金针藤提取物对糖尿病胃病的影响:炎症、细胞凋亡、氧化应激和组织病理学的参与。

IF 1.1 4区 农林科学 Q3 ZOOLOGY
Veterinary Research Forum Pub Date : 2025-01-01 Epub Date: 2025-03-15 DOI:10.30466/vrf.2024.2027690.4249
Muhammet Bahaeddin Dörtbudak, Uğur Şeker, Muhammet Demircioğlu, Ismail Demircioğlu
{"title":"金针藤提取物对糖尿病胃病的影响:炎症、细胞凋亡、氧化应激和组织病理学的参与。","authors":"Muhammet Bahaeddin Dörtbudak, Uğur Şeker, Muhammet Demircioğlu, Ismail Demircioğlu","doi":"10.30466/vrf.2024.2027690.4249","DOIUrl":null,"url":null,"abstract":"<p><p>In this study, the effect of <i>Gundelia tournefortii</i> (GT) extract against diabetic gastropathy was investigated by pathological methods. The animal groups were designed as the control, diabetes, diabetes + GT50, diabetes + GT100, and diabetes + GT200 groups. No treatment was applied to the control group. The other groups received 45.00 mg kg<sup>-1</sup> streptozotocin intraperitoneally on the experimental day. The treatment groups were also given 50.00, 100, and 200 mg kg<sup>-1</sup> of GT extract daily by gavage for 21 days. Tissues were stained with Hematoxylin and Eosin for histopathological examination. Immunohistochemical staining was performed to reveal the presence of inflammation (tumor necrosis factor alpha), apoptosis (cysteine aspartate specific proteases-3), and oxidative stress (heat shock protein-27). Histopathological examination revealed no pathological lesion in the control group. In the diabetes group, mucosal tissue damage, and vascular and inflammatory changes were observed. In the treatment groups, GT decreased histopathological findings in parallel with the dose increase. Immunohistochemical examination revealed no immunopositivity in the control group, while severe immunopositivity was observed in the diabetes groups in terms of inflammation, apoptosis, and oxidative stress. In the treatment groups, there was a decrease in the severity of immunopositivity's depending on the dose increase. As a result of this study, which has not been done before, GT was found to have a protective effect against gastropathy, being an important complication of diabetes, and this study is thus an important reference point for future research and promises new hope for the patients.</p>","PeriodicalId":23989,"journal":{"name":"Veterinary Research Forum","volume":"16 3","pages":"133-139"},"PeriodicalIF":1.1000,"publicationDate":"2025-01-01","publicationTypes":"Journal Article","fieldsOfStudy":null,"isOpenAccess":false,"openAccessPdf":"https://www.ncbi.nlm.nih.gov/pmc/articles/PMC12085943/pdf/","citationCount":"0","resultStr":"{\"title\":\"Effect of <i>Gundelia tournefortii</i> extract on diabetic gastropathy: involvement of inflammation, apoptosis, oxidative stress, and histopathology.\",\"authors\":\"Muhammet Bahaeddin Dörtbudak, Uğur Şeker, Muhammet Demircioğlu, Ismail Demircioğlu\",\"doi\":\"10.30466/vrf.2024.2027690.4249\",\"DOIUrl\":null,\"url\":null,\"abstract\":\"<p><p>In this study, the effect of <i>Gundelia tournefortii</i> (GT) extract against diabetic gastropathy was investigated by pathological methods. The animal groups were designed as the control, diabetes, diabetes + GT50, diabetes + GT100, and diabetes + GT200 groups. No treatment was applied to the control group. The other groups received 45.00 mg kg<sup>-1</sup> streptozotocin intraperitoneally on the experimental day. The treatment groups were also given 50.00, 100, and 200 mg kg<sup>-1</sup> of GT extract daily by gavage for 21 days. Tissues were stained with Hematoxylin and Eosin for histopathological examination. Immunohistochemical staining was performed to reveal the presence of inflammation (tumor necrosis factor alpha), apoptosis (cysteine aspartate specific proteases-3), and oxidative stress (heat shock protein-27). Histopathological examination revealed no pathological lesion in the control group. In the diabetes group, mucosal tissue damage, and vascular and inflammatory changes were observed. In the treatment groups, GT decreased histopathological findings in parallel with the dose increase. Immunohistochemical examination revealed no immunopositivity in the control group, while severe immunopositivity was observed in the diabetes groups in terms of inflammation, apoptosis, and oxidative stress. In the treatment groups, there was a decrease in the severity of immunopositivity's depending on the dose increase. As a result of this study, which has not been done before, GT was found to have a protective effect against gastropathy, being an important complication of diabetes, and this study is thus an important reference point for future research and promises new hope for the patients.</p>\",\"PeriodicalId\":23989,\"journal\":{\"name\":\"Veterinary Research Forum\",\"volume\":\"16 3\",\"pages\":\"133-139\"},\"PeriodicalIF\":1.1000,\"publicationDate\":\"2025-01-01\",\"publicationTypes\":\"Journal Article\",\"fieldsOfStudy\":null,\"isOpenAccess\":false,\"openAccessPdf\":\"https://www.ncbi.nlm.nih.gov/pmc/articles/PMC12085943/pdf/\",\"citationCount\":\"0\",\"resultStr\":null,\"platform\":\"Semanticscholar\",\"paperid\":null,\"PeriodicalName\":\"Veterinary Research Forum\",\"FirstCategoryId\":\"97\",\"ListUrlMain\":\"https://doi.org/10.30466/vrf.2024.2027690.4249\",\"RegionNum\":4,\"RegionCategory\":\"农林科学\",\"ArticlePicture\":[],\"TitleCN\":null,\"AbstractTextCN\":null,\"PMCID\":null,\"EPubDate\":\"2025/3/15 0:00:00\",\"PubModel\":\"Epub\",\"JCR\":\"Q3\",\"JCRName\":\"ZOOLOGY\",\"Score\":null,\"Total\":0}","platform":"Semanticscholar","paperid":null,"PeriodicalName":"Veterinary Research Forum","FirstCategoryId":"97","ListUrlMain":"https://doi.org/10.30466/vrf.2024.2027690.4249","RegionNum":4,"RegionCategory":"农林科学","ArticlePicture":[],"TitleCN":null,"AbstractTextCN":null,"PMCID":null,"EPubDate":"2025/3/15 0:00:00","PubModel":"Epub","JCR":"Q3","JCRName":"ZOOLOGY","Score":null,"Total":0}
引用次数: 0

摘要

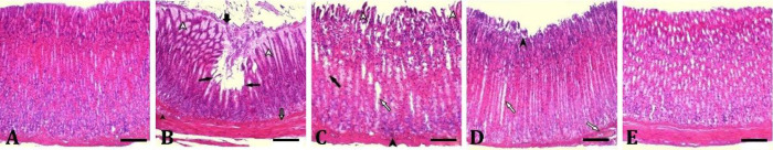
本研究采用病理方法研究了杜氏甘露提取物对糖尿病胃病的治疗作用。动物组设计为对照组、糖尿病组、糖尿病+ GT50组、糖尿病+ GT100组和糖尿病+ GT200组。对照组不进行任何治疗。其余各组在实验当天腹腔注射链脲佐菌素45.00 mg kg-1。各组大鼠每日分别给予GT提取物50.00、100、200 mg kg-1灌胃,连续灌胃21 d。组织用苏木精和伊红染色进行组织病理学检查。免疫组化染色显示炎症(肿瘤坏死因子α)、凋亡(半胱氨酸天冬氨酸特异性蛋白酶-3)和氧化应激(热休克蛋白-27)的存在。对照组组织病理检查未见病理病变。糖尿病组观察到粘膜组织损伤、血管及炎症改变。在治疗组中,与剂量增加平行,GT降低了组织病理学结果。免疫组化检查显示,对照组未见免疫阳性,而糖尿病组在炎症、细胞凋亡和氧化应激方面出现严重的免疫阳性。在治疗组中,免疫阳性的严重程度随剂量的增加而降低。本研究发现GT对糖尿病重要并发症胃病具有保护作用,为今后的研究提供了重要的参考点,为患者带来了新的希望。
本文章由计算机程序翻译,如有差异,请以英文原文为准。

Effect of <i>Gundelia tournefortii</i> extract on diabetic gastropathy: involvement of inflammation, apoptosis, oxidative stress, and histopathology.

Effect of <i>Gundelia tournefortii</i> extract on diabetic gastropathy: involvement of inflammation, apoptosis, oxidative stress, and histopathology.

Effect of Gundelia tournefortii extract on diabetic gastropathy: involvement of inflammation, apoptosis, oxidative stress, and histopathology.

In this study, the effect of Gundelia tournefortii (GT) extract against diabetic gastropathy was investigated by pathological methods. The animal groups were designed as the control, diabetes, diabetes + GT50, diabetes + GT100, and diabetes + GT200 groups. No treatment was applied to the control group. The other groups received 45.00 mg kg-1 streptozotocin intraperitoneally on the experimental day. The treatment groups were also given 50.00, 100, and 200 mg kg-1 of GT extract daily by gavage for 21 days. Tissues were stained with Hematoxylin and Eosin for histopathological examination. Immunohistochemical staining was performed to reveal the presence of inflammation (tumor necrosis factor alpha), apoptosis (cysteine aspartate specific proteases-3), and oxidative stress (heat shock protein-27). Histopathological examination revealed no pathological lesion in the control group. In the diabetes group, mucosal tissue damage, and vascular and inflammatory changes were observed. In the treatment groups, GT decreased histopathological findings in parallel with the dose increase. Immunohistochemical examination revealed no immunopositivity in the control group, while severe immunopositivity was observed in the diabetes groups in terms of inflammation, apoptosis, and oxidative stress. In the treatment groups, there was a decrease in the severity of immunopositivity's depending on the dose increase. As a result of this study, which has not been done before, GT was found to have a protective effect against gastropathy, being an important complication of diabetes, and this study is thus an important reference point for future research and promises new hope for the patients.

求助全文
通过发布文献求助,成功后即可免费获取论文全文。 去求助
来源期刊
Veterinary Research Forum
Veterinary Research Forum Veterinary-General Veterinary
CiteScore
1.50
自引率
0.00%
发文量
0
审稿时长
8 weeks
期刊介绍: Veterinary Research Forum (VRF) is a quarterly international journal committed to publish worldwide contributions on all aspects of veterinary science and medicine, including anatomy and histology, physiology and pharmacology, anatomic and clinical pathology, parasitology, microbiology, immunology and epidemiology, food hygiene, poultry science, fish and aquaculture, anesthesia and surgery, large and small animal internal medicine, large and small animal reproduction, biotechnology and diagnostic imaging of domestic, companion and farm animals.
×
引用
GB/T 7714-2015
复制
MLA
复制
APA
复制
导出至
BibTeX EndNote RefMan NoteFirst NoteExpress
×
提示
您的信息不完整,为了账户安全,请先补充。
现在去补充
×
提示
您因"违规操作"
具体请查看互助需知
我知道了
×
提示
确定
请完成安全验证×
copy
已复制链接
快去分享给好友吧!
我知道了
右上角分享
点击右上角分享
0
联系我们:info@booksci.cn Book学术提供免费学术资源搜索服务,方便国内外学者检索中英文文献。致力于提供最便捷和优质的服务体验。 Copyright © 2023 布克学术 All rights reserved.
京ICP备2023020795号-1
ghs 京公网安备 11010802042870号
Book学术文献互助
Book学术文献互助群
群 号:604180095
Book学术官方微信