与质子泵抑制剂相关的底腺息肉在纹理和彩色增强成像中的可见性评价

IF 1.5 Q4 GASTROENTEROLOGY & HEPATOLOGY
DEN open Pub Date : 2025-05-22 DOI:10.1002/deo2.70147
Ryota Uchida, Hiroya Ueyama, Tsutomu Takeda, Shunsuke Nakamura, Yasuko Uemura, Tomoyo Iwano, Momoko Yamamoto, Hisanori Utsunomiya, Daiki Abe, Shotaro Oki, Nobuyuki Suzuki, Atsushi Ikeda, Yoichi Akazawa, Kumiko Ueda, Mariko Hojo, Shuko Nojiri, Takashi Yao, Akihito Nagahara
{"title":"与质子泵抑制剂相关的底腺息肉在纹理和彩色增强成像中的可见性评价","authors":"Ryota Uchida,&nbsp;Hiroya Ueyama,&nbsp;Tsutomu Takeda,&nbsp;Shunsuke Nakamura,&nbsp;Yasuko Uemura,&nbsp;Tomoyo Iwano,&nbsp;Momoko Yamamoto,&nbsp;Hisanori Utsunomiya,&nbsp;Daiki Abe,&nbsp;Shotaro Oki,&nbsp;Nobuyuki Suzuki,&nbsp;Atsushi Ikeda,&nbsp;Yoichi Akazawa,&nbsp;Kumiko Ueda,&nbsp;Mariko Hojo,&nbsp;Shuko Nojiri,&nbsp;Takashi Yao,&nbsp;Akihito Nagahara","doi":"10.1002/deo2.70147","DOIUrl":null,"url":null,"abstract":"<div>\n \n \n <section>\n \n <h3> Objectives</h3>\n \n <p>A ‘gray color sign’ (GCS) is a new endoscopic feature of fundic gland polyp associated with proton pump inhibitor (PPI-FGP). Here, we compare the ability of texture and color enhancement imaging (TXI) to white light imaging (WLI) with regard to the detection of GCS.</p>\n </section>\n \n <section>\n \n <h3> Methods</h3>\n \n <p>In this prospective study, 19 consecutive patients with PPI-FGP were enrolled at our hospital from April 2021 to October 2022. Endoscopic images of PPI-FGP using WLI, TXI mode1 (TXI-1), TXI mode2 (TXI-2), and narrow-band imaging (NBI) were collected and compared by 10 endoscopists. Visibility of GCS by each mode (Image enhancement endoscopy) was scored as follows: 5, improved; 4, somewhat improved; 3, equivalent; 2, somewhat decreased; and 1, decreased. The inter-rater reliability (intra-class correlation coefficient, ICC) was also evaluated. The images were objectively evaluated based on <i>L* a* b*</i> color values and the color difference (Δ<i>E</i>*) in the CIE LAB color space system.</p>\n </section>\n \n <section>\n \n <h3> Results</h3>\n \n <p>Improved visibility of GCS compared with WLI was achieved for: TXI-1: 82.6%, TXI-2: 86.9%, and NBI: 0% for all endoscopists. Total visibility scores were: TXI-1, 44.9; TXI-2, 42.9; NBI, 17.4 for all endoscopists. Visibility scores were significantly higher using TXI-1 and TXI-2 compared with NBI (<i>p</i> &lt; 0.01). The inter-rater reliability for TXI-1 and TXI-2 was “excellent” for all endoscopists. The use of Δ<i>E</i>* revealed statistically significant differences between WLI and TXI-1 (<i>p</i> &lt; 0.01).</p>\n </section>\n \n <section>\n \n <h3> Conclusions</h3>\n \n <p>TXI is an improvement over WLI for the visualization of GCS, and can be used by both trainee and expert endoscopists with equal efficiency and accuracy.</p>\n </section>\n </div>","PeriodicalId":93973,"journal":{"name":"DEN open","volume":"6 1","pages":""},"PeriodicalIF":1.5000,"publicationDate":"2025-05-22","publicationTypes":"Journal Article","fieldsOfStudy":null,"isOpenAccess":false,"openAccessPdf":"https://onlinelibrary.wiley.com/doi/epdf/10.1002/deo2.70147","citationCount":"0","resultStr":"{\"title\":\"Visibility Evaluation of Fundic Gland Polyp Associated With Proton Pump Inhibitor in Texture and Color Enhancement Imaging\",\"authors\":\"Ryota Uchida,&nbsp;Hiroya Ueyama,&nbsp;Tsutomu Takeda,&nbsp;Shunsuke Nakamura,&nbsp;Yasuko Uemura,&nbsp;Tomoyo Iwano,&nbsp;Momoko Yamamoto,&nbsp;Hisanori Utsunomiya,&nbsp;Daiki Abe,&nbsp;Shotaro Oki,&nbsp;Nobuyuki Suzuki,&nbsp;Atsushi Ikeda,&nbsp;Yoichi Akazawa,&nbsp;Kumiko Ueda,&nbsp;Mariko Hojo,&nbsp;Shuko Nojiri,&nbsp;Takashi Yao,&nbsp;Akihito Nagahara\",\"doi\":\"10.1002/deo2.70147\",\"DOIUrl\":null,\"url\":null,\"abstract\":\"<div>\\n \\n \\n <section>\\n \\n <h3> Objectives</h3>\\n \\n <p>A ‘gray color sign’ (GCS) is a new endoscopic feature of fundic gland polyp associated with proton pump inhibitor (PPI-FGP). Here, we compare the ability of texture and color enhancement imaging (TXI) to white light imaging (WLI) with regard to the detection of GCS.</p>\\n </section>\\n \\n <section>\\n \\n <h3> Methods</h3>\\n \\n <p>In this prospective study, 19 consecutive patients with PPI-FGP were enrolled at our hospital from April 2021 to October 2022. Endoscopic images of PPI-FGP using WLI, TXI mode1 (TXI-1), TXI mode2 (TXI-2), and narrow-band imaging (NBI) were collected and compared by 10 endoscopists. Visibility of GCS by each mode (Image enhancement endoscopy) was scored as follows: 5, improved; 4, somewhat improved; 3, equivalent; 2, somewhat decreased; and 1, decreased. The inter-rater reliability (intra-class correlation coefficient, ICC) was also evaluated. The images were objectively evaluated based on <i>L* a* b*</i> color values and the color difference (Δ<i>E</i>*) in the CIE LAB color space system.</p>\\n </section>\\n \\n <section>\\n \\n <h3> Results</h3>\\n \\n <p>Improved visibility of GCS compared with WLI was achieved for: TXI-1: 82.6%, TXI-2: 86.9%, and NBI: 0% for all endoscopists. Total visibility scores were: TXI-1, 44.9; TXI-2, 42.9; NBI, 17.4 for all endoscopists. Visibility scores were significantly higher using TXI-1 and TXI-2 compared with NBI (<i>p</i> &lt; 0.01). The inter-rater reliability for TXI-1 and TXI-2 was “excellent” for all endoscopists. The use of Δ<i>E</i>* revealed statistically significant differences between WLI and TXI-1 (<i>p</i> &lt; 0.01).</p>\\n </section>\\n \\n <section>\\n \\n <h3> Conclusions</h3>\\n \\n <p>TXI is an improvement over WLI for the visualization of GCS, and can be used by both trainee and expert endoscopists with equal efficiency and accuracy.</p>\\n </section>\\n </div>\",\"PeriodicalId\":93973,\"journal\":{\"name\":\"DEN open\",\"volume\":\"6 1\",\"pages\":\"\"},\"PeriodicalIF\":1.5000,\"publicationDate\":\"2025-05-22\",\"publicationTypes\":\"Journal Article\",\"fieldsOfStudy\":null,\"isOpenAccess\":false,\"openAccessPdf\":\"https://onlinelibrary.wiley.com/doi/epdf/10.1002/deo2.70147\",\"citationCount\":\"0\",\"resultStr\":null,\"platform\":\"Semanticscholar\",\"paperid\":null,\"PeriodicalName\":\"DEN open\",\"FirstCategoryId\":\"1085\",\"ListUrlMain\":\"https://onlinelibrary.wiley.com/doi/10.1002/deo2.70147\",\"RegionNum\":0,\"RegionCategory\":null,\"ArticlePicture\":[],\"TitleCN\":null,\"AbstractTextCN\":null,\"PMCID\":null,\"EPubDate\":\"\",\"PubModel\":\"\",\"JCR\":\"Q4\",\"JCRName\":\"GASTROENTEROLOGY & HEPATOLOGY\",\"Score\":null,\"Total\":0}","platform":"Semanticscholar","paperid":null,"PeriodicalName":"DEN open","FirstCategoryId":"1085","ListUrlMain":"https://onlinelibrary.wiley.com/doi/10.1002/deo2.70147","RegionNum":0,"RegionCategory":null,"ArticlePicture":[],"TitleCN":null,"AbstractTextCN":null,"PMCID":null,"EPubDate":"","PubModel":"","JCR":"Q4","JCRName":"GASTROENTEROLOGY & HEPATOLOGY","Score":null,"Total":0}
引用次数: 0

摘要

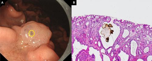
目的灰色征象(GCS)是与质子泵抑制剂(PPI-FGP)相关的基底腺息肉的内镜新特征。在这里,我们比较了纹理和颜色增强成像(TXI)和白光成像(WLI)在检测GCS方面的能力。方法在这项前瞻性研究中,于2021年4月至2022年10月在我院连续招募了19例PPI-FGP患者。收集10名内镜医师使用WLI、TXI模型1 (TXI-1)、TXI模型2 (TXI-2)和窄带成像(NBI)对PPI-FGP的内镜图像进行比较。各模式(图像增强内窥镜)GCS可见性评分如下:5分,提高;4、有所改善;3、等效;2、有所下降;1,减小。评估了评分者之间的信度(类内相关系数,ICC)。根据CIE LAB色彩空间系统中的L* a* b*色彩值和色差(ΔE*)对图像进行客观评价。结果与WLI相比,所有内窥镜医师的GCS可见度提高:TXI-1: 82.6%, TXI-2: 86.9%, NBI: 0%。总能见度得分分别为:TXI-1、44.9分;TXI-2 42.9;所有内窥镜医师的NBI为17.4。与NBI相比,使用TXI-1和TXI-2的可视性得分显著提高(p <;0.01)。所有内窥镜医师对TXI-1和TXI-2的评分间信度均为“极好”。使用ΔE*显示WLI和TXI-1之间存在统计学差异(p <;0.01)。结论TXI是一种较WLI更好的GCS可视化方法,可用于实习医师和专家内镜医师,具有相同的效率和准确性。
本文章由计算机程序翻译,如有差异,请以英文原文为准。

Visibility Evaluation of Fundic Gland Polyp Associated With Proton Pump Inhibitor in Texture and Color Enhancement Imaging

Visibility Evaluation of Fundic Gland Polyp Associated With Proton Pump Inhibitor in Texture and Color Enhancement Imaging

Objectives

A ‘gray color sign’ (GCS) is a new endoscopic feature of fundic gland polyp associated with proton pump inhibitor (PPI-FGP). Here, we compare the ability of texture and color enhancement imaging (TXI) to white light imaging (WLI) with regard to the detection of GCS.

Methods

In this prospective study, 19 consecutive patients with PPI-FGP were enrolled at our hospital from April 2021 to October 2022. Endoscopic images of PPI-FGP using WLI, TXI mode1 (TXI-1), TXI mode2 (TXI-2), and narrow-band imaging (NBI) were collected and compared by 10 endoscopists. Visibility of GCS by each mode (Image enhancement endoscopy) was scored as follows: 5, improved; 4, somewhat improved; 3, equivalent; 2, somewhat decreased; and 1, decreased. The inter-rater reliability (intra-class correlation coefficient, ICC) was also evaluated. The images were objectively evaluated based on L* a* b* color values and the color difference (ΔE*) in the CIE LAB color space system.

Results

Improved visibility of GCS compared with WLI was achieved for: TXI-1: 82.6%, TXI-2: 86.9%, and NBI: 0% for all endoscopists. Total visibility scores were: TXI-1, 44.9; TXI-2, 42.9; NBI, 17.4 for all endoscopists. Visibility scores were significantly higher using TXI-1 and TXI-2 compared with NBI (p < 0.01). The inter-rater reliability for TXI-1 and TXI-2 was “excellent” for all endoscopists. The use of ΔE* revealed statistically significant differences between WLI and TXI-1 (p < 0.01).

Conclusions

TXI is an improvement over WLI for the visualization of GCS, and can be used by both trainee and expert endoscopists with equal efficiency and accuracy.

求助全文
通过发布文献求助,成功后即可免费获取论文全文。 去求助
来源期刊
CiteScore
1.30
自引率
0.00%
发文量
0
×
引用
GB/T 7714-2015
复制
MLA
复制
APA
复制
导出至
BibTeX EndNote RefMan NoteFirst NoteExpress
×
提示
您的信息不完整,为了账户安全,请先补充。
现在去补充
×
提示
您因"违规操作"
具体请查看互助需知
我知道了
×
提示
确定
请完成安全验证×
copy
已复制链接
快去分享给好友吧!
我知道了
右上角分享
点击右上角分享
0
联系我们:info@booksci.cn Book学术提供免费学术资源搜索服务,方便国内外学者检索中英文文献。致力于提供最便捷和优质的服务体验。 Copyright © 2023 布克学术 All rights reserved.
京ICP备2023020795号-1
ghs 京公网安备 11010802042870号
Book学术文献互助
Book学术文献互助群
群 号:604180095
Book学术官方微信