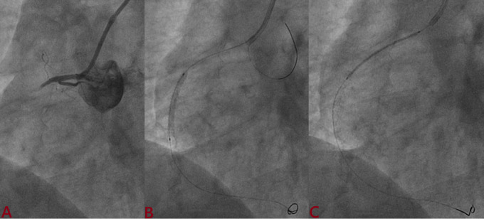
利用血管内超声(IVUS)评价新型超薄、可生物降解聚合物tetriflex(西罗莫司洗脱支架)在短冠状动脉病变(≤20mm)与长冠状动脉病变(≥20mm)中的优化效果:tetriflex IVUS研究。

IF 0.6 Q4 CARDIAC & CARDIOVASCULAR SYSTEMS
Najeeb Ullah Sofi, Mohit Sachan, Santosh Kumar Sinha, Mukesh J Jha, Umeshwar Pandey, Mahmodullah Razi, Awadesh K Sharma, Puneet Aggarwal, Praveen Shukla, Rakesh Varma
{"title":"利用血管内超声(IVUS)评价新型超薄、可生物降解聚合物tetriflex(西罗莫司洗脱支架)在短冠状动脉病变(≤20mm)与长冠状动脉病变(≥20mm)中的优化效果:tetriflex IVUS研究。","authors":"Najeeb Ullah Sofi, Mohit Sachan, Santosh Kumar Sinha, Mukesh J Jha, Umeshwar Pandey, Mahmodullah Razi, Awadesh K Sharma, Puneet Aggarwal, Praveen Shukla, Rakesh Varma","doi":"10.48305/arya.2024.41978.2912","DOIUrl":null,"url":null,"abstract":"<p><strong>Background: </strong>Intravascular ultrasound (IVUS)-guided percutaneous coronary intervention (PCI) is useful for stent optimization. Outcomes of the ultrathin Supralimus Tetriflex stent (Sahajanand Medical Technologies Pvt. Ltd., India) using IVUS were evaluated among patients with short (≤ 20 mm) versus long lesions (≥ 20 mm).</p><p><strong>Methods: </strong>A total of 207 patients underwent PCI, and IVUS was performed post-deployment. The primary outcome was optimal stent deployment, defined as (a) mean surface area (MSA) >5.0 mm²; (b) plaque burden <50%; (c) complete apposition; and (d) no edge dissection. Secondary outcomes were target lesion failure (TLF)-a composite of cardiac death, target vessel myocardial infarction (TVMI), and target lesion revascularization (TLR)-stent thrombosis, and major adverse cardiovascular events (MACE; a composite of death, MI, stent thrombosis, and repeat revascularization).</p><p><strong>Results: </strong>Suboptimal deployment was significantly more frequent among patients with longer lesions (30.1% vs. 23.3%; p=0.03) due to higher rates of malapposition (17.3% vs. 10.6%) and MSA <5 mm² (9.6% vs. 7.7%). Following post-dilatation, suboptimal deployment was observed in 7.6% and 5.8% of patients, respectively. Residual plaque burden was 4.5% and 5.7%, respectively. The MSA in both groups was 6.3 mm² and 6.5 mm². Minimum and mean stent expansions were 82.1% versus 81.7% and 106.3% versus 109.8%, respectively, with no significant differences. TLF and stent thrombosis were observed in 0.9% versus 0.9% and 2.9% versus 3.8% of patients, respectively, with no significant differences. However, MACE was significantly higher (10.5% vs. 8.7%; p=0.05) among patients with longer lesions.</p><p><strong>Conclusion: </strong>Supralimus Tetriflex stent has very good optimal deployment based on angiogram and becomes better with IVUS imaging, making it safe among long lesions (≥ 20mm).</p>","PeriodicalId":46477,"journal":{"name":"ARYA Atherosclerosis","volume":"21 1","pages":"22-35"},"PeriodicalIF":0.6000,"publicationDate":"2025-01-01","publicationTypes":"Journal Article","fieldsOfStudy":null,"isOpenAccess":false,"openAccessPdf":"https://www.ncbi.nlm.nih.gov/pmc/articles/PMC12091251/pdf/","citationCount":"0","resultStr":"{\"title\":\"Evaluation of novel ultrathin, biodegradable polymer tetriflex (sirolimus-eluting stent) optimization using intravascular ultrasound (IVUS) in short coronary lesion (≤ 20mm) vs. long coronary lesion (≥ 20mm): Tetriflex IVUS study.\",\"authors\":\"Najeeb Ullah Sofi, Mohit Sachan, Santosh Kumar Sinha, Mukesh J Jha, Umeshwar Pandey, Mahmodullah Razi, Awadesh K Sharma, Puneet Aggarwal, Praveen Shukla, Rakesh Varma\",\"doi\":\"10.48305/arya.2024.41978.2912\",\"DOIUrl\":null,\"url\":null,\"abstract\":\"<p><strong>Background: </strong>Intravascular ultrasound (IVUS)-guided percutaneous coronary intervention (PCI) is useful for stent optimization. Outcomes of the ultrathin Supralimus Tetriflex stent (Sahajanand Medical Technologies Pvt. Ltd., India) using IVUS were evaluated among patients with short (≤ 20 mm) versus long lesions (≥ 20 mm).</p><p><strong>Methods: </strong>A total of 207 patients underwent PCI, and IVUS was performed post-deployment. The primary outcome was optimal stent deployment, defined as (a) mean surface area (MSA) >5.0 mm²; (b) plaque burden <50%; (c) complete apposition; and (d) no edge dissection. Secondary outcomes were target lesion failure (TLF)-a composite of cardiac death, target vessel myocardial infarction (TVMI), and target lesion revascularization (TLR)-stent thrombosis, and major adverse cardiovascular events (MACE; a composite of death, MI, stent thrombosis, and repeat revascularization).</p><p><strong>Results: </strong>Suboptimal deployment was significantly more frequent among patients with longer lesions (30.1% vs. 23.3%; p=0.03) due to higher rates of malapposition (17.3% vs. 10.6%) and MSA <5 mm² (9.6% vs. 7.7%). Following post-dilatation, suboptimal deployment was observed in 7.6% and 5.8% of patients, respectively. Residual plaque burden was 4.5% and 5.7%, respectively. The MSA in both groups was 6.3 mm² and 6.5 mm². Minimum and mean stent expansions were 82.1% versus 81.7% and 106.3% versus 109.8%, respectively, with no significant differences. TLF and stent thrombosis were observed in 0.9% versus 0.9% and 2.9% versus 3.8% of patients, respectively, with no significant differences. However, MACE was significantly higher (10.5% vs. 8.7%; p=0.05) among patients with longer lesions.</p><p><strong>Conclusion: </strong>Supralimus Tetriflex stent has very good optimal deployment based on angiogram and becomes better with IVUS imaging, making it safe among long lesions (≥ 20mm).</p>\",\"PeriodicalId\":46477,\"journal\":{\"name\":\"ARYA Atherosclerosis\",\"volume\":\"21 1\",\"pages\":\"22-35\"},\"PeriodicalIF\":0.6000,\"publicationDate\":\"2025-01-01\",\"publicationTypes\":\"Journal Article\",\"fieldsOfStudy\":null,\"isOpenAccess\":false,\"openAccessPdf\":\"https://www.ncbi.nlm.nih.gov/pmc/articles/PMC12091251/pdf/\",\"citationCount\":\"0\",\"resultStr\":null,\"platform\":\"Semanticscholar\",\"paperid\":null,\"PeriodicalName\":\"ARYA Atherosclerosis\",\"FirstCategoryId\":\"1085\",\"ListUrlMain\":\"https://doi.org/10.48305/arya.2024.41978.2912\",\"RegionNum\":0,\"RegionCategory\":null,\"ArticlePicture\":[],\"TitleCN\":null,\"AbstractTextCN\":null,\"PMCID\":null,\"EPubDate\":\"\",\"PubModel\":\"\",\"JCR\":\"Q4\",\"JCRName\":\"CARDIAC & CARDIOVASCULAR SYSTEMS\",\"Score\":null,\"Total\":0}","platform":"Semanticscholar","paperid":null,"PeriodicalName":"ARYA Atherosclerosis","FirstCategoryId":"1085","ListUrlMain":"https://doi.org/10.48305/arya.2024.41978.2912","RegionNum":0,"RegionCategory":null,"ArticlePicture":[],"TitleCN":null,"AbstractTextCN":null,"PMCID":null,"EPubDate":"","PubModel":"","JCR":"Q4","JCRName":"CARDIAC & CARDIOVASCULAR SYSTEMS","Score":null,"Total":0}
引用次数: 0

摘要

背景:血管内超声(IVUS)引导下的经皮冠状动脉介入治疗(PCI)有助于支架优化。超薄superalimus Tetriflex支架(Sahajanand Medical Technologies ppt . Ltd., India)使用IVUS在短(≤20mm)和长(≥20mm)病变患者中进行疗效评估。方法:共207例患者行PCI,部署后行IVUS。主要结局是最佳支架部署,定义为(a)平均表面积(MSA) >5.0 mm²;(b)斑块负担结果:在较长病变的患者中,次优部署明显更频繁(30.1% vs. 23.3%;结论:Tetriflex支架在血管造影上具有很好的最佳部署效果,IVUS成像效果更好,对于长病变(≥20mm)是安全的。
本文章由计算机程序翻译,如有差异,请以英文原文为准。

Evaluation of novel ultrathin, biodegradable polymer tetriflex (sirolimus-eluting stent) optimization using intravascular ultrasound (IVUS) in short coronary lesion (≤ 20mm) vs. long coronary lesion (≥ 20mm): Tetriflex IVUS study.

Evaluation of novel ultrathin, biodegradable polymer tetriflex (sirolimus-eluting stent) optimization using intravascular ultrasound (IVUS) in short coronary lesion (≤ 20mm) vs. long coronary lesion (≥ 20mm): Tetriflex IVUS study.

Evaluation of novel ultrathin, biodegradable polymer tetriflex (sirolimus-eluting stent) optimization using intravascular ultrasound (IVUS) in short coronary lesion (≤ 20mm) vs. long coronary lesion (≥ 20mm): Tetriflex IVUS study.

Evaluation of novel ultrathin, biodegradable polymer tetriflex (sirolimus-eluting stent) optimization using intravascular ultrasound (IVUS) in short coronary lesion (≤ 20mm) vs. long coronary lesion (≥ 20mm): Tetriflex IVUS study.

Background: Intravascular ultrasound (IVUS)-guided percutaneous coronary intervention (PCI) is useful for stent optimization. Outcomes of the ultrathin Supralimus Tetriflex stent (Sahajanand Medical Technologies Pvt. Ltd., India) using IVUS were evaluated among patients with short (≤ 20 mm) versus long lesions (≥ 20 mm).

Methods: A total of 207 patients underwent PCI, and IVUS was performed post-deployment. The primary outcome was optimal stent deployment, defined as (a) mean surface area (MSA) >5.0 mm²; (b) plaque burden <50%; (c) complete apposition; and (d) no edge dissection. Secondary outcomes were target lesion failure (TLF)-a composite of cardiac death, target vessel myocardial infarction (TVMI), and target lesion revascularization (TLR)-stent thrombosis, and major adverse cardiovascular events (MACE; a composite of death, MI, stent thrombosis, and repeat revascularization).

Results: Suboptimal deployment was significantly more frequent among patients with longer lesions (30.1% vs. 23.3%; p=0.03) due to higher rates of malapposition (17.3% vs. 10.6%) and MSA <5 mm² (9.6% vs. 7.7%). Following post-dilatation, suboptimal deployment was observed in 7.6% and 5.8% of patients, respectively. Residual plaque burden was 4.5% and 5.7%, respectively. The MSA in both groups was 6.3 mm² and 6.5 mm². Minimum and mean stent expansions were 82.1% versus 81.7% and 106.3% versus 109.8%, respectively, with no significant differences. TLF and stent thrombosis were observed in 0.9% versus 0.9% and 2.9% versus 3.8% of patients, respectively, with no significant differences. However, MACE was significantly higher (10.5% vs. 8.7%; p=0.05) among patients with longer lesions.

Conclusion: Supralimus Tetriflex stent has very good optimal deployment based on angiogram and becomes better with IVUS imaging, making it safe among long lesions (≥ 20mm).

求助全文
通过发布文献求助,成功后即可免费获取论文全文。 去求助
来源期刊
ARYA Atherosclerosis
ARYA Atherosclerosis CARDIAC & CARDIOVASCULAR SYSTEMS-
CiteScore
1.00
自引率
0.00%
发文量
0
审稿时长
18 weeks
×
引用
GB/T 7714-2015
复制
MLA
复制
APA
复制
导出至
BibTeX EndNote RefMan NoteFirst NoteExpress
×
提示
您的信息不完整,为了账户安全,请先补充。
现在去补充
×
提示
您因"违规操作"
具体请查看互助需知
我知道了
×
提示
确定
请完成安全验证×
copy
已复制链接
快去分享给好友吧!
我知道了
右上角分享
点击右上角分享
0
联系我们:info@booksci.cn Book学术提供免费学术资源搜索服务,方便国内外学者检索中英文文献。致力于提供最便捷和优质的服务体验。 Copyright © 2023 布克学术 All rights reserved.
京ICP备2023020795号-1
ghs 京公网安备 11010802042870号
Book学术文献互助
Book学术文献互助群
群 号:604180095
Book学术官方微信