[勘误]BMP7对小细胞肺癌细胞及其骨转移的生物学效应。

IF 4.9 3区 医学 Q1 ONCOLOGY
International journal of oncology Pub Date : 2025-06-01 Epub Date: 2025-05-26 DOI:10.3892/ijo.2025.5757
Weiwei Shen, Hailin Pang, Bo Xin, Lian Duan, Lili Liu, Helong Zhang
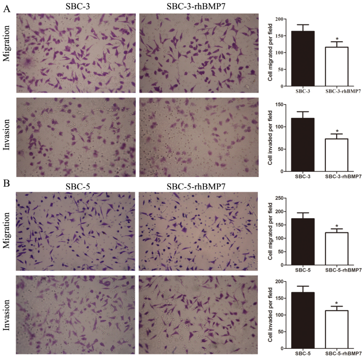
{"title":"[勘误]BMP7对小细胞肺癌细胞及其骨转移的生物学效应。","authors":"Weiwei Shen, Hailin Pang, Bo Xin, Lian Duan, Lili Liu, Helong Zhang","doi":"10.3892/ijo.2025.5757","DOIUrl":null,"url":null,"abstract":"<p><p>Subsequently to the publication of the above article, the authors contacted the Editorial Office to explain that, for the cell migration and invasion assay experiments shown in Fig. 3 on p. 1358, the same data had inadvertently been selected to show the results of the 'Migration / SBC‑3‑rhBMP7' experiment in Fig. 3A and the 'Invasion / SBC‑5' experiment in Fig. 3B. After re‑examining their original data, the authors have realized that the data were correctly shown for the 'Migration / SBC‑3‑rhBMP7' experiment in Fig. 3A. Therefore, the revised version of Fig. 3, now showing the correct data for the 'Invasion / SBC‑5' experiment in Fig. 3B, is shown on the next page. The authors are grateful to the Editor of <i>International Journal of Oncology</i> for allowing them this opportunity to publish a Corrigendum, and all the authors agree with its publication. Furthermore, the authors apologize to the readership for any inconvenience caused. [International Journal of Oncology 53: 1354‑1362, 2018; DOI: 10.3892/ijo.2018.4469].</p>","PeriodicalId":14175,"journal":{"name":"International journal of oncology","volume":"66 6","pages":""},"PeriodicalIF":4.9000,"publicationDate":"2025-06-01","publicationTypes":"Journal Article","fieldsOfStudy":null,"isOpenAccess":false,"openAccessPdf":"https://www.ncbi.nlm.nih.gov/pmc/articles/PMC12118947/pdf/","citationCount":"0","resultStr":"{\"title\":\"[Corrigendum] Biological effects of BMP7 on small‑cell lung cancer cells and its bone metastasis.\",\"authors\":\"Weiwei Shen, Hailin Pang, Bo Xin, Lian Duan, Lili Liu, Helong Zhang\",\"doi\":\"10.3892/ijo.2025.5757\",\"DOIUrl\":null,\"url\":null,\"abstract\":\"<p><p>Subsequently to the publication of the above article, the authors contacted the Editorial Office to explain that, for the cell migration and invasion assay experiments shown in Fig. 3 on p. 1358, the same data had inadvertently been selected to show the results of the 'Migration / SBC‑3‑rhBMP7' experiment in Fig. 3A and the 'Invasion / SBC‑5' experiment in Fig. 3B. After re‑examining their original data, the authors have realized that the data were correctly shown for the 'Migration / SBC‑3‑rhBMP7' experiment in Fig. 3A. Therefore, the revised version of Fig. 3, now showing the correct data for the 'Invasion / SBC‑5' experiment in Fig. 3B, is shown on the next page. The authors are grateful to the Editor of <i>International Journal of Oncology</i> for allowing them this opportunity to publish a Corrigendum, and all the authors agree with its publication. Furthermore, the authors apologize to the readership for any inconvenience caused. [International Journal of Oncology 53: 1354‑1362, 2018; DOI: 10.3892/ijo.2018.4469].</p>\",\"PeriodicalId\":14175,\"journal\":{\"name\":\"International journal of oncology\",\"volume\":\"66 6\",\"pages\":\"\"},\"PeriodicalIF\":4.9000,\"publicationDate\":\"2025-06-01\",\"publicationTypes\":\"Journal Article\",\"fieldsOfStudy\":null,\"isOpenAccess\":false,\"openAccessPdf\":\"https://www.ncbi.nlm.nih.gov/pmc/articles/PMC12118947/pdf/\",\"citationCount\":\"0\",\"resultStr\":null,\"platform\":\"Semanticscholar\",\"paperid\":null,\"PeriodicalName\":\"International journal of oncology\",\"FirstCategoryId\":\"3\",\"ListUrlMain\":\"https://doi.org/10.3892/ijo.2025.5757\",\"RegionNum\":3,\"RegionCategory\":\"医学\",\"ArticlePicture\":[],\"TitleCN\":null,\"AbstractTextCN\":null,\"PMCID\":null,\"EPubDate\":\"2025/5/26 0:00:00\",\"PubModel\":\"Epub\",\"JCR\":\"Q1\",\"JCRName\":\"ONCOLOGY\",\"Score\":null,\"Total\":0}","platform":"Semanticscholar","paperid":null,"PeriodicalName":"International journal of oncology","FirstCategoryId":"3","ListUrlMain":"https://doi.org/10.3892/ijo.2025.5757","RegionNum":3,"RegionCategory":"医学","ArticlePicture":[],"TitleCN":null,"AbstractTextCN":null,"PMCID":null,"EPubDate":"2025/5/26 0:00:00","PubModel":"Epub","JCR":"Q1","JCRName":"ONCOLOGY","Score":null,"Total":0}
引用次数: 0

摘要

在上述文章发表后,作者联系编辑部解释,对于1358页上图3所示的细胞迁移和侵袭实验,无意中选择了相同的数据来显示图3A中的“migration / SBC - 3 - rhBMP7”实验和图3B中的“invasion / SBC - 5”实验的结果。在重新检查了原始数据后,作者意识到图3A中“Migration / SBC - 3 - rhBMP7”实验的数据是正确的。因此,修改后的图3现在显示了图3B中“入侵/ SBC - 5”实验的正确数据,将在下一页显示。作者感谢《国际肿瘤学杂志》的编辑允许他们有机会发表一份勘误表,所有作者都同意发表勘误表。对于由此给读者带来的不便,作者深表歉意。国际肿瘤学杂志53:1354 - 1362,2018;DOI: 10.3892 / ijo.2018.4469]。
本文章由计算机程序翻译,如有差异,请以英文原文为准。

[Corrigendum] Biological effects of BMP7 on small‑cell lung cancer cells and its bone metastasis.

[Corrigendum] Biological effects of BMP7 on small‑cell lung cancer cells and its bone metastasis.

Subsequently to the publication of the above article, the authors contacted the Editorial Office to explain that, for the cell migration and invasion assay experiments shown in Fig. 3 on p. 1358, the same data had inadvertently been selected to show the results of the 'Migration / SBC‑3‑rhBMP7' experiment in Fig. 3A and the 'Invasion / SBC‑5' experiment in Fig. 3B. After re‑examining their original data, the authors have realized that the data were correctly shown for the 'Migration / SBC‑3‑rhBMP7' experiment in Fig. 3A. Therefore, the revised version of Fig. 3, now showing the correct data for the 'Invasion / SBC‑5' experiment in Fig. 3B, is shown on the next page. The authors are grateful to the Editor of International Journal of Oncology for allowing them this opportunity to publish a Corrigendum, and all the authors agree with its publication. Furthermore, the authors apologize to the readership for any inconvenience caused. [International Journal of Oncology 53: 1354‑1362, 2018; DOI: 10.3892/ijo.2018.4469].

求助全文
通过发布文献求助,成功后即可免费获取论文全文。 去求助
来源期刊
CiteScore
9.60
自引率
0.00%
发文量
157
审稿时长
2.1 months
期刊介绍: The main aim of Spandidos Publications is to facilitate scientific communication in a clear, concise and objective manner, while striving to provide prompt publication of original works of high quality. The journals largely concentrate on molecular and experimental medicine, oncology, clinical and experimental cancer treatment and biomedical research. All journals published by Spandidos Publications Ltd. maintain the highest standards of quality, and the members of their Editorial Boards are world-renowned scientists.
×
引用
GB/T 7714-2015
复制
MLA
复制
APA
复制
导出至
BibTeX EndNote RefMan NoteFirst NoteExpress
×
提示
您的信息不完整,为了账户安全,请先补充。
现在去补充
×
提示
您因"违规操作"
具体请查看互助需知
我知道了
×
提示
确定
请完成安全验证×
copy
已复制链接
快去分享给好友吧!
我知道了
右上角分享
点击右上角分享
0
联系我们:info@booksci.cn Book学术提供免费学术资源搜索服务,方便国内外学者检索中英文文献。致力于提供最便捷和优质的服务体验。 Copyright © 2023 布克学术 All rights reserved.
京ICP备2023020795号-1
ghs 京公网安备 11010802042870号
Book学术文献互助
Book学术文献互助群
群 号:604180095
Book学术官方微信