雷公藤红素通过调节NLRP3通路抑制炎症细胞刺激的大鼠主动脉内皮细胞新生血管。

IF 1.6 4区 医学 Q2 MEDICINE, GENERAL & INTERNAL
Open Medicine Pub Date : 2025-05-06 eCollection Date: 2025-01-01 DOI:10.1515/med-2024-1121
Yong Yang, Huajun Wang, Huige Hou, Jiwen Chen, Xiaolei Chen, Hongjian Zheng, Kai Zheng, Baofei Ye, Chunhui Wu, Xiaofei Zheng, Shiguo Yuan, Boyuan Zheng
{"title":"雷公藤红素通过调节NLRP3通路抑制炎症细胞刺激的大鼠主动脉内皮细胞新生血管。","authors":"Yong Yang, Huajun Wang, Huige Hou, Jiwen Chen, Xiaolei Chen, Hongjian Zheng, Kai Zheng, Baofei Ye, Chunhui Wu, Xiaofei Zheng, Shiguo Yuan, Boyuan Zheng","doi":"10.1515/med-2024-1121","DOIUrl":null,"url":null,"abstract":"<p><p>Appropriate formation of blood vessels is critical for tendon-bone healing during tendon injury, as excessive angiogenesis would exacerbate scar formation and lead to chronic pain and dysfunction. The mechanism to regulate inflammatory angiogenesis during tendon-bone healing remains to be elucidated. Here, we utilized lipopolysaccharide (LPS) to induce tenocyte inflammation and applied the conditioned medium from inflammatory tenocytes to treat rat aortic vascular endothelial cells (RAOECs). The results that indicated LPS treatment significantly induced the mRNA and protein upregulation of NLRP3, tumor necrosis factor α, IL-1β, and vascular endothelial growth factor A (VEGFA), as well as the secretion of VEGFA. Furthermore, the conditioned medium stimulated RAOEC angiogenesis. Celastrol, a quinone-methylated triterpenoid from <i>Tripterygium wilfordii</i>, has been reported to treat osteoarthritis. Here, celastrol could suppress LPS-induced upregulation of NLRP3 and IL-1β, and the secretion of VEGFA. Celastrol treatment also suppressed the conditioned medium-induced angiogenesis in RAOEC. Moreover, we established a rotator cuff tear rat model to stimulate tendon injury. Celastrol administration at the lesion significantly promoted tendon healing and functional recovery in injured mice by regulating NLRP3 and VEGFA levels. Taken together, these data suggest that the inflammation-induced tenocyte injury leads to angiogenesis, and that celastrol administration could suppress the inflammatory tenocyte-induced angiogenesis to promote tendon-bone healing via the NLRP3 pathway.</p>","PeriodicalId":19715,"journal":{"name":"Open Medicine","volume":"20 1","pages":"20241121"},"PeriodicalIF":1.6000,"publicationDate":"2025-05-06","publicationTypes":"Journal Article","fieldsOfStudy":null,"isOpenAccess":false,"openAccessPdf":"https://www.ncbi.nlm.nih.gov/pmc/articles/PMC12086628/pdf/","citationCount":"0","resultStr":"{\"title\":\"Celastrol suppresses neovascularization in rat aortic vascular endothelial cells stimulated by inflammatory tenocytes via modulating the NLRP3 pathway.\",\"authors\":\"Yong Yang, Huajun Wang, Huige Hou, Jiwen Chen, Xiaolei Chen, Hongjian Zheng, Kai Zheng, Baofei Ye, Chunhui Wu, Xiaofei Zheng, Shiguo Yuan, Boyuan Zheng\",\"doi\":\"10.1515/med-2024-1121\",\"DOIUrl\":null,\"url\":null,\"abstract\":\"<p><p>Appropriate formation of blood vessels is critical for tendon-bone healing during tendon injury, as excessive angiogenesis would exacerbate scar formation and lead to chronic pain and dysfunction. The mechanism to regulate inflammatory angiogenesis during tendon-bone healing remains to be elucidated. Here, we utilized lipopolysaccharide (LPS) to induce tenocyte inflammation and applied the conditioned medium from inflammatory tenocytes to treat rat aortic vascular endothelial cells (RAOECs). The results that indicated LPS treatment significantly induced the mRNA and protein upregulation of NLRP3, tumor necrosis factor α, IL-1β, and vascular endothelial growth factor A (VEGFA), as well as the secretion of VEGFA. Furthermore, the conditioned medium stimulated RAOEC angiogenesis. Celastrol, a quinone-methylated triterpenoid from <i>Tripterygium wilfordii</i>, has been reported to treat osteoarthritis. Here, celastrol could suppress LPS-induced upregulation of NLRP3 and IL-1β, and the secretion of VEGFA. Celastrol treatment also suppressed the conditioned medium-induced angiogenesis in RAOEC. Moreover, we established a rotator cuff tear rat model to stimulate tendon injury. Celastrol administration at the lesion significantly promoted tendon healing and functional recovery in injured mice by regulating NLRP3 and VEGFA levels. Taken together, these data suggest that the inflammation-induced tenocyte injury leads to angiogenesis, and that celastrol administration could suppress the inflammatory tenocyte-induced angiogenesis to promote tendon-bone healing via the NLRP3 pathway.</p>\",\"PeriodicalId\":19715,\"journal\":{\"name\":\"Open Medicine\",\"volume\":\"20 1\",\"pages\":\"20241121\"},\"PeriodicalIF\":1.6000,\"publicationDate\":\"2025-05-06\",\"publicationTypes\":\"Journal Article\",\"fieldsOfStudy\":null,\"isOpenAccess\":false,\"openAccessPdf\":\"https://www.ncbi.nlm.nih.gov/pmc/articles/PMC12086628/pdf/\",\"citationCount\":\"0\",\"resultStr\":null,\"platform\":\"Semanticscholar\",\"paperid\":null,\"PeriodicalName\":\"Open Medicine\",\"FirstCategoryId\":\"3\",\"ListUrlMain\":\"https://doi.org/10.1515/med-2024-1121\",\"RegionNum\":4,\"RegionCategory\":\"医学\",\"ArticlePicture\":[],\"TitleCN\":null,\"AbstractTextCN\":null,\"PMCID\":null,\"EPubDate\":\"2025/1/1 0:00:00\",\"PubModel\":\"eCollection\",\"JCR\":\"Q2\",\"JCRName\":\"MEDICINE, GENERAL & INTERNAL\",\"Score\":null,\"Total\":0}","platform":"Semanticscholar","paperid":null,"PeriodicalName":"Open Medicine","FirstCategoryId":"3","ListUrlMain":"https://doi.org/10.1515/med-2024-1121","RegionNum":4,"RegionCategory":"医学","ArticlePicture":[],"TitleCN":null,"AbstractTextCN":null,"PMCID":null,"EPubDate":"2025/1/1 0:00:00","PubModel":"eCollection","JCR":"Q2","JCRName":"MEDICINE, GENERAL & INTERNAL","Score":null,"Total":0}
引用次数: 0

摘要

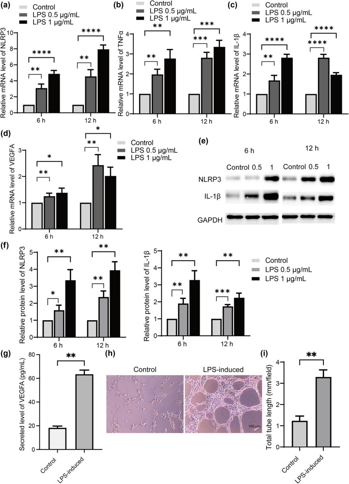
在肌腱损伤过程中,适当的血管形成对于肌腱-骨愈合至关重要,因为过度的血管生成会加剧疤痕的形成,导致慢性疼痛和功能障碍。肌腱-骨愈合过程中炎症血管生成的调节机制仍有待阐明。本研究利用脂多糖(LPS)诱导小细胞炎症,并用炎症小细胞条件培养基治疗大鼠主动脉血管内皮细胞(RAOECs)。结果表明,LPS处理显著诱导NLRP3、肿瘤坏死因子α、IL-1β、血管内皮生长因子A (VEGFA) mRNA和蛋白表达上调,并显著促进VEGFA分泌。此外,条件培养基刺激RAOEC血管生成。雷公藤红素是一种来自雷公藤的醌甲基化三萜,据报道可治疗骨关节炎。本研究发现,雷公芪红素可抑制lps诱导的NLRP3和IL-1β的上调以及VEGFA的分泌。雷公藤红素也抑制了条件培养基诱导的RAOEC血管生成。此外,我们建立了大鼠肩袖撕裂模型来刺激肌腱损伤。在损伤部位给予雷公藤红素通过调节NLRP3和VEGFA水平显著促进损伤小鼠肌腱愈合和功能恢复。综上所述,这些数据表明炎症诱导的肌腱细胞损伤导致血管生成,而雷公藤红素可以抑制炎症性肌腱细胞诱导的血管生成,通过NLRP3途径促进肌腱骨愈合。
本文章由计算机程序翻译,如有差异,请以英文原文为准。

Celastrol suppresses neovascularization in rat aortic vascular endothelial cells stimulated by inflammatory tenocytes via modulating the NLRP3 pathway.

Celastrol suppresses neovascularization in rat aortic vascular endothelial cells stimulated by inflammatory tenocytes via modulating the NLRP3 pathway.

Celastrol suppresses neovascularization in rat aortic vascular endothelial cells stimulated by inflammatory tenocytes via modulating the NLRP3 pathway.

Celastrol suppresses neovascularization in rat aortic vascular endothelial cells stimulated by inflammatory tenocytes via modulating the NLRP3 pathway.

Appropriate formation of blood vessels is critical for tendon-bone healing during tendon injury, as excessive angiogenesis would exacerbate scar formation and lead to chronic pain and dysfunction. The mechanism to regulate inflammatory angiogenesis during tendon-bone healing remains to be elucidated. Here, we utilized lipopolysaccharide (LPS) to induce tenocyte inflammation and applied the conditioned medium from inflammatory tenocytes to treat rat aortic vascular endothelial cells (RAOECs). The results that indicated LPS treatment significantly induced the mRNA and protein upregulation of NLRP3, tumor necrosis factor α, IL-1β, and vascular endothelial growth factor A (VEGFA), as well as the secretion of VEGFA. Furthermore, the conditioned medium stimulated RAOEC angiogenesis. Celastrol, a quinone-methylated triterpenoid from Tripterygium wilfordii, has been reported to treat osteoarthritis. Here, celastrol could suppress LPS-induced upregulation of NLRP3 and IL-1β, and the secretion of VEGFA. Celastrol treatment also suppressed the conditioned medium-induced angiogenesis in RAOEC. Moreover, we established a rotator cuff tear rat model to stimulate tendon injury. Celastrol administration at the lesion significantly promoted tendon healing and functional recovery in injured mice by regulating NLRP3 and VEGFA levels. Taken together, these data suggest that the inflammation-induced tenocyte injury leads to angiogenesis, and that celastrol administration could suppress the inflammatory tenocyte-induced angiogenesis to promote tendon-bone healing via the NLRP3 pathway.

求助全文
通过发布文献求助,成功后即可免费获取论文全文。 去求助
来源期刊
Open Medicine
Open Medicine Medicine-General Medicine
CiteScore
3.00
自引率
0.00%
发文量
153
审稿时长
20 weeks
期刊介绍: Open Medicine is an open access journal that provides users with free, instant, and continued access to all content worldwide. The primary goal of the journal has always been a focus on maintaining the high quality of its published content. Its mission is to facilitate the exchange of ideas between medical science researchers from different countries. Papers connected to all fields of medicine and public health are welcomed. Open Medicine accepts submissions of research articles, reviews, case reports, letters to editor and book reviews.
×
引用
GB/T 7714-2015
复制
MLA
复制
APA
复制
导出至
BibTeX EndNote RefMan NoteFirst NoteExpress
×
提示
您的信息不完整,为了账户安全,请先补充。
现在去补充
×
提示
您因"违规操作"
具体请查看互助需知
我知道了
×
提示
确定
请完成安全验证×
copy
已复制链接
快去分享给好友吧!
我知道了
右上角分享
点击右上角分享
0
联系我们:info@booksci.cn Book学术提供免费学术资源搜索服务,方便国内外学者检索中英文文献。致力于提供最便捷和优质的服务体验。 Copyright © 2023 布克学术 All rights reserved.
京ICP备2023020795号-1
ghs 京公网安备 11010802042870号
Book学术文献互助
Book学术文献互助群
群 号:604180095
Book学术官方微信