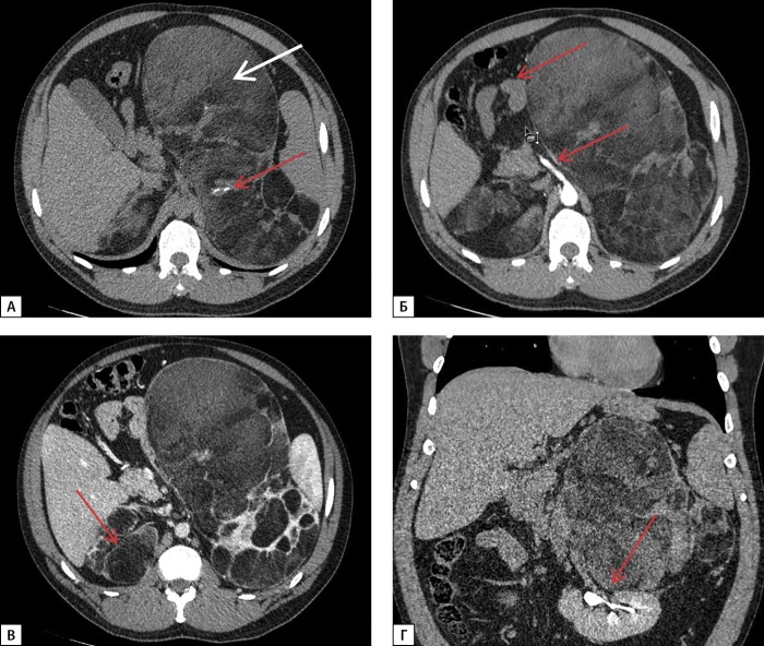
【先天性肾上腺皮质功能障碍中肾上腺病变的鉴别诊断困难:一系列临床病例】。

A Chevais, N V Tarbaeva, Y Y Golubkina, M M Gadzhimuradova, K V Ivashchenko, D O Ladygina, M V Vorontsova, O B Bezlepkina, G A Melnichenko, N G Mokrysheva
{"title":"【先天性肾上腺皮质功能障碍中肾上腺病变的鉴别诊断困难:一系列临床病例】。","authors":"A Chevais, N V Tarbaeva, Y Y Golubkina, M M Gadzhimuradova, K V Ivashchenko, D O Ladygina, M V Vorontsova, O B Bezlepkina, G A Melnichenko, N G Mokrysheva","doi":"10.14341/probl13564","DOIUrl":null,"url":null,"abstract":"<p><p>Congenital adrenal hyperplasia (CAH) encompasses a group of autosomal recessive disorders characterized by defects in enzymes critical for steroidogenesis, with 21-hydroxylase deficiency due to mutations in the CYP21A2 gene being the most prevalent form.Since the introduction of replacement therapy and neonatal screening programs in the 1950s, there has been a significant increase in survival rates among newborns diagnosed with CAH. However, despite these advancements, mortality associated with this condition remains disproportionately high. Achieving optimal therapeutic compensation through medication remains a complex challenge, contributing to a range of long-term complications. These complications stem from both the underlying disease and its treatment, impacting key physiological functions, including metabolism, growth and development, cardiovascular health, and fertility. These multifaceted outcomes underscore the need for ongoing research and the refinement of therapeutic approaches to better manage this intricate condition. This article presents a series of four clinical cases of CAH characterized by the absence of sustained compensation for glucoand mineralocorticoid deficiencies. These cases were further complicated by the development of large adrenal masses and ectopic testicular adrenal rest tissue (TART), emphasizing the challenges in achieving long-term disease management.</p>","PeriodicalId":101419,"journal":{"name":"Problemy endokrinologii","volume":"71 2","pages":"22-34"},"PeriodicalIF":0.0000,"publicationDate":"2025-05-20","publicationTypes":"Journal Article","fieldsOfStudy":null,"isOpenAccess":false,"openAccessPdf":"https://www.ncbi.nlm.nih.gov/pmc/articles/PMC12117987/pdf/","citationCount":"0","resultStr":"{\"title\":\"[Difficulty with differential diagnosis on adrenal lesions in congenital adrenal cortex dysfunction: a series of clinical cases].\",\"authors\":\"A Chevais, N V Tarbaeva, Y Y Golubkina, M M Gadzhimuradova, K V Ivashchenko, D O Ladygina, M V Vorontsova, O B Bezlepkina, G A Melnichenko, N G Mokrysheva\",\"doi\":\"10.14341/probl13564\",\"DOIUrl\":null,\"url\":null,\"abstract\":\"<p><p>Congenital adrenal hyperplasia (CAH) encompasses a group of autosomal recessive disorders characterized by defects in enzymes critical for steroidogenesis, with 21-hydroxylase deficiency due to mutations in the CYP21A2 gene being the most prevalent form.Since the introduction of replacement therapy and neonatal screening programs in the 1950s, there has been a significant increase in survival rates among newborns diagnosed with CAH. However, despite these advancements, mortality associated with this condition remains disproportionately high. Achieving optimal therapeutic compensation through medication remains a complex challenge, contributing to a range of long-term complications. These complications stem from both the underlying disease and its treatment, impacting key physiological functions, including metabolism, growth and development, cardiovascular health, and fertility. These multifaceted outcomes underscore the need for ongoing research and the refinement of therapeutic approaches to better manage this intricate condition. This article presents a series of four clinical cases of CAH characterized by the absence of sustained compensation for glucoand mineralocorticoid deficiencies. These cases were further complicated by the development of large adrenal masses and ectopic testicular adrenal rest tissue (TART), emphasizing the challenges in achieving long-term disease management.</p>\",\"PeriodicalId\":101419,\"journal\":{\"name\":\"Problemy endokrinologii\",\"volume\":\"71 2\",\"pages\":\"22-34\"},\"PeriodicalIF\":0.0000,\"publicationDate\":\"2025-05-20\",\"publicationTypes\":\"Journal Article\",\"fieldsOfStudy\":null,\"isOpenAccess\":false,\"openAccessPdf\":\"https://www.ncbi.nlm.nih.gov/pmc/articles/PMC12117987/pdf/\",\"citationCount\":\"0\",\"resultStr\":null,\"platform\":\"Semanticscholar\",\"paperid\":null,\"PeriodicalName\":\"Problemy endokrinologii\",\"FirstCategoryId\":\"1085\",\"ListUrlMain\":\"https://doi.org/10.14341/probl13564\",\"RegionNum\":0,\"RegionCategory\":null,\"ArticlePicture\":[],\"TitleCN\":null,\"AbstractTextCN\":null,\"PMCID\":null,\"EPubDate\":\"\",\"PubModel\":\"\",\"JCR\":\"\",\"JCRName\":\"\",\"Score\":null,\"Total\":0}","platform":"Semanticscholar","paperid":null,"PeriodicalName":"Problemy endokrinologii","FirstCategoryId":"1085","ListUrlMain":"https://doi.org/10.14341/probl13564","RegionNum":0,"RegionCategory":null,"ArticlePicture":[],"TitleCN":null,"AbstractTextCN":null,"PMCID":null,"EPubDate":"","PubModel":"","JCR":"","JCRName":"","Score":null,"Total":0}
引用次数: 0

摘要

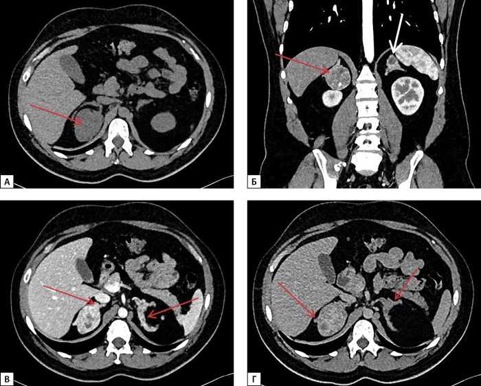
先天性肾上腺增生症(CAH)包括一组常染色体隐性遗传病,其特征是类固醇生成关键酶缺陷,其中CYP21A2基因突变导致的21-羟化酶缺乏症是最常见的形式。自从20世纪50年代引入替代疗法和新生儿筛查项目以来,诊断为CAH的新生儿的存活率显著增加。然而,尽管取得了这些进展,与这种疾病相关的死亡率仍然高得不成比例。通过药物治疗获得最佳治疗补偿仍然是一个复杂的挑战,导致一系列长期并发症。这些并发症源于潜在疾病及其治疗,影响关键的生理功能,包括代谢、生长发育、心血管健康和生育能力。这些多方面的结果强调了持续研究和改进治疗方法以更好地管理这一复杂疾病的必要性。这篇文章提出了一系列的四个临床病例CAH的特点是缺乏持续补偿糖和矿皮质激素缺乏。这些病例因大肾上腺肿块和异位睾丸肾上腺休息组织(TART)的发展而进一步复杂化,强调了实现长期疾病管理的挑战。
本文章由计算机程序翻译,如有差异,请以英文原文为准。

[Difficulty with differential diagnosis on adrenal lesions in congenital adrenal cortex dysfunction: a series of clinical cases].

[Difficulty with differential diagnosis on adrenal lesions in congenital adrenal cortex dysfunction: a series of clinical cases].

[Difficulty with differential diagnosis on adrenal lesions in congenital adrenal cortex dysfunction: a series of clinical cases].

[Difficulty with differential diagnosis on adrenal lesions in congenital adrenal cortex dysfunction: a series of clinical cases].

Congenital adrenal hyperplasia (CAH) encompasses a group of autosomal recessive disorders characterized by defects in enzymes critical for steroidogenesis, with 21-hydroxylase deficiency due to mutations in the CYP21A2 gene being the most prevalent form.Since the introduction of replacement therapy and neonatal screening programs in the 1950s, there has been a significant increase in survival rates among newborns diagnosed with CAH. However, despite these advancements, mortality associated with this condition remains disproportionately high. Achieving optimal therapeutic compensation through medication remains a complex challenge, contributing to a range of long-term complications. These complications stem from both the underlying disease and its treatment, impacting key physiological functions, including metabolism, growth and development, cardiovascular health, and fertility. These multifaceted outcomes underscore the need for ongoing research and the refinement of therapeutic approaches to better manage this intricate condition. This article presents a series of four clinical cases of CAH characterized by the absence of sustained compensation for glucoand mineralocorticoid deficiencies. These cases were further complicated by the development of large adrenal masses and ectopic testicular adrenal rest tissue (TART), emphasizing the challenges in achieving long-term disease management.

求助全文
通过发布文献求助,成功后即可免费获取论文全文。 去求助
来源期刊
自引率
0.00%
发文量
0
×
引用
GB/T 7714-2015
复制
MLA
复制
APA
复制
导出至
BibTeX EndNote RefMan NoteFirst NoteExpress
×
提示
您的信息不完整,为了账户安全,请先补充。
现在去补充
×
提示
您因"违规操作"
具体请查看互助需知
我知道了
×
提示
确定
请完成安全验证×
copy
已复制链接
快去分享给好友吧!
我知道了
右上角分享
点击右上角分享
0
联系我们:info@booksci.cn Book学术提供免费学术资源搜索服务,方便国内外学者检索中英文文献。致力于提供最便捷和优质的服务体验。 Copyright © 2023 布克学术 All rights reserved.
京ICP备2023020795号-1
ghs 京公网安备 11010802042870号
Book学术文献互助
Book学术文献互助群
群 号:604180095
Book学术官方微信