【放射学在结直肠癌早期分期中的作用】。

IF 0.6
Radiologie (Heidelberg, Germany) Pub Date : 2025-06-01 Epub Date: 2025-05-19 DOI:10.1007/s00117-025-01458-6
Sophia Wirth, Nino Bogveradze, Katharina Lampichler
{"title":"【放射学在结直肠癌早期分期中的作用】。","authors":"Sophia Wirth, Nino Bogveradze, Katharina Lampichler","doi":"10.1007/s00117-025-01458-6","DOIUrl":null,"url":null,"abstract":"<p><strong>Background: </strong>Imaging, specifically magnetic resonance imaging (MRI), has long been the cornerstone for staging rectal cancer. In contrast, computed tomography (CT) is the standard for colon cancer staging. Primary staging is essential for individualized risk stratification and therapy planning.</p><p><strong>Objectives: </strong>To summarize current international guidelines on primary colorectal cancer staging, taking into account the advantages and disadvantages of different imaging methods.</p><p><strong>Materials and methods: </strong>Based on extensive literature research, the current state of knowledge in the staging of colorectal cancer is summarized.</p><p><strong>Results: </strong>TNM staging includes local tumor extension as well as the presence of lymph node and distant metastases. For local tumor extension, MRI is very well suited for rectal cancer. In colon cancer, CT shows significant limitations regarding the sensitivity of differentiating individual stages. Lymph node metastases can pose a major challenge for both MRI and CT, which has led to the definition of several malignancy criteria. The detection of distant metastases remains primarily within the domain of CT, except for liver metastases.</p><p><strong>Conclusions: </strong>Depending on tumor location, either MRI or CT is recommended for primary staging of colorectal cancer, and a combination of both modalities may also be appropriate. Accurate assessment of the primary tumor, lymph nodes, and organs using imaging is an essential component of the therapeutic approach to colorectal cancer.</p>","PeriodicalId":74635,"journal":{"name":"Radiologie (Heidelberg, Germany)","volume":" ","pages":"426-435"},"PeriodicalIF":0.6000,"publicationDate":"2025-06-01","publicationTypes":"Journal Article","fieldsOfStudy":null,"isOpenAccess":false,"openAccessPdf":"https://www.ncbi.nlm.nih.gov/pmc/articles/PMC12106153/pdf/","citationCount":"0","resultStr":"{\"title\":\"[Role of radiology for primary staging of colorectal cancer].\",\"authors\":\"Sophia Wirth, Nino Bogveradze, Katharina Lampichler\",\"doi\":\"10.1007/s00117-025-01458-6\",\"DOIUrl\":null,\"url\":null,\"abstract\":\"<p><strong>Background: </strong>Imaging, specifically magnetic resonance imaging (MRI), has long been the cornerstone for staging rectal cancer. In contrast, computed tomography (CT) is the standard for colon cancer staging. Primary staging is essential for individualized risk stratification and therapy planning.</p><p><strong>Objectives: </strong>To summarize current international guidelines on primary colorectal cancer staging, taking into account the advantages and disadvantages of different imaging methods.</p><p><strong>Materials and methods: </strong>Based on extensive literature research, the current state of knowledge in the staging of colorectal cancer is summarized.</p><p><strong>Results: </strong>TNM staging includes local tumor extension as well as the presence of lymph node and distant metastases. For local tumor extension, MRI is very well suited for rectal cancer. In colon cancer, CT shows significant limitations regarding the sensitivity of differentiating individual stages. Lymph node metastases can pose a major challenge for both MRI and CT, which has led to the definition of several malignancy criteria. The detection of distant metastases remains primarily within the domain of CT, except for liver metastases.</p><p><strong>Conclusions: </strong>Depending on tumor location, either MRI or CT is recommended for primary staging of colorectal cancer, and a combination of both modalities may also be appropriate. Accurate assessment of the primary tumor, lymph nodes, and organs using imaging is an essential component of the therapeutic approach to colorectal cancer.</p>\",\"PeriodicalId\":74635,\"journal\":{\"name\":\"Radiologie (Heidelberg, Germany)\",\"volume\":\" \",\"pages\":\"426-435\"},\"PeriodicalIF\":0.6000,\"publicationDate\":\"2025-06-01\",\"publicationTypes\":\"Journal Article\",\"fieldsOfStudy\":null,\"isOpenAccess\":false,\"openAccessPdf\":\"https://www.ncbi.nlm.nih.gov/pmc/articles/PMC12106153/pdf/\",\"citationCount\":\"0\",\"resultStr\":null,\"platform\":\"Semanticscholar\",\"paperid\":null,\"PeriodicalName\":\"Radiologie (Heidelberg, Germany)\",\"FirstCategoryId\":\"1085\",\"ListUrlMain\":\"https://doi.org/10.1007/s00117-025-01458-6\",\"RegionNum\":0,\"RegionCategory\":null,\"ArticlePicture\":[],\"TitleCN\":null,\"AbstractTextCN\":null,\"PMCID\":null,\"EPubDate\":\"2025/5/19 0:00:00\",\"PubModel\":\"Epub\",\"JCR\":\"\",\"JCRName\":\"\",\"Score\":null,\"Total\":0}","platform":"Semanticscholar","paperid":null,"PeriodicalName":"Radiologie (Heidelberg, Germany)","FirstCategoryId":"1085","ListUrlMain":"https://doi.org/10.1007/s00117-025-01458-6","RegionNum":0,"RegionCategory":null,"ArticlePicture":[],"TitleCN":null,"AbstractTextCN":null,"PMCID":null,"EPubDate":"2025/5/19 0:00:00","PubModel":"Epub","JCR":"","JCRName":"","Score":null,"Total":0}
引用次数: 0

摘要

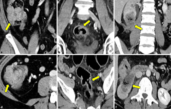
背景:影像学,特别是磁共振成像(MRI),长期以来一直是直肠癌分期的基础。相比之下,计算机断层扫描(CT)是结肠癌分期的标准。初级分期对于个体化风险分层和治疗计划至关重要。目的:总结目前国际上关于原发性结直肠癌分期的指南,并考虑不同影像学方法的优缺点。材料与方法:在大量文献研究的基础上,总结结直肠癌分期的知识现状。结果:TNM分期包括肿瘤局部扩展、淋巴结和远处转移的存在。对于局部肿瘤的扩展,MRI非常适合直肠癌。在结肠癌中,CT在区分单个分期的敏感性方面显示出明显的局限性。淋巴结转移对MRI和CT都是一个重大挑战,这导致了几种恶性肿瘤标准的定义。除肝转移外,远处转移的检测主要仍在CT范围内。结论:根据肿瘤的位置,推荐MRI或CT作为结肠直肠癌的初级分期,两种方式的结合也可能是合适的。准确评估原发肿瘤、淋巴结和器官的影像学检查是结直肠癌治疗方法的重要组成部分。
本文章由计算机程序翻译,如有差异,请以英文原文为准。

[Role of radiology for primary staging of colorectal cancer].

[Role of radiology for primary staging of colorectal cancer].

[Role of radiology for primary staging of colorectal cancer].

[Role of radiology for primary staging of colorectal cancer].

Background: Imaging, specifically magnetic resonance imaging (MRI), has long been the cornerstone for staging rectal cancer. In contrast, computed tomography (CT) is the standard for colon cancer staging. Primary staging is essential for individualized risk stratification and therapy planning.

Objectives: To summarize current international guidelines on primary colorectal cancer staging, taking into account the advantages and disadvantages of different imaging methods.

Materials and methods: Based on extensive literature research, the current state of knowledge in the staging of colorectal cancer is summarized.

Results: TNM staging includes local tumor extension as well as the presence of lymph node and distant metastases. For local tumor extension, MRI is very well suited for rectal cancer. In colon cancer, CT shows significant limitations regarding the sensitivity of differentiating individual stages. Lymph node metastases can pose a major challenge for both MRI and CT, which has led to the definition of several malignancy criteria. The detection of distant metastases remains primarily within the domain of CT, except for liver metastases.

Conclusions: Depending on tumor location, either MRI or CT is recommended for primary staging of colorectal cancer, and a combination of both modalities may also be appropriate. Accurate assessment of the primary tumor, lymph nodes, and organs using imaging is an essential component of the therapeutic approach to colorectal cancer.

求助全文
通过发布文献求助,成功后即可免费获取论文全文。 去求助
来源期刊
自引率
0.00%
发文量
0
×
引用
GB/T 7714-2015
复制
MLA
复制
APA
复制
导出至
BibTeX EndNote RefMan NoteFirst NoteExpress
×
提示
您的信息不完整,为了账户安全,请先补充。
现在去补充
×
提示
您因"违规操作"
具体请查看互助需知
我知道了
×
提示
确定
请完成安全验证×
copy
已复制链接
快去分享给好友吧!
我知道了
右上角分享
点击右上角分享
0
联系我们:info@booksci.cn Book学术提供免费学术资源搜索服务,方便国内外学者检索中英文文献。致力于提供最便捷和优质的服务体验。 Copyright © 2023 布克学术 All rights reserved.
京ICP备2023020795号-1
ghs 京公网安备 11010802042870号
Book学术文献互助
Book学术文献互助群
群 号:604180095
Book学术官方微信