肾神经内分泌肿瘤所致库欣综合征1例报告。

IF 0.7 Q4 ONCOLOGY
Case Reports in Oncology Pub Date : 2025-04-14 eCollection Date: 2025-01-01 DOI:10.1159/000545734
Vicka Poudyal, Marianne S Elston, Saleen Nottingham, Michael J Swarbrick, Adam Davies, Veronica Boyle
{"title":"肾神经内分泌肿瘤所致库欣综合征1例报告。","authors":"Vicka Poudyal, Marianne S Elston, Saleen Nottingham, Michael J Swarbrick, Adam Davies, Veronica Boyle","doi":"10.1159/000545734","DOIUrl":null,"url":null,"abstract":"<p><strong>Introduction: </strong>Cushing's syndrome (CS) due to ectopic adrenocorticotrophic hormone (ACTH) is rare and usually due to neuroendocrine neoplasia (NEN). Primary renal NEN is exceptionally rare but may be a cause of rapidly progressive CS.</p><p><strong>Case presentation: </strong>A 51-year-old man presented with profound hypokalemia, cellulitis, and new-onset type 2 diabetes and hypertension with 1 month of muscle weakness, labile mood, and insomnia. CS due to ectopic ACTH production was confirmed. Biochemical control was achieved using a \"block-and-replace\" regimen with dual blockade with ketoconazole and metyrapone and hydrocortisone replacement in addition to mineralocorticoid receptor blockade using spironolactone. CT and ultrasound demonstrated a 24 mm right renal lesion with features concerning for renal cell carcinoma. Right laparoscopic nephrectomy was performed. Histology demonstrated a WHO grade one NEN with ACTH staining.</p><p><strong>Conclusion: </strong>In CS, where the source of ectopic ACTH production is unable to be identified, a renal source should be considered. Diagnosis may be difficult as there are no reliable radiological characteristics to distinguish renal NENs from renal cell carcinomas, so a high degree of suspicion is required.</p>","PeriodicalId":9625,"journal":{"name":"Case Reports in Oncology","volume":"18 1","pages":"593-601"},"PeriodicalIF":0.7000,"publicationDate":"2025-04-14","publicationTypes":"Journal Article","fieldsOfStudy":null,"isOpenAccess":false,"openAccessPdf":"https://www.ncbi.nlm.nih.gov/pmc/articles/PMC12101822/pdf/","citationCount":"0","resultStr":"{\"title\":\"Cushing's Syndrome due to a Renal Neuroendocrine Tumor: A Case Report.\",\"authors\":\"Vicka Poudyal, Marianne S Elston, Saleen Nottingham, Michael J Swarbrick, Adam Davies, Veronica Boyle\",\"doi\":\"10.1159/000545734\",\"DOIUrl\":null,\"url\":null,\"abstract\":\"<p><strong>Introduction: </strong>Cushing's syndrome (CS) due to ectopic adrenocorticotrophic hormone (ACTH) is rare and usually due to neuroendocrine neoplasia (NEN). Primary renal NEN is exceptionally rare but may be a cause of rapidly progressive CS.</p><p><strong>Case presentation: </strong>A 51-year-old man presented with profound hypokalemia, cellulitis, and new-onset type 2 diabetes and hypertension with 1 month of muscle weakness, labile mood, and insomnia. CS due to ectopic ACTH production was confirmed. Biochemical control was achieved using a \\\"block-and-replace\\\" regimen with dual blockade with ketoconazole and metyrapone and hydrocortisone replacement in addition to mineralocorticoid receptor blockade using spironolactone. CT and ultrasound demonstrated a 24 mm right renal lesion with features concerning for renal cell carcinoma. Right laparoscopic nephrectomy was performed. Histology demonstrated a WHO grade one NEN with ACTH staining.</p><p><strong>Conclusion: </strong>In CS, where the source of ectopic ACTH production is unable to be identified, a renal source should be considered. Diagnosis may be difficult as there are no reliable radiological characteristics to distinguish renal NENs from renal cell carcinomas, so a high degree of suspicion is required.</p>\",\"PeriodicalId\":9625,\"journal\":{\"name\":\"Case Reports in Oncology\",\"volume\":\"18 1\",\"pages\":\"593-601\"},\"PeriodicalIF\":0.7000,\"publicationDate\":\"2025-04-14\",\"publicationTypes\":\"Journal Article\",\"fieldsOfStudy\":null,\"isOpenAccess\":false,\"openAccessPdf\":\"https://www.ncbi.nlm.nih.gov/pmc/articles/PMC12101822/pdf/\",\"citationCount\":\"0\",\"resultStr\":null,\"platform\":\"Semanticscholar\",\"paperid\":null,\"PeriodicalName\":\"Case Reports in Oncology\",\"FirstCategoryId\":\"1085\",\"ListUrlMain\":\"https://doi.org/10.1159/000545734\",\"RegionNum\":0,\"RegionCategory\":null,\"ArticlePicture\":[],\"TitleCN\":null,\"AbstractTextCN\":null,\"PMCID\":null,\"EPubDate\":\"2025/1/1 0:00:00\",\"PubModel\":\"eCollection\",\"JCR\":\"Q4\",\"JCRName\":\"ONCOLOGY\",\"Score\":null,\"Total\":0}","platform":"Semanticscholar","paperid":null,"PeriodicalName":"Case Reports in Oncology","FirstCategoryId":"1085","ListUrlMain":"https://doi.org/10.1159/000545734","RegionNum":0,"RegionCategory":null,"ArticlePicture":[],"TitleCN":null,"AbstractTextCN":null,"PMCID":null,"EPubDate":"2025/1/1 0:00:00","PubModel":"eCollection","JCR":"Q4","JCRName":"ONCOLOGY","Score":null,"Total":0}
引用次数: 0

摘要

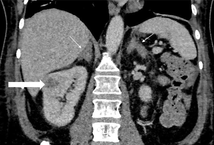
简介:异位促肾上腺皮质激素(ACTH)引起的库欣综合征(CS)是罕见的,通常由神经内分泌肿瘤(NEN)引起。原发性肾性NEN非常罕见,但可能是迅速进展的CS的原因。病例介绍:51岁男性,表现为重度低钾血症、蜂窝组织炎、新发2型糖尿病和高血压,伴有1个月的肌肉无力、情绪不稳定和失眠。确认异位ACTH产生所致CS。生化控制采用“阻断-替代”方案,即使用酮康唑、美吡酮和氢化可的松替代双重阻断,以及使用螺内酯阻断矿皮质激素受体。CT及超声示一24毫米右肾病变,表现为肾细胞癌。行右侧腹腔镜肾切除术。组织学显示WHO一级NEN伴ACTH染色。结论:在CS中,当异位ACTH产生的来源无法确定时,应考虑肾脏来源。诊断可能很困难,因为没有可靠的放射学特征来区分肾NENs和肾细胞癌,因此需要高度怀疑。
本文章由计算机程序翻译,如有差异,请以英文原文为准。

Cushing's Syndrome due to a Renal Neuroendocrine Tumor: A Case Report.

Cushing's Syndrome due to a Renal Neuroendocrine Tumor: A Case Report.

Cushing's Syndrome due to a Renal Neuroendocrine Tumor: A Case Report.

Cushing's Syndrome due to a Renal Neuroendocrine Tumor: A Case Report.

Introduction: Cushing's syndrome (CS) due to ectopic adrenocorticotrophic hormone (ACTH) is rare and usually due to neuroendocrine neoplasia (NEN). Primary renal NEN is exceptionally rare but may be a cause of rapidly progressive CS.

Case presentation: A 51-year-old man presented with profound hypokalemia, cellulitis, and new-onset type 2 diabetes and hypertension with 1 month of muscle weakness, labile mood, and insomnia. CS due to ectopic ACTH production was confirmed. Biochemical control was achieved using a "block-and-replace" regimen with dual blockade with ketoconazole and metyrapone and hydrocortisone replacement in addition to mineralocorticoid receptor blockade using spironolactone. CT and ultrasound demonstrated a 24 mm right renal lesion with features concerning for renal cell carcinoma. Right laparoscopic nephrectomy was performed. Histology demonstrated a WHO grade one NEN with ACTH staining.

Conclusion: In CS, where the source of ectopic ACTH production is unable to be identified, a renal source should be considered. Diagnosis may be difficult as there are no reliable radiological characteristics to distinguish renal NENs from renal cell carcinomas, so a high degree of suspicion is required.

求助全文
通过发布文献求助,成功后即可免费获取论文全文。 去求助
来源期刊
CiteScore
1.40
自引率
12.50%
发文量
151
审稿时长
7 weeks
×
引用
GB/T 7714-2015
复制
MLA
复制
APA
复制
导出至
BibTeX EndNote RefMan NoteFirst NoteExpress
×
提示
您的信息不完整,为了账户安全,请先补充。
现在去补充
×
提示
您因"违规操作"
具体请查看互助需知
我知道了
×
提示
确定
请完成安全验证×
copy
已复制链接
快去分享给好友吧!
我知道了
右上角分享
点击右上角分享
0
联系我们:info@booksci.cn Book学术提供免费学术资源搜索服务,方便国内外学者检索中英文文献。致力于提供最便捷和优质的服务体验。 Copyright © 2023 布克学术 All rights reserved.
京ICP备2023020795号-1
ghs 京公网安备 11010802042870号
Book学术文献互助
Book学术文献互助群
群 号:604180095
Book学术官方微信