有机磷农药毒死蜱(来自不同地方来源)对成年雄性白化大鼠睾丸组织的影响。

Environmental analysis, health and toxicology Pub Date : 2025-03-01 Epub Date: 2025-03-31 DOI:10.5620/eaht.2025010
Rania A Mohamed, Heba Ali Abd El-Rahman
{"title":"有机磷农药毒死蜱(来自不同地方来源)对成年雄性白化大鼠睾丸组织的影响。","authors":"Rania A Mohamed, Heba Ali Abd El-Rahman","doi":"10.5620/eaht.2025010","DOIUrl":null,"url":null,"abstract":"<p><p>Chlorpyrifos is a widely used organophosphorus pesticide for agricultural purposes to control early disease in crops. Acting as an endocrine disrupting agent for male reproductive systems which leads to reproductive toxicity. Accordingly, this study aimed to investigate the potential mechanisms by which three commercial formulations of chlorpyrifos interfere with androgen receptor function and expression in male rats. The research was conducted according to the ethical guidelines established by the institutional animal care and use committee (IACUC), and the protocol received approval from Cairo University- Faculty of Science under approval number (CU/IF/12/23). Twenty-four male Wistar rats were equally allocated to four groups. The control group, chlorpyrifos groups orally received (17.43, 23.43, 21.40 mg/kg) for 28 days (5 days /week). The serum testosterone hormone was estimated, and the testes were collected, and fixed in 10% buffered formalin for histopathological and immunohistochemical examination. Results indicated that chlorpyrifos formulations caused a marked decrease in testosterone levels and downregulation of androgen receptor expression. Moreover, a significant reduction in tubular diameter, lumen diameter, and thickness of germinal epithelial cells was detected along with the Jonson score. In summary, exposure to the three chlorpyrifos formulations resulted in notable alterations in testosterone levels, decreased expression of androgen receptors, and compromised spermatogenesis, culminating in testicular damage and male infertility. Of the formulations assessed, chlorpyrifos-W was identified as the most effective disruptor of androgen signalling, demonstrating higher toxicity compared to the other formulations.</p>","PeriodicalId":101307,"journal":{"name":"Environmental analysis, health and toxicology","volume":"40 1","pages":"e2025010-0"},"PeriodicalIF":0.0000,"publicationDate":"2025-03-01","publicationTypes":"Journal Article","fieldsOfStudy":null,"isOpenAccess":false,"openAccessPdf":"https://www.ncbi.nlm.nih.gov/pmc/articles/PMC12187380/pdf/","citationCount":"0","resultStr":"{\"title\":\"The effect of an organophosphorus pesticide, chlorpyrifos (from different local sources), on the testicular tissue in adult male albino rats.\",\"authors\":\"Rania A Mohamed, Heba Ali Abd El-Rahman\",\"doi\":\"10.5620/eaht.2025010\",\"DOIUrl\":null,\"url\":null,\"abstract\":\"<p><p>Chlorpyrifos is a widely used organophosphorus pesticide for agricultural purposes to control early disease in crops. Acting as an endocrine disrupting agent for male reproductive systems which leads to reproductive toxicity. Accordingly, this study aimed to investigate the potential mechanisms by which three commercial formulations of chlorpyrifos interfere with androgen receptor function and expression in male rats. The research was conducted according to the ethical guidelines established by the institutional animal care and use committee (IACUC), and the protocol received approval from Cairo University- Faculty of Science under approval number (CU/IF/12/23). Twenty-four male Wistar rats were equally allocated to four groups. The control group, chlorpyrifos groups orally received (17.43, 23.43, 21.40 mg/kg) for 28 days (5 days /week). The serum testosterone hormone was estimated, and the testes were collected, and fixed in 10% buffered formalin for histopathological and immunohistochemical examination. Results indicated that chlorpyrifos formulations caused a marked decrease in testosterone levels and downregulation of androgen receptor expression. Moreover, a significant reduction in tubular diameter, lumen diameter, and thickness of germinal epithelial cells was detected along with the Jonson score. In summary, exposure to the three chlorpyrifos formulations resulted in notable alterations in testosterone levels, decreased expression of androgen receptors, and compromised spermatogenesis, culminating in testicular damage and male infertility. Of the formulations assessed, chlorpyrifos-W was identified as the most effective disruptor of androgen signalling, demonstrating higher toxicity compared to the other formulations.</p>\",\"PeriodicalId\":101307,\"journal\":{\"name\":\"Environmental analysis, health and toxicology\",\"volume\":\"40 1\",\"pages\":\"e2025010-0\"},\"PeriodicalIF\":0.0000,\"publicationDate\":\"2025-03-01\",\"publicationTypes\":\"Journal Article\",\"fieldsOfStudy\":null,\"isOpenAccess\":false,\"openAccessPdf\":\"https://www.ncbi.nlm.nih.gov/pmc/articles/PMC12187380/pdf/\",\"citationCount\":\"0\",\"resultStr\":null,\"platform\":\"Semanticscholar\",\"paperid\":null,\"PeriodicalName\":\"Environmental analysis, health and toxicology\",\"FirstCategoryId\":\"1085\",\"ListUrlMain\":\"https://doi.org/10.5620/eaht.2025010\",\"RegionNum\":0,\"RegionCategory\":null,\"ArticlePicture\":[],\"TitleCN\":null,\"AbstractTextCN\":null,\"PMCID\":null,\"EPubDate\":\"2025/3/31 0:00:00\",\"PubModel\":\"Epub\",\"JCR\":\"\",\"JCRName\":\"\",\"Score\":null,\"Total\":0}","platform":"Semanticscholar","paperid":null,"PeriodicalName":"Environmental analysis, health and toxicology","FirstCategoryId":"1085","ListUrlMain":"https://doi.org/10.5620/eaht.2025010","RegionNum":0,"RegionCategory":null,"ArticlePicture":[],"TitleCN":null,"AbstractTextCN":null,"PMCID":null,"EPubDate":"2025/3/31 0:00:00","PubModel":"Epub","JCR":"","JCRName":"","Score":null,"Total":0}
引用次数: 0

摘要

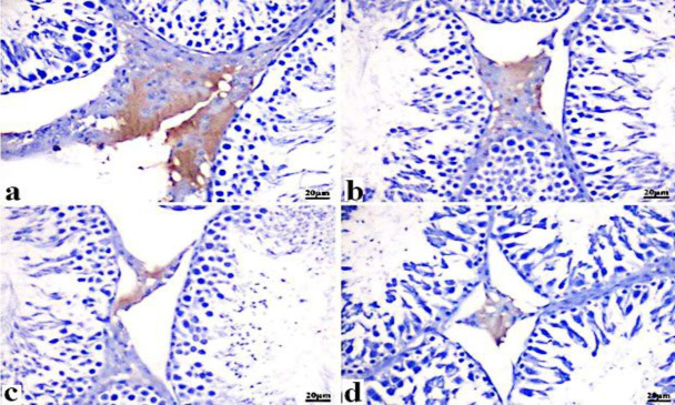
毒死蜱是一种广泛应用于农业的有机磷农药,用于控制作物的早期病害。作为男性生殖系统的内分泌干扰剂,导致生殖毒性。因此,本研究旨在探讨毒死蜱三种商业剂型对雄性大鼠雄激素受体功能和表达的潜在影响机制。本研究根据机构动物护理和使用委员会(IACUC)制定的伦理准则进行,该方案得到了开罗大学理学院的批准,批准号(CU/IF/12/23)。24只雄性Wistar大鼠平均分为4组。对照组,毒死蜱组(17.43、23.43、21.40 mg/kg)口服28 d (5 d /周)。测定血清睾酮水平,收集睾丸,用10%福尔马林缓冲液固定,进行组织病理学和免疫组织化学检查。结果表明,毒死蜱制剂可显著降低大鼠睾丸激素水平,下调雄激素受体表达。此外,在johnson评分中检测到管直径、管腔直径和生发上皮细胞厚度的显著减少。总之,暴露于三种毒死蜱制剂导致睾酮水平显著改变,雄激素受体表达减少,精子发生受损,最终导致睾丸损伤和男性不育。在评估的配方中,毒死蜱- w被确定为最有效的雄激素信号干扰物,与其他配方相比显示出更高的毒性。
本文章由计算机程序翻译,如有差异,请以英文原文为准。

The effect of an organophosphorus pesticide, chlorpyrifos (from different local sources), on the testicular tissue in adult male albino rats.

The effect of an organophosphorus pesticide, chlorpyrifos (from different local sources), on the testicular tissue in adult male albino rats.

The effect of an organophosphorus pesticide, chlorpyrifos (from different local sources), on the testicular tissue in adult male albino rats.

The effect of an organophosphorus pesticide, chlorpyrifos (from different local sources), on the testicular tissue in adult male albino rats.

Chlorpyrifos is a widely used organophosphorus pesticide for agricultural purposes to control early disease in crops. Acting as an endocrine disrupting agent for male reproductive systems which leads to reproductive toxicity. Accordingly, this study aimed to investigate the potential mechanisms by which three commercial formulations of chlorpyrifos interfere with androgen receptor function and expression in male rats. The research was conducted according to the ethical guidelines established by the institutional animal care and use committee (IACUC), and the protocol received approval from Cairo University- Faculty of Science under approval number (CU/IF/12/23). Twenty-four male Wistar rats were equally allocated to four groups. The control group, chlorpyrifos groups orally received (17.43, 23.43, 21.40 mg/kg) for 28 days (5 days /week). The serum testosterone hormone was estimated, and the testes were collected, and fixed in 10% buffered formalin for histopathological and immunohistochemical examination. Results indicated that chlorpyrifos formulations caused a marked decrease in testosterone levels and downregulation of androgen receptor expression. Moreover, a significant reduction in tubular diameter, lumen diameter, and thickness of germinal epithelial cells was detected along with the Jonson score. In summary, exposure to the three chlorpyrifos formulations resulted in notable alterations in testosterone levels, decreased expression of androgen receptors, and compromised spermatogenesis, culminating in testicular damage and male infertility. Of the formulations assessed, chlorpyrifos-W was identified as the most effective disruptor of androgen signalling, demonstrating higher toxicity compared to the other formulations.

求助全文
通过发布文献求助,成功后即可免费获取论文全文。 去求助
来源期刊
CiteScore
3.80
自引率
0.00%
发文量
0
×
引用
GB/T 7714-2015
复制
MLA
复制
APA
复制
导出至
BibTeX EndNote RefMan NoteFirst NoteExpress
×
提示
您的信息不完整,为了账户安全,请先补充。
现在去补充
×
提示
您因"违规操作"
具体请查看互助需知
我知道了
×
提示
确定
请完成安全验证×
copy
已复制链接
快去分享给好友吧!
我知道了
右上角分享
点击右上角分享
0
联系我们:info@booksci.cn Book学术提供免费学术资源搜索服务,方便国内外学者检索中英文文献。致力于提供最便捷和优质的服务体验。 Copyright © 2023 布克学术 All rights reserved.
京ICP备2023020795号-1
ghs 京公网安备 11010802042870号
Book学术文献互助
Book学术文献互助群
群 号:604180095
Book学术官方微信