双侧嗜铬细胞瘤伴MAX基因新致病变异1例报告。

IF 1.2 Q4 ENDOCRINOLOGY & METABOLISM
Chee Koon Low, Kausalyaa Krishnabalan, Azraai Bahari Nasruddin, Zanariah Hussein
{"title":"双侧嗜铬细胞瘤伴MAX基因新致病变异1例报告。","authors":"Chee Koon Low, Kausalyaa Krishnabalan, Azraai Bahari Nasruddin, Zanariah Hussein","doi":"10.15605/jafes.040.01.16","DOIUrl":null,"url":null,"abstract":"<p><p>Pheochromocytomas and paragangliomas syndrome are grouped into three specific disease clusters based on their underlying genetic alterations. Pathogenic variants affecting the myelocytomatosis-associated factor X (MAX) gene predispose pheochromocytomas and paragangliomas syndrome to occur at younger ages, with more than half having bilateral pheochromocytomas. We report a case of bilateral pheochromocytomas with a novel pathogenic variant identified in the MAX gene (c.234_235dup). This young male was found to have a huge left suprarenal mass after he presented with severe hypertension and myocardial infarction. His endocrine workup confirmed a diagnosis of pheochromocytoma as evidenced by elevated levels of normetanephrine, metanephrine, and 3-methoxytyramine in the urine. CT of the adrenal glands revealed bilateral adrenal masses; the widest diameter for the left adrenal mass was almost 8 cm whereas for the right one was 2 cm. <sup>68</sup>Gallium-DOTATATE functional imaging showed significant uptake in the left adrenal mass, but indeterminate on the right, and no significant uptake was seen elsewhere to suggest metastatic lesions. He did not have syndromic features associated with multiple endocrine neoplasia, neurofibromatosis or von Hippel Lindau disease. The collective findings raised the clinical dilemma of whether unilateral or bilateral adrenalectomy should be pursued. The detection of pathogenic MAX gene was therefore crucial in guiding personalized treatment strategy. Following the bilateral adrenalectomy, his hypertension was cured. Annual biochemical screening and 2-yearly MRI imaging to look for recurrence of pheochromocytomas were planned according to international consensus.</p>","PeriodicalId":41792,"journal":{"name":"Journal of the ASEAN Federation of Endocrine Societies","volume":"40 1","pages":"108-111"},"PeriodicalIF":1.2000,"publicationDate":"2025-05-01","publicationTypes":"Journal Article","fieldsOfStudy":null,"isOpenAccess":false,"openAccessPdf":"https://www.ncbi.nlm.nih.gov/pmc/articles/PMC12097967/pdf/","citationCount":"0","resultStr":"{\"title\":\"Bilateral Pheochromocytoma with a Novel Pathogenic Variant in the MAX gene: A Case Report.\",\"authors\":\"Chee Koon Low, Kausalyaa Krishnabalan, Azraai Bahari Nasruddin, Zanariah Hussein\",\"doi\":\"10.15605/jafes.040.01.16\",\"DOIUrl\":null,\"url\":null,\"abstract\":\"<p><p>Pheochromocytomas and paragangliomas syndrome are grouped into three specific disease clusters based on their underlying genetic alterations. Pathogenic variants affecting the myelocytomatosis-associated factor X (MAX) gene predispose pheochromocytomas and paragangliomas syndrome to occur at younger ages, with more than half having bilateral pheochromocytomas. We report a case of bilateral pheochromocytomas with a novel pathogenic variant identified in the MAX gene (c.234_235dup). This young male was found to have a huge left suprarenal mass after he presented with severe hypertension and myocardial infarction. His endocrine workup confirmed a diagnosis of pheochromocytoma as evidenced by elevated levels of normetanephrine, metanephrine, and 3-methoxytyramine in the urine. CT of the adrenal glands revealed bilateral adrenal masses; the widest diameter for the left adrenal mass was almost 8 cm whereas for the right one was 2 cm. <sup>68</sup>Gallium-DOTATATE functional imaging showed significant uptake in the left adrenal mass, but indeterminate on the right, and no significant uptake was seen elsewhere to suggest metastatic lesions. He did not have syndromic features associated with multiple endocrine neoplasia, neurofibromatosis or von Hippel Lindau disease. The collective findings raised the clinical dilemma of whether unilateral or bilateral adrenalectomy should be pursued. The detection of pathogenic MAX gene was therefore crucial in guiding personalized treatment strategy. Following the bilateral adrenalectomy, his hypertension was cured. Annual biochemical screening and 2-yearly MRI imaging to look for recurrence of pheochromocytomas were planned according to international consensus.</p>\",\"PeriodicalId\":41792,\"journal\":{\"name\":\"Journal of the ASEAN Federation of Endocrine Societies\",\"volume\":\"40 1\",\"pages\":\"108-111\"},\"PeriodicalIF\":1.2000,\"publicationDate\":\"2025-05-01\",\"publicationTypes\":\"Journal Article\",\"fieldsOfStudy\":null,\"isOpenAccess\":false,\"openAccessPdf\":\"https://www.ncbi.nlm.nih.gov/pmc/articles/PMC12097967/pdf/\",\"citationCount\":\"0\",\"resultStr\":null,\"platform\":\"Semanticscholar\",\"paperid\":null,\"PeriodicalName\":\"Journal of the ASEAN Federation of Endocrine Societies\",\"FirstCategoryId\":\"1085\",\"ListUrlMain\":\"https://doi.org/10.15605/jafes.040.01.16\",\"RegionNum\":0,\"RegionCategory\":null,\"ArticlePicture\":[],\"TitleCN\":null,\"AbstractTextCN\":null,\"PMCID\":null,\"EPubDate\":\"2025/4/29 0:00:00\",\"PubModel\":\"Epub\",\"JCR\":\"Q4\",\"JCRName\":\"ENDOCRINOLOGY & METABOLISM\",\"Score\":null,\"Total\":0}","platform":"Semanticscholar","paperid":null,"PeriodicalName":"Journal of the ASEAN Federation of Endocrine Societies","FirstCategoryId":"1085","ListUrlMain":"https://doi.org/10.15605/jafes.040.01.16","RegionNum":0,"RegionCategory":null,"ArticlePicture":[],"TitleCN":null,"AbstractTextCN":null,"PMCID":null,"EPubDate":"2025/4/29 0:00:00","PubModel":"Epub","JCR":"Q4","JCRName":"ENDOCRINOLOGY & METABOLISM","Score":null,"Total":0}
引用次数: 0

摘要

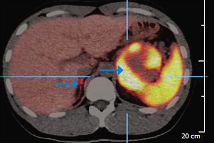
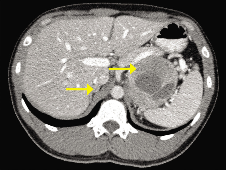
嗜铬细胞瘤和副神经节瘤综合征根据其潜在的遗传改变分为三种特定的疾病群。影响髓细胞瘤病相关因子X (MAX)基因的致病变异易使嗜铬细胞瘤和副神经节瘤综合征发生在更年轻的年龄,其中一半以上患有双侧嗜铬细胞瘤。我们报告一例双侧嗜铬细胞瘤,在MAX基因(c.234_235dup)中发现了一种新的致病变异。这位年轻的男性在表现出严重的高血压和心肌梗塞后被发现有一个巨大的左肾上腺上肿块。他的内分泌检查证实了嗜铬细胞瘤的诊断,尿中去甲肾上腺素、肾上腺素和3-甲氧基酪胺水平升高。肾上腺CT示双侧肾上腺肿物;左侧肾上腺肿块最宽直径约为8cm,右侧肾上腺肿块最宽直径约为2cm。68镓- dotatate功能成像显示左侧肾上腺肿块明显摄取,但右侧不确定,其他地方未见明显摄取提示转移灶。他没有多发性内分泌瘤、神经纤维瘤病或von Hippel Lindau病相关的综合征特征。这些共同的发现提出了是否应该进行单侧或双侧肾上腺切除术的临床困境。因此,致病MAX基因的检测对于指导个性化治疗策略至关重要。在双侧肾上腺切除术后,他的高血压被治愈了。根据国际共识,计划每年进行一次生化筛查和每两年进行一次MRI检查以寻找嗜铬细胞瘤的复发。
本文章由计算机程序翻译,如有差异,请以英文原文为准。

Bilateral Pheochromocytoma with a Novel Pathogenic Variant in the MAX gene: A Case Report.

Bilateral Pheochromocytoma with a Novel Pathogenic Variant in the MAX gene: A Case Report.

Bilateral Pheochromocytoma with a Novel Pathogenic Variant in the MAX gene: A Case Report.

Bilateral Pheochromocytoma with a Novel Pathogenic Variant in the MAX gene: A Case Report.

Pheochromocytomas and paragangliomas syndrome are grouped into three specific disease clusters based on their underlying genetic alterations. Pathogenic variants affecting the myelocytomatosis-associated factor X (MAX) gene predispose pheochromocytomas and paragangliomas syndrome to occur at younger ages, with more than half having bilateral pheochromocytomas. We report a case of bilateral pheochromocytomas with a novel pathogenic variant identified in the MAX gene (c.234_235dup). This young male was found to have a huge left suprarenal mass after he presented with severe hypertension and myocardial infarction. His endocrine workup confirmed a diagnosis of pheochromocytoma as evidenced by elevated levels of normetanephrine, metanephrine, and 3-methoxytyramine in the urine. CT of the adrenal glands revealed bilateral adrenal masses; the widest diameter for the left adrenal mass was almost 8 cm whereas for the right one was 2 cm. 68Gallium-DOTATATE functional imaging showed significant uptake in the left adrenal mass, but indeterminate on the right, and no significant uptake was seen elsewhere to suggest metastatic lesions. He did not have syndromic features associated with multiple endocrine neoplasia, neurofibromatosis or von Hippel Lindau disease. The collective findings raised the clinical dilemma of whether unilateral or bilateral adrenalectomy should be pursued. The detection of pathogenic MAX gene was therefore crucial in guiding personalized treatment strategy. Following the bilateral adrenalectomy, his hypertension was cured. Annual biochemical screening and 2-yearly MRI imaging to look for recurrence of pheochromocytomas were planned according to international consensus.

求助全文
通过发布文献求助,成功后即可免费获取论文全文。 去求助
来源期刊
CiteScore
1.20
自引率
0.00%
发文量
22
审稿时长
8 weeks
期刊介绍: The Journal of the ASEAN Federation of Endocrine Societies (JAFES) is an OPEN ACCESS, internationally peer-reviewed, English language, medical and health science journal that is published in print two times a year by the ASEAN Federation of Endocrine Societies. It shall serve as the endocrine window between the ASEAN region and the world, featuring original papers and publishing key findings from specialists and experts of endocrinology.
×
引用
GB/T 7714-2015
复制
MLA
复制
APA
复制
导出至
BibTeX EndNote RefMan NoteFirst NoteExpress
×
提示
您的信息不完整,为了账户安全,请先补充。
现在去补充
×
提示
您因"违规操作"
具体请查看互助需知
我知道了
×
提示
确定
请完成安全验证×
copy
已复制链接
快去分享给好友吧!
我知道了
右上角分享
点击右上角分享
0
联系我们:info@booksci.cn Book学术提供免费学术资源搜索服务,方便国内外学者检索中英文文献。致力于提供最便捷和优质的服务体验。 Copyright © 2023 布克学术 All rights reserved.
京ICP备2023020795号-1
ghs 京公网安备 11010802042870号
Book学术文献互助
Book学术文献互助群
群 号:604180095
Book学术官方微信