顺铂与伏立诺他负载肿瘤归巢肽LyP-2功能化脂质体治疗宫颈癌

IF 3.6 4区 化学 Q2 CHEMISTRY, INORGANIC & NUCLEAR
Zuoping Li, Jiaru Zhang, Shiwan You, Jing Zhang, Zhenzhen Xie, Na Zhao, Shiguo Sun
{"title":"顺铂与伏立诺他负载肿瘤归巢肽LyP-2功能化脂质体治疗宫颈癌","authors":"Zuoping Li,&nbsp;Jiaru Zhang,&nbsp;Shiwan You,&nbsp;Jing Zhang,&nbsp;Zhenzhen Xie,&nbsp;Na Zhao,&nbsp;Shiguo Sun","doi":"10.1007/s10876-025-02827-w","DOIUrl":null,"url":null,"abstract":"<div><p>Neuropilin-1 (NRP-1) is overly expressed on the membrane of cervical cancer cells, which is indispensable for cell internalization. NRP-1 achieves the goal of targeting cervical cancer cells with tumor homing peptide (THPs) in C-terminal (CendR) pathway. By this feature, the ligand LyP-2 peptide of NRP-1 with high affinity (also containing CendR motif) was functionalized on the surface of liposome (Lipo@LyP-2) to mediate its tumor homing. Under TEM, Lipo@LyP-2 is a smooth global body, whose diameter was less than 200 nm. Lipo@LyP-2 showed enhanced cell uptake in cervical cancer cells associated with human papillomavirus type 16 (HPV16) by the Confocal laser scanning microscope (CLSM). In the MTT assay, Lipo@LyP-2/SAHA/CDDP loaded with cisplatin (CDDP) and vorinostat (SAHA) also showed significant toxicity via increasing pro-apoptotic factors and decreasing anti-apoptotic factors. In addition, Western blot assay found that SAHA enhanced the intra-tumoral level of MHC class I chain-associated protein A (MICA) in cervical cancer, thus enhancing the sensitivity of cervical cancer cells to cytolysis mediated by natural killer (NK) cells. These results strongly indicate that LyP-2 functionalized Lipo/SAHA/CDDP can improve the targeting of CDDP and SAHA to SiHa cells and improve the therapeutic efficiency.</p></div>","PeriodicalId":618,"journal":{"name":"Journal of Cluster Science","volume":"36 3","pages":""},"PeriodicalIF":3.6000,"publicationDate":"2025-05-21","publicationTypes":"Journal Article","fieldsOfStudy":null,"isOpenAccess":false,"openAccessPdf":"","citationCount":"0","resultStr":"{\"title\":\"Treatment of Cervical Cancer with Tumor Homing Peptide LyP-2 Functionalized Liposome Loaded with Cisplatin and Vorinostat\",\"authors\":\"Zuoping Li,&nbsp;Jiaru Zhang,&nbsp;Shiwan You,&nbsp;Jing Zhang,&nbsp;Zhenzhen Xie,&nbsp;Na Zhao,&nbsp;Shiguo Sun\",\"doi\":\"10.1007/s10876-025-02827-w\",\"DOIUrl\":null,\"url\":null,\"abstract\":\"<div><p>Neuropilin-1 (NRP-1) is overly expressed on the membrane of cervical cancer cells, which is indispensable for cell internalization. NRP-1 achieves the goal of targeting cervical cancer cells with tumor homing peptide (THPs) in C-terminal (CendR) pathway. By this feature, the ligand LyP-2 peptide of NRP-1 with high affinity (also containing CendR motif) was functionalized on the surface of liposome (Lipo@LyP-2) to mediate its tumor homing. Under TEM, Lipo@LyP-2 is a smooth global body, whose diameter was less than 200 nm. Lipo@LyP-2 showed enhanced cell uptake in cervical cancer cells associated with human papillomavirus type 16 (HPV16) by the Confocal laser scanning microscope (CLSM). In the MTT assay, Lipo@LyP-2/SAHA/CDDP loaded with cisplatin (CDDP) and vorinostat (SAHA) also showed significant toxicity via increasing pro-apoptotic factors and decreasing anti-apoptotic factors. In addition, Western blot assay found that SAHA enhanced the intra-tumoral level of MHC class I chain-associated protein A (MICA) in cervical cancer, thus enhancing the sensitivity of cervical cancer cells to cytolysis mediated by natural killer (NK) cells. These results strongly indicate that LyP-2 functionalized Lipo/SAHA/CDDP can improve the targeting of CDDP and SAHA to SiHa cells and improve the therapeutic efficiency.</p></div>\",\"PeriodicalId\":618,\"journal\":{\"name\":\"Journal of Cluster Science\",\"volume\":\"36 3\",\"pages\":\"\"},\"PeriodicalIF\":3.6000,\"publicationDate\":\"2025-05-21\",\"publicationTypes\":\"Journal Article\",\"fieldsOfStudy\":null,\"isOpenAccess\":false,\"openAccessPdf\":\"\",\"citationCount\":\"0\",\"resultStr\":null,\"platform\":\"Semanticscholar\",\"paperid\":null,\"PeriodicalName\":\"Journal of Cluster Science\",\"FirstCategoryId\":\"92\",\"ListUrlMain\":\"https://link.springer.com/article/10.1007/s10876-025-02827-w\",\"RegionNum\":4,\"RegionCategory\":\"化学\",\"ArticlePicture\":[],\"TitleCN\":null,\"AbstractTextCN\":null,\"PMCID\":null,\"EPubDate\":\"\",\"PubModel\":\"\",\"JCR\":\"Q2\",\"JCRName\":\"CHEMISTRY, INORGANIC & NUCLEAR\",\"Score\":null,\"Total\":0}","platform":"Semanticscholar","paperid":null,"PeriodicalName":"Journal of Cluster Science","FirstCategoryId":"92","ListUrlMain":"https://link.springer.com/article/10.1007/s10876-025-02827-w","RegionNum":4,"RegionCategory":"化学","ArticlePicture":[],"TitleCN":null,"AbstractTextCN":null,"PMCID":null,"EPubDate":"","PubModel":"","JCR":"Q2","JCRName":"CHEMISTRY, INORGANIC & NUCLEAR","Score":null,"Total":0}
引用次数: 0

摘要

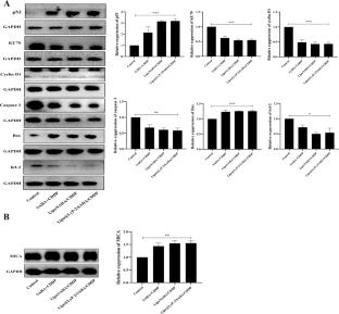
神经肽-1 (Neuropilin-1, NRP-1)在宫颈癌细胞膜上过表达,是细胞内化不可或缺的物质。NRP-1通过c末端(CendR)通路的肿瘤归巢肽(tumor homing peptide, THPs)实现靶向宫颈癌细胞的目的。通过这一特性,NRP-1的高亲和力配体LyP-2肽(也含有CendR基序)被功能化在脂质体(Lipo@LyP-2)表面,介导其肿瘤归巢。透射电镜下,Lipo@LyP-2为光滑的球状体,直径小于200nm。通过共聚焦激光扫描显微镜(CLSM), Lipo@LyP-2显示与人乳头瘤病毒16型(HPV16)相关的宫颈癌细胞的细胞摄取增强。在MTT实验中,Lipo@LyP-2/SAHA/CDDP负载顺铂(CDDP)和伏立诺他(SAHA)也通过增加促凋亡因子和减少抗凋亡因子显示出显著的毒性。此外,Western blot检测发现,SAHA可提高宫颈癌组织中MHC I类链相关蛋白A (MICA)的肿瘤内水平,从而增强宫颈癌细胞对自然杀伤细胞(NK)介导的细胞溶解的敏感性。这些结果强烈表明,LyP-2功能化的Lipo/SAHA/CDDP可以提高CDDP和SAHA对SiHa细胞的靶向性,提高治疗效果。
本文章由计算机程序翻译,如有差异,请以英文原文为准。

Treatment of Cervical Cancer with Tumor Homing Peptide LyP-2 Functionalized Liposome Loaded with Cisplatin and Vorinostat

Treatment of Cervical Cancer with Tumor Homing Peptide LyP-2 Functionalized Liposome Loaded with Cisplatin and Vorinostat

Neuropilin-1 (NRP-1) is overly expressed on the membrane of cervical cancer cells, which is indispensable for cell internalization. NRP-1 achieves the goal of targeting cervical cancer cells with tumor homing peptide (THPs) in C-terminal (CendR) pathway. By this feature, the ligand LyP-2 peptide of NRP-1 with high affinity (also containing CendR motif) was functionalized on the surface of liposome (Lipo@LyP-2) to mediate its tumor homing. Under TEM, Lipo@LyP-2 is a smooth global body, whose diameter was less than 200 nm. Lipo@LyP-2 showed enhanced cell uptake in cervical cancer cells associated with human papillomavirus type 16 (HPV16) by the Confocal laser scanning microscope (CLSM). In the MTT assay, Lipo@LyP-2/SAHA/CDDP loaded with cisplatin (CDDP) and vorinostat (SAHA) also showed significant toxicity via increasing pro-apoptotic factors and decreasing anti-apoptotic factors. In addition, Western blot assay found that SAHA enhanced the intra-tumoral level of MHC class I chain-associated protein A (MICA) in cervical cancer, thus enhancing the sensitivity of cervical cancer cells to cytolysis mediated by natural killer (NK) cells. These results strongly indicate that LyP-2 functionalized Lipo/SAHA/CDDP can improve the targeting of CDDP and SAHA to SiHa cells and improve the therapeutic efficiency.

求助全文
通过发布文献求助,成功后即可免费获取论文全文。 去求助
来源期刊
Journal of Cluster Science
Journal of Cluster Science 化学-无机化学与核化学
CiteScore
6.70
自引率
0.00%
发文量
166
审稿时长
3 months
期刊介绍: The journal publishes the following types of papers: (a) original and important research; (b) authoritative comprehensive reviews or short overviews of topics of current interest; (c) brief but urgent communications on new significant research; and (d) commentaries intended to foster the exchange of innovative or provocative ideas, and to encourage dialogue, amongst researchers working in different cluster disciplines.
×
引用
GB/T 7714-2015
复制
MLA
复制
APA
复制
导出至
BibTeX EndNote RefMan NoteFirst NoteExpress
×
提示
您的信息不完整,为了账户安全,请先补充。
现在去补充
×
提示
您因"违规操作"
具体请查看互助需知
我知道了
×
提示
确定
请完成安全验证×
copy
已复制链接
快去分享给好友吧!
我知道了
右上角分享
点击右上角分享
0
联系我们:info@booksci.cn Book学术提供免费学术资源搜索服务,方便国内外学者检索中英文文献。致力于提供最便捷和优质的服务体验。 Copyright © 2023 布克学术 All rights reserved.
京ICP备2023020795号-1
ghs 京公网安备 11010802042870号
Book学术文献互助
Book学术文献互助群
群 号:604180095
Book学术官方微信