双“动态”气囊房间隔造口术。对Rashkind医生房间隔增厚病例技术的新改进。

José L Colín-Ortiz, Roberto Silva-Quijano, Jorge Alberto Silva-Estrada, Roberto I Maldonado-Alonso, Ever Munive-Molina, Linda F Pérez-Pérez, Rigoberto Zamudio-Meneses, Carlos A Corona-Villalobos, Hugo Cabrera-González, Roberto Tepatzi-Carranco, Sylvia K Sánchez-González, Luis Martin Garrido-García, Alfredo Bobadilla-Aguirre, Javier López-Terrazas
{"title":"双“动态”气囊房间隔造口术。对Rashkind医生房间隔增厚病例技术的新改进。","authors":"José L Colín-Ortiz, Roberto Silva-Quijano, Jorge Alberto Silva-Estrada, Roberto I Maldonado-Alonso, Ever Munive-Molina, Linda F Pérez-Pérez, Rigoberto Zamudio-Meneses, Carlos A Corona-Villalobos, Hugo Cabrera-González, Roberto Tepatzi-Carranco, Sylvia K Sánchez-González, Luis Martin Garrido-García, Alfredo Bobadilla-Aguirre, Javier López-Terrazas","doi":"10.24875/ACM.24000128","DOIUrl":null,"url":null,"abstract":"<p><strong>Objectives: </strong>Balloon atrial septostomy (BAS) is a palliative procedure mainly for newborns with transposition of the great arteries, currently, this procedure has a class IA recommendation. However, in some cases, this procedure does not achieve an adequate interatrial defect, due mainly to a thickened interatrial septum, this situation led to the development of various techniques to tackle this problem. Therefore, we made a modification to the original technique using two balloons simultaneously instead of one. The objective of this study is to analyze the results of this new modification to the traditional technique (with one balloon) as an alternative for cases with thickened interatrial septum.</p><p><strong>Methods: </strong>A retrospective and descriptive study from May 2010 to December 2022 was conducted in three pediatric centers.</p><p><strong>Results: </strong>Six patients were identified (median age 35 days, median weight 3.4 kg, median size of atrial septal defect before procedure 2.6 mm). All patients underwent to this modification of the BAS with good results and without complications. The modification has some advantages: including to avoid the using of cutting devices or stent placement. In addition, we share the description of this new technique, titled: double \"dynamic\" BAS.</p><p><strong>Conclusion: </strong>This brief evidence shown that this modification of de original technique is easy, safe, and cost-effective for cases with a thickened interatrial septum.</p>","PeriodicalId":93885,"journal":{"name":"Archivos de cardiologia de Mexico","volume":" ","pages":"206-214"},"PeriodicalIF":0.0000,"publicationDate":"2025-05-07","publicationTypes":"Journal Article","fieldsOfStudy":null,"isOpenAccess":false,"openAccessPdf":"https://www.ncbi.nlm.nih.gov/pmc/articles/PMC12324840/pdf/","citationCount":"0","resultStr":"{\"title\":\"Double \\\"dynamic\\\" balloon atrial septostomy. New modification of Dr. Rashkind's technique for cases with thickened interatrial septum.\",\"authors\":\"José L Colín-Ortiz, Roberto Silva-Quijano, Jorge Alberto Silva-Estrada, Roberto I Maldonado-Alonso, Ever Munive-Molina, Linda F Pérez-Pérez, Rigoberto Zamudio-Meneses, Carlos A Corona-Villalobos, Hugo Cabrera-González, Roberto Tepatzi-Carranco, Sylvia K Sánchez-González, Luis Martin Garrido-García, Alfredo Bobadilla-Aguirre, Javier López-Terrazas\",\"doi\":\"10.24875/ACM.24000128\",\"DOIUrl\":null,\"url\":null,\"abstract\":\"<p><strong>Objectives: </strong>Balloon atrial septostomy (BAS) is a palliative procedure mainly for newborns with transposition of the great arteries, currently, this procedure has a class IA recommendation. However, in some cases, this procedure does not achieve an adequate interatrial defect, due mainly to a thickened interatrial septum, this situation led to the development of various techniques to tackle this problem. Therefore, we made a modification to the original technique using two balloons simultaneously instead of one. The objective of this study is to analyze the results of this new modification to the traditional technique (with one balloon) as an alternative for cases with thickened interatrial septum.</p><p><strong>Methods: </strong>A retrospective and descriptive study from May 2010 to December 2022 was conducted in three pediatric centers.</p><p><strong>Results: </strong>Six patients were identified (median age 35 days, median weight 3.4 kg, median size of atrial septal defect before procedure 2.6 mm). All patients underwent to this modification of the BAS with good results and without complications. The modification has some advantages: including to avoid the using of cutting devices or stent placement. In addition, we share the description of this new technique, titled: double \\\"dynamic\\\" BAS.</p><p><strong>Conclusion: </strong>This brief evidence shown that this modification of de original technique is easy, safe, and cost-effective for cases with a thickened interatrial septum.</p>\",\"PeriodicalId\":93885,\"journal\":{\"name\":\"Archivos de cardiologia de Mexico\",\"volume\":\" \",\"pages\":\"206-214\"},\"PeriodicalIF\":0.0000,\"publicationDate\":\"2025-05-07\",\"publicationTypes\":\"Journal Article\",\"fieldsOfStudy\":null,\"isOpenAccess\":false,\"openAccessPdf\":\"https://www.ncbi.nlm.nih.gov/pmc/articles/PMC12324840/pdf/\",\"citationCount\":\"0\",\"resultStr\":null,\"platform\":\"Semanticscholar\",\"paperid\":null,\"PeriodicalName\":\"Archivos de cardiologia de Mexico\",\"FirstCategoryId\":\"1085\",\"ListUrlMain\":\"https://doi.org/10.24875/ACM.24000128\",\"RegionNum\":0,\"RegionCategory\":null,\"ArticlePicture\":[],\"TitleCN\":null,\"AbstractTextCN\":null,\"PMCID\":null,\"EPubDate\":\"\",\"PubModel\":\"\",\"JCR\":\"\",\"JCRName\":\"\",\"Score\":null,\"Total\":0}","platform":"Semanticscholar","paperid":null,"PeriodicalName":"Archivos de cardiologia de Mexico","FirstCategoryId":"1085","ListUrlMain":"https://doi.org/10.24875/ACM.24000128","RegionNum":0,"RegionCategory":null,"ArticlePicture":[],"TitleCN":null,"AbstractTextCN":null,"PMCID":null,"EPubDate":"","PubModel":"","JCR":"","JCRName":"","Score":null,"Total":0}
引用次数: 0

摘要

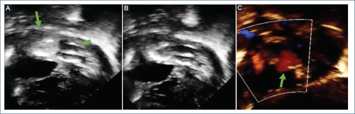
目的:球囊房间隔造口术(BAS)是一种主要用于新生儿大动脉转位的姑息性手术,目前,该手术被推荐为IA级手术。然而,在某些情况下,这种方法不能达到充分的房间缺损,主要是由于房间隔增厚,这种情况导致了各种技术的发展来解决这个问题。因此,我们对原来的技术进行了修改,用两个气球同时进行,而不是一个。本研究的目的是分析这种新改良的传统技术(一个球囊)作为房间隔增厚病例的替代方法的结果。方法:2010年5月至2022年12月在三家儿科中心进行回顾性和描述性研究。结果:确定了6例患者(中位年龄35天,中位体重3.4 kg,术前房间隔缺损中位尺寸2.6 mm)。所有患者均接受了BAS的改良,效果良好,无并发症。这种修改有一些优点:包括避免使用切割装置或支架放置。此外,我们分享了这项新技术的描述,标题为:双“动态”BAS。结论:这一简短的证据表明,对于房间隔增厚的病例,这种对原技术的修改是简单、安全、经济的。
本文章由计算机程序翻译,如有差异,请以英文原文为准。

Double "dynamic" balloon atrial septostomy. New modification of Dr. Rashkind's technique for cases with thickened interatrial septum.

Double "dynamic" balloon atrial septostomy. New modification of Dr. Rashkind's technique for cases with thickened interatrial septum.

Double "dynamic" balloon atrial septostomy. New modification of Dr. Rashkind's technique for cases with thickened interatrial septum.

Double "dynamic" balloon atrial septostomy. New modification of Dr. Rashkind's technique for cases with thickened interatrial septum.

Objectives: Balloon atrial septostomy (BAS) is a palliative procedure mainly for newborns with transposition of the great arteries, currently, this procedure has a class IA recommendation. However, in some cases, this procedure does not achieve an adequate interatrial defect, due mainly to a thickened interatrial septum, this situation led to the development of various techniques to tackle this problem. Therefore, we made a modification to the original technique using two balloons simultaneously instead of one. The objective of this study is to analyze the results of this new modification to the traditional technique (with one balloon) as an alternative for cases with thickened interatrial septum.

Methods: A retrospective and descriptive study from May 2010 to December 2022 was conducted in three pediatric centers.

Results: Six patients were identified (median age 35 days, median weight 3.4 kg, median size of atrial septal defect before procedure 2.6 mm). All patients underwent to this modification of the BAS with good results and without complications. The modification has some advantages: including to avoid the using of cutting devices or stent placement. In addition, we share the description of this new technique, titled: double "dynamic" BAS.

Conclusion: This brief evidence shown that this modification of de original technique is easy, safe, and cost-effective for cases with a thickened interatrial septum.

求助全文
通过发布文献求助,成功后即可免费获取论文全文。 去求助
来源期刊
自引率
0.00%
发文量
0
×
引用
GB/T 7714-2015
复制
MLA
复制
APA
复制
导出至
BibTeX EndNote RefMan NoteFirst NoteExpress
×
提示
您的信息不完整,为了账户安全,请先补充。
现在去补充
×
提示
您因"违规操作"
具体请查看互助需知
我知道了
×
提示
确定
请完成安全验证×
copy
已复制链接
快去分享给好友吧!
我知道了
右上角分享
点击右上角分享
0
联系我们:info@booksci.cn Book学术提供免费学术资源搜索服务,方便国内外学者检索中英文文献。致力于提供最便捷和优质的服务体验。 Copyright © 2023 布克学术 All rights reserved.
京ICP备2023020795号-1
ghs 京公网安备 11010802042870号
Book学术文献互助
Book学术文献互助群
群 号:604180095
Book学术官方微信