万古霉素/聚己内酯纳米复合材料与姜黄素/聚己内酯纳米复合材料对兔胫骨实验性骨髓炎愈合的影响。

IF 1.1 4区 农林科学 Q3 ZOOLOGY
Veterinary Research Forum Pub Date : 2025-01-01 Epub Date: 2025-04-15 DOI:10.30466/vrf.2024.2028501.4268
Amirreza Hajati Ziabari, Alireza Jahandideh, Abolfazl Akbarzadeh, Pejman Mortazavi
{"title":"万古霉素/聚己内酯纳米复合材料与姜黄素/聚己内酯纳米复合材料对兔胫骨实验性骨髓炎愈合的影响。","authors":"Amirreza Hajati Ziabari, Alireza Jahandideh, Abolfazl Akbarzadeh, Pejman Mortazavi","doi":"10.30466/vrf.2024.2028501.4268","DOIUrl":null,"url":null,"abstract":"<p><p>Osteomyelitis is caused by the local spread of an infected source adjacent to the infection following trauma, bone surgery or joint replacement. The present study aimed to evaluate the effect of vancomycin (Van)/polycaprolactone (PCL) nanocomposite in comparison with curcumin (Cur)/PCL on the healing of experimental osteomyelitis in tibia in rabbits. After induction of osteomyelitis forty adult male New Zealand white rabbits were randomly divided into four groups. Control group: The animals were considered as controls and no scaffolds were used. In PCL/Van group, the created bone defects were filled with the combination of PCL and Van. In PCL/Cur, the created bone defects were filled with the combination of PCL and Cur. Polycaprolactone/Cur/Van group: The created bone defects were filled with the combination of PCL, Cur and Van. Bone samples were taken for histopathological evaluation on the 30<sup>th</sup> and 60<sup>th</sup> days. For radiological evaluations of the osteomyelitis, radiographs were prepared at time intervals zero (day of surgery), 15, 30, 45, and 60 days after surgery. In order to evaluate hematology, blood was taken on days 0 (day of surgery), 15, 30, 45, and 60. The results of the present study showed that Cur nanocomposite significantly improved the healing process of the rabbit tibia experimental osteomyelitis model compared to the control group. Also, the PCL/Cur/Van group showed the best healing results. In conclusion, PCL/Cur/Van nanocomposite scaffold showed positive effects on the healing process.</p>","PeriodicalId":23989,"journal":{"name":"Veterinary Research Forum","volume":"16 4","pages":"235-243"},"PeriodicalIF":1.1000,"publicationDate":"2025-01-01","publicationTypes":"Journal Article","fieldsOfStudy":null,"isOpenAccess":false,"openAccessPdf":"https://www.ncbi.nlm.nih.gov/pmc/articles/PMC12091260/pdf/","citationCount":"0","resultStr":"{\"title\":\"Evaluation of effects of vancomycin/polycaprolactone nanocomposite in comparison with curcumin/polycaprolactone on the healing of experimental osteomyelitis in rabbit tibia.\",\"authors\":\"Amirreza Hajati Ziabari, Alireza Jahandideh, Abolfazl Akbarzadeh, Pejman Mortazavi\",\"doi\":\"10.30466/vrf.2024.2028501.4268\",\"DOIUrl\":null,\"url\":null,\"abstract\":\"<p><p>Osteomyelitis is caused by the local spread of an infected source adjacent to the infection following trauma, bone surgery or joint replacement. The present study aimed to evaluate the effect of vancomycin (Van)/polycaprolactone (PCL) nanocomposite in comparison with curcumin (Cur)/PCL on the healing of experimental osteomyelitis in tibia in rabbits. After induction of osteomyelitis forty adult male New Zealand white rabbits were randomly divided into four groups. Control group: The animals were considered as controls and no scaffolds were used. In PCL/Van group, the created bone defects were filled with the combination of PCL and Van. In PCL/Cur, the created bone defects were filled with the combination of PCL and Cur. Polycaprolactone/Cur/Van group: The created bone defects were filled with the combination of PCL, Cur and Van. Bone samples were taken for histopathological evaluation on the 30<sup>th</sup> and 60<sup>th</sup> days. For radiological evaluations of the osteomyelitis, radiographs were prepared at time intervals zero (day of surgery), 15, 30, 45, and 60 days after surgery. In order to evaluate hematology, blood was taken on days 0 (day of surgery), 15, 30, 45, and 60. The results of the present study showed that Cur nanocomposite significantly improved the healing process of the rabbit tibia experimental osteomyelitis model compared to the control group. Also, the PCL/Cur/Van group showed the best healing results. In conclusion, PCL/Cur/Van nanocomposite scaffold showed positive effects on the healing process.</p>\",\"PeriodicalId\":23989,\"journal\":{\"name\":\"Veterinary Research Forum\",\"volume\":\"16 4\",\"pages\":\"235-243\"},\"PeriodicalIF\":1.1000,\"publicationDate\":\"2025-01-01\",\"publicationTypes\":\"Journal Article\",\"fieldsOfStudy\":null,\"isOpenAccess\":false,\"openAccessPdf\":\"https://www.ncbi.nlm.nih.gov/pmc/articles/PMC12091260/pdf/\",\"citationCount\":\"0\",\"resultStr\":null,\"platform\":\"Semanticscholar\",\"paperid\":null,\"PeriodicalName\":\"Veterinary Research Forum\",\"FirstCategoryId\":\"97\",\"ListUrlMain\":\"https://doi.org/10.30466/vrf.2024.2028501.4268\",\"RegionNum\":4,\"RegionCategory\":\"农林科学\",\"ArticlePicture\":[],\"TitleCN\":null,\"AbstractTextCN\":null,\"PMCID\":null,\"EPubDate\":\"2025/4/15 0:00:00\",\"PubModel\":\"Epub\",\"JCR\":\"Q3\",\"JCRName\":\"ZOOLOGY\",\"Score\":null,\"Total\":0}","platform":"Semanticscholar","paperid":null,"PeriodicalName":"Veterinary Research Forum","FirstCategoryId":"97","ListUrlMain":"https://doi.org/10.30466/vrf.2024.2028501.4268","RegionNum":4,"RegionCategory":"农林科学","ArticlePicture":[],"TitleCN":null,"AbstractTextCN":null,"PMCID":null,"EPubDate":"2025/4/15 0:00:00","PubModel":"Epub","JCR":"Q3","JCRName":"ZOOLOGY","Score":null,"Total":0}
引用次数: 0

摘要

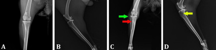
骨髓炎是由创伤、骨手术或关节置换术后感染源附近的局部扩散引起的。本研究旨在比较万古霉素/聚己内酯纳米复合材料与姜黄素/聚己内酯纳米复合材料对兔实验性胫骨骨髓炎愈合的影响。骨髓炎诱导后的成年雄性新西兰大白兔40只,随机分为4组。对照组:以动物为对照,不使用支架。PCL/Van组采用PCL + Van联合修复骨缺损。聚己内酯/Cur/Van组:采用PCL、Cur和Van联合充填的方法修复骨缺损。于第30天和第60天取骨标本进行组织病理学评价。为了对骨髓炎进行影像学评估,分别在术后0天(手术当天)、15天、30天、45天和60天拍摄x线片。为了评估血液学,在第0天(手术当天)、第15天、第30天、第45天和第60天采血。本研究结果表明,与对照组相比,Cur纳米复合材料显著改善了兔胫骨实验性骨髓炎模型的愈合过程。PCL/Cur/Van组愈合效果最好。综上所述,PCL/Cur/Van纳米复合支架在修复过程中表现出积极的作用。
本文章由计算机程序翻译,如有差异,请以英文原文为准。

Evaluation of effects of vancomycin/polycaprolactone nanocomposite in comparison with curcumin/polycaprolactone on the healing of experimental osteomyelitis in rabbit tibia.

Evaluation of effects of vancomycin/polycaprolactone nanocomposite in comparison with curcumin/polycaprolactone on the healing of experimental osteomyelitis in rabbit tibia.

Evaluation of effects of vancomycin/polycaprolactone nanocomposite in comparison with curcumin/polycaprolactone on the healing of experimental osteomyelitis in rabbit tibia.

Evaluation of effects of vancomycin/polycaprolactone nanocomposite in comparison with curcumin/polycaprolactone on the healing of experimental osteomyelitis in rabbit tibia.

Osteomyelitis is caused by the local spread of an infected source adjacent to the infection following trauma, bone surgery or joint replacement. The present study aimed to evaluate the effect of vancomycin (Van)/polycaprolactone (PCL) nanocomposite in comparison with curcumin (Cur)/PCL on the healing of experimental osteomyelitis in tibia in rabbits. After induction of osteomyelitis forty adult male New Zealand white rabbits were randomly divided into four groups. Control group: The animals were considered as controls and no scaffolds were used. In PCL/Van group, the created bone defects were filled with the combination of PCL and Van. In PCL/Cur, the created bone defects were filled with the combination of PCL and Cur. Polycaprolactone/Cur/Van group: The created bone defects were filled with the combination of PCL, Cur and Van. Bone samples were taken for histopathological evaluation on the 30th and 60th days. For radiological evaluations of the osteomyelitis, radiographs were prepared at time intervals zero (day of surgery), 15, 30, 45, and 60 days after surgery. In order to evaluate hematology, blood was taken on days 0 (day of surgery), 15, 30, 45, and 60. The results of the present study showed that Cur nanocomposite significantly improved the healing process of the rabbit tibia experimental osteomyelitis model compared to the control group. Also, the PCL/Cur/Van group showed the best healing results. In conclusion, PCL/Cur/Van nanocomposite scaffold showed positive effects on the healing process.

求助全文
通过发布文献求助,成功后即可免费获取论文全文。 去求助
来源期刊
Veterinary Research Forum
Veterinary Research Forum Veterinary-General Veterinary
CiteScore
1.50
自引率
0.00%
发文量
0
审稿时长
8 weeks
期刊介绍: Veterinary Research Forum (VRF) is a quarterly international journal committed to publish worldwide contributions on all aspects of veterinary science and medicine, including anatomy and histology, physiology and pharmacology, anatomic and clinical pathology, parasitology, microbiology, immunology and epidemiology, food hygiene, poultry science, fish and aquaculture, anesthesia and surgery, large and small animal internal medicine, large and small animal reproduction, biotechnology and diagnostic imaging of domestic, companion and farm animals.
×
引用
GB/T 7714-2015
复制
MLA
复制
APA
复制
导出至
BibTeX EndNote RefMan NoteFirst NoteExpress
×
提示
您的信息不完整,为了账户安全,请先补充。
现在去补充
×
提示
您因"违规操作"
具体请查看互助需知
我知道了
×
提示
确定
请完成安全验证×
copy
已复制链接
快去分享给好友吧!
我知道了
右上角分享
点击右上角分享
0
联系我们:info@booksci.cn Book学术提供免费学术资源搜索服务,方便国内外学者检索中英文文献。致力于提供最便捷和优质的服务体验。 Copyright © 2023 布克学术 All rights reserved.
京ICP备2023020795号-1
ghs 京公网安备 11010802042870号
Book学术文献互助
Book学术文献互助群
群 号:604180095
Book学术官方微信