Charcot脊柱关节病:一个病例系列。

IF 0.9 Q4 CLINICAL NEUROLOGY
Vanessa Jane Chow, Akter Hossain, Maurizio Belci, Shyam S Swarna
{"title":"Charcot脊柱关节病:一个病例系列。","authors":"Vanessa Jane Chow, Akter Hossain, Maurizio Belci, Shyam S Swarna","doi":"10.1038/s41394-025-00709-x","DOIUrl":null,"url":null,"abstract":"<p><strong>Study design: </strong>A retrospective case series analysing six cases of Charcot spinal arthropathy.</p><p><strong>Objectives: </strong>To evaluate the etiology, clinical manifestations (e.g., pain, trunk instability, autonomic dysreflexia, spasticity), latency period before symptom onset, affected spinal regions, and treatment strategies for Charcot spinal arthropathy.</p><p><strong>Setting: </strong>National Spinal Injury Centre, United Kingdom.</p><p><strong>Methods: </strong>Data were collected and analysed from six patients diagnosed with Charcot spinal arthropathy. Variables examined included the etiology, clinical presentations, spinal regions affected, latency period, and outcomes of treatment approaches. Both conservative management and surgical intervention strategies were evaluated.</p><p><strong>Results: </strong>Patients exhibited common clinical manifestations such as pain, loss of trunk control, autonomic dysreflexia, and spasticity, with varying latency periods before symptom onset. The thoracic spine was the most frequently affected region. Conservative management successfully stabilized symptoms in most cases, while surgical intervention was necessary in instances of severe trunk instability, refractory pain, or deformity impacting mobility.</p><p><strong>Conclusion: </strong>Conservative management should be the initial treatment approach for Charcot spinal arthropathy. Surgical intervention is reserved for cases with significant clinical progression, such as unresolved pain, mobility restrictions due to trunk deformity, or urgent complications arising from spinal pathology.</p>","PeriodicalId":22079,"journal":{"name":"Spinal Cord Series and Cases","volume":"11 1","pages":"15"},"PeriodicalIF":0.9000,"publicationDate":"2025-05-23","publicationTypes":"Journal Article","fieldsOfStudy":null,"isOpenAccess":false,"openAccessPdf":"https://www.ncbi.nlm.nih.gov/pmc/articles/PMC12102155/pdf/","citationCount":"0","resultStr":"{\"title\":\"Charcot spinal arthropathy: a case series.\",\"authors\":\"Vanessa Jane Chow, Akter Hossain, Maurizio Belci, Shyam S Swarna\",\"doi\":\"10.1038/s41394-025-00709-x\",\"DOIUrl\":null,\"url\":null,\"abstract\":\"<p><strong>Study design: </strong>A retrospective case series analysing six cases of Charcot spinal arthropathy.</p><p><strong>Objectives: </strong>To evaluate the etiology, clinical manifestations (e.g., pain, trunk instability, autonomic dysreflexia, spasticity), latency period before symptom onset, affected spinal regions, and treatment strategies for Charcot spinal arthropathy.</p><p><strong>Setting: </strong>National Spinal Injury Centre, United Kingdom.</p><p><strong>Methods: </strong>Data were collected and analysed from six patients diagnosed with Charcot spinal arthropathy. Variables examined included the etiology, clinical presentations, spinal regions affected, latency period, and outcomes of treatment approaches. Both conservative management and surgical intervention strategies were evaluated.</p><p><strong>Results: </strong>Patients exhibited common clinical manifestations such as pain, loss of trunk control, autonomic dysreflexia, and spasticity, with varying latency periods before symptom onset. The thoracic spine was the most frequently affected region. Conservative management successfully stabilized symptoms in most cases, while surgical intervention was necessary in instances of severe trunk instability, refractory pain, or deformity impacting mobility.</p><p><strong>Conclusion: </strong>Conservative management should be the initial treatment approach for Charcot spinal arthropathy. Surgical intervention is reserved for cases with significant clinical progression, such as unresolved pain, mobility restrictions due to trunk deformity, or urgent complications arising from spinal pathology.</p>\",\"PeriodicalId\":22079,\"journal\":{\"name\":\"Spinal Cord Series and Cases\",\"volume\":\"11 1\",\"pages\":\"15\"},\"PeriodicalIF\":0.9000,\"publicationDate\":\"2025-05-23\",\"publicationTypes\":\"Journal Article\",\"fieldsOfStudy\":null,\"isOpenAccess\":false,\"openAccessPdf\":\"https://www.ncbi.nlm.nih.gov/pmc/articles/PMC12102155/pdf/\",\"citationCount\":\"0\",\"resultStr\":null,\"platform\":\"Semanticscholar\",\"paperid\":null,\"PeriodicalName\":\"Spinal Cord Series and Cases\",\"FirstCategoryId\":\"1085\",\"ListUrlMain\":\"https://doi.org/10.1038/s41394-025-00709-x\",\"RegionNum\":0,\"RegionCategory\":null,\"ArticlePicture\":[],\"TitleCN\":null,\"AbstractTextCN\":null,\"PMCID\":null,\"EPubDate\":\"\",\"PubModel\":\"\",\"JCR\":\"Q4\",\"JCRName\":\"CLINICAL NEUROLOGY\",\"Score\":null,\"Total\":0}","platform":"Semanticscholar","paperid":null,"PeriodicalName":"Spinal Cord Series and Cases","FirstCategoryId":"1085","ListUrlMain":"https://doi.org/10.1038/s41394-025-00709-x","RegionNum":0,"RegionCategory":null,"ArticlePicture":[],"TitleCN":null,"AbstractTextCN":null,"PMCID":null,"EPubDate":"","PubModel":"","JCR":"Q4","JCRName":"CLINICAL NEUROLOGY","Score":null,"Total":0}
引用次数: 0

摘要

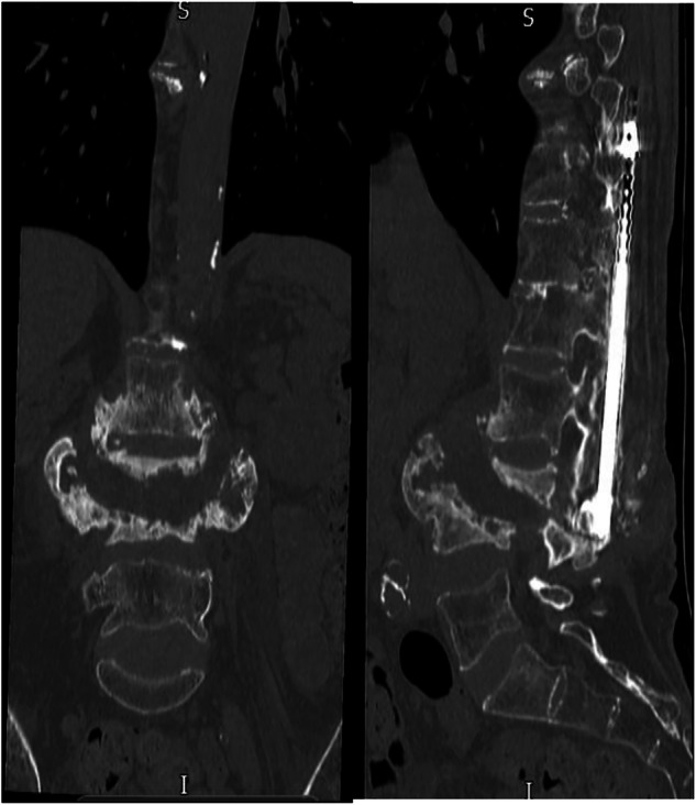
研究设计:回顾性分析6例Charcot脊柱关节病。目的:评价Charcot关节病的病因、临床表现(如疼痛、躯干不稳、自主神经反射障碍、痉挛)、症状发作前潜伏期、脊柱受累区及治疗策略。地点:英国国家脊髓损伤中心。方法:对6例确诊为Charcot型脊柱关节病的患者进行资料收集和分析。检查的变量包括病因、临床表现、受影响的脊柱区域、潜伏期和治疗方法的结果。对保守治疗和手术干预策略进行了评价。结果:患者均表现为疼痛、躯干失去控制、自主神经反射障碍、痉挛等常见临床表现,症状发作前潜伏期不同。胸椎是最常见的受累部位。在大多数病例中,保守治疗成功地稳定了症状,而在严重的躯干不稳定、难治性疼痛或影响活动的畸形的情况下,手术干预是必要的。结论:保守治疗应是沙尔科关节病的首选治疗方法。手术干预保留给有重大临床进展的病例,如未解决的疼痛,躯干畸形导致的活动受限,或脊柱病理引起的紧急并发症。
本文章由计算机程序翻译,如有差异,请以英文原文为准。

Charcot spinal arthropathy: a case series.

Charcot spinal arthropathy: a case series.

Charcot spinal arthropathy: a case series.

Charcot spinal arthropathy: a case series.

Study design: A retrospective case series analysing six cases of Charcot spinal arthropathy.

Objectives: To evaluate the etiology, clinical manifestations (e.g., pain, trunk instability, autonomic dysreflexia, spasticity), latency period before symptom onset, affected spinal regions, and treatment strategies for Charcot spinal arthropathy.

Setting: National Spinal Injury Centre, United Kingdom.

Methods: Data were collected and analysed from six patients diagnosed with Charcot spinal arthropathy. Variables examined included the etiology, clinical presentations, spinal regions affected, latency period, and outcomes of treatment approaches. Both conservative management and surgical intervention strategies were evaluated.

Results: Patients exhibited common clinical manifestations such as pain, loss of trunk control, autonomic dysreflexia, and spasticity, with varying latency periods before symptom onset. The thoracic spine was the most frequently affected region. Conservative management successfully stabilized symptoms in most cases, while surgical intervention was necessary in instances of severe trunk instability, refractory pain, or deformity impacting mobility.

Conclusion: Conservative management should be the initial treatment approach for Charcot spinal arthropathy. Surgical intervention is reserved for cases with significant clinical progression, such as unresolved pain, mobility restrictions due to trunk deformity, or urgent complications arising from spinal pathology.

求助全文
通过发布文献求助,成功后即可免费获取论文全文。 去求助
来源期刊
Spinal Cord Series and Cases
Spinal Cord Series and Cases Medicine-Neurology (clinical)
CiteScore
2.20
自引率
8.30%
发文量
92
×
引用
GB/T 7714-2015
复制
MLA
复制
APA
复制
导出至
BibTeX EndNote RefMan NoteFirst NoteExpress
×
提示
您的信息不完整,为了账户安全,请先补充。
现在去补充
×
提示
您因"违规操作"
具体请查看互助需知
我知道了
×
提示
确定
请完成安全验证×
copy
已复制链接
快去分享给好友吧!
我知道了
右上角分享
点击右上角分享
0
联系我们:info@booksci.cn Book学术提供免费学术资源搜索服务,方便国内外学者检索中英文文献。致力于提供最便捷和优质的服务体验。 Copyright © 2023 布克学术 All rights reserved.
京ICP备2023020795号-1
ghs 京公网安备 11010802042870号
Book学术文献互助
Book学术文献互助群
群 号:604180095
Book学术官方微信