利用影像引导下经皮消融后放射-病理外植体相关性的LI-RADS治疗反应算法预测肿瘤生存能力的横断成像准确性。

IF 3.5 2区 医学 Q2 ONCOLOGY
Anuradha S Shenoy-Bhangle, M Saad Malik, Aamir Ali, Nan Nancy Jiang, Syed Yasir Andrabi, Amit Singal, Michael P Curry, Maria-Andreea Catana, Devin E Eckhoff, Salomao Faintuch, Muneeb Ahmed, Imad Ahmad Nasser, Ammar Sarwar
{"title":"利用影像引导下经皮消融后放射-病理外植体相关性的LI-RADS治疗反应算法预测肿瘤生存能力的横断成像准确性。","authors":"Anuradha S Shenoy-Bhangle, M Saad Malik, Aamir Ali, Nan Nancy Jiang, Syed Yasir Andrabi, Amit Singal, Michael P Curry, Maria-Andreea Catana, Devin E Eckhoff, Salomao Faintuch, Muneeb Ahmed, Imad Ahmad Nasser, Ammar Sarwar","doi":"10.1186/s40644-025-00884-y","DOIUrl":null,"url":null,"abstract":"<p><strong>Background: </strong>Accurate assessment of viable HCC on pre-transplant cross sectional imaging is important for correct organ allocation and overall patient outcome following liver transplantation.</p><p><strong>Purpose: </strong>Determine accuracy of LI-RADS TRA compared to explant pathology in patients treated with thermal ablation, using contrast enhanced multiphase CT and MRI.</p><p><strong>Materials and methods: </strong>Imaging studies for 119 consecutive adult HCC patients treated with thermal ablation and liver transplantation from March 2001 to September 2019 at a single tertiary care hospital were retrospectively studied by three Board-certified radiologists. LI-RADS TRA categories for each tumor were compared with explant pathology. Cohens Kappa test and inter-reader agreement by Fleiss κ test, with 95% confidence intervals obtained with bootstrap technique were used.</p><p><strong>Results: </strong>Of the 119 patients (median age 59 years, 95 [80%] male) with 165 HCCs treated with percutaneous thermal ablation, 68% were completely necrotic and 32% were viable on pathologic analysis. Tumors viable on explant were larger on pre-treatment imaging (median 2.4 vs. 2.1 cm; p = 0.02) with no difference in pre-transplant ablation cavity sizes between groups (4.0 vs. 3.9 cm, respectively; p = 0.58). NPV of LI-RADS TRA for viable tumor was 71% (68-74); PPV of 62.5% (39-81) (p = 0.01) with a sensitivity of 19% (9.4-32), specificity of 95% (89-98), and accuracy of 70% (63-77). On explant, 55 incidental treatment naïve viable tumors, not visible on pre-transplant imaging, were found in 33 patients.</p><p><strong>Conclusion: </strong>The \"non-viable\" category of LI-RADS TRA even when applied to a relatively uniform percutaneous ablation cohort, demonstrated low sensitivity in predicting absence of viable tumor. MRI had more accuracy than CT in predicting tumor viability when compared to explant pathology.</p>","PeriodicalId":9548,"journal":{"name":"Cancer Imaging","volume":"25 1","pages":"65"},"PeriodicalIF":3.5000,"publicationDate":"2025-05-24","publicationTypes":"Journal Article","fieldsOfStudy":null,"isOpenAccess":false,"openAccessPdf":"https://www.ncbi.nlm.nih.gov/pmc/articles/PMC12103036/pdf/","citationCount":"0","resultStr":"{\"title\":\"Accuracy of cross-sectional imaging in predicting tumor viability using the LI-RADS treatment response algorithm after image-guided percutaneous ablation with radiologic-pathologic explant correlation.\",\"authors\":\"Anuradha S Shenoy-Bhangle, M Saad Malik, Aamir Ali, Nan Nancy Jiang, Syed Yasir Andrabi, Amit Singal, Michael P Curry, Maria-Andreea Catana, Devin E Eckhoff, Salomao Faintuch, Muneeb Ahmed, Imad Ahmad Nasser, Ammar Sarwar\",\"doi\":\"10.1186/s40644-025-00884-y\",\"DOIUrl\":null,\"url\":null,\"abstract\":\"<p><strong>Background: </strong>Accurate assessment of viable HCC on pre-transplant cross sectional imaging is important for correct organ allocation and overall patient outcome following liver transplantation.</p><p><strong>Purpose: </strong>Determine accuracy of LI-RADS TRA compared to explant pathology in patients treated with thermal ablation, using contrast enhanced multiphase CT and MRI.</p><p><strong>Materials and methods: </strong>Imaging studies for 119 consecutive adult HCC patients treated with thermal ablation and liver transplantation from March 2001 to September 2019 at a single tertiary care hospital were retrospectively studied by three Board-certified radiologists. LI-RADS TRA categories for each tumor were compared with explant pathology. Cohens Kappa test and inter-reader agreement by Fleiss κ test, with 95% confidence intervals obtained with bootstrap technique were used.</p><p><strong>Results: </strong>Of the 119 patients (median age 59 years, 95 [80%] male) with 165 HCCs treated with percutaneous thermal ablation, 68% were completely necrotic and 32% were viable on pathologic analysis. Tumors viable on explant were larger on pre-treatment imaging (median 2.4 vs. 2.1 cm; p = 0.02) with no difference in pre-transplant ablation cavity sizes between groups (4.0 vs. 3.9 cm, respectively; p = 0.58). NPV of LI-RADS TRA for viable tumor was 71% (68-74); PPV of 62.5% (39-81) (p = 0.01) with a sensitivity of 19% (9.4-32), specificity of 95% (89-98), and accuracy of 70% (63-77). On explant, 55 incidental treatment naïve viable tumors, not visible on pre-transplant imaging, were found in 33 patients.</p><p><strong>Conclusion: </strong>The \\\"non-viable\\\" category of LI-RADS TRA even when applied to a relatively uniform percutaneous ablation cohort, demonstrated low sensitivity in predicting absence of viable tumor. MRI had more accuracy than CT in predicting tumor viability when compared to explant pathology.</p>\",\"PeriodicalId\":9548,\"journal\":{\"name\":\"Cancer Imaging\",\"volume\":\"25 1\",\"pages\":\"65\"},\"PeriodicalIF\":3.5000,\"publicationDate\":\"2025-05-24\",\"publicationTypes\":\"Journal Article\",\"fieldsOfStudy\":null,\"isOpenAccess\":false,\"openAccessPdf\":\"https://www.ncbi.nlm.nih.gov/pmc/articles/PMC12103036/pdf/\",\"citationCount\":\"0\",\"resultStr\":null,\"platform\":\"Semanticscholar\",\"paperid\":null,\"PeriodicalName\":\"Cancer Imaging\",\"FirstCategoryId\":\"3\",\"ListUrlMain\":\"https://doi.org/10.1186/s40644-025-00884-y\",\"RegionNum\":2,\"RegionCategory\":\"医学\",\"ArticlePicture\":[],\"TitleCN\":null,\"AbstractTextCN\":null,\"PMCID\":null,\"EPubDate\":\"\",\"PubModel\":\"\",\"JCR\":\"Q2\",\"JCRName\":\"ONCOLOGY\",\"Score\":null,\"Total\":0}","platform":"Semanticscholar","paperid":null,"PeriodicalName":"Cancer Imaging","FirstCategoryId":"3","ListUrlMain":"https://doi.org/10.1186/s40644-025-00884-y","RegionNum":2,"RegionCategory":"医学","ArticlePicture":[],"TitleCN":null,"AbstractTextCN":null,"PMCID":null,"EPubDate":"","PubModel":"","JCR":"Q2","JCRName":"ONCOLOGY","Score":null,"Total":0}
引用次数: 0

摘要

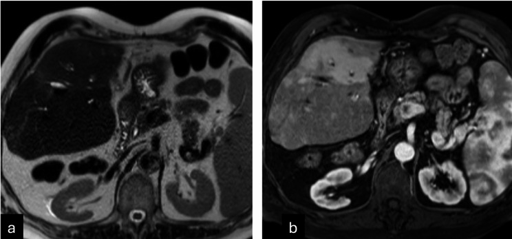
背景:通过肝移植前横断面成像准确评估肝细胞癌存活情况对于肝移植后正确的器官分配和患者的整体预后非常重要。目的:通过对比增强多期CT和MRI,确定LI-RADS TRA与外植体病理在热消融患者中的准确性。材料和方法:由三名委员会认证的放射科医生对2001年3月至2019年9月在一家三级医院接受热消融和肝移植治疗的119例连续成人HCC患者的影像学研究进行回顾性研究。将每个肿瘤的LI-RADS TRA分类与外植体病理进行比较。采用Cohens Kappa检验和Fleiss κ检验,95%置信区间采用bootstrap技术。结果:经皮热消融治疗的119例hcc患者(中位年龄59岁,男性95例[80%])中,68%完全坏死,32%病理存活。在外植体上存活的肿瘤在治疗前成像时较大(中位数为2.4 vs. 2.1 cm;P = 0.02),组间移植前消融腔大小无差异(分别为4.0和3.9 cm;p = 0.58)。LI-RADS TRA对存活肿瘤的NPV为71% (68-74);PPV为62.5% (39 ~ 81)(p = 0.01),敏感性为19%(9.4 ~ 32),特异性为95%(89 ~ 98),准确性为70%(63 ~ 77)。在外植体上,33例患者中发现55例意外治疗naïve移植前成像不可见的存活肿瘤。结论:即使应用于相对均匀的经皮消融队列,LI-RADS TRA的“不可存活”类别在预测肿瘤缺失方面也表现出较低的敏感性。与外植体病理相比,MRI在预测肿瘤生存能力方面比CT更准确。
本文章由计算机程序翻译,如有差异,请以英文原文为准。

Accuracy of cross-sectional imaging in predicting tumor viability using the LI-RADS treatment response algorithm after image-guided percutaneous ablation with radiologic-pathologic explant correlation.

Accuracy of cross-sectional imaging in predicting tumor viability using the LI-RADS treatment response algorithm after image-guided percutaneous ablation with radiologic-pathologic explant correlation.

Accuracy of cross-sectional imaging in predicting tumor viability using the LI-RADS treatment response algorithm after image-guided percutaneous ablation with radiologic-pathologic explant correlation.

Accuracy of cross-sectional imaging in predicting tumor viability using the LI-RADS treatment response algorithm after image-guided percutaneous ablation with radiologic-pathologic explant correlation.

Background: Accurate assessment of viable HCC on pre-transplant cross sectional imaging is important for correct organ allocation and overall patient outcome following liver transplantation.

Purpose: Determine accuracy of LI-RADS TRA compared to explant pathology in patients treated with thermal ablation, using contrast enhanced multiphase CT and MRI.

Materials and methods: Imaging studies for 119 consecutive adult HCC patients treated with thermal ablation and liver transplantation from March 2001 to September 2019 at a single tertiary care hospital were retrospectively studied by three Board-certified radiologists. LI-RADS TRA categories for each tumor were compared with explant pathology. Cohens Kappa test and inter-reader agreement by Fleiss κ test, with 95% confidence intervals obtained with bootstrap technique were used.

Results: Of the 119 patients (median age 59 years, 95 [80%] male) with 165 HCCs treated with percutaneous thermal ablation, 68% were completely necrotic and 32% were viable on pathologic analysis. Tumors viable on explant were larger on pre-treatment imaging (median 2.4 vs. 2.1 cm; p = 0.02) with no difference in pre-transplant ablation cavity sizes between groups (4.0 vs. 3.9 cm, respectively; p = 0.58). NPV of LI-RADS TRA for viable tumor was 71% (68-74); PPV of 62.5% (39-81) (p = 0.01) with a sensitivity of 19% (9.4-32), specificity of 95% (89-98), and accuracy of 70% (63-77). On explant, 55 incidental treatment naïve viable tumors, not visible on pre-transplant imaging, were found in 33 patients.

Conclusion: The "non-viable" category of LI-RADS TRA even when applied to a relatively uniform percutaneous ablation cohort, demonstrated low sensitivity in predicting absence of viable tumor. MRI had more accuracy than CT in predicting tumor viability when compared to explant pathology.

求助全文
通过发布文献求助,成功后即可免费获取论文全文。 去求助
来源期刊
Cancer Imaging
Cancer Imaging ONCOLOGY-RADIOLOGY, NUCLEAR MEDICINE & MEDICAL IMAGING
CiteScore
7.00
自引率
0.00%
发文量
66
审稿时长
>12 weeks
期刊介绍: Cancer Imaging is an open access, peer-reviewed journal publishing original articles, reviews and editorials written by expert international radiologists working in oncology. The journal encompasses CT, MR, PET, ultrasound, radionuclide and multimodal imaging in all kinds of malignant tumours, plus new developments, techniques and innovations. Topics of interest include: Breast Imaging Chest Complications of treatment Ear, Nose & Throat Gastrointestinal Hepatobiliary & Pancreatic Imaging biomarkers Interventional Lymphoma Measurement of tumour response Molecular functional imaging Musculoskeletal Neuro oncology Nuclear Medicine Paediatric.
×
引用
GB/T 7714-2015
复制
MLA
复制
APA
复制
导出至
BibTeX EndNote RefMan NoteFirst NoteExpress
×
提示
您的信息不完整,为了账户安全,请先补充。
现在去补充
×
提示
您因"违规操作"
具体请查看互助需知
我知道了
×
提示
确定
请完成安全验证×
copy
已复制链接
快去分享给好友吧!
我知道了
右上角分享
点击右上角分享
0
联系我们:info@booksci.cn Book学术提供免费学术资源搜索服务,方便国内外学者检索中英文文献。致力于提供最便捷和优质的服务体验。 Copyright © 2023 布克学术 All rights reserved.
京ICP备2023020795号-1
ghs 京公网安备 11010802042870号
Book学术文献互助
Book学术文献互助群
群 号:604180095
Book学术官方微信