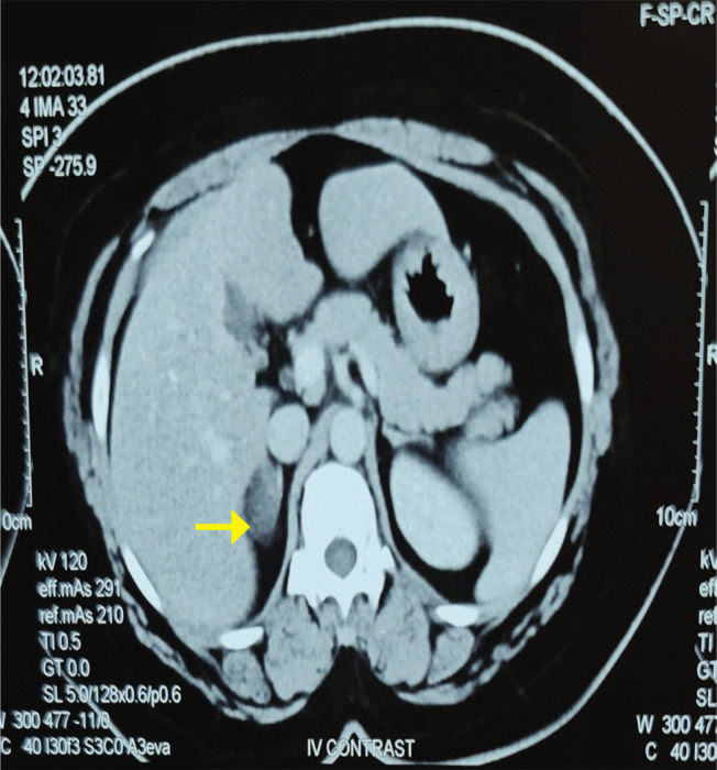
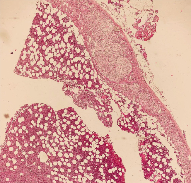
罕见的儿茶酚胺分泌型肾上腺骨髓瘤1例。

IF 1.2 Q4 ENDOCRINOLOGY & METABOLISM
Veenu Jain, Anshita Aggarwal, Bindu Kulshreshtha, Preeti Singh, Hemant Goel
{"title":"罕见的儿茶酚胺分泌型肾上腺骨髓瘤1例。","authors":"Veenu Jain, Anshita Aggarwal, Bindu Kulshreshtha, Preeti Singh, Hemant Goel","doi":"10.15605/jafes.040.01.15","DOIUrl":null,"url":null,"abstract":"<p><p>Adrenal myelolipoma (AML) is a rare, benign, asymptomatic, nonfunctioning tumor of the adrenal cortex detected incidentally. AML can be accompanied by several other endocrine disorders simultaneously. Here, we report a case of a 36-year-old female with primary hypothyroidism and metabolic syndrome accompanied by severe hypertension and pheochromocytoma. However, the histopathological examination of the excised adrenal gland confirmed myelolipoma. Following surgery, her plasma nor-metanephrine levels decreased to normal values and the patient became normotensive, which suggested that the mass was functioning.</p>","PeriodicalId":41792,"journal":{"name":"Journal of the ASEAN Federation of Endocrine Societies","volume":"40 1","pages":"104-107"},"PeriodicalIF":1.2000,"publicationDate":"2025-05-01","publicationTypes":"Journal Article","fieldsOfStudy":null,"isOpenAccess":false,"openAccessPdf":"https://www.ncbi.nlm.nih.gov/pmc/articles/PMC12097973/pdf/","citationCount":"0","resultStr":"{\"title\":\"A Rare Case of Catecholamine-Secreting Adrenal Myelolipoma.\",\"authors\":\"Veenu Jain, Anshita Aggarwal, Bindu Kulshreshtha, Preeti Singh, Hemant Goel\",\"doi\":\"10.15605/jafes.040.01.15\",\"DOIUrl\":null,\"url\":null,\"abstract\":\"<p><p>Adrenal myelolipoma (AML) is a rare, benign, asymptomatic, nonfunctioning tumor of the adrenal cortex detected incidentally. AML can be accompanied by several other endocrine disorders simultaneously. Here, we report a case of a 36-year-old female with primary hypothyroidism and metabolic syndrome accompanied by severe hypertension and pheochromocytoma. However, the histopathological examination of the excised adrenal gland confirmed myelolipoma. Following surgery, her plasma nor-metanephrine levels decreased to normal values and the patient became normotensive, which suggested that the mass was functioning.</p>\",\"PeriodicalId\":41792,\"journal\":{\"name\":\"Journal of the ASEAN Federation of Endocrine Societies\",\"volume\":\"40 1\",\"pages\":\"104-107\"},\"PeriodicalIF\":1.2000,\"publicationDate\":\"2025-05-01\",\"publicationTypes\":\"Journal Article\",\"fieldsOfStudy\":null,\"isOpenAccess\":false,\"openAccessPdf\":\"https://www.ncbi.nlm.nih.gov/pmc/articles/PMC12097973/pdf/\",\"citationCount\":\"0\",\"resultStr\":null,\"platform\":\"Semanticscholar\",\"paperid\":null,\"PeriodicalName\":\"Journal of the ASEAN Federation of Endocrine Societies\",\"FirstCategoryId\":\"1085\",\"ListUrlMain\":\"https://doi.org/10.15605/jafes.040.01.15\",\"RegionNum\":0,\"RegionCategory\":null,\"ArticlePicture\":[],\"TitleCN\":null,\"AbstractTextCN\":null,\"PMCID\":null,\"EPubDate\":\"2025/4/25 0:00:00\",\"PubModel\":\"Epub\",\"JCR\":\"Q4\",\"JCRName\":\"ENDOCRINOLOGY & METABOLISM\",\"Score\":null,\"Total\":0}","platform":"Semanticscholar","paperid":null,"PeriodicalName":"Journal of the ASEAN Federation of Endocrine Societies","FirstCategoryId":"1085","ListUrlMain":"https://doi.org/10.15605/jafes.040.01.15","RegionNum":0,"RegionCategory":null,"ArticlePicture":[],"TitleCN":null,"AbstractTextCN":null,"PMCID":null,"EPubDate":"2025/4/25 0:00:00","PubModel":"Epub","JCR":"Q4","JCRName":"ENDOCRINOLOGY & METABOLISM","Score":null,"Total":0}
引用次数: 0

摘要

肾上腺髓磷脂瘤(AML)是一种罕见的良性、无症状、无功能的肾上腺皮质肿瘤。AML可同时伴有其他几种内分泌紊乱。在此,我们报告一例36岁女性原发性甲状腺功能减退和代谢综合征,并伴有严重高血压和嗜铬细胞瘤。然而,切除肾上腺的组织病理学检查证实为骨髓脂肪瘤。手术后,她的血浆去甲肾上腺素水平降至正常值,患者血压正常,这表明肿块功能正常。
本文章由计算机程序翻译,如有差异,请以英文原文为准。

A Rare Case of Catecholamine-Secreting Adrenal Myelolipoma.

A Rare Case of Catecholamine-Secreting Adrenal Myelolipoma.

A Rare Case of Catecholamine-Secreting Adrenal Myelolipoma.

A Rare Case of Catecholamine-Secreting Adrenal Myelolipoma.

Adrenal myelolipoma (AML) is a rare, benign, asymptomatic, nonfunctioning tumor of the adrenal cortex detected incidentally. AML can be accompanied by several other endocrine disorders simultaneously. Here, we report a case of a 36-year-old female with primary hypothyroidism and metabolic syndrome accompanied by severe hypertension and pheochromocytoma. However, the histopathological examination of the excised adrenal gland confirmed myelolipoma. Following surgery, her plasma nor-metanephrine levels decreased to normal values and the patient became normotensive, which suggested that the mass was functioning.

求助全文
通过发布文献求助,成功后即可免费获取论文全文。 去求助
来源期刊
CiteScore
1.20
自引率
0.00%
发文量
22
审稿时长
8 weeks
期刊介绍: The Journal of the ASEAN Federation of Endocrine Societies (JAFES) is an OPEN ACCESS, internationally peer-reviewed, English language, medical and health science journal that is published in print two times a year by the ASEAN Federation of Endocrine Societies. It shall serve as the endocrine window between the ASEAN region and the world, featuring original papers and publishing key findings from specialists and experts of endocrinology.
×
引用
GB/T 7714-2015
复制
MLA
复制
APA
复制
导出至
BibTeX EndNote RefMan NoteFirst NoteExpress
×
提示
您的信息不完整,为了账户安全,请先补充。
现在去补充
×
提示
您因"违规操作"
具体请查看互助需知
我知道了
×
提示
确定
请完成安全验证×
copy
已复制链接
快去分享给好友吧!
我知道了
右上角分享
点击右上角分享
0
联系我们:info@booksci.cn Book学术提供免费学术资源搜索服务,方便国内外学者检索中英文文献。致力于提供最便捷和优质的服务体验。 Copyright © 2023 布克学术 All rights reserved.
京ICP备2023020795号-1
ghs 京公网安备 11010802042870号
Book学术文献互助
Book学术文献互助群
群 号:604180095
Book学术官方微信