ROHHAD-NET综合征:一个病例系列。

IF 1.2 Q4 ENDOCRINOLOGY & METABOLISM
Dhanya Soodhana, Manjula Subramaniya Iyer, Joe George, Vimal Mavila Veetil, Preetha Remesh, Kesavan Melarcode Ramanan, Binesh Arayullathil, Abraham Mammen
{"title":"ROHHAD-NET综合征:一个病例系列。","authors":"Dhanya Soodhana, Manjula Subramaniya Iyer, Joe George, Vimal Mavila Veetil, Preetha Remesh, Kesavan Melarcode Ramanan, Binesh Arayullathil, Abraham Mammen","doi":"10.15605/jafes.040.01.10","DOIUrl":null,"url":null,"abstract":"<p><p>Rapid-onset obesity with hypothalamic dysfunction, hypoventilation, autonomic dysregulation and neural crest tumor (ROHHAD-NET) though a rare disease, is potentially fatal. It is of utmost importance to be understood and urgently diagnosed. We hereby report a series of three cases, the first of its kind from India. Children older than 18 months old usually exhibit rapid weight growth as a presenting symptom. Hypothalamic dysfunction could lead to endocrine issues, respiratory dysfunction and autonomic dysregulation. Over the years, with variable timing, one or more signs of hypothalamic dysfunction appear: hyperprolactinemia, growth hormone deficiency, central hypothyroidism, central adrenal insufficiency or Cushing syndrome, early or delayed puberty, water-electrolyte balance disorders. The diagnosis is difficult because there is no reliable test, and the treatment is mainly supportive. All the three children who were thriving well, presented with rapid weight gain and then developed symptoms of hypothalamic dysfunction. While in one a neural crest tumor was incidentally detected, the second had persistent hypernatremia and the third child presented with intestinal obstruction. The varied presentation and vague symptom spectrum exhibit a diagnostic challenge to the clinician and underscores the importance of creating awareness. An individualized strategic approach is needed as it is clinically difficult to distinguish ROHHAD syndrome from other obesity syndromes of genetic origin.</p>","PeriodicalId":41792,"journal":{"name":"Journal of the ASEAN Federation of Endocrine Societies","volume":"40 1","pages":"126-132"},"PeriodicalIF":1.2000,"publicationDate":"2025-05-01","publicationTypes":"Journal Article","fieldsOfStudy":null,"isOpenAccess":false,"openAccessPdf":"https://www.ncbi.nlm.nih.gov/pmc/articles/PMC12097978/pdf/","citationCount":"0","resultStr":"{\"title\":\"ROHHAD-NET Syndrome: A Case Series.\",\"authors\":\"Dhanya Soodhana, Manjula Subramaniya Iyer, Joe George, Vimal Mavila Veetil, Preetha Remesh, Kesavan Melarcode Ramanan, Binesh Arayullathil, Abraham Mammen\",\"doi\":\"10.15605/jafes.040.01.10\",\"DOIUrl\":null,\"url\":null,\"abstract\":\"<p><p>Rapid-onset obesity with hypothalamic dysfunction, hypoventilation, autonomic dysregulation and neural crest tumor (ROHHAD-NET) though a rare disease, is potentially fatal. It is of utmost importance to be understood and urgently diagnosed. We hereby report a series of three cases, the first of its kind from India. Children older than 18 months old usually exhibit rapid weight growth as a presenting symptom. Hypothalamic dysfunction could lead to endocrine issues, respiratory dysfunction and autonomic dysregulation. Over the years, with variable timing, one or more signs of hypothalamic dysfunction appear: hyperprolactinemia, growth hormone deficiency, central hypothyroidism, central adrenal insufficiency or Cushing syndrome, early or delayed puberty, water-electrolyte balance disorders. The diagnosis is difficult because there is no reliable test, and the treatment is mainly supportive. All the three children who were thriving well, presented with rapid weight gain and then developed symptoms of hypothalamic dysfunction. While in one a neural crest tumor was incidentally detected, the second had persistent hypernatremia and the third child presented with intestinal obstruction. The varied presentation and vague symptom spectrum exhibit a diagnostic challenge to the clinician and underscores the importance of creating awareness. An individualized strategic approach is needed as it is clinically difficult to distinguish ROHHAD syndrome from other obesity syndromes of genetic origin.</p>\",\"PeriodicalId\":41792,\"journal\":{\"name\":\"Journal of the ASEAN Federation of Endocrine Societies\",\"volume\":\"40 1\",\"pages\":\"126-132\"},\"PeriodicalIF\":1.2000,\"publicationDate\":\"2025-05-01\",\"publicationTypes\":\"Journal Article\",\"fieldsOfStudy\":null,\"isOpenAccess\":false,\"openAccessPdf\":\"https://www.ncbi.nlm.nih.gov/pmc/articles/PMC12097978/pdf/\",\"citationCount\":\"0\",\"resultStr\":null,\"platform\":\"Semanticscholar\",\"paperid\":null,\"PeriodicalName\":\"Journal of the ASEAN Federation of Endocrine Societies\",\"FirstCategoryId\":\"1085\",\"ListUrlMain\":\"https://doi.org/10.15605/jafes.040.01.10\",\"RegionNum\":0,\"RegionCategory\":null,\"ArticlePicture\":[],\"TitleCN\":null,\"AbstractTextCN\":null,\"PMCID\":null,\"EPubDate\":\"2025/4/25 0:00:00\",\"PubModel\":\"Epub\",\"JCR\":\"Q4\",\"JCRName\":\"ENDOCRINOLOGY & METABOLISM\",\"Score\":null,\"Total\":0}","platform":"Semanticscholar","paperid":null,"PeriodicalName":"Journal of the ASEAN Federation of Endocrine Societies","FirstCategoryId":"1085","ListUrlMain":"https://doi.org/10.15605/jafes.040.01.10","RegionNum":0,"RegionCategory":null,"ArticlePicture":[],"TitleCN":null,"AbstractTextCN":null,"PMCID":null,"EPubDate":"2025/4/25 0:00:00","PubModel":"Epub","JCR":"Q4","JCRName":"ENDOCRINOLOGY & METABOLISM","Score":null,"Total":0}
引用次数: 0

摘要

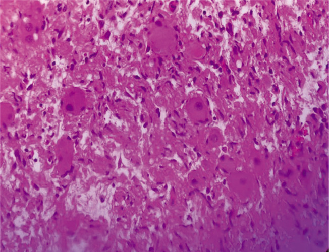
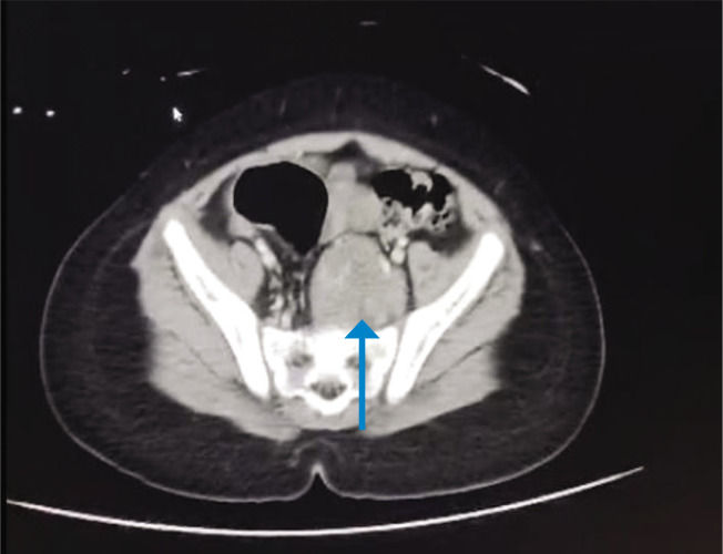
速发性肥胖伴下丘脑功能障碍、通气不足、自主神经失调和神经嵴肿瘤(ROHHAD-NET)虽然是一种罕见的疾病,但具有潜在的致命性。了解和紧急诊断是至关重要的。我们在此报道三起连续案件,这是印度首次发生此类案件。18个月以上的儿童通常以体重快速增长为主要症状。下丘脑功能障碍可能导致内分泌问题、呼吸功能障碍和自主神经失调。多年来,随着时间的变化,出现一种或多种下丘脑功能障碍的迹象:高泌乳素血症、生长激素缺乏症、中枢性甲状腺功能减退症、中枢性肾上腺功能不全或库欣综合征、青春期提前或延迟、水电解质平衡紊乱。诊断是困难的,因为没有可靠的测试,治疗主要是支持性的。这三个发育良好的孩子都表现出体重迅速增加,然后出现了下丘脑功能障碍的症状。其中一个偶然发现神经嵴肿瘤,第二个有持续性高钠血症,第三个孩子表现为肠梗阻。各种各样的表现和模糊的症状谱对临床医生的诊断提出了挑战,并强调了创造意识的重要性。由于临床上很难将ROHHAD综合征与其他遗传来源的肥胖综合征区分开来,因此需要个性化的策略方法。
本文章由计算机程序翻译,如有差异,请以英文原文为准。

ROHHAD-NET Syndrome: A Case Series.

ROHHAD-NET Syndrome: A Case Series.

ROHHAD-NET Syndrome: A Case Series.

ROHHAD-NET Syndrome: A Case Series.

Rapid-onset obesity with hypothalamic dysfunction, hypoventilation, autonomic dysregulation and neural crest tumor (ROHHAD-NET) though a rare disease, is potentially fatal. It is of utmost importance to be understood and urgently diagnosed. We hereby report a series of three cases, the first of its kind from India. Children older than 18 months old usually exhibit rapid weight growth as a presenting symptom. Hypothalamic dysfunction could lead to endocrine issues, respiratory dysfunction and autonomic dysregulation. Over the years, with variable timing, one or more signs of hypothalamic dysfunction appear: hyperprolactinemia, growth hormone deficiency, central hypothyroidism, central adrenal insufficiency or Cushing syndrome, early or delayed puberty, water-electrolyte balance disorders. The diagnosis is difficult because there is no reliable test, and the treatment is mainly supportive. All the three children who were thriving well, presented with rapid weight gain and then developed symptoms of hypothalamic dysfunction. While in one a neural crest tumor was incidentally detected, the second had persistent hypernatremia and the third child presented with intestinal obstruction. The varied presentation and vague symptom spectrum exhibit a diagnostic challenge to the clinician and underscores the importance of creating awareness. An individualized strategic approach is needed as it is clinically difficult to distinguish ROHHAD syndrome from other obesity syndromes of genetic origin.

求助全文
通过发布文献求助,成功后即可免费获取论文全文。 去求助
来源期刊
CiteScore
1.20
自引率
0.00%
发文量
22
审稿时长
8 weeks
期刊介绍: The Journal of the ASEAN Federation of Endocrine Societies (JAFES) is an OPEN ACCESS, internationally peer-reviewed, English language, medical and health science journal that is published in print two times a year by the ASEAN Federation of Endocrine Societies. It shall serve as the endocrine window between the ASEAN region and the world, featuring original papers and publishing key findings from specialists and experts of endocrinology.
×
引用
GB/T 7714-2015
复制
MLA
复制
APA
复制
导出至
BibTeX EndNote RefMan NoteFirst NoteExpress
×
提示
您的信息不完整,为了账户安全,请先补充。
现在去补充
×
提示
您因"违规操作"
具体请查看互助需知
我知道了
×
提示
确定
请完成安全验证×
copy
已复制链接
快去分享给好友吧!
我知道了
右上角分享
点击右上角分享
0
联系我们:info@booksci.cn Book学术提供免费学术资源搜索服务,方便国内外学者检索中英文文献。致力于提供最便捷和优质的服务体验。 Copyright © 2023 布克学术 All rights reserved.
京ICP备2023020795号-1
ghs 京公网安备 11010802042870号
Book学术文献互助
Book学术文献互助群
群 号:604180095
Book学术官方微信