病例报告:her2阳性乳腺癌接受紫杉醇和曲妥珠单抗辅助治疗的老年男性致死性肺囊虫感染

IF 0.6 Q4 ONCOLOGY
Case Reports in Oncological Medicine Pub Date : 2025-05-13 eCollection Date: 2025-01-01 DOI:10.1155/crom/5515318
Colin Vercueil, Hamza Ouaz, Emilie Schultz, Jean Marc Limacher
{"title":"病例报告:her2阳性乳腺癌接受紫杉醇和曲妥珠单抗辅助治疗的老年男性致死性肺囊虫感染","authors":"Colin Vercueil, Hamza Ouaz, Emilie Schultz, Jean Marc Limacher","doi":"10.1155/crom/5515318","DOIUrl":null,"url":null,"abstract":"<p><p><b>Background:</b> <i>Pneumocystis jirovecii</i> pneumonia (PJP) is a well-recognized opportunistic infection in immunocompromised patients, particularly those with hematological malignancies or HIV infection. However, its occurrence in patients with solid tumors undergoing chemotherapy remains poorly characterized. <b>Case Presentation:</b> We report the case of an 84-year-old male patient with HER2-positive breast cancer who developed severe PJP following adjuvant chemotherapy with paclitaxel and trastuzumab. The patient had no known immunosuppressive conditions and did not present chemotherapy-induced lymphopenia prior to the onset of symptoms. He was admitted with fever and dyspnea, 9 days after discontinuation of chemotherapy due to Grade 3 asthenia. Chest computed tomography (CT) revealed diffuse ground-glass opacities, and bronchoalveolar lavage confirmed the presence of <i>Pneumocystis jirovecii</i> DNA by PCR. Despite prompt initiation of sulfamethoxazole/trimethoprim and corticosteroids, the patient developed refractory acute respiratory distress syndrome (ARDS) and died after ICU admission. <b>Discussion:</b> This case highlights the potential risk of PJP in elderly patients receiving adjuvant chemotherapy, even in the absence of evident immunosuppression. Given the increasing use of chemotherapy in older populations, a thorough risk-benefit assessment should be considered, especially when the expected survival benefit is limited. Current guidelines do not recommend systematic PJP prophylaxis in patients with solid tumors, yet emerging evidence suggests that chemotherapy-related lymphopenia may increase susceptibility to opportunistic infections. <b>Conclusion:</b> Clinicians should maintain a high index of suspicion for opportunistic infections such as PJP in elderly patients undergoing chemotherapy, regardless of their immune status. This case underscores the importance of individualized risk stratification and vigilant monitoring to prevent and manage life-threatening complications.</p>","PeriodicalId":9636,"journal":{"name":"Case Reports in Oncological Medicine","volume":"2025 ","pages":"5515318"},"PeriodicalIF":0.6000,"publicationDate":"2025-05-13","publicationTypes":"Journal Article","fieldsOfStudy":null,"isOpenAccess":false,"openAccessPdf":"https://www.ncbi.nlm.nih.gov/pmc/articles/PMC12092151/pdf/","citationCount":"0","resultStr":"{\"title\":\"Case Report: Fatal <i>Pneumocystis jirovecii</i> Infection in an Elderly Man Receiving Adjuvant Paclitaxel and Trastuzumab Therapy for HER2-Positive Breast Cancer.\",\"authors\":\"Colin Vercueil, Hamza Ouaz, Emilie Schultz, Jean Marc Limacher\",\"doi\":\"10.1155/crom/5515318\",\"DOIUrl\":null,\"url\":null,\"abstract\":\"<p><p><b>Background:</b> <i>Pneumocystis jirovecii</i> pneumonia (PJP) is a well-recognized opportunistic infection in immunocompromised patients, particularly those with hematological malignancies or HIV infection. However, its occurrence in patients with solid tumors undergoing chemotherapy remains poorly characterized. <b>Case Presentation:</b> We report the case of an 84-year-old male patient with HER2-positive breast cancer who developed severe PJP following adjuvant chemotherapy with paclitaxel and trastuzumab. The patient had no known immunosuppressive conditions and did not present chemotherapy-induced lymphopenia prior to the onset of symptoms. He was admitted with fever and dyspnea, 9 days after discontinuation of chemotherapy due to Grade 3 asthenia. Chest computed tomography (CT) revealed diffuse ground-glass opacities, and bronchoalveolar lavage confirmed the presence of <i>Pneumocystis jirovecii</i> DNA by PCR. Despite prompt initiation of sulfamethoxazole/trimethoprim and corticosteroids, the patient developed refractory acute respiratory distress syndrome (ARDS) and died after ICU admission. <b>Discussion:</b> This case highlights the potential risk of PJP in elderly patients receiving adjuvant chemotherapy, even in the absence of evident immunosuppression. Given the increasing use of chemotherapy in older populations, a thorough risk-benefit assessment should be considered, especially when the expected survival benefit is limited. Current guidelines do not recommend systematic PJP prophylaxis in patients with solid tumors, yet emerging evidence suggests that chemotherapy-related lymphopenia may increase susceptibility to opportunistic infections. <b>Conclusion:</b> Clinicians should maintain a high index of suspicion for opportunistic infections such as PJP in elderly patients undergoing chemotherapy, regardless of their immune status. This case underscores the importance of individualized risk stratification and vigilant monitoring to prevent and manage life-threatening complications.</p>\",\"PeriodicalId\":9636,\"journal\":{\"name\":\"Case Reports in Oncological Medicine\",\"volume\":\"2025 \",\"pages\":\"5515318\"},\"PeriodicalIF\":0.6000,\"publicationDate\":\"2025-05-13\",\"publicationTypes\":\"Journal Article\",\"fieldsOfStudy\":null,\"isOpenAccess\":false,\"openAccessPdf\":\"https://www.ncbi.nlm.nih.gov/pmc/articles/PMC12092151/pdf/\",\"citationCount\":\"0\",\"resultStr\":null,\"platform\":\"Semanticscholar\",\"paperid\":null,\"PeriodicalName\":\"Case Reports in Oncological Medicine\",\"FirstCategoryId\":\"1085\",\"ListUrlMain\":\"https://doi.org/10.1155/crom/5515318\",\"RegionNum\":0,\"RegionCategory\":null,\"ArticlePicture\":[],\"TitleCN\":null,\"AbstractTextCN\":null,\"PMCID\":null,\"EPubDate\":\"2025/1/1 0:00:00\",\"PubModel\":\"eCollection\",\"JCR\":\"Q4\",\"JCRName\":\"ONCOLOGY\",\"Score\":null,\"Total\":0}","platform":"Semanticscholar","paperid":null,"PeriodicalName":"Case Reports in Oncological Medicine","FirstCategoryId":"1085","ListUrlMain":"https://doi.org/10.1155/crom/5515318","RegionNum":0,"RegionCategory":null,"ArticlePicture":[],"TitleCN":null,"AbstractTextCN":null,"PMCID":null,"EPubDate":"2025/1/1 0:00:00","PubModel":"eCollection","JCR":"Q4","JCRName":"ONCOLOGY","Score":null,"Total":0}
引用次数: 0

摘要

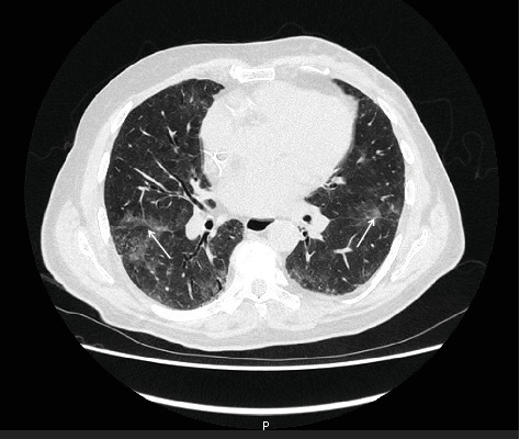
背景:耶氏肺囊虫肺炎(PJP)是免疫功能低下患者公认的机会性感染,特别是血液系统恶性肿瘤或HIV感染患者。然而,在接受化疗的实体肿瘤患者中,其发生情况仍不清楚。病例介绍:我们报告了一例84岁男性her2阳性乳腺癌患者,在紫杉醇和曲妥珠单抗辅助化疗后发生了严重的PJP。患者没有已知的免疫抑制状况,在出现症状之前没有出现化疗引起的淋巴细胞减少症。患者因3级虚弱而停止化疗9天后,因发热和呼吸困难入院。胸部计算机断层扫描(CT)显示弥漫性磨玻璃影,支气管肺泡灌洗经PCR证实有肺囊虫DNA存在。尽管及时给予磺胺甲恶唑/甲氧苄啶和皮质类固醇治疗,患者仍出现难治性急性呼吸窘迫综合征(ARDS),并于ICU入院后死亡。讨论:本病例强调了接受辅助化疗的老年患者PJP的潜在风险,即使在没有明显免疫抑制的情况下。鉴于化疗在老年人群中的使用越来越多,应考虑全面的风险-收益评估,特别是在预期生存获益有限的情况下。目前的指南不建议对实体肿瘤患者进行系统的PJP预防,但新出现的证据表明,化疗相关的淋巴细胞减少可能增加对机会性感染的易感性。结论:临床医生应保持对老年化疗患者PJP等机会性感染的高度怀疑,无论其免疫状况如何。该病例强调了个体化风险分层和警惕监测的重要性,以预防和管理危及生命的并发症。
本文章由计算机程序翻译,如有差异,请以英文原文为准。

Case Report: Fatal <i>Pneumocystis jirovecii</i> Infection in an Elderly Man Receiving Adjuvant Paclitaxel and Trastuzumab Therapy for HER2-Positive Breast Cancer.

Case Report: Fatal Pneumocystis jirovecii Infection in an Elderly Man Receiving Adjuvant Paclitaxel and Trastuzumab Therapy for HER2-Positive Breast Cancer.

Background: Pneumocystis jirovecii pneumonia (PJP) is a well-recognized opportunistic infection in immunocompromised patients, particularly those with hematological malignancies or HIV infection. However, its occurrence in patients with solid tumors undergoing chemotherapy remains poorly characterized. Case Presentation: We report the case of an 84-year-old male patient with HER2-positive breast cancer who developed severe PJP following adjuvant chemotherapy with paclitaxel and trastuzumab. The patient had no known immunosuppressive conditions and did not present chemotherapy-induced lymphopenia prior to the onset of symptoms. He was admitted with fever and dyspnea, 9 days after discontinuation of chemotherapy due to Grade 3 asthenia. Chest computed tomography (CT) revealed diffuse ground-glass opacities, and bronchoalveolar lavage confirmed the presence of Pneumocystis jirovecii DNA by PCR. Despite prompt initiation of sulfamethoxazole/trimethoprim and corticosteroids, the patient developed refractory acute respiratory distress syndrome (ARDS) and died after ICU admission. Discussion: This case highlights the potential risk of PJP in elderly patients receiving adjuvant chemotherapy, even in the absence of evident immunosuppression. Given the increasing use of chemotherapy in older populations, a thorough risk-benefit assessment should be considered, especially when the expected survival benefit is limited. Current guidelines do not recommend systematic PJP prophylaxis in patients with solid tumors, yet emerging evidence suggests that chemotherapy-related lymphopenia may increase susceptibility to opportunistic infections. Conclusion: Clinicians should maintain a high index of suspicion for opportunistic infections such as PJP in elderly patients undergoing chemotherapy, regardless of their immune status. This case underscores the importance of individualized risk stratification and vigilant monitoring to prevent and manage life-threatening complications.

求助全文
通过发布文献求助,成功后即可免费获取论文全文。 去求助
来源期刊
自引率
0.00%
发文量
11
审稿时长
16 weeks
期刊介绍: Case Reports in Oncological Medicine is a peer-reviewed, Open Access journal that publishes case reports and case series related to breast cancer, lung cancer, gastrointestinal cancer, skin cancer, head and neck cancer, paediatric oncology, neurooncology as well as genitourinary cancer.
×
引用
GB/T 7714-2015
复制
MLA
复制
APA
复制
导出至
BibTeX EndNote RefMan NoteFirst NoteExpress
×
提示
您的信息不完整,为了账户安全,请先补充。
现在去补充
×
提示
您因"违规操作"
具体请查看互助需知
我知道了
×
提示
确定
请完成安全验证×
copy
已复制链接
快去分享给好友吧!
我知道了
右上角分享
点击右上角分享
0
联系我们:info@booksci.cn Book学术提供免费学术资源搜索服务,方便国内外学者检索中英文文献。致力于提供最便捷和优质的服务体验。 Copyright © 2023 布克学术 All rights reserved.
京ICP备2023020795号-1
ghs 京公网安备 11010802042870号
Book学术文献互助
Book学术文献互助群
群 号:604180095
Book学术官方微信