PTEN和P53在侵袭性腔内A亚型乳腺癌中的预后意义。

IF 1.7 Q4 ONCOLOGY
Öykü Dila Gemci, Serdar Altınay, İlkay Gültürk, Deniz Tural, Mehmet Karabulut, Damla Nur Sakız
{"title":"PTEN和P53在侵袭性腔内A亚型乳腺癌中的预后意义。","authors":"Öykü Dila Gemci, Serdar Altınay, İlkay Gültürk, Deniz Tural, Mehmet Karabulut, Damla Nur Sakız","doi":"10.4274/ejbh.galenos.2025.2025-2-12","DOIUrl":null,"url":null,"abstract":"<p><strong>Objective: </strong>While prognostic and predictive factors in breast cancer are well established, data on aggressive behavior in luminal A subtype breast cancers are limited. The aim of this study was to investigate histomorphological and clinicopathological parameters that may predict treatment resistance and aggressive behavior in luminal A subtype, as well as the expression of two key proteins, PTEN and p53, involved in breast carcinoma development.</p><p><strong>Materials and methods: </strong>We included breast carcinoma cases diagnosed at a Turkish University Hospital between 2016 and 2017. Tumor tissue with internal control was available for all cases. PTEN and p53 expression were evaluated immunohistochemically, based on staining strength and percentage.</p><p><strong>Results: </strong>Of the 114 cases diagnosed in the study period, 18 (%) were recurrent and 5 (%) were Luminal A subtype. We observed significantly lower overall and disease-free survival in patients with ≤50% tumor infiltrating lymphocytes density, which was present in all recurrent cases. PTEN immunoreactivity scores were <6 in all recurrent luminal A cases, but no significant difference was found between recurrent and non-recurrent cases (<i>p</i>>0.05). The p53 H-score for luminal A was significantly lower than in luminal B, triple negative, and human epidermal growth factor receptor 2+ groups (<i>p</i><0.05). Furthermore, p53 H-scores <50 were more common in grade 2 tumors than in grade 3 (<i>p</i><0.05).</p><p><strong>Conclusion: </strong>PTEN loss, observed in all recurrent luminal A cases and 77.1% of all cases, supports its role as a tumor suppressor. The findings suggest that PTEN expression loss may be a prognostic marker, and immune-modulating treatments should be considered for breast cancer patients.</p>","PeriodicalId":93996,"journal":{"name":"European journal of breast health","volume":" ","pages":"246-254"},"PeriodicalIF":1.7000,"publicationDate":"2025-06-20","publicationTypes":"Journal Article","fieldsOfStudy":null,"isOpenAccess":false,"openAccessPdf":"https://www.ncbi.nlm.nih.gov/pmc/articles/PMC12180098/pdf/","citationCount":"0","resultStr":"{\"title\":\"Prognostic Importance of PTEN and P53 in Aggressive Luminal A Subtype Breast Cancers.\",\"authors\":\"Öykü Dila Gemci, Serdar Altınay, İlkay Gültürk, Deniz Tural, Mehmet Karabulut, Damla Nur Sakız\",\"doi\":\"10.4274/ejbh.galenos.2025.2025-2-12\",\"DOIUrl\":null,\"url\":null,\"abstract\":\"<p><strong>Objective: </strong>While prognostic and predictive factors in breast cancer are well established, data on aggressive behavior in luminal A subtype breast cancers are limited. The aim of this study was to investigate histomorphological and clinicopathological parameters that may predict treatment resistance and aggressive behavior in luminal A subtype, as well as the expression of two key proteins, PTEN and p53, involved in breast carcinoma development.</p><p><strong>Materials and methods: </strong>We included breast carcinoma cases diagnosed at a Turkish University Hospital between 2016 and 2017. Tumor tissue with internal control was available for all cases. PTEN and p53 expression were evaluated immunohistochemically, based on staining strength and percentage.</p><p><strong>Results: </strong>Of the 114 cases diagnosed in the study period, 18 (%) were recurrent and 5 (%) were Luminal A subtype. We observed significantly lower overall and disease-free survival in patients with ≤50% tumor infiltrating lymphocytes density, which was present in all recurrent cases. PTEN immunoreactivity scores were <6 in all recurrent luminal A cases, but no significant difference was found between recurrent and non-recurrent cases (<i>p</i>>0.05). The p53 H-score for luminal A was significantly lower than in luminal B, triple negative, and human epidermal growth factor receptor 2+ groups (<i>p</i><0.05). Furthermore, p53 H-scores <50 were more common in grade 2 tumors than in grade 3 (<i>p</i><0.05).</p><p><strong>Conclusion: </strong>PTEN loss, observed in all recurrent luminal A cases and 77.1% of all cases, supports its role as a tumor suppressor. The findings suggest that PTEN expression loss may be a prognostic marker, and immune-modulating treatments should be considered for breast cancer patients.</p>\",\"PeriodicalId\":93996,\"journal\":{\"name\":\"European journal of breast health\",\"volume\":\" \",\"pages\":\"246-254\"},\"PeriodicalIF\":1.7000,\"publicationDate\":\"2025-06-20\",\"publicationTypes\":\"Journal Article\",\"fieldsOfStudy\":null,\"isOpenAccess\":false,\"openAccessPdf\":\"https://www.ncbi.nlm.nih.gov/pmc/articles/PMC12180098/pdf/\",\"citationCount\":\"0\",\"resultStr\":null,\"platform\":\"Semanticscholar\",\"paperid\":null,\"PeriodicalName\":\"European journal of breast health\",\"FirstCategoryId\":\"1085\",\"ListUrlMain\":\"https://doi.org/10.4274/ejbh.galenos.2025.2025-2-12\",\"RegionNum\":0,\"RegionCategory\":null,\"ArticlePicture\":[],\"TitleCN\":null,\"AbstractTextCN\":null,\"PMCID\":null,\"EPubDate\":\"2025/5/20 0:00:00\",\"PubModel\":\"Epub\",\"JCR\":\"Q4\",\"JCRName\":\"ONCOLOGY\",\"Score\":null,\"Total\":0}","platform":"Semanticscholar","paperid":null,"PeriodicalName":"European journal of breast health","FirstCategoryId":"1085","ListUrlMain":"https://doi.org/10.4274/ejbh.galenos.2025.2025-2-12","RegionNum":0,"RegionCategory":null,"ArticlePicture":[],"TitleCN":null,"AbstractTextCN":null,"PMCID":null,"EPubDate":"2025/5/20 0:00:00","PubModel":"Epub","JCR":"Q4","JCRName":"ONCOLOGY","Score":null,"Total":0}
引用次数: 0

摘要

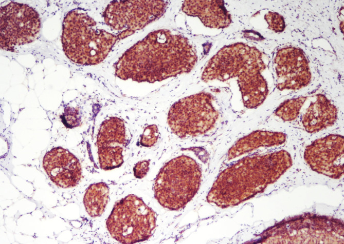
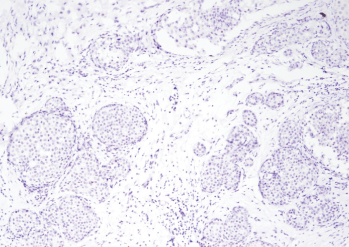
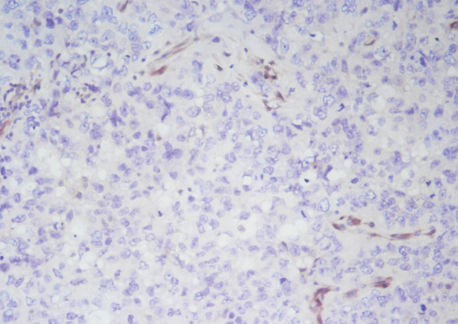
目的:虽然乳腺癌的预后和预测因素已经建立,但关于腔内A亚型乳腺癌侵袭行为的数据有限。本研究的目的是研究可能预测luminal A亚型治疗耐药和侵袭行为的组织形态学和临床病理参数,以及参与乳腺癌发展的两个关键蛋白PTEN和p53的表达。材料和方法:我们纳入了2016年至2017年在土耳其大学医院诊断的乳腺癌病例。所有病例均有内部控制的肿瘤组织。根据染色强度和百分比,免疫组织化学方法评估PTEN和p53的表达。结果:114例患者中,18例(%)复发,5例(%)为Luminal A亚型。我们观察到肿瘤浸润淋巴细胞密度≤50%的患者的总生存率和无病生存率显著降低,这在所有复发病例中都存在。PTEN免疫反应性评分p < 0.05)。管腔A的p53 h -评分明显低于管腔B组、三阴性组和人表皮生长因子受体2+组(ppp)。结论:PTEN缺失在所有复发的管腔A病例中观察到,占所有病例的77.1%,支持其作为肿瘤抑制因子的作用。研究结果提示PTEN表达缺失可能是一个预后指标,乳腺癌患者应考虑免疫调节治疗。
本文章由计算机程序翻译,如有差异,请以英文原文为准。

Prognostic Importance of PTEN and P53 in Aggressive Luminal A Subtype Breast Cancers.

Prognostic Importance of PTEN and P53 in Aggressive Luminal A Subtype Breast Cancers.

Prognostic Importance of PTEN and P53 in Aggressive Luminal A Subtype Breast Cancers.

Prognostic Importance of PTEN and P53 in Aggressive Luminal A Subtype Breast Cancers.

Objective: While prognostic and predictive factors in breast cancer are well established, data on aggressive behavior in luminal A subtype breast cancers are limited. The aim of this study was to investigate histomorphological and clinicopathological parameters that may predict treatment resistance and aggressive behavior in luminal A subtype, as well as the expression of two key proteins, PTEN and p53, involved in breast carcinoma development.

Materials and methods: We included breast carcinoma cases diagnosed at a Turkish University Hospital between 2016 and 2017. Tumor tissue with internal control was available for all cases. PTEN and p53 expression were evaluated immunohistochemically, based on staining strength and percentage.

Results: Of the 114 cases diagnosed in the study period, 18 (%) were recurrent and 5 (%) were Luminal A subtype. We observed significantly lower overall and disease-free survival in patients with ≤50% tumor infiltrating lymphocytes density, which was present in all recurrent cases. PTEN immunoreactivity scores were <6 in all recurrent luminal A cases, but no significant difference was found between recurrent and non-recurrent cases (p>0.05). The p53 H-score for luminal A was significantly lower than in luminal B, triple negative, and human epidermal growth factor receptor 2+ groups (p<0.05). Furthermore, p53 H-scores <50 were more common in grade 2 tumors than in grade 3 (p<0.05).

Conclusion: PTEN loss, observed in all recurrent luminal A cases and 77.1% of all cases, supports its role as a tumor suppressor. The findings suggest that PTEN expression loss may be a prognostic marker, and immune-modulating treatments should be considered for breast cancer patients.

求助全文
通过发布文献求助,成功后即可免费获取论文全文。 去求助
来源期刊
CiteScore
2.60
自引率
0.00%
发文量
0
×
引用
GB/T 7714-2015
复制
MLA
复制
APA
复制
导出至
BibTeX EndNote RefMan NoteFirst NoteExpress
×
提示
您的信息不完整,为了账户安全,请先补充。
现在去补充
×
提示
您因"违规操作"
具体请查看互助需知
我知道了
×
提示
确定
请完成安全验证×
copy
已复制链接
快去分享给好友吧!
我知道了
右上角分享
点击右上角分享
0
联系我们:info@booksci.cn Book学术提供免费学术资源搜索服务,方便国内外学者检索中英文文献。致力于提供最便捷和优质的服务体验。 Copyright © 2023 布克学术 All rights reserved.
京ICP备2023020795号-1
ghs 京公网安备 11010802042870号
Book学术文献互助
Book学术文献互助群
群 号:604180095
Book学术官方微信