胃镜下形态学改变的不典型脂肪瘤/高分化脂肪肉瘤1例

IF 1.5 Q4 GASTROENTEROLOGY & HEPATOLOGY
DEN open Pub Date : 2025-05-22 DOI:10.1002/deo2.70146
Rika Omote, Shizuma Omote, Hiroshi Sonobe, Ryosuke Hamano, Tatsuya Toyokawa, Shinya Otsuka, Takehiro Tanaka, Hiroyuki Yanai, Masaru Inagaki, Hidetaka Yamamoto
{"title":"胃镜下形态学改变的不典型脂肪瘤/高分化脂肪肉瘤1例","authors":"Rika Omote,&nbsp;Shizuma Omote,&nbsp;Hiroshi Sonobe,&nbsp;Ryosuke Hamano,&nbsp;Tatsuya Toyokawa,&nbsp;Shinya Otsuka,&nbsp;Takehiro Tanaka,&nbsp;Hiroyuki Yanai,&nbsp;Masaru Inagaki,&nbsp;Hidetaka Yamamoto","doi":"10.1002/deo2.70146","DOIUrl":null,"url":null,"abstract":"<p>Atypical lipomatous tumor/well-differentiated liposarcoma is a locally aggressive mesenchymal neoplasm composed of adipocytes and stromal cells. Gastric cases are exceedingly rare, and their malignant potential remains unclear. We report a case of a woman in her 60s who was found to have multiple submucosal tumor-like lesions of the stomach. Over time, the tumors increased in size, requiring a laparoscopic partial gastrectomy. Histological examination revealed a tumor composed of both fatty tissue and fibrous stroma with nuclear atypia. Immunohistochemistry showed positivity for CDK4 and MDM2, and fluorescence in situ hybridization confirmed <i>MDM2</i> amplification, leading to a diagnosis of atypical lipomatous tumor/well-differentiated liposarcoma. This case presented an unusual gastric manifestation, with multiple submucosal tumor-like lesions on endoscopy and exhibiting progressive morphological changes over several years.</p>","PeriodicalId":93973,"journal":{"name":"DEN open","volume":"6 1","pages":""},"PeriodicalIF":1.5000,"publicationDate":"2025-05-22","publicationTypes":"Journal Article","fieldsOfStudy":null,"isOpenAccess":false,"openAccessPdf":"https://onlinelibrary.wiley.com/doi/epdf/10.1002/deo2.70146","citationCount":"0","resultStr":"{\"title\":\"A Case of Gastric Atypical Lipomatous Tumor/Well-Differentiated Liposarcoma With Endoscopic Morphological Changes\",\"authors\":\"Rika Omote,&nbsp;Shizuma Omote,&nbsp;Hiroshi Sonobe,&nbsp;Ryosuke Hamano,&nbsp;Tatsuya Toyokawa,&nbsp;Shinya Otsuka,&nbsp;Takehiro Tanaka,&nbsp;Hiroyuki Yanai,&nbsp;Masaru Inagaki,&nbsp;Hidetaka Yamamoto\",\"doi\":\"10.1002/deo2.70146\",\"DOIUrl\":null,\"url\":null,\"abstract\":\"<p>Atypical lipomatous tumor/well-differentiated liposarcoma is a locally aggressive mesenchymal neoplasm composed of adipocytes and stromal cells. Gastric cases are exceedingly rare, and their malignant potential remains unclear. We report a case of a woman in her 60s who was found to have multiple submucosal tumor-like lesions of the stomach. Over time, the tumors increased in size, requiring a laparoscopic partial gastrectomy. Histological examination revealed a tumor composed of both fatty tissue and fibrous stroma with nuclear atypia. Immunohistochemistry showed positivity for CDK4 and MDM2, and fluorescence in situ hybridization confirmed <i>MDM2</i> amplification, leading to a diagnosis of atypical lipomatous tumor/well-differentiated liposarcoma. This case presented an unusual gastric manifestation, with multiple submucosal tumor-like lesions on endoscopy and exhibiting progressive morphological changes over several years.</p>\",\"PeriodicalId\":93973,\"journal\":{\"name\":\"DEN open\",\"volume\":\"6 1\",\"pages\":\"\"},\"PeriodicalIF\":1.5000,\"publicationDate\":\"2025-05-22\",\"publicationTypes\":\"Journal Article\",\"fieldsOfStudy\":null,\"isOpenAccess\":false,\"openAccessPdf\":\"https://onlinelibrary.wiley.com/doi/epdf/10.1002/deo2.70146\",\"citationCount\":\"0\",\"resultStr\":null,\"platform\":\"Semanticscholar\",\"paperid\":null,\"PeriodicalName\":\"DEN open\",\"FirstCategoryId\":\"1085\",\"ListUrlMain\":\"https://onlinelibrary.wiley.com/doi/10.1002/deo2.70146\",\"RegionNum\":0,\"RegionCategory\":null,\"ArticlePicture\":[],\"TitleCN\":null,\"AbstractTextCN\":null,\"PMCID\":null,\"EPubDate\":\"\",\"PubModel\":\"\",\"JCR\":\"Q4\",\"JCRName\":\"GASTROENTEROLOGY & HEPATOLOGY\",\"Score\":null,\"Total\":0}","platform":"Semanticscholar","paperid":null,"PeriodicalName":"DEN open","FirstCategoryId":"1085","ListUrlMain":"https://onlinelibrary.wiley.com/doi/10.1002/deo2.70146","RegionNum":0,"RegionCategory":null,"ArticlePicture":[],"TitleCN":null,"AbstractTextCN":null,"PMCID":null,"EPubDate":"","PubModel":"","JCR":"Q4","JCRName":"GASTROENTEROLOGY & HEPATOLOGY","Score":null,"Total":0}
引用次数: 0

摘要

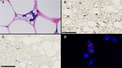
非典型脂肪瘤/高分化脂肪肉瘤是一种局部侵袭性间充质肿瘤,由脂肪细胞和间质细胞组成。胃病例极为罕见,其恶性潜能尚不清楚。我们报告一个病例的妇女在她60谁被发现有多个粘膜下肿瘤样病变的胃。随着时间的推移,肿瘤越来越大,需要腹腔镜部分胃切除术。组织学检查显示肿瘤由脂肪组织和纤维间质组成,核异型性。免疫组化CDK4和MDM2阳性,荧光原位杂交证实MDM2扩增,诊断为不典型脂肪瘤/高分化脂肪肉瘤。该病例表现出不寻常的胃部表现,内镜下显示多发性粘膜下肿瘤样病变,并在数年内表现出进行性形态学改变。
本文章由计算机程序翻译,如有差异,请以英文原文为准。

A Case of Gastric Atypical Lipomatous Tumor/Well-Differentiated Liposarcoma With Endoscopic Morphological Changes

A Case of Gastric Atypical Lipomatous Tumor/Well-Differentiated Liposarcoma With Endoscopic Morphological Changes

Atypical lipomatous tumor/well-differentiated liposarcoma is a locally aggressive mesenchymal neoplasm composed of adipocytes and stromal cells. Gastric cases are exceedingly rare, and their malignant potential remains unclear. We report a case of a woman in her 60s who was found to have multiple submucosal tumor-like lesions of the stomach. Over time, the tumors increased in size, requiring a laparoscopic partial gastrectomy. Histological examination revealed a tumor composed of both fatty tissue and fibrous stroma with nuclear atypia. Immunohistochemistry showed positivity for CDK4 and MDM2, and fluorescence in situ hybridization confirmed MDM2 amplification, leading to a diagnosis of atypical lipomatous tumor/well-differentiated liposarcoma. This case presented an unusual gastric manifestation, with multiple submucosal tumor-like lesions on endoscopy and exhibiting progressive morphological changes over several years.

求助全文
通过发布文献求助,成功后即可免费获取论文全文。 去求助
来源期刊
CiteScore
1.30
自引率
0.00%
发文量
0
×
引用
GB/T 7714-2015
复制
MLA
复制
APA
复制
导出至
BibTeX EndNote RefMan NoteFirst NoteExpress
×
提示
您的信息不完整,为了账户安全,请先补充。
现在去补充
×
提示
您因"违规操作"
具体请查看互助需知
我知道了
×
提示
确定
请完成安全验证×
copy
已复制链接
快去分享给好友吧!
我知道了
右上角分享
点击右上角分享
0
联系我们:info@booksci.cn Book学术提供免费学术资源搜索服务,方便国内外学者检索中英文文献。致力于提供最便捷和优质的服务体验。 Copyright © 2023 布克学术 All rights reserved.
京ICP备2023020795号-1
ghs 京公网安备 11010802042870号
Book学术文献互助
Book学术文献互助群
群 号:604180095
Book学术官方微信