类风湿关节炎患者的Whipple病最初表现为锁骨上淋巴结病:诊断挑战。

IF 1 4区 医学 Q4 PATHOLOGY
Sara E Amin, Swati Gite, Audrey Wanger, Violeta Chavez, Jacob Armstrong, Beenu Thakral, Patricia Navarro, Jennifer Makhoul, Amer Wahed, Navneet Narula, Karan Saluja
{"title":"类风湿关节炎患者的Whipple病最初表现为锁骨上淋巴结病:诊断挑战。","authors":"Sara E Amin, Swati Gite, Audrey Wanger, Violeta Chavez, Jacob Armstrong, Beenu Thakral, Patricia Navarro, Jennifer Makhoul, Amer Wahed, Navneet Narula, Karan Saluja","doi":"10.1177/10668969251342475","DOIUrl":null,"url":null,"abstract":"<p><p>Whipple disease is a rare systemic disease caused by <i>Tropheryma whipplei.</i> It can present with a wide range of nonspecific symptoms that might overlap with underlying medical conditions, posing a diagnostic challenge. We present a 61-year-old man with a past medical history of rheumatoid arthritis and chronic inflammatory demyelinating polyneuropathy, who presented with persistent leukocytosis and supraclavicular lymphadenopathy. A positron emission tomography scan revealed hypermetabolic activity in the supraclavicular, abdominal, and pelvic lymph nodes along with a myocardial hypermetabolic lesion, concerning a lymphoproliferative disorder versus sarcoidosis. A supraclavicular lymph node excisional biopsy revealed complete architectural effacement by a diffuse foamy histiocytic infiltrate without granuloma formation or necrosis. The differential diagnosis included underlying infection, histiocytic neoplasm, lymphoproliferative disorder, storage disorder, and others. Immunostains show the histiocytic cells were positive for CD68 and CD163, while negative for S100, CD1a, kappa, lambda, and BRAF V600E. Grocott-Gömöri's methenamine silver and periodic acid-Schiff (PAS) stains demonstrated diffuse intracytoplasmic granular staining that was resistant to diastase treatment. Gram, acid fast bacilli, and Fite stains were negative. Electron microscopy revealed rod-shaped organisms with a trilaminar plasma membrane, morphologically consistent with <i>T whipplei.</i> Polymerase chain reaction was positive for <i>T whipplei</i>, confirming the diagnosis. Although rare, Whipple disease should be considered in immunocompromised patients presenting with nonspecific nongastrointestinal symptoms and lymphadenopathy clinically simulating lymphoma. Periodic acid-Schiff D-positive inclusions, along with confirmatory molecular results, are crucial for diagnosis. Whipple disease is a curable disease that can be lethal if unrecognized, emphasizing the importance of heightened awareness for early diagnosis and timely treatment.</p>","PeriodicalId":14416,"journal":{"name":"International Journal of Surgical Pathology","volume":" ","pages":"1816-1823"},"PeriodicalIF":1.0000,"publicationDate":"2025-12-01","publicationTypes":"Journal Article","fieldsOfStudy":null,"isOpenAccess":false,"openAccessPdf":"https://www.ncbi.nlm.nih.gov/pmc/articles/PMC12446694/pdf/","citationCount":"0","resultStr":"{\"title\":\"Whipple Disease Initial Presentation as Supraclavicular Lymphadenopathy in a Patient With Rheumatoid Arthritis: A Diagnostic Challenge.\",\"authors\":\"Sara E Amin, Swati Gite, Audrey Wanger, Violeta Chavez, Jacob Armstrong, Beenu Thakral, Patricia Navarro, Jennifer Makhoul, Amer Wahed, Navneet Narula, Karan Saluja\",\"doi\":\"10.1177/10668969251342475\",\"DOIUrl\":null,\"url\":null,\"abstract\":\"<p><p>Whipple disease is a rare systemic disease caused by <i>Tropheryma whipplei.</i> It can present with a wide range of nonspecific symptoms that might overlap with underlying medical conditions, posing a diagnostic challenge. We present a 61-year-old man with a past medical history of rheumatoid arthritis and chronic inflammatory demyelinating polyneuropathy, who presented with persistent leukocytosis and supraclavicular lymphadenopathy. A positron emission tomography scan revealed hypermetabolic activity in the supraclavicular, abdominal, and pelvic lymph nodes along with a myocardial hypermetabolic lesion, concerning a lymphoproliferative disorder versus sarcoidosis. A supraclavicular lymph node excisional biopsy revealed complete architectural effacement by a diffuse foamy histiocytic infiltrate without granuloma formation or necrosis. The differential diagnosis included underlying infection, histiocytic neoplasm, lymphoproliferative disorder, storage disorder, and others. Immunostains show the histiocytic cells were positive for CD68 and CD163, while negative for S100, CD1a, kappa, lambda, and BRAF V600E. Grocott-Gömöri's methenamine silver and periodic acid-Schiff (PAS) stains demonstrated diffuse intracytoplasmic granular staining that was resistant to diastase treatment. Gram, acid fast bacilli, and Fite stains were negative. Electron microscopy revealed rod-shaped organisms with a trilaminar plasma membrane, morphologically consistent with <i>T whipplei.</i> Polymerase chain reaction was positive for <i>T whipplei</i>, confirming the diagnosis. Although rare, Whipple disease should be considered in immunocompromised patients presenting with nonspecific nongastrointestinal symptoms and lymphadenopathy clinically simulating lymphoma. Periodic acid-Schiff D-positive inclusions, along with confirmatory molecular results, are crucial for diagnosis. Whipple disease is a curable disease that can be lethal if unrecognized, emphasizing the importance of heightened awareness for early diagnosis and timely treatment.</p>\",\"PeriodicalId\":14416,\"journal\":{\"name\":\"International Journal of Surgical Pathology\",\"volume\":\" \",\"pages\":\"1816-1823\"},\"PeriodicalIF\":1.0000,\"publicationDate\":\"2025-12-01\",\"publicationTypes\":\"Journal Article\",\"fieldsOfStudy\":null,\"isOpenAccess\":false,\"openAccessPdf\":\"https://www.ncbi.nlm.nih.gov/pmc/articles/PMC12446694/pdf/\",\"citationCount\":\"0\",\"resultStr\":null,\"platform\":\"Semanticscholar\",\"paperid\":null,\"PeriodicalName\":\"International Journal of Surgical Pathology\",\"FirstCategoryId\":\"3\",\"ListUrlMain\":\"https://doi.org/10.1177/10668969251342475\",\"RegionNum\":4,\"RegionCategory\":\"医学\",\"ArticlePicture\":[],\"TitleCN\":null,\"AbstractTextCN\":null,\"PMCID\":null,\"EPubDate\":\"2025/5/21 0:00:00\",\"PubModel\":\"Epub\",\"JCR\":\"Q4\",\"JCRName\":\"PATHOLOGY\",\"Score\":null,\"Total\":0}","platform":"Semanticscholar","paperid":null,"PeriodicalName":"International Journal of Surgical Pathology","FirstCategoryId":"3","ListUrlMain":"https://doi.org/10.1177/10668969251342475","RegionNum":4,"RegionCategory":"医学","ArticlePicture":[],"TitleCN":null,"AbstractTextCN":null,"PMCID":null,"EPubDate":"2025/5/21 0:00:00","PubModel":"Epub","JCR":"Q4","JCRName":"PATHOLOGY","Score":null,"Total":0}
引用次数: 0

摘要

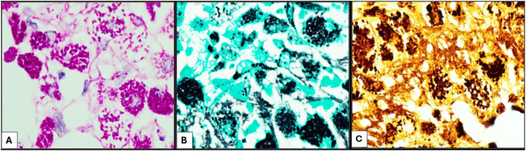
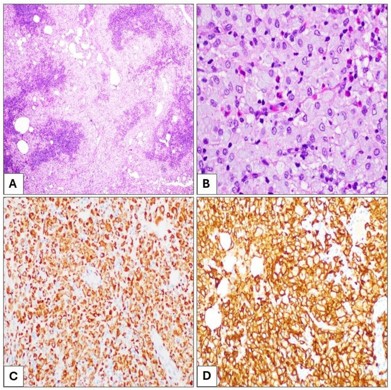
惠普尔病是一种罕见的全身性疾病,由惠普尔滋养瘤引起。它可以表现出广泛的非特异性症状,可能与潜在的医疗条件重叠,构成诊断挑战。我们报告一位61岁男性,既往有类风湿关节炎和慢性炎症性脱髓鞘多神经病变病史,表现为持续白细胞增多和锁骨上淋巴结病。正电子发射断层扫描显示锁骨上、腹部和盆腔淋巴结的高代谢活动,并伴有心肌高代谢病变,与淋巴增生性疾病和结节病有关。锁骨上淋巴结切除活检显示完全的建筑消失,弥漫性泡沫组织细胞浸润,无肉芽肿形成或坏死。鉴别诊断包括潜在感染、组织细胞肿瘤、淋巴增生性疾病、储存障碍等。免疫染色显示组织细胞CD68和CD163阳性,而S100、CD1a、kappa、lambda和BRAF V600E阴性。Grocott-Gömöri的甲基胺银和周期性酸希夫(PAS)染色显示弥漫性胞浆内颗粒染色,对淀粉酶治疗具有抗性。革兰氏染色、抗酸杆菌染色、菲特染色均为阴性。电镜显示杆状生物具有三层质膜,形态上与鞭虫一致。聚合酶链反应阳性的惠氏T,确认诊断。虽然罕见,但在出现非特异性非胃肠道症状和临床模拟淋巴瘤的淋巴结病变的免疫功能低下患者中应考虑惠普尔病。周期性的酸-希夫d阳性包涵体以及确定的分子结果对诊断至关重要。惠普尔病是一种可治愈的疾病,如果不被发现,可能是致命的,强调了提高对早期诊断和及时治疗的认识的重要性。
本文章由计算机程序翻译,如有差异,请以英文原文为准。

Whipple Disease Initial Presentation as Supraclavicular Lymphadenopathy in a Patient With Rheumatoid Arthritis: A Diagnostic Challenge.

Whipple Disease Initial Presentation as Supraclavicular Lymphadenopathy in a Patient With Rheumatoid Arthritis: A Diagnostic Challenge.

Whipple Disease Initial Presentation as Supraclavicular Lymphadenopathy in a Patient With Rheumatoid Arthritis: A Diagnostic Challenge.

Whipple Disease Initial Presentation as Supraclavicular Lymphadenopathy in a Patient With Rheumatoid Arthritis: A Diagnostic Challenge.

Whipple disease is a rare systemic disease caused by Tropheryma whipplei. It can present with a wide range of nonspecific symptoms that might overlap with underlying medical conditions, posing a diagnostic challenge. We present a 61-year-old man with a past medical history of rheumatoid arthritis and chronic inflammatory demyelinating polyneuropathy, who presented with persistent leukocytosis and supraclavicular lymphadenopathy. A positron emission tomography scan revealed hypermetabolic activity in the supraclavicular, abdominal, and pelvic lymph nodes along with a myocardial hypermetabolic lesion, concerning a lymphoproliferative disorder versus sarcoidosis. A supraclavicular lymph node excisional biopsy revealed complete architectural effacement by a diffuse foamy histiocytic infiltrate without granuloma formation or necrosis. The differential diagnosis included underlying infection, histiocytic neoplasm, lymphoproliferative disorder, storage disorder, and others. Immunostains show the histiocytic cells were positive for CD68 and CD163, while negative for S100, CD1a, kappa, lambda, and BRAF V600E. Grocott-Gömöri's methenamine silver and periodic acid-Schiff (PAS) stains demonstrated diffuse intracytoplasmic granular staining that was resistant to diastase treatment. Gram, acid fast bacilli, and Fite stains were negative. Electron microscopy revealed rod-shaped organisms with a trilaminar plasma membrane, morphologically consistent with T whipplei. Polymerase chain reaction was positive for T whipplei, confirming the diagnosis. Although rare, Whipple disease should be considered in immunocompromised patients presenting with nonspecific nongastrointestinal symptoms and lymphadenopathy clinically simulating lymphoma. Periodic acid-Schiff D-positive inclusions, along with confirmatory molecular results, are crucial for diagnosis. Whipple disease is a curable disease that can be lethal if unrecognized, emphasizing the importance of heightened awareness for early diagnosis and timely treatment.

求助全文
通过发布文献求助,成功后即可免费获取论文全文。 去求助
来源期刊
CiteScore
2.10
自引率
0.00%
发文量
198
审稿时长
1 months
期刊介绍: International Journal of Surgical Pathology (IJSP) is a peer-reviewed journal published eight times a year, which offers original research and observations covering all major organ systems, timely reviews of new techniques and procedures, discussions of controversies in surgical pathology, case reports, and images in pathology. This journal is a member of the Committee on Publication Ethics (COPE).
×
引用
GB/T 7714-2015
复制
MLA
复制
APA
复制
导出至
BibTeX EndNote RefMan NoteFirst NoteExpress
×
提示
您的信息不完整,为了账户安全,请先补充。
现在去补充
×
提示
您因"违规操作"
具体请查看互助需知
我知道了
×
提示
确定
请完成安全验证×
copy
已复制链接
快去分享给好友吧!
我知道了
右上角分享
点击右上角分享
0
联系我们:info@booksci.cn Book学术提供免费学术资源搜索服务,方便国内外学者检索中英文文献。致力于提供最便捷和优质的服务体验。 Copyright © 2023 布克学术 All rights reserved.
京ICP备2023020795号-1
ghs 京公网安备 11010802042870号
Book学术文献互助
Book学术文献互助群
群 号:604180095
Book学术官方微信