肘关节置换术治疗无法重建的肱骨远端骨折:一个病例系列。

IF 1.7 Q2 ORTHOPEDICS
Clinics in Shoulder and Elbow Pub Date : 2025-06-01 Epub Date: 2025-05-15 DOI:10.5397/cise.2024.01018
Ron Gurel, Shai Factor, Tamir Pritsch, Daniel Tordjman, Gilad Eisenberg, Oren Rudik, Tal Nativ, Yishai Rosenblatt
{"title":"肘关节置换术治疗无法重建的肱骨远端骨折:一个病例系列。","authors":"Ron Gurel, Shai Factor, Tamir Pritsch, Daniel Tordjman, Gilad Eisenberg, Oren Rudik, Tal Nativ, Yishai Rosenblatt","doi":"10.5397/cise.2024.01018","DOIUrl":null,"url":null,"abstract":"<p><strong>Background: </strong>To evaluate the outcomes of distal humerus hemiarthroplasty (DHH) in a series of eight consecutive patients with unreconstructible distal humeral fractures or failed open reduction and internal fixation (ORIF).</p><p><strong>Methods: </strong>Retrospective data including demographics, postoperative outcomes, and complications were extracted from electronic records at a level 1 trauma center. Surgeries were performed by a single fellowship-trained upper extremity surgeon. The indications for DHH were unreconstructible distal humerus fracture or failed ORIF. Eventually, as accepted by current literature, no weight restrictions were applied. Range of motion (ROM), functional scores, and pain levels were evaluated during follow-up appointments. Minimum follow-up time was 12 months.</p><p><strong>Results: </strong>Between 2014 and 2024, eight consecutive patients underwent DHH. The mean patient age at the time of surgery was 68.1 years, with an average follow-up of 46.6 months. Patients exhibited satisfactory ROM, with near-complete pronosupination and mean flexion and extension of 125° and 25°, respectively. Functional scores, including Quick Disabilities of the Arm, Shoulder and Hand score (35.2) and Mayo Elbow Performance Score (78.1), were good. Mean Numeric Pain Rating Scale was 3.9. Complications included two conversions to total elbow arthroplasty due to elbow instability and postoperative infection (staged conversion), one ligament reconstruction for postoperative elbow instability, two cases of ulnar periprosthetic fracture, and one case of ulnar nerve neuropathy.</p><p><strong>Conclusions: </strong>DHH for unreconstructible distal humerus fractures and failed ORIF allows for unrestricted postoperative lifting and yields satisfactory functional outcomes but does have a relatively high complication rate. Level of evidence: IV.</p>","PeriodicalId":33981,"journal":{"name":"Clinics in Shoulder and Elbow","volume":" ","pages":"180-186"},"PeriodicalIF":1.7000,"publicationDate":"2025-06-01","publicationTypes":"Journal Article","fieldsOfStudy":null,"isOpenAccess":false,"openAccessPdf":"https://www.ncbi.nlm.nih.gov/pmc/articles/PMC12151654/pdf/","citationCount":"0","resultStr":"{\"title\":\"Elbow hemiarthroplasty for unreconstructible distal humerus fractures: a case series.\",\"authors\":\"Ron Gurel, Shai Factor, Tamir Pritsch, Daniel Tordjman, Gilad Eisenberg, Oren Rudik, Tal Nativ, Yishai Rosenblatt\",\"doi\":\"10.5397/cise.2024.01018\",\"DOIUrl\":null,\"url\":null,\"abstract\":\"<p><strong>Background: </strong>To evaluate the outcomes of distal humerus hemiarthroplasty (DHH) in a series of eight consecutive patients with unreconstructible distal humeral fractures or failed open reduction and internal fixation (ORIF).</p><p><strong>Methods: </strong>Retrospective data including demographics, postoperative outcomes, and complications were extracted from electronic records at a level 1 trauma center. Surgeries were performed by a single fellowship-trained upper extremity surgeon. The indications for DHH were unreconstructible distal humerus fracture or failed ORIF. Eventually, as accepted by current literature, no weight restrictions were applied. Range of motion (ROM), functional scores, and pain levels were evaluated during follow-up appointments. Minimum follow-up time was 12 months.</p><p><strong>Results: </strong>Between 2014 and 2024, eight consecutive patients underwent DHH. The mean patient age at the time of surgery was 68.1 years, with an average follow-up of 46.6 months. Patients exhibited satisfactory ROM, with near-complete pronosupination and mean flexion and extension of 125° and 25°, respectively. Functional scores, including Quick Disabilities of the Arm, Shoulder and Hand score (35.2) and Mayo Elbow Performance Score (78.1), were good. Mean Numeric Pain Rating Scale was 3.9. Complications included two conversions to total elbow arthroplasty due to elbow instability and postoperative infection (staged conversion), one ligament reconstruction for postoperative elbow instability, two cases of ulnar periprosthetic fracture, and one case of ulnar nerve neuropathy.</p><p><strong>Conclusions: </strong>DHH for unreconstructible distal humerus fractures and failed ORIF allows for unrestricted postoperative lifting and yields satisfactory functional outcomes but does have a relatively high complication rate. Level of evidence: IV.</p>\",\"PeriodicalId\":33981,\"journal\":{\"name\":\"Clinics in Shoulder and Elbow\",\"volume\":\" \",\"pages\":\"180-186\"},\"PeriodicalIF\":1.7000,\"publicationDate\":\"2025-06-01\",\"publicationTypes\":\"Journal Article\",\"fieldsOfStudy\":null,\"isOpenAccess\":false,\"openAccessPdf\":\"https://www.ncbi.nlm.nih.gov/pmc/articles/PMC12151654/pdf/\",\"citationCount\":\"0\",\"resultStr\":null,\"platform\":\"Semanticscholar\",\"paperid\":null,\"PeriodicalName\":\"Clinics in Shoulder and Elbow\",\"FirstCategoryId\":\"1085\",\"ListUrlMain\":\"https://doi.org/10.5397/cise.2024.01018\",\"RegionNum\":0,\"RegionCategory\":null,\"ArticlePicture\":[],\"TitleCN\":null,\"AbstractTextCN\":null,\"PMCID\":null,\"EPubDate\":\"2025/5/15 0:00:00\",\"PubModel\":\"Epub\",\"JCR\":\"Q2\",\"JCRName\":\"ORTHOPEDICS\",\"Score\":null,\"Total\":0}","platform":"Semanticscholar","paperid":null,"PeriodicalName":"Clinics in Shoulder and Elbow","FirstCategoryId":"1085","ListUrlMain":"https://doi.org/10.5397/cise.2024.01018","RegionNum":0,"RegionCategory":null,"ArticlePicture":[],"TitleCN":null,"AbstractTextCN":null,"PMCID":null,"EPubDate":"2025/5/15 0:00:00","PubModel":"Epub","JCR":"Q2","JCRName":"ORTHOPEDICS","Score":null,"Total":0}
引用次数: 0

摘要

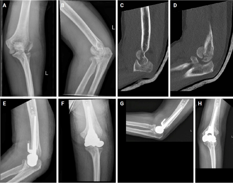
背景:评价肱骨远端半关节置换术(DHH)治疗8例肱骨远端骨折不可重建或切开复位内固定(ORIF)失败的患者的疗效。方法:回顾性资料包括人口统计学、术后结局和并发症,从一家一级创伤中心的电子记录中提取。手术由一名训练有素的上肢外科医生进行。DHH的适应症为肱骨远端不可重建骨折或ORIF失败。最终,正如当前文献所接受的那样,没有施加重量限制。在随访期间评估活动范围(ROM)、功能评分和疼痛水平。最小随访时间为12个月。结果:2014 - 2024年间,连续8例患者接受了DHH。手术时患者平均年龄为68.1岁,平均随访46.6个月。患者表现出满意的关节活动度,前旋接近完全,平均屈伸分别为125°和25°。功能评分,包括手臂、肩膀和手的快速残疾评分(35.2)和Mayo肘部表现评分(78.1),均良好。平均数值疼痛评定量表为3.9。并发症包括2例因肘关节不稳定和术后感染而进行全肘关节置换术(分期转换),1例因肘关节术后不稳定而进行韧带重建,2例尺假体周围骨折,1例尺神经病变。结论:对于无法重建的肱骨远端骨折和ORIF失败的DHH,允许无限制的术后抬起,并产生令人满意的功能结果,但确实有相对较高的并发症发生率。证据等级:四级。
本文章由计算机程序翻译,如有差异,请以英文原文为准。

Elbow hemiarthroplasty for unreconstructible distal humerus fractures: a case series.

Elbow hemiarthroplasty for unreconstructible distal humerus fractures: a case series.

Elbow hemiarthroplasty for unreconstructible distal humerus fractures: a case series.

Background: To evaluate the outcomes of distal humerus hemiarthroplasty (DHH) in a series of eight consecutive patients with unreconstructible distal humeral fractures or failed open reduction and internal fixation (ORIF).

Methods: Retrospective data including demographics, postoperative outcomes, and complications were extracted from electronic records at a level 1 trauma center. Surgeries were performed by a single fellowship-trained upper extremity surgeon. The indications for DHH were unreconstructible distal humerus fracture or failed ORIF. Eventually, as accepted by current literature, no weight restrictions were applied. Range of motion (ROM), functional scores, and pain levels were evaluated during follow-up appointments. Minimum follow-up time was 12 months.

Results: Between 2014 and 2024, eight consecutive patients underwent DHH. The mean patient age at the time of surgery was 68.1 years, with an average follow-up of 46.6 months. Patients exhibited satisfactory ROM, with near-complete pronosupination and mean flexion and extension of 125° and 25°, respectively. Functional scores, including Quick Disabilities of the Arm, Shoulder and Hand score (35.2) and Mayo Elbow Performance Score (78.1), were good. Mean Numeric Pain Rating Scale was 3.9. Complications included two conversions to total elbow arthroplasty due to elbow instability and postoperative infection (staged conversion), one ligament reconstruction for postoperative elbow instability, two cases of ulnar periprosthetic fracture, and one case of ulnar nerve neuropathy.

Conclusions: DHH for unreconstructible distal humerus fractures and failed ORIF allows for unrestricted postoperative lifting and yields satisfactory functional outcomes but does have a relatively high complication rate. Level of evidence: IV.

求助全文
通过发布文献求助,成功后即可免费获取论文全文。 去求助
来源期刊
CiteScore
0.30
自引率
0.00%
发文量
55
审稿时长
15 weeks
×
引用
GB/T 7714-2015
复制
MLA
复制
APA
复制
导出至
BibTeX EndNote RefMan NoteFirst NoteExpress
×
提示
您的信息不完整,为了账户安全,请先补充。
现在去补充
×
提示
您因"违规操作"
具体请查看互助需知
我知道了
×
提示
确定
请完成安全验证×
copy
已复制链接
快去分享给好友吧!
我知道了
右上角分享
点击右上角分享
0
联系我们:info@booksci.cn Book学术提供免费学术资源搜索服务,方便国内外学者检索中英文文献。致力于提供最便捷和优质的服务体验。 Copyright © 2023 布克学术 All rights reserved.
京ICP备2023020795号-1
ghs 京公网安备 11010802042870号
Book学术文献互助
Book学术文献互助群
群 号:604180095
Book学术官方微信