牛A组轮状病毒、牛冠状病毒、大肠杆菌K99、隐孢子虫、贾第鞭毛虫腹泻的一步双工RT-PCR诊断:组织病理学和免疫色谱法。

IF 1.1 4区 农林科学 Q3 ZOOLOGY
Veterinary Research Forum Pub Date : 2025-01-01 Epub Date: 2025-04-15 DOI:10.30466/vrf.2024.2025299.4208
Bunyamin Irehan, Mustafa Ozkaraca, Irem Gulactı, Levent Sener, Muhammed Fatih Dursun
{"title":"牛A组轮状病毒、牛冠状病毒、大肠杆菌K99、隐孢子虫、贾第鞭毛虫腹泻的一步双工RT-PCR诊断:组织病理学和免疫色谱法。","authors":"Bunyamin Irehan, Mustafa Ozkaraca, Irem Gulactı, Levent Sener, Muhammed Fatih Dursun","doi":"10.30466/vrf.2024.2025299.4208","DOIUrl":null,"url":null,"abstract":"<p><p>Infections causing diarrhea in cattle breeding pose a substantial threat to calf breeding and health, causing considerable economic losses worldwide, including in Türkiye. The primary causative agents of calf diarrhea include bovine group A rotavirus, bovine coronavirus (BCoV), <i>Escherichia coli</i> K99, <i>Cryptosporidium</i> spp., and <i>Giardia</i> spp. The objective of this study was to diagnose the pathogens present in samples taken from calves exhibiting diarrhea symptoms in the Elaziğ province of Türkiye. The study material consisted of 85 fecal samples from calves up to 30 days of age with diarrhea symptoms and 42 small intestine samples from calves died as a result of diarrhea symptoms after necropsy. Following total RNA isolation from the samples, one-step duplex reverse transcription polymerase chain reaction (RT-PCR) analysis was conducted to identify the bovine rotavirus (BRV) and BCoV. Our results indicated that 24 of the samples were positive for BRV, 13 were positive for BCoV, and 25 were positive for BRV and BCoV in the form of mixed infection. The immunochromatographic analysis revealed that three samples were positive for <i>E. coli</i> K99 antigens, 12 for <i>Cryptosporidium</i> spp. antigens, and 28 for <i>Giardia</i> spp. antigens. Our results indicate that one-step duplex RT-PCR, immunohistochemistry, and immunochromatography methods can be valuable tests to be used in routine diagnostic laboratories for the detection of pathogens associated with calf diarrhea.</p>","PeriodicalId":23989,"journal":{"name":"Veterinary Research Forum","volume":"16 4","pages":"221-227"},"PeriodicalIF":1.1000,"publicationDate":"2025-01-01","publicationTypes":"Journal Article","fieldsOfStudy":null,"isOpenAccess":false,"openAccessPdf":"https://www.ncbi.nlm.nih.gov/pmc/articles/PMC12091263/pdf/","citationCount":"0","resultStr":"{\"title\":\"Diagnosis of bovine group A rotavirus, bovine coronavirus, <i>Escherichia</i> <i>coli</i> K99, <i>Cryptosporidium</i> spp., <i>Giardia</i> spp. in calf diarrhea with one-step duplex RT-PCR: histopathological and immunochromotographic methods.\",\"authors\":\"Bunyamin Irehan, Mustafa Ozkaraca, Irem Gulactı, Levent Sener, Muhammed Fatih Dursun\",\"doi\":\"10.30466/vrf.2024.2025299.4208\",\"DOIUrl\":null,\"url\":null,\"abstract\":\"<p><p>Infections causing diarrhea in cattle breeding pose a substantial threat to calf breeding and health, causing considerable economic losses worldwide, including in Türkiye. The primary causative agents of calf diarrhea include bovine group A rotavirus, bovine coronavirus (BCoV), <i>Escherichia coli</i> K99, <i>Cryptosporidium</i> spp., and <i>Giardia</i> spp. The objective of this study was to diagnose the pathogens present in samples taken from calves exhibiting diarrhea symptoms in the Elaziğ province of Türkiye. The study material consisted of 85 fecal samples from calves up to 30 days of age with diarrhea symptoms and 42 small intestine samples from calves died as a result of diarrhea symptoms after necropsy. Following total RNA isolation from the samples, one-step duplex reverse transcription polymerase chain reaction (RT-PCR) analysis was conducted to identify the bovine rotavirus (BRV) and BCoV. Our results indicated that 24 of the samples were positive for BRV, 13 were positive for BCoV, and 25 were positive for BRV and BCoV in the form of mixed infection. The immunochromatographic analysis revealed that three samples were positive for <i>E. coli</i> K99 antigens, 12 for <i>Cryptosporidium</i> spp. antigens, and 28 for <i>Giardia</i> spp. antigens. Our results indicate that one-step duplex RT-PCR, immunohistochemistry, and immunochromatography methods can be valuable tests to be used in routine diagnostic laboratories for the detection of pathogens associated with calf diarrhea.</p>\",\"PeriodicalId\":23989,\"journal\":{\"name\":\"Veterinary Research Forum\",\"volume\":\"16 4\",\"pages\":\"221-227\"},\"PeriodicalIF\":1.1000,\"publicationDate\":\"2025-01-01\",\"publicationTypes\":\"Journal Article\",\"fieldsOfStudy\":null,\"isOpenAccess\":false,\"openAccessPdf\":\"https://www.ncbi.nlm.nih.gov/pmc/articles/PMC12091263/pdf/\",\"citationCount\":\"0\",\"resultStr\":null,\"platform\":\"Semanticscholar\",\"paperid\":null,\"PeriodicalName\":\"Veterinary Research Forum\",\"FirstCategoryId\":\"97\",\"ListUrlMain\":\"https://doi.org/10.30466/vrf.2024.2025299.4208\",\"RegionNum\":4,\"RegionCategory\":\"农林科学\",\"ArticlePicture\":[],\"TitleCN\":null,\"AbstractTextCN\":null,\"PMCID\":null,\"EPubDate\":\"2025/4/15 0:00:00\",\"PubModel\":\"Epub\",\"JCR\":\"Q3\",\"JCRName\":\"ZOOLOGY\",\"Score\":null,\"Total\":0}","platform":"Semanticscholar","paperid":null,"PeriodicalName":"Veterinary Research Forum","FirstCategoryId":"97","ListUrlMain":"https://doi.org/10.30466/vrf.2024.2025299.4208","RegionNum":4,"RegionCategory":"农林科学","ArticlePicture":[],"TitleCN":null,"AbstractTextCN":null,"PMCID":null,"EPubDate":"2025/4/15 0:00:00","PubModel":"Epub","JCR":"Q3","JCRName":"ZOOLOGY","Score":null,"Total":0}
引用次数: 0

摘要

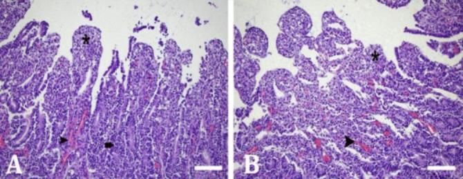
在养牛过程中引起腹泻的感染对小牛的饲养和健康构成重大威胁,在世界范围内造成相当大的经济损失,包括在土耳其。小牛腹泻的主要病原体包括牛A群轮状病毒、牛冠状病毒(BCoV)、大肠杆菌K99、隐孢子虫和贾第鞭毛虫。本研究的目的是诊断在土耳其埃拉济伊省出现腹泻症状的小牛样本中存在的病原体。研究材料包括85个30日龄以下有腹泻症状的犊牛粪便样本和42个尸检后因腹泻症状死亡的犊牛小肠样本。从样品中分离总RNA后,进行一步双反转录聚合酶链反应(RT-PCR)分析,鉴定牛轮状病毒(BRV)和BCoV。结果显示,24份样本BRV阳性,13份样本BCoV阳性,25份样本BRV和BCoV混合感染。免疫层析分析显示,大肠杆菌K99抗原阳性3份,隐孢子虫抗原阳性12份,贾第鞭毛虫抗原阳性28份。我们的研究结果表明,一步双相RT-PCR、免疫组织化学和免疫层析方法可用于常规诊断实验室检测犊牛腹泻相关病原体的有价值的测试。
本文章由计算机程序翻译,如有差异,请以英文原文为准。

Diagnosis of bovine group A rotavirus, bovine coronavirus, <i>Escherichia</i> <i>coli</i> K99, <i>Cryptosporidium</i> spp., <i>Giardia</i> spp. in calf diarrhea with one-step duplex RT-PCR: histopathological and immunochromotographic methods.

Diagnosis of bovine group A rotavirus, bovine coronavirus, <i>Escherichia</i> <i>coli</i> K99, <i>Cryptosporidium</i> spp., <i>Giardia</i> spp. in calf diarrhea with one-step duplex RT-PCR: histopathological and immunochromotographic methods.

Diagnosis of bovine group A rotavirus, bovine coronavirus, <i>Escherichia</i> <i>coli</i> K99, <i>Cryptosporidium</i> spp., <i>Giardia</i> spp. in calf diarrhea with one-step duplex RT-PCR: histopathological and immunochromotographic methods.

Diagnosis of bovine group A rotavirus, bovine coronavirus, Escherichia coli K99, Cryptosporidium spp., Giardia spp. in calf diarrhea with one-step duplex RT-PCR: histopathological and immunochromotographic methods.

Infections causing diarrhea in cattle breeding pose a substantial threat to calf breeding and health, causing considerable economic losses worldwide, including in Türkiye. The primary causative agents of calf diarrhea include bovine group A rotavirus, bovine coronavirus (BCoV), Escherichia coli K99, Cryptosporidium spp., and Giardia spp. The objective of this study was to diagnose the pathogens present in samples taken from calves exhibiting diarrhea symptoms in the Elaziğ province of Türkiye. The study material consisted of 85 fecal samples from calves up to 30 days of age with diarrhea symptoms and 42 small intestine samples from calves died as a result of diarrhea symptoms after necropsy. Following total RNA isolation from the samples, one-step duplex reverse transcription polymerase chain reaction (RT-PCR) analysis was conducted to identify the bovine rotavirus (BRV) and BCoV. Our results indicated that 24 of the samples were positive for BRV, 13 were positive for BCoV, and 25 were positive for BRV and BCoV in the form of mixed infection. The immunochromatographic analysis revealed that three samples were positive for E. coli K99 antigens, 12 for Cryptosporidium spp. antigens, and 28 for Giardia spp. antigens. Our results indicate that one-step duplex RT-PCR, immunohistochemistry, and immunochromatography methods can be valuable tests to be used in routine diagnostic laboratories for the detection of pathogens associated with calf diarrhea.

求助全文
通过发布文献求助,成功后即可免费获取论文全文。 去求助
来源期刊
Veterinary Research Forum
Veterinary Research Forum Veterinary-General Veterinary
CiteScore
1.50
自引率
0.00%
发文量
0
审稿时长
8 weeks
期刊介绍: Veterinary Research Forum (VRF) is a quarterly international journal committed to publish worldwide contributions on all aspects of veterinary science and medicine, including anatomy and histology, physiology and pharmacology, anatomic and clinical pathology, parasitology, microbiology, immunology and epidemiology, food hygiene, poultry science, fish and aquaculture, anesthesia and surgery, large and small animal internal medicine, large and small animal reproduction, biotechnology and diagnostic imaging of domestic, companion and farm animals.
×
引用
GB/T 7714-2015
复制
MLA
复制
APA
复制
导出至
BibTeX EndNote RefMan NoteFirst NoteExpress
×
提示
您的信息不完整,为了账户安全,请先补充。
现在去补充
×
提示
您因"违规操作"
具体请查看互助需知
我知道了
×
提示
确定
请完成安全验证×
copy
已复制链接
快去分享给好友吧!
我知道了
右上角分享
点击右上角分享
0
联系我们:info@booksci.cn Book学术提供免费学术资源搜索服务,方便国内外学者检索中英文文献。致力于提供最便捷和优质的服务体验。 Copyright © 2023 布克学术 All rights reserved.
京ICP备2023020795号-1
ghs 京公网安备 11010802042870号
Book学术文献互助
Book学术文献互助群
群 号:604180095
Book学术官方微信