免疫性血栓性血小板减少性紫癜合并糖尿病酮症酸中毒1例报告并文献复习。

IF 2.2 4区 医学 Q2 HEMATOLOGY
Geng-Hao Bai, Mei-Hwa Lin, Yu-Pei Chen, Tien-Jyun Chang, Sheng-Chieh Chou
{"title":"免疫性血栓性血小板减少性紫癜合并糖尿病酮症酸中毒1例报告并文献复习。","authors":"Geng-Hao Bai, Mei-Hwa Lin, Yu-Pei Chen, Tien-Jyun Chang, Sheng-Chieh Chou","doi":"10.1186/s12959-025-00740-w","DOIUrl":null,"url":null,"abstract":"<p><strong>Background: </strong>Thrombotic thrombocytopenic purpura (TTP) is an uncommon and life-threatening disorder caused by a deficiency of ADAMTS-13, and eventually leads to microangiopathic hemolytic anemia, severe thrombocytopenia, and organ damages. Acute TTP events could be triggered by infections, or inflammations in the context of ADAMTS-13 deficiency. Recently, several case reports have indicated an association between diabetic ketoacidosis (DKA) and TTP. Here, we present a case with the concomitant presentation of DKA and TTP.</p><p><strong>Case presentation: </strong>A 37-year-old male with diabetes mellitus presented with typical symptoms of diabetic ketoacidosis. He was managed with an insulin pump and intravenous fluids. However, he developed seizure and progressed to coma, his rapidly deteriorating condition necessitated continuous renal replacement therapy, intubation, and inotropic support. Laboratory data indicated hemolytic anemia and thrombocytopenia, and a blood smear revealed schistocytes. The PLASMIC score was 5, and ADAMTS-13 activity was 2%. The patient was diagnosed with TTP and treated with therapeutic plasma exchange, steroids, and rituximab. His platelet count stabilized above 150,000/µL, and ADAMTS-13 activity progressively improved.</p><p><strong>Conclusions: </strong>This case report emphasizes the concurrence of DKA and iTTP, presenting the rare complication of acute renal failure in TTP. TTP is a rare and serious disease that requires prompt recognition and management. Concurrent conditions should be considered when calculating prediction scores such as the PLASMIC and French scores.</p>","PeriodicalId":22982,"journal":{"name":"Thrombosis Journal","volume":"23 1","pages":"50"},"PeriodicalIF":2.2000,"publicationDate":"2025-05-19","publicationTypes":"Journal Article","fieldsOfStudy":null,"isOpenAccess":false,"openAccessPdf":"https://www.ncbi.nlm.nih.gov/pmc/articles/PMC12087192/pdf/","citationCount":"0","resultStr":"{\"title\":\"Immune thrombotic thrombocytopenic purpura and diabetic ketoacidosis: a case report and literature review.\",\"authors\":\"Geng-Hao Bai, Mei-Hwa Lin, Yu-Pei Chen, Tien-Jyun Chang, Sheng-Chieh Chou\",\"doi\":\"10.1186/s12959-025-00740-w\",\"DOIUrl\":null,\"url\":null,\"abstract\":\"<p><strong>Background: </strong>Thrombotic thrombocytopenic purpura (TTP) is an uncommon and life-threatening disorder caused by a deficiency of ADAMTS-13, and eventually leads to microangiopathic hemolytic anemia, severe thrombocytopenia, and organ damages. Acute TTP events could be triggered by infections, or inflammations in the context of ADAMTS-13 deficiency. Recently, several case reports have indicated an association between diabetic ketoacidosis (DKA) and TTP. Here, we present a case with the concomitant presentation of DKA and TTP.</p><p><strong>Case presentation: </strong>A 37-year-old male with diabetes mellitus presented with typical symptoms of diabetic ketoacidosis. He was managed with an insulin pump and intravenous fluids. However, he developed seizure and progressed to coma, his rapidly deteriorating condition necessitated continuous renal replacement therapy, intubation, and inotropic support. Laboratory data indicated hemolytic anemia and thrombocytopenia, and a blood smear revealed schistocytes. The PLASMIC score was 5, and ADAMTS-13 activity was 2%. The patient was diagnosed with TTP and treated with therapeutic plasma exchange, steroids, and rituximab. His platelet count stabilized above 150,000/µL, and ADAMTS-13 activity progressively improved.</p><p><strong>Conclusions: </strong>This case report emphasizes the concurrence of DKA and iTTP, presenting the rare complication of acute renal failure in TTP. TTP is a rare and serious disease that requires prompt recognition and management. Concurrent conditions should be considered when calculating prediction scores such as the PLASMIC and French scores.</p>\",\"PeriodicalId\":22982,\"journal\":{\"name\":\"Thrombosis Journal\",\"volume\":\"23 1\",\"pages\":\"50\"},\"PeriodicalIF\":2.2000,\"publicationDate\":\"2025-05-19\",\"publicationTypes\":\"Journal Article\",\"fieldsOfStudy\":null,\"isOpenAccess\":false,\"openAccessPdf\":\"https://www.ncbi.nlm.nih.gov/pmc/articles/PMC12087192/pdf/\",\"citationCount\":\"0\",\"resultStr\":null,\"platform\":\"Semanticscholar\",\"paperid\":null,\"PeriodicalName\":\"Thrombosis Journal\",\"FirstCategoryId\":\"3\",\"ListUrlMain\":\"https://doi.org/10.1186/s12959-025-00740-w\",\"RegionNum\":4,\"RegionCategory\":\"医学\",\"ArticlePicture\":[],\"TitleCN\":null,\"AbstractTextCN\":null,\"PMCID\":null,\"EPubDate\":\"\",\"PubModel\":\"\",\"JCR\":\"Q2\",\"JCRName\":\"HEMATOLOGY\",\"Score\":null,\"Total\":0}","platform":"Semanticscholar","paperid":null,"PeriodicalName":"Thrombosis Journal","FirstCategoryId":"3","ListUrlMain":"https://doi.org/10.1186/s12959-025-00740-w","RegionNum":4,"RegionCategory":"医学","ArticlePicture":[],"TitleCN":null,"AbstractTextCN":null,"PMCID":null,"EPubDate":"","PubModel":"","JCR":"Q2","JCRName":"HEMATOLOGY","Score":null,"Total":0}
引用次数: 0

摘要

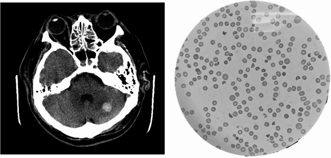
背景:血栓性血小板减少性紫癜(TTP)是一种罕见且危及生命的疾病,由ADAMTS-13缺乏引起,最终导致微血管病性溶血性贫血、严重血小板减少和器官损害。在ADAMTS-13缺乏的情况下,急性TTP事件可能由感染或炎症引发。最近,一些病例报告表明糖尿病酮症酸中毒(DKA)与TTP之间存在关联。在这里,我们提出了一个病例,同时提出了DKA和TTP。病例介绍:37岁男性糖尿病患者,表现为糖尿病酮症酸中毒的典型症状。他接受了胰岛素泵和静脉输液治疗。然而,他出现癫痫发作并发展为昏迷,病情迅速恶化,需要持续的肾脏替代治疗、插管和肌力支持。实验室数据显示溶血性贫血和血小板减少症,血液涂片显示血吸虫细胞。PLASMIC评分为5分,ADAMTS-13活性为2%。患者被诊断为TTP,并接受治疗性血浆置换、类固醇和利妥昔单抗治疗。他的血小板计数稳定在150,000/µL以上,ADAMTS-13活性逐渐改善。结论:本病例报告强调DKA与iTTP并发,呈现罕见的TTP急性肾功能衰竭并发症。TTP是一种罕见的严重疾病,需要及时认识和治疗。在计算预测分数(如PLASMIC和法语分数)时应考虑并发条件。
本文章由计算机程序翻译,如有差异,请以英文原文为准。

Immune thrombotic thrombocytopenic purpura and diabetic ketoacidosis: a case report and literature review.

Immune thrombotic thrombocytopenic purpura and diabetic ketoacidosis: a case report and literature review.

Immune thrombotic thrombocytopenic purpura and diabetic ketoacidosis: a case report and literature review.

Immune thrombotic thrombocytopenic purpura and diabetic ketoacidosis: a case report and literature review.

Background: Thrombotic thrombocytopenic purpura (TTP) is an uncommon and life-threatening disorder caused by a deficiency of ADAMTS-13, and eventually leads to microangiopathic hemolytic anemia, severe thrombocytopenia, and organ damages. Acute TTP events could be triggered by infections, or inflammations in the context of ADAMTS-13 deficiency. Recently, several case reports have indicated an association between diabetic ketoacidosis (DKA) and TTP. Here, we present a case with the concomitant presentation of DKA and TTP.

Case presentation: A 37-year-old male with diabetes mellitus presented with typical symptoms of diabetic ketoacidosis. He was managed with an insulin pump and intravenous fluids. However, he developed seizure and progressed to coma, his rapidly deteriorating condition necessitated continuous renal replacement therapy, intubation, and inotropic support. Laboratory data indicated hemolytic anemia and thrombocytopenia, and a blood smear revealed schistocytes. The PLASMIC score was 5, and ADAMTS-13 activity was 2%. The patient was diagnosed with TTP and treated with therapeutic plasma exchange, steroids, and rituximab. His platelet count stabilized above 150,000/µL, and ADAMTS-13 activity progressively improved.

Conclusions: This case report emphasizes the concurrence of DKA and iTTP, presenting the rare complication of acute renal failure in TTP. TTP is a rare and serious disease that requires prompt recognition and management. Concurrent conditions should be considered when calculating prediction scores such as the PLASMIC and French scores.

求助全文
通过发布文献求助,成功后即可免费获取论文全文。 去求助
来源期刊
Thrombosis Journal
Thrombosis Journal Medicine-Hematology
CiteScore
3.80
自引率
3.20%
发文量
69
审稿时长
16 weeks
期刊介绍: Thrombosis Journal is an open-access journal that publishes original articles on aspects of clinical and basic research, new methodology, case reports and reviews in the areas of thrombosis. Topics of particular interest include the diagnosis of arterial and venous thrombosis, new antithrombotic treatments, new developments in the understanding, diagnosis and treatments of atherosclerotic vessel disease, relations between haemostasis and vascular disease, hypertension, diabetes, immunology and obesity.
×
引用
GB/T 7714-2015
复制
MLA
复制
APA
复制
导出至
BibTeX EndNote RefMan NoteFirst NoteExpress
×
提示
您的信息不完整,为了账户安全,请先补充。
现在去补充
×
提示
您因"违规操作"
具体请查看互助需知
我知道了
×
提示
确定
请完成安全验证×
copy
已复制链接
快去分享给好友吧!
我知道了
右上角分享
点击右上角分享
0
联系我们:info@booksci.cn Book学术提供免费学术资源搜索服务,方便国内外学者检索中英文文献。致力于提供最便捷和优质的服务体验。 Copyright © 2023 布克学术 All rights reserved.
京ICP备2023020795号-1
ghs 京公网安备 11010802042870号
Book学术文献互助
Book学术文献互助群
群 号:604180095
Book学术官方微信