绝经后妇女颈部皮肤色丘疹:诊断挑战。

IF 1.7 Q3 DERMATOLOGY
Jason El Jalkh, Pia Maria Obeid, Dorra Guermazi, Aya Soubra, Elie Saliba
{"title":"绝经后妇女颈部皮肤色丘疹:诊断挑战。","authors":"Jason El Jalkh, Pia Maria Obeid, Dorra Guermazi, Aya Soubra, Elie Saliba","doi":"10.3390/dermatopathology12020015","DOIUrl":null,"url":null,"abstract":"<p><p>A 64-year-old patient presented for management of symptomatic skin-colored papules symmetrically distributed over the lateral neck over the past two years, which failed to improve on multiple topical corticosteroids, antifungal creams, and topical calcineurin inhibitor. Histopathologic examination showed a regular epidermis with increased melanophages in the papillary dermis, without vacuolar degeneration of the basement membrane. Verhoeff Van Gieson stain highlighted a band-like zone of attenuated elastic fibers in the papillary dermis, while Von Kossa stain was negative for calcified fibers. PAS staining was negative for fungal organisms and Alcian blue showed no increase in dermal mucin.</p>","PeriodicalId":42885,"journal":{"name":"Dermatopathology","volume":"12 2","pages":""},"PeriodicalIF":1.7000,"publicationDate":"2025-05-14","publicationTypes":"Journal Article","fieldsOfStudy":null,"isOpenAccess":false,"openAccessPdf":"https://www.ncbi.nlm.nih.gov/pmc/articles/PMC12101269/pdf/","citationCount":"0","resultStr":"{\"title\":\"Skin-Colored Papules on the Neck of a Postmenopausal Woman: A Diagnostic Challenge.\",\"authors\":\"Jason El Jalkh, Pia Maria Obeid, Dorra Guermazi, Aya Soubra, Elie Saliba\",\"doi\":\"10.3390/dermatopathology12020015\",\"DOIUrl\":null,\"url\":null,\"abstract\":\"<p><p>A 64-year-old patient presented for management of symptomatic skin-colored papules symmetrically distributed over the lateral neck over the past two years, which failed to improve on multiple topical corticosteroids, antifungal creams, and topical calcineurin inhibitor. Histopathologic examination showed a regular epidermis with increased melanophages in the papillary dermis, without vacuolar degeneration of the basement membrane. Verhoeff Van Gieson stain highlighted a band-like zone of attenuated elastic fibers in the papillary dermis, while Von Kossa stain was negative for calcified fibers. PAS staining was negative for fungal organisms and Alcian blue showed no increase in dermal mucin.</p>\",\"PeriodicalId\":42885,\"journal\":{\"name\":\"Dermatopathology\",\"volume\":\"12 2\",\"pages\":\"\"},\"PeriodicalIF\":1.7000,\"publicationDate\":\"2025-05-14\",\"publicationTypes\":\"Journal Article\",\"fieldsOfStudy\":null,\"isOpenAccess\":false,\"openAccessPdf\":\"https://www.ncbi.nlm.nih.gov/pmc/articles/PMC12101269/pdf/\",\"citationCount\":\"0\",\"resultStr\":null,\"platform\":\"Semanticscholar\",\"paperid\":null,\"PeriodicalName\":\"Dermatopathology\",\"FirstCategoryId\":\"1085\",\"ListUrlMain\":\"https://doi.org/10.3390/dermatopathology12020015\",\"RegionNum\":0,\"RegionCategory\":null,\"ArticlePicture\":[],\"TitleCN\":null,\"AbstractTextCN\":null,\"PMCID\":null,\"EPubDate\":\"\",\"PubModel\":\"\",\"JCR\":\"Q3\",\"JCRName\":\"DERMATOLOGY\",\"Score\":null,\"Total\":0}","platform":"Semanticscholar","paperid":null,"PeriodicalName":"Dermatopathology","FirstCategoryId":"1085","ListUrlMain":"https://doi.org/10.3390/dermatopathology12020015","RegionNum":0,"RegionCategory":null,"ArticlePicture":[],"TitleCN":null,"AbstractTextCN":null,"PMCID":null,"EPubDate":"","PubModel":"","JCR":"Q3","JCRName":"DERMATOLOGY","Score":null,"Total":0}
引用次数: 0

摘要

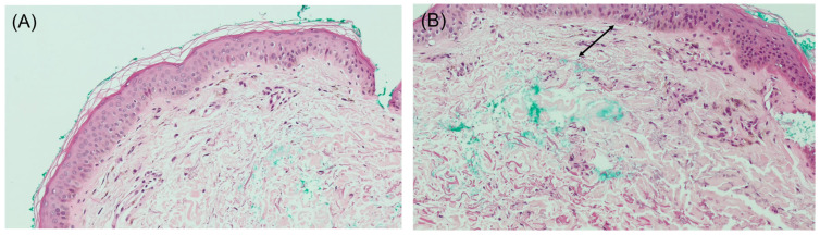
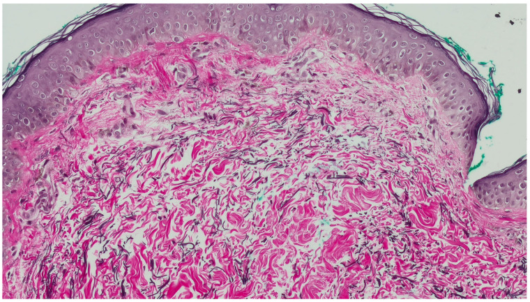
一位64岁的患者,在过去的两年里,因症状性皮肤色丘疹对称分布于颈部外侧,使用多种局部皮质类固醇、抗真菌药膏和局部钙调磷酸酶抑制剂均未能改善。组织病理学检查显示表皮规则,乳头状真皮中噬黑细胞增多,基底膜无空泡变性。Verhoeff Van Gieson染色显示乳突真皮内弹性纤维呈带状衰减,Von Kossa染色显示钙化纤维呈阴性。PAS染色未见真菌,阿利新蓝染色未见真皮粘蛋白增加。
本文章由计算机程序翻译,如有差异,请以英文原文为准。

Skin-Colored Papules on the Neck of a Postmenopausal Woman: A Diagnostic Challenge.

Skin-Colored Papules on the Neck of a Postmenopausal Woman: A Diagnostic Challenge.

Skin-Colored Papules on the Neck of a Postmenopausal Woman: A Diagnostic Challenge.

Skin-Colored Papules on the Neck of a Postmenopausal Woman: A Diagnostic Challenge.

A 64-year-old patient presented for management of symptomatic skin-colored papules symmetrically distributed over the lateral neck over the past two years, which failed to improve on multiple topical corticosteroids, antifungal creams, and topical calcineurin inhibitor. Histopathologic examination showed a regular epidermis with increased melanophages in the papillary dermis, without vacuolar degeneration of the basement membrane. Verhoeff Van Gieson stain highlighted a band-like zone of attenuated elastic fibers in the papillary dermis, while Von Kossa stain was negative for calcified fibers. PAS staining was negative for fungal organisms and Alcian blue showed no increase in dermal mucin.

求助全文
通过发布文献求助,成功后即可免费获取论文全文。 去求助
来源期刊
Dermatopathology
Dermatopathology DERMATOLOGY-
自引率
5.30%
发文量
39
审稿时长
11 weeks
×
引用
GB/T 7714-2015
复制
MLA
复制
APA
复制
导出至
BibTeX EndNote RefMan NoteFirst NoteExpress
×
提示
您的信息不完整,为了账户安全,请先补充。
现在去补充
×
提示
您因"违规操作"
具体请查看互助需知
我知道了
×
提示
确定
请完成安全验证×
copy
已复制链接
快去分享给好友吧!
我知道了
右上角分享
点击右上角分享
0
联系我们:info@booksci.cn Book学术提供免费学术资源搜索服务,方便国内外学者检索中英文文献。致力于提供最便捷和优质的服务体验。 Copyright © 2023 布克学术 All rights reserved.
京ICP备2023020795号-1
ghs 京公网安备 11010802042870号
Book学术文献互助
Book学术文献互助群
群 号:604180095
Book学术官方微信