experimental model for preclinical testing of implantable cardiovascular devices, but a successful experiment requires careful screening of animals with echocardiographic assessment of the target zone parameters and selection of the appropriate device size.</p>","PeriodicalId":520289,"journal":{"name":"Sovremennye tekhnologii v meditsine","volume":"17 2","pages":"13-22"},"PeriodicalIF":0.0000,"publicationDate":"2025-01-01","publicationTypes":"Journal Article","fieldsOfStudy":null,"isOpenAccess":false,"openAccessPdf":"https://www.ncbi.nlm.nih.gov/pmc/articles/PMC12096356/pdf/","citationCount":"0","resultStr":"{\"title\":\"Functional Anatomy of the Sheep Heart as a Model for Testing Cardiovascular Devices.\",\"authors\":\"Y L Rusakova, I Yu Zhuravleva\",\"doi\":\"10.17691/stm2025.17.2.02\",\"DOIUrl\":null,\"url\":null,\"abstract\":\"<p><p><b>The aim of the study</b> is to assess the availability of this animal model for preclinical testing of implantable cardiovascular devices by studying numerical anatomical and functional characteristics of the ovine heart and to establish their differences from those of the human heart.</p><p><strong>Materials and methods: </strong>The study was performed on 17 healthy crossbred Romanov sheep weighing 20-29 kg in group 1 (n=7) and 30-43 kg in group 2 (n=10). All animals underwent echocardiography examination on the Philips CX-50 apparatus (revision 3.1.2; Philips, Netherlands) with a sector-phased S5-1 sensor from the right parasternal projection (long and short axis) to determine the heart rate, right ventricular wall thickness in diastole, right and left ventricular end-diastolic dimensions (RV EDD and LV EDD), left ventricular end-systolic dimension (LV ESD), interventricular septum (IVS) thickness in systole and diastole, left ventricular posterior wall thickness in systole and diastole.Functional parameters of the left ventricle (left ventricle end-systolic and end-diastolic volumes (LV ESV and LV EDV), ejection fraction and shortening fraction) were calculated using the modified Simpson method built into the echocardiography software. The diameter of the mitral annulus and the characteristics of the aortic root were also measured: the diameters of the aortic valve, Valsalva sinuses, and sinotubular junction, as well as the height of the aortic root from the fibrous ring to the line of the sinotubular junction. Direct measurements of the ascending aorta and pulmonary artery diameters, intercommissural distances, and the height of the aortic valve leaflets were performed after autopsy.</p><p><strong>Results: </strong>A number of anatomical and functional parameters of the sheep heart such as ejection fraction, myocardium thickness, LV EDD and LV ESD, aorta, and pulmonary artery diameters, have been established to be close to those of the human heart. At the same time, LV EDV and LV ESV of the sheep are significantly lower than in humans, even in relation to the body surface area, and the average mitral valve diameter is larger. Despite the same diameters of the aortic valve, Valsalva sinuses, and sinotubular junction, the structures of the ovine and human aortic roots are different: the sheep root features a smaller height and intercommissural distances of the cusps. In addition, some differences were found in the arrangement of the cusps in relation to the valve axis: the intercommissural distance of the right coronary leaflet was almost 2 times greater than the similar indicator of the left coronary leaflet.Most anatomical and functional parameters have not shown any correlation with the animals' body weight. Only in group 2, a significant positive correlation between body weight and the height of the aortic valve leaflets was found.</p><p><strong>Conclusion: </strong>The anatomical and functional characteristics of the sheep heart are close but not identical to human hearts. The sheep is a valid experimental model for preclinical testing of implantable cardiovascular devices, but a successful experiment requires careful screening of animals with echocardiographic assessment of the target zone parameters and selection of the appropriate device size.</p>\",\"PeriodicalId\":520289,\"journal\":{\"name\":\"Sovremennye tekhnologii v meditsine\",\"volume\":\"17 2\",\"pages\":\"13-22\"},\"PeriodicalIF\":0.0000,\"publicationDate\":\"2025-01-01\",\"publicationTypes\":\"Journal Article\",\"fieldsOfStudy\":null,\"isOpenAccess\":false,\"openAccessPdf\":\"https://www.ncbi.nlm.nih.gov/pmc/articles/PMC12096356/pdf/\",\"citationCount\":\"0\",\"resultStr\":null,\"platform\":\"Semanticscholar\",\"paperid\":null,\"PeriodicalName\":\"Sovremennye tekhnologii v meditsine\",\"FirstCategoryId\":\"1085\",\"ListUrlMain\":\"https://doi.org/10.17691/stm2025.17.2.02\",\"RegionNum\":0,\"RegionCategory\":null,\"ArticlePicture\":[],\"TitleCN\":null,\"AbstractTextCN\":null,\"PMCID\":null,\"EPubDate\":\"2025/4/30 0:00:00\",\"PubModel\":\"Epub\",\"JCR\":\"\",\"JCRName\":\"\",\"Score\":null,\"Total\":0}","platform":"Semanticscholar","paperid":null,"PeriodicalName":"Sovremennye tekhnologii v meditsine","FirstCategoryId":"1085","ListUrlMain":"https://doi.org/10.17691/stm2025.17.2.02","RegionNum":0,"RegionCategory":null,"ArticlePicture":[],"TitleCN":null,"AbstractTextCN":null,"PMCID":null,"EPubDate":"2025/4/30 0:00:00","PubModel":"Epub","JCR":"","JCRName":"","Score":null,"Total":0}
引用次数: 0

摘要

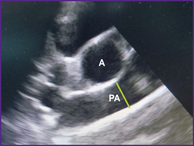
本研究的目的是通过研究羊心脏的数值解剖和功能特征,评估该动物模型用于植入式心血管装置临床前测试的有效性,并确定它们与人类心脏的区别。材料与方法:选取17只体重20 ~ 29 kg的健康杂交罗曼诺夫羊作为试验材料,设1组(n=7),设2组(n=10),设30 ~ 43 kg。所有动物在Philips CX-50仪器上进行超声心动图检查(修订3.1.2;Philips,荷兰)采用扇形相位S5-1传感器从右胸片旁投影(长轴和短轴)测定心率、舒张期右心室壁厚度、左右心室舒张末期尺寸(RV EDD和LV EDD)、左心室收缩末期尺寸(LV ESD)、收缩期和舒张期室间隔(IVS)厚度、收缩期和舒张期左心室后壁厚度。采用超声心动图软件内置的改良Simpson法计算左心室功能参数(左心室收缩末和舒张末容积(LV ESV和LV EDV)、射血分数和缩短分数)。测量二尖瓣环的直径和主动脉根部的特征:主动脉瓣、Valsalva窦和窦管交界处的直径,以及主动脉根部从纤维环到窦管交界处的高度。尸检后直接测量升主动脉和肺动脉的直径、关节间距离和主动脉瓣小叶的高度。结果:羊心脏的射血分数、心肌厚度、左室EDD和左室ESD、主动脉、肺动脉直径等解剖学和功能参数均与人心脏接近。同时,绵羊的左室EDV和左室ESV明显低于人类,甚至相对于体表面积而言也是如此,而且二尖瓣的平均直径更大。尽管主动脉瓣、Valsalva窦和窦管交界处的直径相同,但羊和人的主动脉根的结构不同:羊的主动脉根的尖端高度和关节间距离较小。此外,在瓣轴尖的排列上发现了一些差异:右冠状动脉小叶的节间距离几乎是左冠状动脉小叶的2倍。大多数解剖和功能参数没有显示出与动物体重的任何关联。只有在第2组中,体重与主动脉瓣小叶高度呈显著正相关。结论:羊心脏的解剖和功能特征与人心脏相近,但又不完全相同。绵羊是植入式心血管装置临床前测试的有效实验模型,但成功的实验需要通过超声心动图评估靶区参数和选择合适的装置尺寸来仔细筛选动物。
本文章由计算机程序翻译,如有差异,请以英文原文为准。

Functional Anatomy of the Sheep Heart as a Model for Testing Cardiovascular Devices.

Functional Anatomy of the Sheep Heart as a Model for Testing Cardiovascular Devices.

Functional Anatomy of the Sheep Heart as a Model for Testing Cardiovascular Devices.

Functional Anatomy of the Sheep Heart as a Model for Testing Cardiovascular Devices.

The aim of the study is to assess the availability of this animal model for preclinical testing of implantable cardiovascular devices by studying numerical anatomical and functional characteristics of the ovine heart and to establish their differences from those of the human heart.

Materials and methods: The study was performed on 17 healthy crossbred Romanov sheep weighing 20-29 kg in group 1 (n=7) and 30-43 kg in group 2 (n=10). All animals underwent echocardiography examination on the Philips CX-50 apparatus (revision 3.1.2; Philips, Netherlands) with a sector-phased S5-1 sensor from the right parasternal projection (long and short axis) to determine the heart rate, right ventricular wall thickness in diastole, right and left ventricular end-diastolic dimensions (RV EDD and LV EDD), left ventricular end-systolic dimension (LV ESD), interventricular septum (IVS) thickness in systole and diastole, left ventricular posterior wall thickness in systole and diastole.Functional parameters of the left ventricle (left ventricle end-systolic and end-diastolic volumes (LV ESV and LV EDV), ejection fraction and shortening fraction) were calculated using the modified Simpson method built into the echocardiography software. The diameter of the mitral annulus and the characteristics of the aortic root were also measured: the diameters of the aortic valve, Valsalva sinuses, and sinotubular junction, as well as the height of the aortic root from the fibrous ring to the line of the sinotubular junction. Direct measurements of the ascending aorta and pulmonary artery diameters, intercommissural distances, and the height of the aortic valve leaflets were performed after autopsy.

Results: A number of anatomical and functional parameters of the sheep heart such as ejection fraction, myocardium thickness, LV EDD and LV ESD, aorta, and pulmonary artery diameters, have been established to be close to those of the human heart. At the same time, LV EDV and LV ESV of the sheep are significantly lower than in humans, even in relation to the body surface area, and the average mitral valve diameter is larger. Despite the same diameters of the aortic valve, Valsalva sinuses, and sinotubular junction, the structures of the ovine and human aortic roots are different: the sheep root features a smaller height and intercommissural distances of the cusps. In addition, some differences were found in the arrangement of the cusps in relation to the valve axis: the intercommissural distance of the right coronary leaflet was almost 2 times greater than the similar indicator of the left coronary leaflet.Most anatomical and functional parameters have not shown any correlation with the animals' body weight. Only in group 2, a significant positive correlation between body weight and the height of the aortic valve leaflets was found.

Conclusion: The anatomical and functional characteristics of the sheep heart are close but not identical to human hearts. The sheep is a valid experimental model for preclinical testing of implantable cardiovascular devices, but a successful experiment requires careful screening of animals with echocardiographic assessment of the target zone parameters and selection of the appropriate device size.

求助全文
通过发布文献求助,成功后即可免费获取论文全文。 去求助
来源期刊
自引率
0.00%
发文量
0
×
引用
GB/T 7714-2015
复制
MLA
复制
APA
复制
导出至
BibTeX EndNote RefMan NoteFirst NoteExpress
×
提示
您的信息不完整,为了账户安全,请先补充。
现在去补充
×
提示
您因"违规操作"
具体请查看互助需知
我知道了
×
提示
确定
请完成安全验证×
copy
已复制链接
快去分享给好友吧!
我知道了
右上角分享
点击右上角分享
0
联系我们:info@booksci.cn Book学术提供免费学术资源搜索服务,方便国内外学者检索中英文文献。致力于提供最便捷和优质的服务体验。 Copyright © 2023 布克学术 All rights reserved.
京ICP备2023020795号-1
ghs 京公网安备 11010802042870号
Book学术文献互助
Book学术文献互助群
群 号:604180095
Book学术官方微信