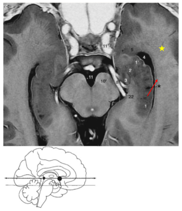
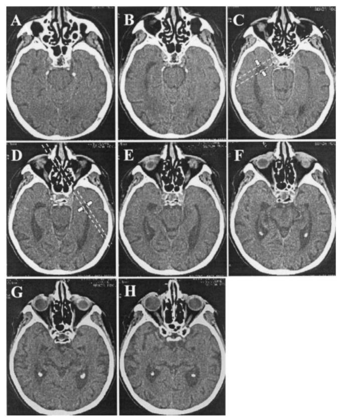
描述测量颞角扩张的神经解剖结构。

IF 1.5 Q4 MEDICINE, RESEARCH & EXPERIMENTAL
Malaysian Journal of Medical Sciences Pub Date : 2025-02-01 Epub Date: 2025-02-28 DOI:10.21315/mjms-01-2025-077
Devalagan Muthalagan, Kia Hooi Tan, Nur Asma Sapiai, Zul Izhar Mohd Ismail, Siti Fatimah Mukhtar, Wei Siong Ng, Siew Chung Mah
{"title":"描述测量颞角扩张的神经解剖结构。","authors":"Devalagan Muthalagan, Kia Hooi Tan, Nur Asma Sapiai, Zul Izhar Mohd Ismail, Siti Fatimah Mukhtar, Wei Siong Ng, Siew Chung Mah","doi":"10.21315/mjms-01-2025-077","DOIUrl":null,"url":null,"abstract":"","PeriodicalId":47388,"journal":{"name":"Malaysian Journal of Medical Sciences","volume":"32 1","pages":"181-187"},"PeriodicalIF":1.5000,"publicationDate":"2025-02-01","publicationTypes":"Journal Article","fieldsOfStudy":null,"isOpenAccess":false,"openAccessPdf":"https://www.ncbi.nlm.nih.gov/pmc/articles/PMC12097160/pdf/","citationCount":"0","resultStr":"{\"title\":\"Delineating Neuroanatomical Structures for the Measurement of Temporal Horn Dilatation.\",\"authors\":\"Devalagan Muthalagan, Kia Hooi Tan, Nur Asma Sapiai, Zul Izhar Mohd Ismail, Siti Fatimah Mukhtar, Wei Siong Ng, Siew Chung Mah\",\"doi\":\"10.21315/mjms-01-2025-077\",\"DOIUrl\":null,\"url\":null,\"abstract\":\"\",\"PeriodicalId\":47388,\"journal\":{\"name\":\"Malaysian Journal of Medical Sciences\",\"volume\":\"32 1\",\"pages\":\"181-187\"},\"PeriodicalIF\":1.5000,\"publicationDate\":\"2025-02-01\",\"publicationTypes\":\"Journal Article\",\"fieldsOfStudy\":null,\"isOpenAccess\":false,\"openAccessPdf\":\"https://www.ncbi.nlm.nih.gov/pmc/articles/PMC12097160/pdf/\",\"citationCount\":\"0\",\"resultStr\":null,\"platform\":\"Semanticscholar\",\"paperid\":null,\"PeriodicalName\":\"Malaysian Journal of Medical Sciences\",\"FirstCategoryId\":\"1085\",\"ListUrlMain\":\"https://doi.org/10.21315/mjms-01-2025-077\",\"RegionNum\":0,\"RegionCategory\":null,\"ArticlePicture\":[],\"TitleCN\":null,\"AbstractTextCN\":null,\"PMCID\":null,\"EPubDate\":\"2025/2/28 0:00:00\",\"PubModel\":\"Epub\",\"JCR\":\"Q4\",\"JCRName\":\"MEDICINE, RESEARCH & EXPERIMENTAL\",\"Score\":null,\"Total\":0}","platform":"Semanticscholar","paperid":null,"PeriodicalName":"Malaysian Journal of Medical Sciences","FirstCategoryId":"1085","ListUrlMain":"https://doi.org/10.21315/mjms-01-2025-077","RegionNum":0,"RegionCategory":null,"ArticlePicture":[],"TitleCN":null,"AbstractTextCN":null,"PMCID":null,"EPubDate":"2025/2/28 0:00:00","PubModel":"Epub","JCR":"Q4","JCRName":"MEDICINE, RESEARCH & EXPERIMENTAL","Score":null,"Total":0}
引用次数: 0

摘要

本文章由计算机程序翻译,如有差异,请以英文原文为准。

Delineating Neuroanatomical Structures for the Measurement of Temporal Horn Dilatation.

Delineating Neuroanatomical Structures for the Measurement of Temporal Horn Dilatation.

Delineating Neuroanatomical Structures for the Measurement of Temporal Horn Dilatation.

Delineating Neuroanatomical Structures for the Measurement of Temporal Horn Dilatation.
求助全文
通过发布文献求助,成功后即可免费获取论文全文。 去求助
来源期刊
Malaysian Journal of Medical Sciences
Malaysian Journal of Medical Sciences MEDICINE, RESEARCH & EXPERIMENTAL-
CiteScore
2.70
自引率
0.00%
发文量
89
审稿时长
9 weeks
期刊介绍: The Malaysian Journal of Medical Sciences (MJMS) is a peer-reviewed, open-access, fully online journal that is published at least six times a year. The journal’s scope encompasses all aspects of medical sciences including biomedical, allied health, clinical and social sciences. We accept high quality papers from basic to translational research especially from low & middle income countries, as classified by the United Nations & World Bank (https://datahelpdesk.worldbank.org/knowledgebase/ articles/906519), with the aim that published research will benefit back the bottom billion population from these countries. Manuscripts submitted from developed or high income countries to MJMS must contain data and information that will benefit the socio-health and bio-medical sciences of these low and middle income countries. The MJMS editorial board consists of internationally regarded clinicians and scientists from low and middle income countries.
×
引用
GB/T 7714-2015
复制
MLA
复制
APA
复制
导出至
BibTeX EndNote RefMan NoteFirst NoteExpress
×
提示
您的信息不完整,为了账户安全,请先补充。
现在去补充
×
提示
您因"违规操作"
具体请查看互助需知
我知道了
×
提示
确定
请完成安全验证×
copy
已复制链接
快去分享给好友吧!
我知道了
右上角分享
点击右上角分享
0
联系我们:info@booksci.cn Book学术提供免费学术资源搜索服务,方便国内外学者检索中英文文献。致力于提供最便捷和优质的服务体验。 Copyright © 2023 布克学术 All rights reserved.
京ICP备2023020795号-1
ghs 京公网安备 11010802042870号
Book学术文献互助
Book学术文献互助群
群 号:604180095
Book学术官方微信