银屑病关节炎的抗pcna抗体:一项病例对照研究

IF 2.1 Q3 RHEUMATOLOGY
Rheumatology Advances in Practice Pub Date : 2025-04-25 eCollection Date: 2025-01-01 DOI:10.1093/rap/rkaf049
Rebecca Fitzpatrick, Jemima Albayda, Qingyuan Yang, Ning Meng, Livia Casciola-Rosen, Ana-Maria Orbai
{"title":"银屑病关节炎的抗pcna抗体:一项病例对照研究","authors":"Rebecca Fitzpatrick, Jemima Albayda, Qingyuan Yang, Ning Meng, Livia Casciola-Rosen, Ana-Maria Orbai","doi":"10.1093/rap/rkaf049","DOIUrl":null,"url":null,"abstract":"<p><strong>Objectives: </strong>Psoritic arthritis (PsA) is an inflammatory arthritis with infrequent antibodies. We present a case-control study of six PsA patients with antibodies against PCNA and observed clinical associations.</p><p><strong>Methods: </strong>We conducted a study to identify autoantibodies in PsA. Sera from 81 PsA patients were assayed by immunoprecipitation from radiolabelled cell extracts. From this study, serum that immunoprecipitated a ≈32-kDa band was selected for mass spectrometry-based antibody discovery, which identified anti-PCNA antibodies. These were validated using immunoprecipitation of <sup>35</sup>S-methionine-labelled PCNA from <i>in vitro</i> transcription and translation. This assay tested 222 PsA sera for anti-PCNA antibodies. This study included sera from 39 healthy controls. Descriptive statistics were used to assess clinical associations with anti-PCNA status.</p><p><strong>Results: </strong>Anti-PCNA antibodies were identified in 6/222 PsA patients. In 4/6 patients, banked longitudinal sera were available. In patients with anti-PCNA positivity compared with negativity, the mean age was 46 years (s.d. 14) and 52 years (s.d. 13), PsA disease duration was 8 years (s.d. 7) and 7 years (s.d. 8), BMI was 27 (s.d. 4) and 31 (s.d. 7), 67% and 44% were male, 100% and 89% were White, mean clinical DAPSA was 16 (s.d. 22) and 21 (s.d. 16), psoriasis body surface area was 2% (s.d. 4) and 5% (s.d. 12), HLA-B27 positivity was 0 and 12% and sulfasalazine (SSZ) use was 83% and 10%, respectively. Of these, only SSZ use was significant (Fisher's exact test <i>P</i>-value <0.001). Among anti-PCNA-positive patients with longitudinal sera, low/absent anti-PCNA coincided with articular low disease activity/remission.</p><p><strong>Conclusion: </strong>Anti-PCNA antibodies were found in 6/222 (2.7%) PsA patients. Given the low prevalence of anti-PCNA, additional studies are needed to identify the clinical associations and significance.</p>","PeriodicalId":21350,"journal":{"name":"Rheumatology Advances in Practice","volume":"9 2","pages":"rkaf049"},"PeriodicalIF":2.1000,"publicationDate":"2025-04-25","publicationTypes":"Journal Article","fieldsOfStudy":null,"isOpenAccess":false,"openAccessPdf":"https://www.ncbi.nlm.nih.gov/pmc/articles/PMC12103914/pdf/","citationCount":"0","resultStr":"{\"title\":\"Anti-PCNA antibodies in psoriatic arthritis: a case-control study.\",\"authors\":\"Rebecca Fitzpatrick, Jemima Albayda, Qingyuan Yang, Ning Meng, Livia Casciola-Rosen, Ana-Maria Orbai\",\"doi\":\"10.1093/rap/rkaf049\",\"DOIUrl\":null,\"url\":null,\"abstract\":\"<p><strong>Objectives: </strong>Psoritic arthritis (PsA) is an inflammatory arthritis with infrequent antibodies. We present a case-control study of six PsA patients with antibodies against PCNA and observed clinical associations.</p><p><strong>Methods: </strong>We conducted a study to identify autoantibodies in PsA. Sera from 81 PsA patients were assayed by immunoprecipitation from radiolabelled cell extracts. From this study, serum that immunoprecipitated a ≈32-kDa band was selected for mass spectrometry-based antibody discovery, which identified anti-PCNA antibodies. These were validated using immunoprecipitation of <sup>35</sup>S-methionine-labelled PCNA from <i>in vitro</i> transcription and translation. This assay tested 222 PsA sera for anti-PCNA antibodies. This study included sera from 39 healthy controls. Descriptive statistics were used to assess clinical associations with anti-PCNA status.</p><p><strong>Results: </strong>Anti-PCNA antibodies were identified in 6/222 PsA patients. In 4/6 patients, banked longitudinal sera were available. In patients with anti-PCNA positivity compared with negativity, the mean age was 46 years (s.d. 14) and 52 years (s.d. 13), PsA disease duration was 8 years (s.d. 7) and 7 years (s.d. 8), BMI was 27 (s.d. 4) and 31 (s.d. 7), 67% and 44% were male, 100% and 89% were White, mean clinical DAPSA was 16 (s.d. 22) and 21 (s.d. 16), psoriasis body surface area was 2% (s.d. 4) and 5% (s.d. 12), HLA-B27 positivity was 0 and 12% and sulfasalazine (SSZ) use was 83% and 10%, respectively. Of these, only SSZ use was significant (Fisher's exact test <i>P</i>-value <0.001). Among anti-PCNA-positive patients with longitudinal sera, low/absent anti-PCNA coincided with articular low disease activity/remission.</p><p><strong>Conclusion: </strong>Anti-PCNA antibodies were found in 6/222 (2.7%) PsA patients. Given the low prevalence of anti-PCNA, additional studies are needed to identify the clinical associations and significance.</p>\",\"PeriodicalId\":21350,\"journal\":{\"name\":\"Rheumatology Advances in Practice\",\"volume\":\"9 2\",\"pages\":\"rkaf049\"},\"PeriodicalIF\":2.1000,\"publicationDate\":\"2025-04-25\",\"publicationTypes\":\"Journal Article\",\"fieldsOfStudy\":null,\"isOpenAccess\":false,\"openAccessPdf\":\"https://www.ncbi.nlm.nih.gov/pmc/articles/PMC12103914/pdf/\",\"citationCount\":\"0\",\"resultStr\":null,\"platform\":\"Semanticscholar\",\"paperid\":null,\"PeriodicalName\":\"Rheumatology Advances in Practice\",\"FirstCategoryId\":\"1085\",\"ListUrlMain\":\"https://doi.org/10.1093/rap/rkaf049\",\"RegionNum\":0,\"RegionCategory\":null,\"ArticlePicture\":[],\"TitleCN\":null,\"AbstractTextCN\":null,\"PMCID\":null,\"EPubDate\":\"2025/1/1 0:00:00\",\"PubModel\":\"eCollection\",\"JCR\":\"Q3\",\"JCRName\":\"RHEUMATOLOGY\",\"Score\":null,\"Total\":0}","platform":"Semanticscholar","paperid":null,"PeriodicalName":"Rheumatology Advances in Practice","FirstCategoryId":"1085","ListUrlMain":"https://doi.org/10.1093/rap/rkaf049","RegionNum":0,"RegionCategory":null,"ArticlePicture":[],"TitleCN":null,"AbstractTextCN":null,"PMCID":null,"EPubDate":"2025/1/1 0:00:00","PubModel":"eCollection","JCR":"Q3","JCRName":"RHEUMATOLOGY","Score":null,"Total":0}
引用次数: 0

摘要

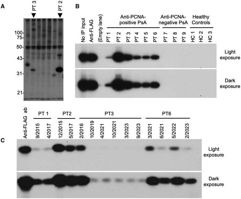
目的:银屑病关节炎(Psoritic arthritis, PsA)是一种少见抗体的炎性关节炎。我们提出了一个病例对照研究,6 PsA患者与抗PCNA抗体和观察临床关联。方法:我们进行了一项研究,以确定PsA自身抗体。用放射标记细胞提取物免疫沉淀法检测81例PsA患者的血清。从本研究中,选择免疫沉淀约32 kda带的血清进行基于质谱的抗体发现,鉴定出抗pcna抗体。通过体外转录和翻译的35s -蛋氨酸标记的PCNA的免疫沉淀验证了这些结果。该试验检测了222份PsA血清中的抗pcna抗体。这项研究包括39名健康对照者的血清。描述性统计用于评估抗pcna状态的临床相关性。结果:222例PsA患者中检测到抗pcna抗体。4/6患者有纵向血清库。anti-PCNA积极性与消极性相比,患者的平均年龄是46年(其中14)和52年(其中13),PsA疾病持续时间是8年(其中。7)和7年(其中。8),BMI是27个(其中。4)和31个(其中。7),67%和44%是男性,100%和89%是白人,意思是临床DAPSA 16(其中22)和21(其中16),牛皮癣的身体表面积是2%(其中。4)和5%(其中12),HLA-B27积极性是0和12%和柳氮磺胺吡啶(SSZ)使用83%和10%,分别。结论:在6/222 (2.7%)PsA患者中发现抗pcna抗体。鉴于抗pcna的低患病率,需要进一步的研究来确定临床关联和意义。
本文章由计算机程序翻译,如有差异,请以英文原文为准。

Anti-PCNA antibodies in psoriatic arthritis: a case-control study.

Anti-PCNA antibodies in psoriatic arthritis: a case-control study.

Objectives: Psoritic arthritis (PsA) is an inflammatory arthritis with infrequent antibodies. We present a case-control study of six PsA patients with antibodies against PCNA and observed clinical associations.

Methods: We conducted a study to identify autoantibodies in PsA. Sera from 81 PsA patients were assayed by immunoprecipitation from radiolabelled cell extracts. From this study, serum that immunoprecipitated a ≈32-kDa band was selected for mass spectrometry-based antibody discovery, which identified anti-PCNA antibodies. These were validated using immunoprecipitation of 35S-methionine-labelled PCNA from in vitro transcription and translation. This assay tested 222 PsA sera for anti-PCNA antibodies. This study included sera from 39 healthy controls. Descriptive statistics were used to assess clinical associations with anti-PCNA status.

Results: Anti-PCNA antibodies were identified in 6/222 PsA patients. In 4/6 patients, banked longitudinal sera were available. In patients with anti-PCNA positivity compared with negativity, the mean age was 46 years (s.d. 14) and 52 years (s.d. 13), PsA disease duration was 8 years (s.d. 7) and 7 years (s.d. 8), BMI was 27 (s.d. 4) and 31 (s.d. 7), 67% and 44% were male, 100% and 89% were White, mean clinical DAPSA was 16 (s.d. 22) and 21 (s.d. 16), psoriasis body surface area was 2% (s.d. 4) and 5% (s.d. 12), HLA-B27 positivity was 0 and 12% and sulfasalazine (SSZ) use was 83% and 10%, respectively. Of these, only SSZ use was significant (Fisher's exact test P-value <0.001). Among anti-PCNA-positive patients with longitudinal sera, low/absent anti-PCNA coincided with articular low disease activity/remission.

Conclusion: Anti-PCNA antibodies were found in 6/222 (2.7%) PsA patients. Given the low prevalence of anti-PCNA, additional studies are needed to identify the clinical associations and significance.

求助全文
通过发布文献求助,成功后即可免费获取论文全文。 去求助
来源期刊
Rheumatology Advances in Practice
Rheumatology Advances in Practice Medicine-Rheumatology
CiteScore
3.60
自引率
3.20%
发文量
197
审稿时长
11 weeks
×
引用
GB/T 7714-2015
复制
MLA
复制
APA
复制
导出至
BibTeX EndNote RefMan NoteFirst NoteExpress
×
提示
您的信息不完整,为了账户安全,请先补充。
现在去补充
×
提示
您因"违规操作"
具体请查看互助需知
我知道了
×
提示
确定
请完成安全验证×
copy
已复制链接
快去分享给好友吧!
我知道了
右上角分享
点击右上角分享
0
联系我们:info@booksci.cn Book学术提供免费学术资源搜索服务,方便国内外学者检索中英文文献。致力于提供最便捷和优质的服务体验。 Copyright © 2023 布克学术 All rights reserved.
京ICP备2023020795号-1
ghs 京公网安备 11010802042870号
Book学术文献互助
Book学术文献互助群
群 号:604180095
Book学术官方微信