朗格汉斯细胞组织细胞增多症并累及中枢神经系统的成人患者异常的长期生存率:1例报告。

IF 0.7 Q4 HEMATOLOGY
Case Reports in Hematology Pub Date : 2025-05-16 eCollection Date: 2025-01-01 DOI:10.1155/crh/6031427
María José Miranda Pallarés, Tomás Álvaro Naranjo, Anna Vidal Rodriguez, Francisca Martínez Madueño
{"title":"朗格汉斯细胞组织细胞增多症并累及中枢神经系统的成人患者异常的长期生存率:1例报告。","authors":"María José Miranda Pallarés, Tomás Álvaro Naranjo, Anna Vidal Rodriguez, Francisca Martínez Madueño","doi":"10.1155/crh/6031427","DOIUrl":null,"url":null,"abstract":"<p><p>Langerhans cell histiocytosis (LCH) in adults is a rare condition. The disease presents with focal or multifocal involvement of a single organ/system or focal or disseminated multisystem disease. Involvement of the central nervous system (CNS) is also infrequent, with diabetes insipidus as a common manifestation of posterior pituitary lesions. Biopsy-proven diagnosis with the observation of characteristic Langerhans cells infiltrate with positive immunohistochemistry of S100 protein, CD1a, and CD68 cells. The patient presented generalized lymphadenopathy and was diagnosed with low-risk single-system LCH-based distinctive pathological findings in a lymph node biopsy. During the disease, CNS involvement was documented and the patient received different sequential therapeutic schemes, achieving complete remission that has been maintained for 8 years. The prolonged duration of remission with disappearance of lymphadenopathy and CNS lesions in an adult patient with LCH is an unusual clinical observation.</p>","PeriodicalId":46307,"journal":{"name":"Case Reports in Hematology","volume":"2025 ","pages":"6031427"},"PeriodicalIF":0.7000,"publicationDate":"2025-05-16","publicationTypes":"Journal Article","fieldsOfStudy":null,"isOpenAccess":false,"openAccessPdf":"https://www.ncbi.nlm.nih.gov/pmc/articles/PMC12101904/pdf/","citationCount":"0","resultStr":"{\"title\":\"Unusual Long-Term Survival in an Adult Patient With Langerhans Cell Histiocytosis and Central Nervous System Involvement: A Case Report.\",\"authors\":\"María José Miranda Pallarés, Tomás Álvaro Naranjo, Anna Vidal Rodriguez, Francisca Martínez Madueño\",\"doi\":\"10.1155/crh/6031427\",\"DOIUrl\":null,\"url\":null,\"abstract\":\"<p><p>Langerhans cell histiocytosis (LCH) in adults is a rare condition. The disease presents with focal or multifocal involvement of a single organ/system or focal or disseminated multisystem disease. Involvement of the central nervous system (CNS) is also infrequent, with diabetes insipidus as a common manifestation of posterior pituitary lesions. Biopsy-proven diagnosis with the observation of characteristic Langerhans cells infiltrate with positive immunohistochemistry of S100 protein, CD1a, and CD68 cells. The patient presented generalized lymphadenopathy and was diagnosed with low-risk single-system LCH-based distinctive pathological findings in a lymph node biopsy. During the disease, CNS involvement was documented and the patient received different sequential therapeutic schemes, achieving complete remission that has been maintained for 8 years. The prolonged duration of remission with disappearance of lymphadenopathy and CNS lesions in an adult patient with LCH is an unusual clinical observation.</p>\",\"PeriodicalId\":46307,\"journal\":{\"name\":\"Case Reports in Hematology\",\"volume\":\"2025 \",\"pages\":\"6031427\"},\"PeriodicalIF\":0.7000,\"publicationDate\":\"2025-05-16\",\"publicationTypes\":\"Journal Article\",\"fieldsOfStudy\":null,\"isOpenAccess\":false,\"openAccessPdf\":\"https://www.ncbi.nlm.nih.gov/pmc/articles/PMC12101904/pdf/\",\"citationCount\":\"0\",\"resultStr\":null,\"platform\":\"Semanticscholar\",\"paperid\":null,\"PeriodicalName\":\"Case Reports in Hematology\",\"FirstCategoryId\":\"1085\",\"ListUrlMain\":\"https://doi.org/10.1155/crh/6031427\",\"RegionNum\":0,\"RegionCategory\":null,\"ArticlePicture\":[],\"TitleCN\":null,\"AbstractTextCN\":null,\"PMCID\":null,\"EPubDate\":\"2025/1/1 0:00:00\",\"PubModel\":\"eCollection\",\"JCR\":\"Q4\",\"JCRName\":\"HEMATOLOGY\",\"Score\":null,\"Total\":0}","platform":"Semanticscholar","paperid":null,"PeriodicalName":"Case Reports in Hematology","FirstCategoryId":"1085","ListUrlMain":"https://doi.org/10.1155/crh/6031427","RegionNum":0,"RegionCategory":null,"ArticlePicture":[],"TitleCN":null,"AbstractTextCN":null,"PMCID":null,"EPubDate":"2025/1/1 0:00:00","PubModel":"eCollection","JCR":"Q4","JCRName":"HEMATOLOGY","Score":null,"Total":0}
引用次数: 0

摘要

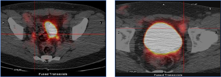
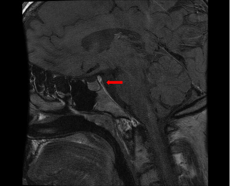
成人朗格汉斯细胞组织细胞增多症(LCH)是一种罕见的疾病。该病表现为局灶性或多灶性累及单一器官/系统或局灶性或弥散性多系统疾病。累及中枢神经系统(CNS)也不常见,尿崩症是垂体后叶病变的常见表现。活检证实诊断为特征性朗格汉斯细胞浸润,免疫组化S100蛋白、CD1a和CD68细胞阳性。患者表现为全身性淋巴结病,在淋巴结活检中被诊断为低风险单系统lch基础的独特病理表现。在疾病期间,记录了中枢神经系统受累,患者接受了不同的顺序治疗方案,实现了8年的完全缓解。在成年LCH患者中,随着淋巴结病和中枢神经系统病变的消失,缓解持续时间延长是一种不寻常的临床观察。
本文章由计算机程序翻译,如有差异,请以英文原文为准。

Unusual Long-Term Survival in an Adult Patient With Langerhans Cell Histiocytosis and Central Nervous System Involvement: A Case Report.

Unusual Long-Term Survival in an Adult Patient With Langerhans Cell Histiocytosis and Central Nervous System Involvement: A Case Report.

Unusual Long-Term Survival in an Adult Patient With Langerhans Cell Histiocytosis and Central Nervous System Involvement: A Case Report.

Unusual Long-Term Survival in an Adult Patient With Langerhans Cell Histiocytosis and Central Nervous System Involvement: A Case Report.

Langerhans cell histiocytosis (LCH) in adults is a rare condition. The disease presents with focal or multifocal involvement of a single organ/system or focal or disseminated multisystem disease. Involvement of the central nervous system (CNS) is also infrequent, with diabetes insipidus as a common manifestation of posterior pituitary lesions. Biopsy-proven diagnosis with the observation of characteristic Langerhans cells infiltrate with positive immunohistochemistry of S100 protein, CD1a, and CD68 cells. The patient presented generalized lymphadenopathy and was diagnosed with low-risk single-system LCH-based distinctive pathological findings in a lymph node biopsy. During the disease, CNS involvement was documented and the patient received different sequential therapeutic schemes, achieving complete remission that has been maintained for 8 years. The prolonged duration of remission with disappearance of lymphadenopathy and CNS lesions in an adult patient with LCH is an unusual clinical observation.

求助全文
通过发布文献求助,成功后即可免费获取论文全文。 去求助
来源期刊
自引率
0.00%
发文量
51
审稿时长
13 weeks
×
引用
GB/T 7714-2015
复制
MLA
复制
APA
复制
导出至
BibTeX EndNote RefMan NoteFirst NoteExpress
×
提示
您的信息不完整,为了账户安全,请先补充。
现在去补充
×
提示
您因"违规操作"
具体请查看互助需知
我知道了
×
提示
确定
请完成安全验证×
copy
已复制链接
快去分享给好友吧!
我知道了
右上角分享
点击右上角分享
0
联系我们:info@booksci.cn Book学术提供免费学术资源搜索服务,方便国内外学者检索中英文文献。致力于提供最便捷和优质的服务体验。 Copyright © 2023 布克学术 All rights reserved.
京ICP备2023020795号-1
ghs 京公网安备 11010802042870号
Book学术文献互助
Book学术文献互助群
群 号:604180095
Book学术官方微信